JavaScript is disabled in your browser. Please enable JavaScript to view this website.
AB60950

Anti-TRAP220/MED1 (phospho T1457) antibody

5

(2 Reviews)

|

(15 Publications)

Rabbit Polyclonal TRAP220/MED1 phospho T1457 antibody. Suitable for ChIP, ELISA, WB, IHC-P, ICC/IF and reacts with Mouse, African green monkey, Human samples. Cited in 15 publications. Immunogen corresponding to Synthetic Peptide within Human MED1 phospho T1457.

View Alternative Names

ARC205, CRSP1, CRSP200, DRIP205, DRIP230, PBP, PPARBP, PPARGBP, RB18A, TRAP220, TRIP2, MED1, Mediator of RNA polymerase II transcription subunit 1, Activator-recruited cofactor 205 kDa component, Mediator complex subunit 1, Peroxisome proliferator-activated receptor-binding protein, Thyroid hormone receptor-associated protein complex 220 kDa component, Thyroid receptor-interacting protein 2, Vitamin D receptor-interacting protein complex component DRIP205, p53 regulatory protein RB18A, PPAR-binding protein, Trap220, TR-interacting protein 2, TRIP-2

4 Images
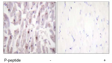
Immunohistochemistry (Formalin/PFA-fixed paraffin-embedded sections) - Anti-TRAP220/MED1 (phospho T1457) antibody (AB60950)
  • IHC-P

Unknown

Immunohistochemistry (Formalin/PFA-fixed paraffin-embedded sections) - Anti-TRAP220/MED1 (phospho T1457) antibody (AB60950)

ab60950 at 1/50 - 1/100 dilution staining TRAP220/MED1 in human heart by Immunohistochemistry, Paraffin embedded tissue, in the absence or presence of the immunising peptide

Immunocytochemistry/ Immunofluorescence - Anti-TRAP220/MED1 (phospho T1457) antibody (AB60950)
  • ICC/IF

Unknown

Immunocytochemistry/ Immunofluorescence - Anti-TRAP220/MED1 (phospho T1457) antibody (AB60950)

ab60950 at 1/500 - 1/1000 dilution staining TRAP220/MED1 in HeLa cells by Immunofluorescence.

Western blot - Anti-TRAP220/MED1 (phospho T1457) antibody (AB60950)
  • WB

Unknown

Western blot - Anti-TRAP220/MED1 (phospho T1457) antibody (AB60950)

All lanes:

Western blot - Anti-TRAP220/MED1 (phospho T1457) antibody (ab60950) at 1/500 dilution

Lane 1:

HuvEc cell extractstreated with Serum (20%, 30mins)

Lane 2:

HuvEc cell extractstreated with Serum (20%, 30mins) with immunising peptide

Predicted band size: 168 kDa

Observed band size: 170 kDa

false

Western blot - Anti-TRAP220/MED1 (phospho T1457) antibody (AB60950)
  • WB

CiteAb

Western blot - Anti-TRAP220/MED1 (phospho T1457) antibody (AB60950)

TRAP220/MED1 (phospho T1457) western blot using anti-TRAP220/MED1 (phospho T1457) antibody ab60950. Publication image and figure legend from Zhao, W., Breese, E., et al., 2013, PLoS One, PubMed 23630580.

ab60950 was used in this publication in western blot. This may not be the same as the application(s) guaranteed by Abcam. For a full list of applications guaranteed by Abcam for ab60950 please see the product overview.

TNFα induced formation of SIMPL-MED1 complexes is p65 dependent.(A) HEK 293 cells or (B) wild-type MEFs or MEFs lacking p65 were transfected with SIMPL-FLAG or empty FLAG-vector, 72 h later cells were left untreated (-) or treated with rhTNFα (10 ng/ml) for 45 min. Upper panels : immunocomplexing assays were performed with antibody to MED1 (IP : MED1) and/or FLAG (IP : FLAG) and immunocomplexed materials were subjected to Western analysis with the antibody to the proteins indicated on the right hand side of the figure. Lower panels : Cell lysates (50 ug) used in immunocomplexing assays were subjected to Western analysis with antibodies to the indicated proteins. (C) HEK 293 cells were transfected with the indicated constructs, 72 h later cells were left untreated or treated with rhTNFα (10 ng/ml) for 45 min. Cell lysates were either analyzed directly (panel labeled input) or were subjected to immunocomplexing assays with Flag-antibody coupled sepharose beads, materials bound to the agaroase beads were eluted with Flag peptide and subjected to immunocomplexing assays with antibody to p65. Immunocomplexed materials were subjected to Western analysis with the antibodies to the proteins indicated on the right hand side of the figure. All assays were repeated at least three times.

false

Key facts

Host species

Rabbit

Clonality

Polyclonal

Isotype

IgG

Carrier free

No

Reacts with

Human, Mouse, African green monkey

Applications

WB, IHC-P, ChIP, ELISA, ICC/IF

applications

Immunogen

Synthetic Peptide within Human MED1 phospho T1457. The exact immunogen used to generate this antibody is proprietary information.

Q15648

Reactivity data

{ "title": "Reactivity Data", "filters": { "stats": ["", "Species", "Dilution Info", "Notes"], "tabs": { "all-applications": {"fullname" : "All Applications", "shortname": "All Applications"}, "ChIP" : {"fullname" : "ChIP", "shortname":"ChIP"}, "ELISA" : {"fullname" : "ELISA", "shortname":"ELISA"}, "WB" : {"fullname" : "Western blot", "shortname":"WB"}, "IHCP" : {"fullname" : "Immunohistochemistry (Formalin/PFA-fixed paraffin-embedded sections)", "shortname":"IHC-P"}, "ICCIF" : {"fullname" : "Immunocytochemistry/ Immunofluorescence", "shortname":"ICC/IF"} }, "product-promise": { "all": "all", "testedAndGuaranteed": "tested", "guaranteed": "expected", "predicted": "predicted", "notRecommended": "not-recommended" } }, "values": { "Human": { "ChIP-species-checked": "guaranteed", "ChIP-species-dilution-info": "", "ChIP-species-notes": "<p></p>", "ELISA-species-checked": "guaranteed", "ELISA-species-dilution-info": "", "ELISA-species-notes": "<p></p>", "WB-species-checked": "testedAndGuaranteed", "WB-species-dilution-info": "1/500 - 1/1000", "WB-species-notes": "<p></p>", "IHCP-species-checked": "testedAndGuaranteed", "IHCP-species-dilution-info": "1/50 - 1/100", "IHCP-species-notes": "<p></p>", "ICCIF-species-checked": "testedAndGuaranteed", "ICCIF-species-dilution-info": "1/500 - 1/1000", "ICCIF-species-notes": "<p></p>" }, "Mouse": { "ChIP-species-checked": "guaranteed", "ChIP-species-dilution-info": "", "ChIP-species-notes": "<p></p>", "ELISA-species-checked": "guaranteed", "ELISA-species-dilution-info": "", "ELISA-species-notes": "<p></p>", "WB-species-checked": "predicted", "WB-species-dilution-info": "", "WB-species-notes": "", "IHCP-species-checked": "predicted", "IHCP-species-dilution-info": "", "IHCP-species-notes": "", "ICCIF-species-checked": "predicted", "ICCIF-species-dilution-info": "", "ICCIF-species-notes": "" }, "African green monkey": { "ChIP-species-checked": "guaranteed", "ChIP-species-dilution-info": "", "ChIP-species-notes": "<p></p>", "ELISA-species-checked": "guaranteed", "ELISA-species-dilution-info": "", "ELISA-species-notes": "<p></p>", "WB-species-checked": "predicted", "WB-species-dilution-info": "", "WB-species-notes": "", "IHCP-species-checked": "predicted", "IHCP-species-dilution-info": "", "IHCP-species-notes": "", "ICCIF-species-checked": "predicted", "ICCIF-species-dilution-info": "", "ICCIF-species-notes": "" } } }

Properties and storage information

Form
Liquid
Purification technique
Affinity purification Immunogen
Purification notes
ab60950 was affinity-purified from rabbit antiserum by affinity-chromatography using epitope-specific phosphopeptide. The antibody against non-phosphopeptide was removed by chromatography using non-phosphopeptide corresponding to the phosphorylation site.
Storage buffer
pH: 7.4 Preservative: 0.02% Sodium azide Constituents: PBS, 50% Glycerol (glycerin, glycerine), 0.87% Sodium chloride
Shipped at conditions
Blue Ice
Appropriate short-term storage duration
1-2 weeks
Appropriate short-term storage conditions
+4°C
Appropriate long-term storage conditions
-20°C
Aliquoting information
Upon delivery aliquot
Storage information
Avoid freeze / thaw cycle

Supplementary information

This supplementary information is collated from multiple sources and compiled automatically.

TRAP220 also known as MED1 is a protein with a molecular mass of approximately 220 kDa. It plays an important role as a component of the mediator complex which is important for transcription regulation. The expression of TRAP220/MED1 is found in various tissues with higher levels observed in liver lung and heart tissues. This protein acts mechanistically as a bridge between gene-specific transcription factors and RNA polymerase II facilitating the assembly of the pre-initiation complex.
Biological function summary

TRAP220/MED1 functions within the larger mediator complex a multi-protein coactivator essential for gene transcription by RNA polymerase II. It plays an important role in nuclear receptor signaling facilitating the transcriptional activation by various nuclear hormone receptors. MED1 interacts directly with these receptors through its various domains allowing the transcription of target genes responsive to hormonal signals.

Pathways

TRAP220/MED1 contributes significantly to transcriptional activation pathways involving nuclear receptors such as the PPAR (Peroxisome Proliferator-Activated Receptor) and thyroid hormone receptor pathways. It closely interacts with other proteins in these pathways including MED12 and MED14 which form integral parts of the mediator complex's function. Its involvement in these pathways highlights its critical role in lipid metabolism and energy homeostasis.

TRAP220/MED1 is associated with metabolic and proliferative diseases. Its altered expression or mutations can lead to conditions such as obesity and cancer. For instance aberrant MED1 activity or expression levels have connections to breast cancer development through its role in estrogen receptor-mediated gene expression. This correlation emphasizes the protein's potential impact in various pathophysiological contexts driving ongoing research into MED1 as a therapeutic target.

Product protocols

For this product, it's our understanding that no specific protocols are required. You can visit:

Target data

Component of the Mediator complex, a coactivator involved in the regulated transcription of nearly all RNA polymerase II-dependent genes. Mediator functions as a bridge to convey information from gene-specific regulatory proteins to the basal RNA polymerase II transcription machinery. Mediator is recruited to promoters by direct interactions with regulatory proteins and serves as a scaffold for the assembly of a functional preinitiation complex with RNA polymerase II and the general transcription factors (PubMed : 10406464, PubMed : 11867769, PubMed : 12037571, PubMed : 12218053, PubMed : 12556447, PubMed : 14636573, PubMed : 15340084, PubMed : 15471764, PubMed : 15989967, PubMed : 16574658, PubMed : 9653119). Acts as a coactivator for GATA1-mediated transcriptional activation during erythroid differentiation of K562 erythroleukemia cells (PubMed : 24245781).
See full target information MED1 phospho T1457

Publications (15)

Recent publications for all applications. Explore the full list and refine your search

Nature communications 16:7065 PubMed40764481

2025

SON-dependent nuclear speckle rehabilitation alleviates proteinopathies.

Applications

Unspecified application

Species

Unspecified reactive species

William Dion,Yuren Tao,Maci Chambers,Shanshan Zhao,Riley K Arbuckle,Michelle Sun,Syeda Kubra,Matthew A Schaich,Yuhang Nie,Megan Ye,Imran Jamal,Mads B Larsen,Daniel Camarco,Eleanor Ickes,Haokun H Wang,C DuPont,Bingjie Wang,Silvia Liu,Shaohua Pi,Bennett Van Houten,Bill B Chen,Yuanyuan Chen,Xu Chen,Bokai Zhu

NPJ breast cancer 11:39 PubMed40287441

2025

MUC1-C dependency in drug resistant HR+/HER2- breast cancer identifies a new target for antibody-drug conjugate treatment.

Applications

Unspecified application

Species

Unspecified reactive species

Ayako Nakashoji,Atrayee Bhattacharya,Hiroki Ozawa,Naoki Haratake,Keisuke Shigeta,Atsushi Fushimi,Nami Yamashita,Akira Matsui,Shoko Kure,Tomoe Kameyama,Makoto Takeuchi,Kazumasa Fukuda,Takamichi Yokoe,Aiko Nagayama,Tetsu Hayahsida,Yuko Kitagawa,Renyan Liu,Antonio Giordano,Rinath Jeselsohn,Geoffrey I Shapiro,Donald Kufe

Journal of experimental & clinical cancer research : CR 43:69 PubMed38443991

2024

KLF7 regulates super-enhancer-driven IGF2BP2 overexpression to promote the progression of head and neck squamous cell carcinoma.

Applications

Unspecified application

Species

Unspecified reactive species

Hongshi Cai,Jianfeng Liang,Yaoqi Jiang,Ziyi Wang,Hongyu Li,Wenjin Wang,Cheng Wang,Jinsong Hou

British journal of cancer 128:2326-2337 PubMed37076563

2023

The CDK7 inhibitor CT7001 (Samuraciclib) targets proliferation pathways to inhibit advanced prostate cancer.

Applications

Unspecified application

Species

Unspecified reactive species

Theodora A Constantin,Anabel Varela-Carver,Kyle K Greenland,Gilberto Serrano de Almeida,Ellen Olden,Lucy Penfold,Simon Ang,Alice Ormrod,Damien A Leach,Chun-Fui Lai,Edward K Ainscow,Ash K Bahl,David Carling,Matthew J Fuchter,Simak Ali,Charlotte L Bevan

Nucleic acids research 51:99-116 PubMed36535377

2022

Dynamic phase separation of the androgen receptor and its coactivators key to regulate gene expression.

Applications

Unspecified application

Species

Unspecified reactive species

Fan Zhang,Maitree Biswas,Shabnam Massah,Joseph Lee,Shreyas Lingadahalli,Samantha Wong,Christopher Wells,Jane Foo,Nabeel Khan,Helene Morin,Neetu Saxena,Sonia H Y Kung,Bei Sun,Ana Karla Parra Nuñez,Christophe Sanchez,Novia Chan,Lauren Ung,Umut Berkay Altıntaş,Jennifer M Bui,Yuzhuo Wang,Ladan Fazli,Htoo Zarni Oo,Paul S Rennie,Nathan A Lack,Artem Cherkasov,Martin E Gleave,Jörg Gsponer,Nada Lallous

Journal of visualized experiments : JoVE : PubMed35225292

2022

Reusable Single Cell for Iterative Epigenomic Analyses.

Applications

Unspecified application

Species

Unspecified reactive species

Hidetaka Ohnuki,David J Venzon,Alexei Lobanov,Giovanna Tosato

Nucleic acids research 48:7182-7196 PubMed32510157

2020

Hippo-YAP signaling controls lineage differentiation of mouse embryonic stem cells through modulating the formation of super-enhancers.

Applications

Unspecified application

Species

Unspecified reactive species

Xiang Sun,Zhijun Ren,Yixian Cun,Cai Zhao,Xianglin Huang,Jiajian Zhou,Rong Hu,Xiaoxi Su,Lu Ji,Peng Li,King Lun Kingston Mak,Feng Gao,Yi Yang,He Xu,Junjun Ding,Nan Cao,Shuo Li,Wensheng Zhang,Ping Lan,Hao Sun,Jinkai Wang,Ping Yuan

eNeuro 4: PubMed28955722

2017

The Progestin Receptor Interactome in the Female Mouse Hypothalamus: Interactions with Synaptic Proteins Are Isoform Specific and Ligand Dependent.

Applications

Unspecified application

Species

Unspecified reactive species

Kalpana D Acharya,Sabin A Nettles,Katherine J Sellers,Dana D Im,Moriah Harling,Cassandra Pattanayak,Didem Vardar-Ulu,Cheryl F Lichti,Shixia Huang,Dean P Edwards,Deepak P Srivastava,Larry Denner,Marc J Tetel

Genes to cells : devoted to molecular & cellular m 22:265-276 PubMed28151579

2017

Mediator cyclin-dependent kinases upregulate transcription of inflammatory genes in cooperation with NF-κB and C/EBPβ on stimulation of Toll-like receptor 9.

Applications

Unspecified application

Species

Unspecified reactive species

Seiji Yamamoto,Tomoko Hagihara,Yoshiyuki Horiuchi,Akira Okui,Shotaro Wani,Tokuyuki Yoshida,Takao Inoue,Aki Tanaka,Takashi Ito,Yutaka Hirose,Yoshiaki Ohkuma

Chemical research in toxicology 27:1496-503 PubMed25068892

2014

ERK oscillation-dependent gene expression patterns and deregulation by stress response.

Applications

WB

Species

Unspecified reactive species

Katrina M Waters,Brian S Cummings,Harish Shankaran,Natalie E Scholpa,Thomas J Weber
View all publications

Product promise

We are committed to supporting your work with high-quality reagents, and we're here for you every step of the way. In the unlikely event that one of our products does not perform as expected, you're protected by our Product Promise.
For full details, please see our Terms & Conditions

Please note: All products are 'FOR RESEARCH USE ONLY. NOT FOR USE IN DIAGNOSTIC OR THERAPEUTIC PROCEDURES'.

For licensing inquiries, please contact partnerships@abcam.com