JavaScript is disabled in your browser. Please enable JavaScript to view this website.
AB202967

Anti-Trefoil Factor 3 antibody

Be the first to review this product! Submit a review

|

(1 Publication)

Rabbit Polyclonal Trefoil Factor 3 antibody. Suitable for IHC-P, Flow Cyt (Intra) and reacts with Mouse, Human samples. Cited in 1 publication. Immunogen corresponding to Synthetic Peptide within Human TFF3 aa 50 to C-terminus conjugated to Keyhole Limpet Haemocyanin.

View Alternative Names

ITF, TFI, TFF3, Trefoil factor 3, Intestinal trefoil factor, Polypeptide P1.B, hITF, hP1.B

2 Images
Flow Cytometry (Intracellular) - Anti-Trefoil Factor 3 antibody (AB202967)
  • Flow Cyt (Intra)

Supplier Data

Flow Cytometry (Intracellular) - Anti-Trefoil Factor 3 antibody (AB202967)

Intracellular flow cytometric analysis of HT-29 cells labeling Trefoil Factor 3with ab202967 at 1/100 dilution for 60 minutes at room temperature (green histogram) compared to a negative control cell (blue histogram). Detection utilisedGoat Anti-Rabbit IgG (H + L) Alexa Fluor 488 Conjugated Secondary Antibody.

Immunohistochemistry (Formalin/PFA-fixed paraffin-embedded sections) - Anti-Trefoil Factor 3 antibody (AB202967)
  • IHC-P

Supplier Data

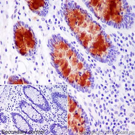
Immunohistochemistry (Formalin/PFA-fixed paraffin-embedded sections) - Anti-Trefoil Factor 3 antibody (AB202967)

Immunohistochemical analysis of paraffin embedded mouse small intestine tissue labeling TFF3 with ab202967 1 : 200, followed by secondary antibody and DAB staining.

Key facts

Host species

Rabbit

Clonality

Polyclonal

Isotype

IgG

Carrier free

No

Reacts with

Mouse, Human

Applications

IHC-P, Flow Cyt (Intra)

applications

Immunogen

Synthetic Peptide within Human TFF3 aa 50 to C-terminus conjugated to Keyhole Limpet Haemocyanin. The exact immunogen used to generate this antibody is proprietary information.

Q07654

Reactivity data

{ "title": "Reactivity Data", "filters": { "stats": ["", "Species", "Dilution Info", "Notes"], "tabs": { "all-applications": {"fullname" : "All Applications", "shortname": "All Applications"}, "IHCP" : {"fullname" : "Immunohistochemistry (Formalin/PFA-fixed paraffin-embedded sections)", "shortname":"IHC-P"}, "FlowCytIntra" : {"fullname" : "Flow Cytometry (Intracellular)", "shortname":"Flow Cyt (Intra)"} }, "product-promise": { "all": "all", "testedAndGuaranteed": "tested", "guaranteed": "expected", "predicted": "predicted", "notRecommended": "not-recommended" } }, "values": { "Human": { "IHCP-species-checked": "guaranteed", "IHCP-species-dilution-info": "", "IHCP-species-notes": "", "FlowCytIntra-species-checked": "testedAndGuaranteed", "FlowCytIntra-species-dilution-info": "", "FlowCytIntra-species-notes": "<p></p>" }, "Mouse": { "IHCP-species-checked": "testedAndGuaranteed", "IHCP-species-dilution-info": "1/100 - 1/500", "IHCP-species-notes": "<p>(or 1/50 - 1/200 using a fluorescent secondary antibody)</p>", "FlowCytIntra-species-checked": "guaranteed", "FlowCytIntra-species-dilution-info": "", "FlowCytIntra-species-notes": "" }, "Rat": { "IHCP-species-checked": "predicted", "IHCP-species-dilution-info": "", "IHCP-species-notes": "", "FlowCytIntra-species-checked": "predicted", "FlowCytIntra-species-dilution-info": "", "FlowCytIntra-species-notes": "" }, "Cow": { "IHCP-species-checked": "predicted", "IHCP-species-dilution-info": "", "IHCP-species-notes": "", "FlowCytIntra-species-checked": "predicted", "FlowCytIntra-species-dilution-info": "", "FlowCytIntra-species-notes": "" } } }

Properties and storage information

Form
Liquid
Purification technique
Affinity purification Protein A
Storage buffer
pH: 7.4 Preservative: 0.02% Proclin 300 Constituents: 50% Glycerol (glycerin, glycerine), 48.98% TBS, 1X, 1% BSA
Shipped at conditions
Blue Ice
Appropriate short-term storage duration
1-2 weeks
Appropriate short-term storage conditions
+4°C
Appropriate long-term storage conditions
-20°C
Aliquoting information
Upon delivery aliquot
Storage information
Avoid freeze / thaw cycle

Supplementary information

This supplementary information is collated from multiple sources and compiled automatically.

Trefoil Factor 3 (TFF3) also known as intestinal trefoil factor is a small peptide with a molecular mass around 7 kDa. This protein is characterized by the presence of a trefoil domain which consists of a stable compact structure important for its function. TFF3 has significant expression in the gastrointestinal tract notably in the colon and small intestine where it acts to maintain the integrity of the mucosal barrier. It can also be found in other tissues but its concentrations vary depending on factors like tissue type and health status.
Biological function summary

TFF3 plays an important role in protecting and repairing epithelial tissues particularly those lining the gastrointestinal tract. This protein promotes epithelial restitution by aiding cell migration and inhibits apoptosis contributing to tissue healing processes. While TFF3 does not form part of a large protein complex it often interacts with mucins specifically mucin 2 to bolster the protective mucus layer which is essential for shielding epithelial cells.

Pathways

Trefoil Factor 3 is notably involved in pathways associated with mucosal immune response and inflammation. A significant pathway involving TFF3 is the mucosal defense pathway where it works alongside other mucins and proteins like epidermal growth factor (EGF) to mediate regeneration and defense of epithelial tissues after injury. It also engages in the Wnt signaling pathway where it affects cell proliferation and migration critical for maintaining epithelial homeostasis.

TFF3 has links to inflammatory bowel disease (IBD) and colorectal cancer. In IBD its expression levels may be altered affecting the ability of the intestine to protect itself and heal contributing to the disease's progression. In colorectal cancer TFF3 can exhibit upregulated expression linking it to tumor growth and metastasis. Proteins such as beta-catenin in the Wnt signaling pathway which are associated with cell cycle regulation have connections with TFF3 highlighting its role in cancerous transformations.

Product protocols

For this product, it's our understanding that no specific protocols are required. You can visit:

Target data

Involved in the maintenance and repair of the intestinal mucosa. Promotes the mobility of epithelial cells in healing processes (motogen).
See full target information TFF3

Publications (1)

Recent publications for all applications. Explore the full list and refine your search

Thoracic cancer 13:986-996 PubMed35166026

2022

Cisplatin resistance and malignant behaviors of lung cancer cells are promoted by circ_0002360 via targeting miR-6751-3p to regulate the expression of ZNF300.

Applications

Unspecified application

Species

Unspecified reactive species

Lingyan Ding,Lizhi Li,Zhaohui Tang
View all publications

Product promise

We are committed to supporting your work with high-quality reagents, and we're here for you every step of the way. In the unlikely event that one of our products does not perform as expected, you're protected by our Product Promise.
For full details, please see our Terms & Conditions

Please note: All products are 'FOR RESEARCH USE ONLY. NOT FOR USE IN DIAGNOSTIC OR THERAPEUTIC PROCEDURES'.

For licensing inquiries, please contact partnerships@abcam.com