JavaScript is disabled in your browser. Please enable JavaScript to view this website.
AB64965

Anti-TRAP220/MED1 antibody

5

(6 Reviews)

|

(35 Publications)

Anti-TRAP220/MED1 antibody (ab64965) is a rabbit polyclonal antibody detecting TRAP220/MED1 in Western Blot, IP, IHC-P, ELISA. Suitable for Human, Mouse.

- Over 20 publications
- Trusted since 2008

View Alternative Names

ARC205, CRSP1, CRSP200, DRIP205, DRIP230, PBP, PPARBP, PPARGBP, RB18A, TRAP220, TRIP2, MED1, Mediator of RNA polymerase II transcription subunit 1, Activator-recruited cofactor 205 kDa component, Mediator complex subunit 1, Peroxisome proliferator-activated receptor-binding protein, Thyroid hormone receptor-associated protein complex 220 kDa component, Thyroid receptor-interacting protein 2, Vitamin D receptor-interacting protein complex component DRIP205, p53 regulatory protein RB18A, PPAR-binding protein, Trap220, TR-interacting protein 2, TRIP-2

5 Images
Western blot - Anti-TRAP220/MED1 antibody (AB64965)
  • WB

Unknown

Western blot - Anti-TRAP220/MED1 antibody (AB64965)

The amount of positive control loading for the WB is 5-30 ug of total protein. The amount of the peptide for the WB is 5-10 ug.

All lanes:

Western blot - Anti-TRAP220/MED1 antibody (ab64965) at 1/500 dilution

Lane 1:

extracts from Jurkat cells, without immunising peptide

Lane 2:

extracts from Jurkat cells, with immunising peptide

Predicted band size: 168 kDa

Observed band size: 110 kDa,170 kDa

false

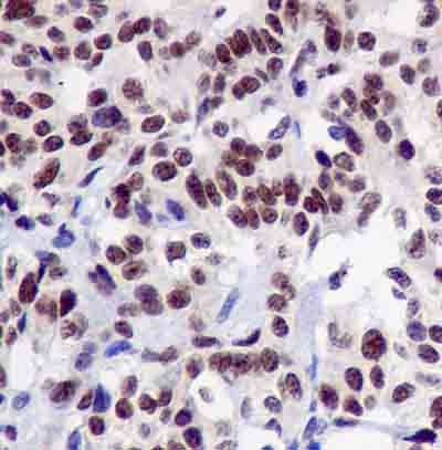
Immunohistochemistry (Formalin/PFA-fixed paraffin-embedded sections) - Anti-TRAP220/MED1 antibody (AB64965)
  • IHC-P

Unknown

Immunohistochemistry (Formalin/PFA-fixed paraffin-embedded sections) - Anti-TRAP220/MED1 antibody (AB64965)

Immunohistochemistry analysis of paraffin-embedded human breast carcinoma tissue using 1/50 ab64965, after antigen retrieval by boiling in a pressure cooker for 2-3 min. Polymer system was used for signal enhancing and DAB staining was performed for visualising the signal.

Western blot - Anti-TRAP220/MED1 antibody (AB64965)
  • WB

AbReview56755****

Western blot - Anti-TRAP220/MED1 antibody (AB64965)

Exposure time : 10 minutes.

All lanes:

Western blot - Anti-TRAP220/MED1 antibody (ab64965) at 1/1000 dilution

All lanes:

U-2 OS (human bone osteosarcoma epithelial cell line) whole cell lysate at 50 µg

Secondary

All lanes:

Alexa Fluor 680 anti-Rabbit

Predicted band size: 168 kDa

false

Western blot - Anti-TRAP220/MED1 antibody (AB64965)
  • WB

AbReview59308****

Western blot - Anti-TRAP220/MED1 antibody (AB64965)

Exposure time : 10 minutes

All lanes:

Western blot - Anti-TRAP220/MED1 antibody (ab64965) at 1/1000 dilution

All lanes:

MEF (Mouse embryonic fibroblast cell line) whole cell lysate at 20 µg

Secondary

All lanes:

Alexa Fluor 680 anti-Rabbit antibody at 1/5000 dilution

Predicted band size: 168 kDa

false

Western blot - Anti-TRAP220/MED1 antibody (AB64965)
  • WB

CiteAb

Western blot - Anti-TRAP220/MED1 antibody (AB64965)

TRAP220/MED1 western blot using anti-TRAP220/MED1 antibody ab64965. Publication image and figure legend from Jia, Y., Chang, H. C., et al., 2016, PLoS One, PubMed 27548259.

ab64965 was used in this publication in western blot. This may not be the same as the application(s) guaranteed by Abcam. For a full list of applications guaranteed by Abcam for ab64965 please see the product overview.

Tamoxifen-inducible cardiac-specific disruption of Med1 (TmcsMed1-/-) in adult mice causes dilated cardiomyopathy.(A) Relative Med1 mRNA expression in Med1fl/fl and TmcsMed1-/- mouse heart, liver and kidney. (B) Western blot analysis of Med1 in TmMed1fl/fl and TmcsMed1-/- hearts. Crude nuclear extracts from the heart tissues of appropriate mice were prepared as described (see Materials and Methods). They were then Western immunoblotted and probed with an anti-Med1 antibody (Abcam ab64965) and the protein bands were quantified using ImageJ software. The data were normalized to β-actin bands. Note that in the experiments shown in (A) to (H), mice were killed 14 days after first tamoxifen injection. (C) Representative photographs of adult hearts after tamoxifen-inducible heart-specific Cre mediated Med1 deletion. It is evident that TmcsMed-/- mouse heart is flaccid and flabby. Lower panel in (C) shows cross sections of TmcsMed1-/- and the littermate control hearts stained with H&E. (D and E) Representative profiles of M-mode echocardiographic analyses of TmcsMed1-/- and littermate mice. (F) and (G) represent ejection fraction and fractional shortening respectively. Data were derived from (D) and (E). (H), relative mRNA levels of BNP (Nppb) in Med1 fl/fl and TmcsMed1-/- mouse hearts. (I), survival curve. 13 mice for each group of Med1fl/fl and TmcsMed1-/- were used for the generation of survival curve. The mice survival time was between 13 and 28 days, and the day of initial injection of Tamoxifen was counted as day 1. Results are expressed as the mean ±SD. *p<0.05, **p<0.01.

false

Key facts

Host species

Rabbit

Clonality

Polyclonal

Isotype

IgG

Carrier free

No

Reacts with

Human, Mouse

Applications

ELISA, IP, WB, IHC-P

applications

Immunogen

Synthetic Peptide within Human MED1. The exact immunogen used to generate this antibody is proprietary information.

Q15648

Reactivity data

{ "title": "Reactivity Data", "filters": { "stats": ["", "Species", "Dilution Info", "Notes"], "tabs": { "all-applications": {"fullname" : "All Applications", "shortname": "All Applications"}, "IHCP" : {"fullname" : "Immunohistochemistry (Formalin/PFA-fixed paraffin-embedded sections)", "shortname":"IHC-P"}, "IP" : {"fullname" : "Immunoprecipitation", "shortname":"IP"}, "ELISA" : {"fullname" : "ELISA", "shortname":"ELISA"}, "WB" : {"fullname" : "Western blot", "shortname":"WB"} }, "product-promise": { "all": "all", "testedAndGuaranteed": "tested", "guaranteed": "expected", "predicted": "predicted", "notRecommended": "not-recommended" } }, "values": { "Human": { "IHCP-species-checked": "testedAndGuaranteed", "IHCP-species-dilution-info": "1/50 - 1/100", "IHCP-species-notes": "<p></p>", "IP-species-checked": "guaranteed", "IP-species-dilution-info": "", "IP-species-notes": "<p></p>", "ELISA-species-checked": "guaranteed", "ELISA-species-dilution-info": "", "ELISA-species-notes": "<p></p>", "WB-species-checked": "testedAndGuaranteed", "WB-species-dilution-info": "1/500 - 1/1000", "WB-species-notes": "<p></p>" }, "Mouse": { "IHCP-species-checked": "guaranteed", "IHCP-species-dilution-info": "", "IHCP-species-notes": "", "IP-species-checked": "guaranteed", "IP-species-dilution-info": "", "IP-species-notes": "<p></p>", "ELISA-species-checked": "guaranteed", "ELISA-species-dilution-info": "", "ELISA-species-notes": "<p></p>", "WB-species-checked": "testedAndGuaranteed", "WB-species-dilution-info": "500-1000 µg/mL", "WB-species-notes": "<p></p>" } } }

Product details

What is this antibody validated in?
Anti-TRAP220/MED1 antibody (ab64965) is a rabbit polyclonal antibody and is validated for use in Western Blot (WB), Immunoprecipitation (IP), Immunohistochemistry (IHC-P), ELISA in Human, Mouse samples.

What is the molecular weight of TRAP220/MED1?
Anti-TRAP220/MED1 (ab64965) specifically detects a band for TRAP220/MED1 (UniProt: Q15648) at a molecular weight of 180kDa.

Trusted by the scientific community
Anti-TRAP220/MED1 (ab64965) was first used in a scientific publication in 2008 and has been cited over 20 times in peer-reviewed journals.

Reviewed by scientists
Anti-TRAP220/MED1 (ab64965) has over 5 independent reviews from customers.

Properties and storage information

Form
Liquid
Purification technique
Affinity purification Immunogen
Storage buffer
pH: 7.4 Preservative: 0.02% Sodium azide Constituents: PBS, 50% Glycerol (glycerin, glycerine), 0.87% Sodium chloride
Shipped at conditions
Blue Ice
Appropriate short-term storage conditions
+4°C
Appropriate long-term storage conditions
-20°C
Storage information
Stable for 12 months at -20°C

Supplementary information

This supplementary information is collated from multiple sources and compiled automatically.

TRAP220 also known as MED1 is a protein with a molecular mass of approximately 220 kDa. It plays an important role as a component of the mediator complex which is important for transcription regulation. The expression of TRAP220/MED1 is found in various tissues with higher levels observed in liver lung and heart tissues. This protein acts mechanistically as a bridge between gene-specific transcription factors and RNA polymerase II facilitating the assembly of the pre-initiation complex.
Biological function summary

TRAP220/MED1 functions within the larger mediator complex a multi-protein coactivator essential for gene transcription by RNA polymerase II. It plays an important role in nuclear receptor signaling facilitating the transcriptional activation by various nuclear hormone receptors. MED1 interacts directly with these receptors through its various domains allowing the transcription of target genes responsive to hormonal signals.

Pathways

TRAP220/MED1 contributes significantly to transcriptional activation pathways involving nuclear receptors such as the PPAR (Peroxisome Proliferator-Activated Receptor) and thyroid hormone receptor pathways. It closely interacts with other proteins in these pathways including MED12 and MED14 which form integral parts of the mediator complex's function. Its involvement in these pathways highlights its critical role in lipid metabolism and energy homeostasis.

TRAP220/MED1 is associated with metabolic and proliferative diseases. Its altered expression or mutations can lead to conditions such as obesity and cancer. For instance aberrant MED1 activity or expression levels have connections to breast cancer development through its role in estrogen receptor-mediated gene expression. This correlation emphasizes the protein's potential impact in various pathophysiological contexts driving ongoing research into MED1 as a therapeutic target.

Product protocols

For this product, it's our understanding that no specific protocols are required. You can visit:

Target data

Component of the Mediator complex, a coactivator involved in the regulated transcription of nearly all RNA polymerase II-dependent genes. Mediator functions as a bridge to convey information from gene-specific regulatory proteins to the basal RNA polymerase II transcription machinery. Mediator is recruited to promoters by direct interactions with regulatory proteins and serves as a scaffold for the assembly of a functional preinitiation complex with RNA polymerase II and the general transcription factors (PubMed : 10406464, PubMed : 11867769, PubMed : 12037571, PubMed : 12218053, PubMed : 12556447, PubMed : 14636573, PubMed : 15340084, PubMed : 15471764, PubMed : 15989967, PubMed : 16574658, PubMed : 9653119). Acts as a coactivator for GATA1-mediated transcriptional activation during erythroid differentiation of K562 erythroleukemia cells (PubMed : 24245781).
See full target information MED1

Publications (35)

Recent publications for all applications. Explore the full list and refine your search

Inflammation 48:2458-2475 PubMed39729151

2024

TFEB Phase Separation Mediates the Amelioration Effect of Intermittent Fasting on Inflammatory Colitis.

Applications

Unspecified application

Species

Unspecified reactive species

Xiujuan Zhao,Minghui Xia,Zhengxin Peng,Qiuyang Du,Yang Liu,Yu Xia,Panjing Lv,Xiao Zhang,Shijie Yuan,Xiaorong Xie,Jing Wang,Shuguo Sun,Xiang-Ping Yang,Ran He

Nature communications 15:7222 PubMed39174527

2024

Specific multivalent molecules boost CRISPR-mediated transcriptional activation.

Applications

Unspecified application

Species

Unspecified reactive species

Rui Chen,Xinyao Shi,Xiangrui Yao,Tong Gao,Guangyu Huang,Duo Ning,Zemin Cao,Youxin Xu,Weizheng Liang,Simon Zhongyuan Tian,Qionghua Zhu,Liang Fang,Meizhen Zheng,Yuhui Hu,Huanhuan Cui,Wei Chen

Genes to cells : devoted to molecular & cellular mechanisms 29:532-548 PubMed38715205

2024

Chimera RNA transcribed from integrated HPV18 genome with adjacent host genomic region promotes oncogenic gene expression through condensate formation.

Applications

Unspecified application

Species

Unspecified reactive species

Kazuki Furugori,Hidefumi Suzuki,Ryota Abe,Keiko Horiuchi,Tomohiko Akiyama,Tomonori Hirose,Atsushi Toyoda,Hidehisa Takahashi

Nature structural & molecular biology 30:1958-1969 PubMed38049566

2023

Rational optimization of a transcription factor activation domain inhibitor.

Applications

Unspecified application

Species

Unspecified reactive species

Shaon Basu,Paula Martínez-Cristóbal,Marta Frigolé-Vivas,Mireia Pesarrodona,Michael Lewis,Elzbieta Szulc,C Adriana Bañuelos,Carolina Sánchez-Zarzalejo,Stasė Bielskutė,Jiaqi Zhu,Karina Pombo-García,Carla Garcia-Cabau,Levente Zodi,Hannes Dockx,Jordann Smak,Harpreet Kaur,Cristina Batlle,Borja Mateos,Mateusz Biesaga,Albert Escobedo,Lídia Bardia,Xavier Verdaguer,Alessandro Ruffoni,Nasrin R Mawji,Jun Wang,Jon K Obst,Teresa Tam,Isabelle Brun-Heath,Salvador Ventura,David Meierhofer,Jesús García,Paul Robustelli,Travis H Stracker,Marianne D Sadar,Antoni Riera,Denes Hnisz,Xavier Salvatella

Nature communications 14:5556 PubMed37689690

2023

Chemical-induced phase transition and global conformational reorganization of chromatin.

Applications

Unspecified application

Species

Unspecified reactive species

Tengfei Wang,Shuxiang Shi,Yuanyuan Shi,Peipei Jiang,Ganlu Hu,Qinying Ye,Zhan Shi,Kexin Yu,Chenguang Wang,Guoping Fan,Suwen Zhao,Hanhui Ma,Alex C Y Chang,Zhi Li,Qian Bian,Chao-Po Lin

Molecular cell 83:2398-2416.e12 PubMed37402365

2023

Chromatin regulation of transcriptional enhancers and cell fate by the Sotos syndrome gene NSD1.

Applications

Unspecified application

Species

Unspecified reactive species

Zhen Sun,Yuan Lin,Mohammed T Islam,Richard Koche,Lin Hedehus,Dingyu Liu,Chang Huang,Thomas Vierbuchen,Charles L Sawyers,Kristian Helin

Cell discovery 9:47 PubMed37156794

2023

BRD4-targeting PROTAC as a unique tool to study biomolecular condensates.

Applications

Unspecified application

Species

Unspecified reactive species

Yi Shi,Yuan Liao,Qianlong Liu,Zhihao Ni,Zhenzhen Zhang,Minglei Shi,Pilong Li,Haitao Li,Yu Rao

Nature 614:564-571 PubMed36755093

2023

Aberrant phase separation and nucleolar dysfunction in rare genetic diseases.

Applications

Unspecified application

Species

Unspecified reactive species

Martin A Mensah,Henri Niskanen,Alexandre P Magalhaes,Shaon Basu,Martin Kircher,Henrike L Sczakiel,Alisa M V Reiter,Jonas Elsner,Peter Meinecke,Saskia Biskup,Brian H Y Chung,Gregor Dombrowsky,Christel Eckmann-Scholz,Marc Phillip Hitz,Alexander Hoischen,Paul-Martin Holterhus,Wiebke Hülsemann,Kimia Kahrizi,Vera M Kalscheuer,Anita Kan,Mandy Krumbiegel,Ingo Kurth,Jonas Leubner,Ann Carolin Longardt,Jörg D Moritz,Hossein Najmabadi,Karolina Skipalova,Lot Snijders Blok,Andreas Tzschach,Eberhard Wiedersberg,Martin Zenker,Carla Garcia-Cabau,René Buschow,Xavier Salvatella,Matthew L Kraushar,Stefan Mundlos,Almuth Caliebe,Malte Spielmann,Denise Horn,Denes Hnisz

Nature communications 14:378 PubMed36690674

2023

Structural mechanism of BRD4-NUT and p300 bipartite interaction in propagating aberrant gene transcription in chromatin in NUT carcinoma.

Applications

Unspecified application

Species

Unspecified reactive species

Di Yu,Yingying Liang,Claudia Kim,Anbalagan Jaganathan,Donglei Ji,Xinye Han,Xuelan Yang,Yanjie Jia,Ruirui Gu,Chunyu Wang,Qiang Zhang,Ka Lung Cheung,Ming-Ming Zhou,Lei Zeng

Nature communications 13:5857 PubMed36195603

2022

Decoding the spatial chromatin organization and dynamic epigenetic landscapes of macrophage cells during differentiation and immune activation.

Applications

Unspecified application

Species

Unspecified reactive species

Da Lin,Weize Xu,Ping Hong,Chengchao Wu,Zhihui Zhang,Siheng Zhang,Lingyu Xing,Bing Yang,Wei Zhou,Qin Xiao,Jinyue Wang,Cong Wang,Yu He,Xi Chen,Xiaojian Cao,Jiangwei Man,Aikebaier Reheman,Xiaofeng Wu,Xingjie Hao,Zhe Hu,Chunli Chen,Zimeng Cao,Rong Yin,Zhen F Fu,Rong Zhou,Zhaowei Teng,Guoliang Li,Gang Cao
View all publications

Product promise

We are committed to supporting your work with high-quality reagents, and we're here for you every step of the way. In the unlikely event that one of our products does not perform as expected, you're protected by our Product Promise.
For full details, please see our Terms & Conditions

Please note: All products are 'FOR RESEARCH USE ONLY. NOT FOR USE IN DIAGNOSTIC OR THERAPEUTIC PROCEDURES'.

For licensing inquiries, please contact partnerships@abcam.com