JavaScript is disabled in your browser. Please enable JavaScript to view this website.
AB169549

Anti-TRC40 antibody [EPR11422]

Be the first to review this product! Submit a review

|

(0 Publication)

Rabbit Recombinant Monoclonal TRC40 antibody. Suitable for IHC-P, WB and reacts with Human samples.

View Alternative Names

ARSA, ASNA1, TRC40, GET3, ATPase GET3, Arsenical pump-driving ATPase, Arsenite-stimulated ATPase, Transmembrane domain recognition complex 40 kDa ATPase subunit, hARSA-I, hASNA-I

4 Images
Immunohistochemistry (Formalin/PFA-fixed paraffin-embedded sections) - Anti-TRC40 antibody [EPR11422] (AB169549)
  • IHC-P

Unknown

Immunohistochemistry (Formalin/PFA-fixed paraffin-embedded sections) - Anti-TRC40 antibody [EPR11422] (AB169549)

Immunohistochemical analysis of paraffin-embedded Human cervical carcinoma tissue labeling TRC40 with ab169549 at 1/50 dilution.

Perform heat mediated antigen retrieval with citrate buffer pH 6 before commencing with IHC staining protocol.

Western blot - Anti-TRC40 antibody [EPR11422] (AB169549)
  • WB

Unknown

Western blot - Anti-TRC40 antibody [EPR11422] (AB169549)

All lanes:

Western blot - Anti-TRC40 antibody [EPR11422] (ab169549) at 1/1000 dilution

All lanes:

Immunoprecipitation pellet from fetal brain tissue lysate

Secondary

All lanes:

HRP-conjugated anti-rabbit IgG preferentially detecting the non-reduced form of rabbit IgG

Predicted band size: 39 kDa

false

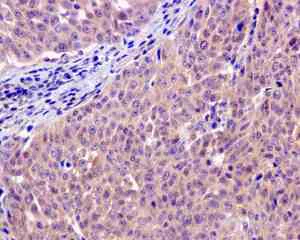
Immunohistochemistry (Formalin/PFA-fixed paraffin-embedded sections) - Anti-TRC40 antibody [EPR11422] (AB169549)
  • IHC-P

Unknown

Immunohistochemistry (Formalin/PFA-fixed paraffin-embedded sections) - Anti-TRC40 antibody [EPR11422] (AB169549)

Immunohistochemical analysis of paraffin-embedded Human kidney tissue labeling TRC40 with ab169549 at 1/50 dilution.

Perform heat mediated antigen retrieval with citrate buffer pH 6 before commencing with IHC staining protocol.

Western blot - Anti-TRC40 antibody [EPR11422] (AB169549)
  • WB

Unknown

Western blot - Anti-TRC40 antibody [EPR11422] (AB169549)

All lanes:

Western blot - Anti-TRC40 antibody [EPR11422] (ab169549) at 1/1000 dilution

Lane 1:

Fetal brain tissue lysate at 10 µg

Lane 2:

Fetal kidney tissue lysate at 10 µg

Lane 3:

HeLa cell lysate at 10 µg

Lane 4:

293T cell lysate at 10 µg

Secondary

All lanes:

HRP labeled goat anti-rabbit at 1/2000 dilution

Predicted band size: 39 kDa

false

  • Carrier free

    Anti-TRC40 antibody [EPR11422] - BSA and Azide free

Key facts

Host species

Rabbit

Clonality

Monoclonal

Clone number

EPR11422

Isotype

IgG

Carrier free

No

Reacts with

Human

Applications

IHC-P, WB

applications

Immunogen

The exact immunogen used to generate this antibody is proprietary information.

Reactivity data

{ "title": "Reactivity Data", "filters": { "stats": ["", "Species", "Dilution Info", "Notes"], "tabs": { "all-applications": {"fullname" : "All Applications", "shortname": "All Applications"}, "IHCP" : {"fullname" : "Immunohistochemistry (Formalin/PFA-fixed paraffin-embedded sections)", "shortname":"IHC-P"}, "ICCIF" : {"fullname" : "Immunocytochemistry/ Immunofluorescence", "shortname":"ICC/IF"}, "FlowCyt" : {"fullname" : "Flow Cytometry", "shortname":"Flow Cyt"}, "WB" : {"fullname" : "Western blot", "shortname":"WB"} }, "product-promise": { "all": "all", "testedAndGuaranteed": "tested", "guaranteed": "expected", "predicted": "predicted", "notRecommended": "not-recommended" } }, "values": { "Human": { "IHCP-species-checked": "testedAndGuaranteed", "IHCP-species-dilution-info": "1/50 - 1/100", "IHCP-species-notes": "<p></p> Perform heat-mediated antigen retrieval with citrate buffer pH 6 before commencing with IHC staining protocol.", "ICCIF-species-checked": "notRecommended", "ICCIF-species-dilution-info": "", "ICCIF-species-notes": "<p></p>", "FlowCyt-species-checked": "notRecommended", "FlowCyt-species-dilution-info": "", "FlowCyt-species-notes": "<p></p>", "WB-species-checked": "testedAndGuaranteed", "WB-species-dilution-info": "1/1000 - 1/10000", "WB-species-notes": "<p></p>" }, "Mouse": { "IHCP-species-checked": "predicted", "IHCP-species-dilution-info": "", "IHCP-species-notes": "", "ICCIF-species-checked": "notRecommended", "ICCIF-species-dilution-info": "", "ICCIF-species-notes": "", "FlowCyt-species-checked": "notRecommended", "FlowCyt-species-dilution-info": "", "FlowCyt-species-notes": "", "WB-species-checked": "predicted", "WB-species-dilution-info": "", "WB-species-notes": "" }, "Rat": { "IHCP-species-checked": "predicted", "IHCP-species-dilution-info": "", "IHCP-species-notes": "", "ICCIF-species-checked": "notRecommended", "ICCIF-species-dilution-info": "", "ICCIF-species-notes": "", "FlowCyt-species-checked": "notRecommended", "FlowCyt-species-dilution-info": "", "FlowCyt-species-notes": "", "WB-species-checked": "predicted", "WB-species-dilution-info": "", "WB-species-notes": "" } } }

Product details

Patented technology
Our RabMAb® technology is a patented hybridoma-based technology for making rabbit monoclonal antibodies. For details on our patents, please refer to RabMAb® patents.

What are the advantages of a recombinant monoclonal antibody?
This product is a recombinant monoclonal antibody, which offers several advantages including:

  • - High batch-to-batch consistency and reproducibility
  • - Improved sensitivity and specificity
  • - Long-term security of supply
  • - Animal-free batch production

For more information, read more on recombinant antibodies.

Properties and storage information

Form
Liquid
Purity
Tissue culture supernatant
Storage buffer
pH: 7.2 - 7.4 Preservative: 0.01% Sodium azide Constituents: 50% Tissue culture supernatant, 40% Glycerol (glycerin, glycerine), 9% PBS, 0.05% BSA
Shipped at conditions
Blue Ice
Appropriate short-term storage duration
1-2 weeks
Appropriate short-term storage conditions
+4°C
Appropriate long-term storage conditions
-20°C
Aliquoting information
Upon delivery aliquot

Supplementary information

This supplementary information is collated from multiple sources and compiled automatically.

TRC40 also known as the transmembrane domain recognition complex subunit is a 41 kDa protein important for targeting and insertion of tail-anchored proteins into the endoplasmic reticulum membrane. It is well-expressed in human tissue especially those with high secretory or membrane protein activity. The protein interacts closely with the cytosolic components and serves as an important part of the guiding mechanism for specific proteins important for cellular function.
Biological function summary

The targeting process involves TRC40 interacting with several tail-anchored proteins. It forms part of a delivery complex required for efficient insertion of these proteins into the correct cellular locations. TRC40 ensures accurate membrane localization firmly supporting cellular physiology and protein homeostasis. This activity is essential for maintaining the protein synthesis balance within the endoplasmic reticulum influencing many cellular metabolic processes.

Pathways

TRC40 operates in the endoplasmic reticulum-associated degradation (ERAD) and secretory pathways. It cooperates with proteins like BAG6 and the Get3 complex acting as routing machinery for tail-anchored protein targeting. These pathways play a critical role in maintaining cellular protein composition by sorting membrane proteins essential for cellular health and stress responses.

TRC40 shows a significant role in neurodegenerative diseases and metabolic syndromes. Misregulation or dysfunction of its targeting process can disrupt protein homeostasis linking it to disorders such as Alzheimer's disease. The ERAD pathway involving TRC40 interacts with proteins like APP and presenilin contributing to the progression of these neurodegenerative conditions. Insights into TRC40's function reveal potential therapeutic targets in tackling related diseases.

Product protocols

For this product, it's our understanding that no specific protocols are required. You can visit:

Target data

ATPase required for the post-translational delivery of tail-anchored (TA) proteins to the endoplasmic reticulum. Recognizes and selectively binds the transmembrane domain of TA proteins in the cytosol. This complex then targets to the endoplasmic reticulum by membrane-bound receptors GET1/WRB and CAMLG/GET2, where the tail-anchored protein is released for insertion. This process is regulated by ATP binding and hydrolysis. ATP binding drives the homodimer towards the closed dimer state, facilitating recognition of newly synthesized TA membrane proteins. ATP hydrolysis is required for insertion. Subsequently, the homodimer reverts towards the open dimer state, lowering its affinity for the GET1-CAMLG receptor, and returning it to the cytosol to initiate a new round of targeting. May be involved in insulin signaling.
See full target information GET3

Product promise

We are committed to supporting your work with high-quality reagents, and we're here for you every step of the way. In the unlikely event that one of our products does not perform as expected, you're protected by our Product Promise.
For full details, please see our Terms & Conditions

Please note: All products are 'FOR RESEARCH USE ONLY. NOT FOR USE IN DIAGNOSTIC OR THERAPEUTIC PROCEDURES'.

For licensing inquiries, please contact partnerships@abcam.com