JavaScript is disabled in your browser. Please enable JavaScript to view this website.
AB250350

Anti-TRAP220/MED1 (phospho T1457) antibody [EPR13269] - BSA and Azide free

Be the first to review this product! Submit a review

|

(0 Publication)

Rabbit Recombinant Monoclonal TRAP220/MED1 phospho T1457 antibody. Carrier free. Suitable for Dot, WB, IHC-P and reacts with Human samples.

View Alternative Names

ARC205, CRSP1, CRSP200, DRIP205, DRIP230, PBP, PPARBP, PPARGBP, RB18A, TRAP220, TRIP2, MED1, Mediator of RNA polymerase II transcription subunit 1, Activator-recruited cofactor 205 kDa component, Mediator complex subunit 1, Peroxisome proliferator-activated receptor-binding protein, Thyroid hormone receptor-associated protein complex 220 kDa component, Thyroid receptor-interacting protein 2, Vitamin D receptor-interacting protein complex component DRIP205, p53 regulatory protein RB18A, PPAR-binding protein, Trap220, TR-interacting protein 2, TRIP-2

4 Images
Immunohistochemistry (Formalin/PFA-fixed paraffin-embedded sections) - Anti-TRAP220/MED1 (phospho T1457) antibody [EPR13269] - BSA and Azide free (AB250350)
  • IHC-P

Supplier Data

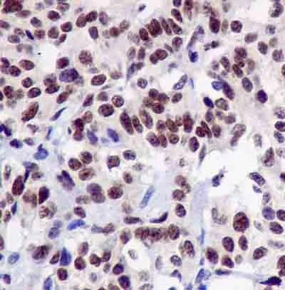
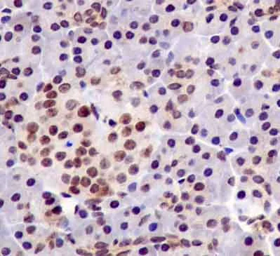
Immunohistochemistry (Formalin/PFA-fixed paraffin-embedded sections) - Anti-TRAP220/MED1 (phospho T1457) antibody [EPR13269] - BSA and Azide free (AB250350)

This data was developed using ab181103, the same antibody clone in a different buffer formulation.

Immunohistochemical analysis of paraffin-embedded sections of Human pancreas tissue labeling TRAP220/MED1 (phospho T1457) using ab181103 at a 1/250 dilution, followed by a HRP Polymer for Rabbit IgG secondary antibody and counterstained with Hematoxylin.

Perform heat mediated antigen retrieval with EDTA buffer pH 9 before commencing with IHC staining protocol.

Immunohistochemistry (Formalin/PFA-fixed paraffin-embedded sections) - Anti-TRAP220/MED1 (phospho T1457) antibody [EPR13269] - BSA and Azide free (AB250350)
  • IHC-P

Supplier Data

Immunohistochemistry (Formalin/PFA-fixed paraffin-embedded sections) - Anti-TRAP220/MED1 (phospho T1457) antibody [EPR13269] - BSA and Azide free (AB250350)

This data was developed using ab181103, the same antibody clone in a different buffer formulation.

Immunohistochemical analysis of paraffin-embedded sections of Human thyroid gland carcinoma tissue labeling TRAP220/MED1 (phospho T1457) using ab181103 at a 1/250 dilution, followed by a HRP Polymer for Rabbit IgG secondary antibody and counterstained with Hematoxylin.

Perform heat mediated antigen retrieval with EDTA buffer pH 9 before commencing with IHC staining protocol.

Western blot - Anti-TRAP220/MED1 (phospho T1457) antibody [EPR13269] - BSA and Azide free (AB250350)
  • WB

Supplier Data

Western blot - Anti-TRAP220/MED1 (phospho T1457) antibody [EPR13269] - BSA and Azide free (AB250350)

This data was developed using ab181103, the same antibody clone in a different buffer formulation.

All lanes:

Western blot - Anti-TRAP220/MED1 (phospho T1457) antibody [EPR13269] (<a href='/en-us/products/primary-antibodies/trap220-med1-phospho-t1457-antibody-epr13269-ab181103'>ab181103</a>) at 1/10000 dilution

Lane 1:

HeLa cell lysate at 10 µg

Lane 2:

HeLa cell lysate treated with Lambda Phosphatase at 10 µg

Secondary

All lanes:

Goat Anti-Rabbit IgG, (H+L), Peroxidase conjugated at 1/1000 dilution

Predicted band size: 168 kDa

false

Dot Blot - Anti-TRAP220/MED1 (phospho T1457) antibody [EPR13269] - BSA and Azide free (AB250350)
  • Dot

Unknown

Dot Blot - Anti-TRAP220/MED1 (phospho T1457) antibody [EPR13269] - BSA and Azide free (AB250350)

This data was developed using ab181103, the same antibody clone in a different buffer formulation.

Dot blot analysis of TRAP220/MED1 (pT1457) peptide (Lane 1), TRAP220/MED1 non-phospho peptide (Lane 2) labelling TRAP220/MED1 (pT1457) with ab181103 at a dilution of 1/1000. A Peroxidase-conjugated goat anti-rabbit IgG (H+L) was used as the secondary antibody at a dilution of 1/2500.

Blocking and dilution buffer : 5% NFDM/TBST.

Exposure time : 10 seconds.

  • Unconjugated

    Anti-TRAP220/MED1 (phospho T1457) antibody [EPR13269]

Key facts

Host species

Rabbit

Clonality

Monoclonal

Clone number

EPR13269

Isotype

IgG

Carrier free

Yes

Reacts with

Human

Applications

Dot, IHC-P, WB

applications

Immunogen

The exact immunogen used to generate this antibody is proprietary information.

Reactivity data

{ "title": "Reactivity Data", "filters": { "stats": ["", "Species", "Dilution Info", "Notes"], "tabs": { "all-applications": {"fullname" : "All Applications", "shortname": "All Applications"}, "Dot" : {"fullname" : "Dot Blot", "shortname":"Dot"}, "WB" : {"fullname" : "Western blot", "shortname":"WB"}, "IHCP" : {"fullname" : "Immunohistochemistry (Formalin/PFA-fixed paraffin-embedded sections)", "shortname":"IHC-P"} }, "product-promise": { "all": "all", "testedAndGuaranteed": "tested", "guaranteed": "expected", "predicted": "predicted", "notRecommended": "not-recommended" } }, "values": { "Human": { "Dot-species-checked": "testedAndGuaranteed", "Dot-species-dilution-info": "", "Dot-species-notes": "<p></p>", "WB-species-checked": "testedAndGuaranteed", "WB-species-dilution-info": "", "WB-species-notes": "<p></p>", "IHCP-species-checked": "testedAndGuaranteed", "IHCP-species-dilution-info": "", "IHCP-species-notes": "<p></p>" }, "Mouse": { "Dot-species-checked": "predicted", "Dot-species-dilution-info": "", "Dot-species-notes": "", "WB-species-checked": "predicted", "WB-species-dilution-info": "", "WB-species-notes": "", "IHCP-species-checked": "predicted", "IHCP-species-dilution-info": "", "IHCP-species-notes": "" }, "Rat": { "Dot-species-checked": "predicted", "Dot-species-dilution-info": "", "Dot-species-notes": "", "WB-species-checked": "predicted", "WB-species-dilution-info": "", "WB-species-notes": "", "IHCP-species-checked": "predicted", "IHCP-species-dilution-info": "", "IHCP-species-notes": "" } } }

Product details

ab250350 is the carrier-free version of ab181103.

Patented technology
Our RabMAb® technology is a patented hybridoma-based technology for making rabbit monoclonal antibodies. For details on our patents, please refer to RabMAb® patents.

What are the advantages of a recombinant monoclonal antibody?
This product is a recombinant monoclonal antibody, which offers several advantages including:

  • - High batch-to-batch consistency and reproducibility
  • - Improved sensitivity and specificity
  • - Long-term security of supply
  • - Animal-free batch production

For more information, read more on recombinant antibodies.

Conjugation ready
Our carrier-free antibodies are typically supplied in a PBS-only formulation, purified and free of BSA, sodium azide and glycerol. This conjugation-ready format is designed for use with fluorochromes, metal isotopes, oligonucleotides, and enzymes, which makes them ideal for antibody labelling, functional and cell-based assays, flow-based assays (e.g. mass cytometry) and Multiplex Imaging applications.

Use our conjugation kits for antibody conjugates that are ready-to-use in as little as 20 minutes with 1 minute hands-on-time and 100% antibody recovery: available for fluorescent dyes, HRP, biotin and gold.

Compatibility
This product is compatible with the Maxpar® Antibody Labeling Kit from Fluidigm, without the need for antibody preparation. Maxpar® is a trademark of Fluidigm Canada Inc.

Properties and storage information

Form
Liquid
Purification technique
Affinity purification
Storage buffer
pH: 7.2 - 7.4 Constituents: PBS
Shipped at conditions
Blue Ice
Appropriate short-term storage conditions
+4°C
Appropriate long-term storage conditions
+4°C
Storage information
Do Not Freeze

Supplementary information

This supplementary information is collated from multiple sources and compiled automatically.

TRAP220 also known as MED1 is a protein with a molecular mass of approximately 220 kDa. It plays an important role as a component of the mediator complex which is important for transcription regulation. The expression of TRAP220/MED1 is found in various tissues with higher levels observed in liver lung and heart tissues. This protein acts mechanistically as a bridge between gene-specific transcription factors and RNA polymerase II facilitating the assembly of the pre-initiation complex.
Biological function summary

TRAP220/MED1 functions within the larger mediator complex a multi-protein coactivator essential for gene transcription by RNA polymerase II. It plays an important role in nuclear receptor signaling facilitating the transcriptional activation by various nuclear hormone receptors. MED1 interacts directly with these receptors through its various domains allowing the transcription of target genes responsive to hormonal signals.

Pathways

TRAP220/MED1 contributes significantly to transcriptional activation pathways involving nuclear receptors such as the PPAR (Peroxisome Proliferator-Activated Receptor) and thyroid hormone receptor pathways. It closely interacts with other proteins in these pathways including MED12 and MED14 which form integral parts of the mediator complex's function. Its involvement in these pathways highlights its critical role in lipid metabolism and energy homeostasis.

TRAP220/MED1 is associated with metabolic and proliferative diseases. Its altered expression or mutations can lead to conditions such as obesity and cancer. For instance aberrant MED1 activity or expression levels have connections to breast cancer development through its role in estrogen receptor-mediated gene expression. This correlation emphasizes the protein's potential impact in various pathophysiological contexts driving ongoing research into MED1 as a therapeutic target.

Product protocols

For this product, it's our understanding that no specific protocols are required. You can visit:

Target data

Component of the Mediator complex, a coactivator involved in the regulated transcription of nearly all RNA polymerase II-dependent genes. Mediator functions as a bridge to convey information from gene-specific regulatory proteins to the basal RNA polymerase II transcription machinery. Mediator is recruited to promoters by direct interactions with regulatory proteins and serves as a scaffold for the assembly of a functional preinitiation complex with RNA polymerase II and the general transcription factors (PubMed : 10406464, PubMed : 11867769, PubMed : 12037571, PubMed : 12218053, PubMed : 12556447, PubMed : 14636573, PubMed : 15340084, PubMed : 15471764, PubMed : 15989967, PubMed : 16574658, PubMed : 9653119). Acts as a coactivator for GATA1-mediated transcriptional activation during erythroid differentiation of K562 erythroleukemia cells (PubMed : 24245781).
See full target information MED1 phospho T1457

Product promise

We are committed to supporting your work with high-quality reagents, and we're here for you every step of the way. In the unlikely event that one of our products does not perform as expected, you're protected by our Product Promise.
For full details, please see our Terms & Conditions

Please note: All products are 'FOR RESEARCH USE ONLY. NOT FOR USE IN DIAGNOSTIC OR THERAPEUTIC PROCEDURES'.

For licensing inquiries, please contact partnerships@abcam.com