JavaScript is disabled in your browser. Please enable JavaScript to view this website.
AB300427

Anti-Trefoil Factor 3 antibody [EPR26048-14]

  • BOND RX™ Validated
  • 20ul selling size
  • RabMAb
  • Recombinant
  • Advanced Validation
  • What is this?

Be the first to review this product! Submit a review

|

(0 Publication)

Rabbit Recombinant Monoclonal Trefoil Factor 3 antibody. Suitable for WB, IHC-P, IHC-Fr, mIHC and reacts with Mouse, Rat samples.

View Alternative Names

Itf, Tff3, Trefoil factor 3, Intestinal trefoil factor, mITF

8 Images
Multiplex immunohistochemistry - Anti-Trefoil Factor 3 antibody [EPR26048-14] (AB300427)
  • mIHC

Lab

Multiplex immunohistochemistry - Anti-Trefoil Factor 3 antibody [EPR26048-14] (AB300427)

Immunohistochemistry analysis of (Formalin/PFA-fixed paraffin-embedded sections) analysis of Mouse colon tissue labelling Eph receptor B2 with ab252935 at 1/500 dilution (B), GSDMC2 + GSDMC3 with ab229896 at 1/500 dilution (C) and Trefoil Factor 3 with ab300427 at 1/500 dilution (D). Opal Polymer HRP Ms + Rb was used as a secondary antibody, and DAPI was used for a nuclear counter stain. Heat mediated antigen retrieval with Tris-EDTA buffer (pH 9.0, epitope retrieval solution2) for 20 mins.

Panel A : merged staining of anti-Eph receptor B2 (green; Opal™520), anti-GSDMC2/3 (magenta; Opal™690) and anti-Trefoil Factor 3 (gray; Opal™570) on mouse colon.

Panel B : anti-Eph receptor B2 staining stem cells in mouse colon.

Panel C : anti-GSDMC2/3 staining epithelium in mouse colon.

Panel D : anti-Trefoil Factor 3 staining goblet cells in mouse colon.

Nuclear DNA was labeled with DAPI (shown in blue).

The section was incubated in three rounds of staining : in the order of ab252935, ab229896 and ab300427 for 30 mins at room temperature. Each round was followed by a separate fluorescent tyramide signal amplification system.

Immunohistochemistry (Formalin/PFA-fixed paraffin-embedded sections) - Anti-Trefoil Factor 3 antibody [EPR26048-14] (AB300427)
  • IHC-P

Supplier Data

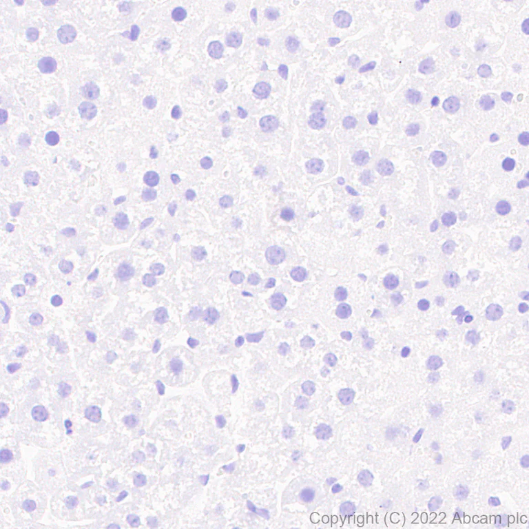
Immunohistochemistry (Formalin/PFA-fixed paraffin-embedded sections) - Anti-Trefoil Factor 3 antibody [EPR26048-14] (AB300427)

Immunohistochemical analysis of paraffin-embedded Mouse liver tissue labeling Trefoil factor 3 with ab300427 at 1/5000 (0.108 ug/ml) followed by a ready to use LeicaDS9800 (Bond™ Polymer Refine Detection) was used. Negative control : No staining on mouse liver. The section was incubated with ab300427 for 10 mins at room temperature.The immunostaining was performed on a Leica Biosystems BOND® RX instrument Counterstained with Hematoxylin. Secondary antibody only control : Secondary antibody is a ready to use LeicaDS9800 (Bond™ Polymer Refine Detection) was used.Heat mediated antigen retrieval with Tris-EDTA buffer (pH 9.0, epitope retrieval solution2) for 20 mins

Immunohistochemistry (Frozen sections) - Anti-Trefoil Factor 3 antibody [EPR26048-14] (AB300427)
  • IHC-Fr

Supplier Data

Immunohistochemistry (Frozen sections) - Anti-Trefoil Factor 3 antibody [EPR26048-14] (AB300427)

Immunohistochemical analysis of 4% PFA-fixed, 0.2% Triton X-100 permeabilized frozen Mouse colon (fresh) tissue labeling Trefoil factor 3 with ab300427 at 1/500 (1.084 ug/ml) dilution followed by ab150081 Goat Anti-Rabbit IgG H&L (Alexa Fluor® 488) preadsorbed at 1/1000 2 ug/mL dilution (Green). Positive staining on goblet cells of mouse colon is observed. The nuclear counterstain was DAPI (Blue). Secondary antibody control : Secondary antibody is ab150081 Goat Anti-Rabbit IgG H&L (Alexa Fluor® 488) preadsorbed at 1/1000 2 ug/mL dilution. .

Immunohistochemistry (Frozen sections) - Anti-Trefoil Factor 3 antibody [EPR26048-14] (AB300427)
  • IHC-Fr

Supplier Data

Immunohistochemistry (Frozen sections) - Anti-Trefoil Factor 3 antibody [EPR26048-14] (AB300427)

Immunohistochemical analysis of 4% PFA-fixed, 0.2% Triton X-100 permeabilized frozen Rat colon (fresh) tissue labeling Trefoil factor 3 with ab300427 at 1/500 (1.084 ug/ml) dilution followed by ab150081 Goat Anti-Rabbit IgG H&L (Alexa Fluor® 488) preadsorbed at 1/1000 2 ug/mL dilution (Green). Positive staining on goblet cells of rat colon is observed. The nuclear counterstain was DAPI (Blue). Secondary antibody control : Secondary antibody is ab150081 Goat Anti-Rabbit IgG H&L (Alexa Fluor® 488) preadsorbed at 1/1000 2 ug/mL dilution. .

Immunohistochemistry (Formalin/PFA-fixed paraffin-embedded sections) - Anti-Trefoil Factor 3 antibody [EPR26048-14] (AB300427)
  • IHC-P

Supplier Data

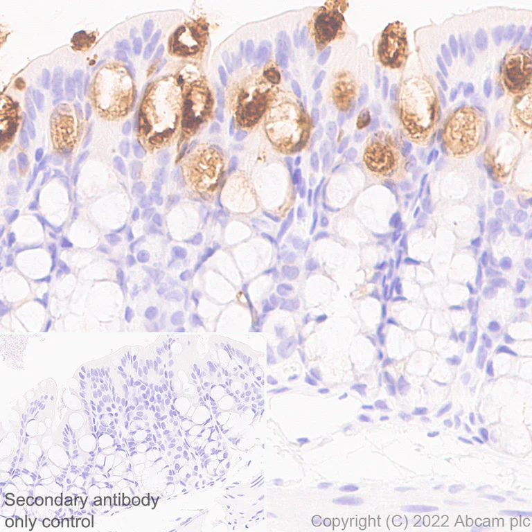
Immunohistochemistry (Formalin/PFA-fixed paraffin-embedded sections) - Anti-Trefoil Factor 3 antibody [EPR26048-14] (AB300427)

Immunohistochemical analysis of paraffin-embedded Rat colon tissue labeling Trefoil factor 3 with ab300427 at 1/5000 (0.108 ug/ml) followed by a ready to use LeicaDS9800 (Bond™ Polymer Refine Detection) was used. Positive staining on goblet cells of rat colon. The section was incubated with ab300427 for 10 mins at room temperature.The immunostaining was performed on a Leica Biosystems BOND® RX instrument Counterstained with Hematoxylin. Secondary antibody only control : Secondary antibody is a ready to use LeicaDS9800 (Bond™ Polymer Refine Detection) was used.Heat mediated antigen retrieval with Tris-EDTA buffer (pH 9.0, epitope retrieval solution2) for 20 mins

Immunohistochemistry (Formalin/PFA-fixed paraffin-embedded sections) - Anti-Trefoil Factor 3 antibody [EPR26048-14] (AB300427)
  • IHC-P

Supplier Data

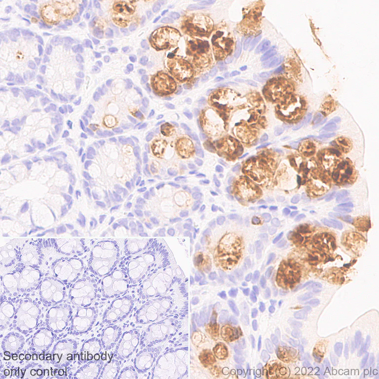
Immunohistochemistry (Formalin/PFA-fixed paraffin-embedded sections) - Anti-Trefoil Factor 3 antibody [EPR26048-14] (AB300427)

Immunohistochemical analysis of paraffin-embedded Mouse colon tissue labeling Trefoil factor 3 with ab300427 at 1/5000 (0.108 ug/ml) followed by a ready to use LeicaDS9800 (Bond™ Polymer Refine Detection) was used. Positive staining on goblet cells of mouse colon. The section was incubated with ab300427 for 10 mins at room temperature.The immunostaining was performed on a Leica Biosystems BOND® RX instrument Counterstained with Hematoxylin. Secondary antibody only control : Secondary antibody is a ready to use LeicaDS9800 (Bond™ Polymer Refine Detection) was used.Heat mediated antigen retrieval with Tris-EDTA buffer (pH 9.0, epitope retrieval solution2) for 20 mins

Western blot - Anti-Trefoil Factor 3 antibody [EPR26048-14] (AB300427)
  • WB

Supplier Data

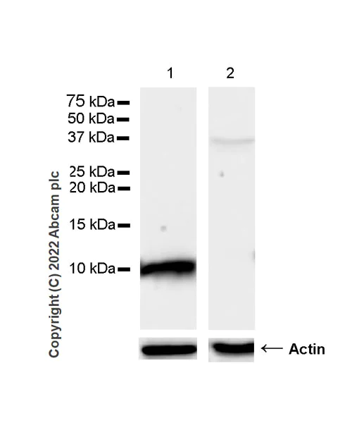
Western blot - Anti-Trefoil Factor 3 antibody [EPR26048-14] (AB300427)

Blocking and Diluting buffer and concentration : 5% NFDM/TBST

Negative control : liver (PMID : 7741746)

The identity of the band at approximately 37 kDa (in lane 2) is unknown.

All lanes:

Western blot - Anti-Trefoil Factor 3 antibody [EPR26048-14] (ab300427) at 1/1000 dilution

Lane 1:

Mouse small intestine tissue lysate at 50 µg

Lane 2:

Mouse liver tissue lysate at 50 µg

Secondary

All lanes:

Western blot - Goat Anti-Rabbit IgG H&L (HRP) (<a href='/en-us/products/secondary-antibodies/goat-rabbit-igg-h-l-hrp-ab97051'>ab97051</a>) at 1/20000 dilution

Predicted band size: 8 kDa

Observed band size: 9 kDa

false

Exposure time: 37s

Western blot - Anti-Trefoil Factor 3 antibody [EPR26048-14] (AB300427)
  • WB

Supplier Data

Western blot - Anti-Trefoil Factor 3 antibody [EPR26048-14] (AB300427)

Blocking and diluting buffer and concentration : 5% NFDM/TBST.

All lanes:

Western blot - Anti-Trefoil Factor 3 antibody [EPR26048-14] (ab300427) at 1/1000 dilution

All lanes:

Mouse colon tissue lysate at 50 µg

Secondary

All lanes:

Western blot - Goat Anti-Rabbit IgG H&L (HRP) (<a href='/en-us/products/secondary-antibodies/goat-rabbit-igg-h-l-hrp-ab97051'>ab97051</a>) at 1/20000 dilution

Predicted band size: 8 kDa

Observed band size: 9 kDa

false

Exposure time: 180s

Key facts

Host species

Rabbit

Clonality

Monoclonal

Clone number

EPR26048-14

Isotype

IgG

Carrier free

No

Reacts with

Mouse, Rat

Applications

IHC-P, mIHC, WB, IHC-Fr

applications

Immunogen

The exact immunogen used to generate this antibody is proprietary information.

Reactivity data

{ "title": "Reactivity Data", "filters": { "stats": ["", "Species", "Dilution Info", "Notes"], "tabs": { "all-applications": {"fullname" : "All Applications", "shortname": "All Applications"}, "WB" : {"fullname" : "Western blot", "shortname":"WB"}, "IHCP" : {"fullname" : "Immunohistochemistry (Formalin/PFA-fixed paraffin-embedded sections)", "shortname":"IHC-P"}, "IHCFr" : {"fullname" : "Immunohistochemistry (Frozen sections)", "shortname":"IHC-Fr"}, "ICCIF" : {"fullname" : "Immunocytochemistry/ Immunofluorescence", "shortname":"ICC/IF"}, "FlowCyt" : {"fullname" : "Flow Cytometry", "shortname":"Flow Cyt"}, "mIHC" : {"fullname" : "Multiplex immunohistochemistry", "shortname":"mIHC"} }, "product-promise": { "all": "all", "testedAndGuaranteed": "tested", "guaranteed": "expected", "predicted": "predicted", "notRecommended": "not-recommended" } }, "values": { "Human": { "WB-species-checked": "notRecommended", "WB-species-dilution-info": "1/1000", "WB-species-notes": "<p></p>", "IHCP-species-checked": "notRecommended", "IHCP-species-dilution-info": "1/5000", "IHCP-species-notes": "<p></p> Perform heat-mediated antigen retrieval with Tris/EDTA buffer pH 9.0 before commencing with IHC staining protocol.", "IHCFr-species-checked": "notRecommended", "IHCFr-species-dilution-info": "", "IHCFr-species-notes": "", "ICCIF-species-checked": "notRecommended", "ICCIF-species-dilution-info": "", "ICCIF-species-notes": "<p></p>", "FlowCyt-species-checked": "notRecommended", "FlowCyt-species-dilution-info": "", "FlowCyt-species-notes": "<p></p>", "mIHC-species-checked": "notRecommended", "mIHC-species-dilution-info": "", "mIHC-species-notes": "" }, "Mouse": { "WB-species-checked": "testedAndGuaranteed", "WB-species-dilution-info": "1/1000", "WB-species-notes": "<p></p>", "IHCP-species-checked": "testedAndGuaranteed", "IHCP-species-dilution-info": "1/5000", "IHCP-species-notes": "<p></p> Perform heat-mediated antigen retrieval with Tris/EDTA buffer pH 9.0 before commencing with IHC staining protocol.", "IHCFr-species-checked": "testedAndGuaranteed", "IHCFr-species-dilution-info": "1/500", "IHCFr-species-notes": "<p></p>", "ICCIF-species-checked": "notRecommended", "ICCIF-species-dilution-info": "", "ICCIF-species-notes": "", "FlowCyt-species-checked": "notRecommended", "FlowCyt-species-dilution-info": "", "FlowCyt-species-notes": "", "mIHC-species-checked": "testedAndGuaranteed", "mIHC-species-dilution-info": "", "mIHC-species-notes": "<p></p>" }, "Rat": { "WB-species-checked": "testedAndGuaranteed", "WB-species-dilution-info": "1/1000", "WB-species-notes": "<p></p>", "IHCP-species-checked": "testedAndGuaranteed", "IHCP-species-dilution-info": "1/5000", "IHCP-species-notes": "<p></p> Perform heat-mediated antigen retrieval with Tris/EDTA buffer pH 9.0 before commencing with IHC staining protocol.", "IHCFr-species-checked": "testedAndGuaranteed", "IHCFr-species-dilution-info": "1/500", "IHCFr-species-notes": "<p></p>", "ICCIF-species-checked": "notRecommended", "ICCIF-species-dilution-info": "", "ICCIF-species-notes": "", "FlowCyt-species-checked": "notRecommended", "FlowCyt-species-dilution-info": "", "FlowCyt-species-notes": "", "mIHC-species-checked": "guaranteed", "mIHC-species-dilution-info": "", "mIHC-species-notes": "" } } }

Product details

Patented technology
Our RabMAb® technology is a patented hybridoma-based technology for making rabbit monoclonal antibodies. For details on our patents, please refer to RabMAb® patents.

What are the advantages of a recombinant monoclonal antibody?
This product is a recombinant monoclonal antibody, which offers several advantages including:

  • - High batch-to-batch consistency and reproducibility
  • - Improved sensitivity and specificity
  • - Long-term security of supply
  • - Animal-free batch production

For more information, read more on recombinant antibodies.

Properties and storage information

Form
Liquid
Purification technique
Affinity purification Protein A
Storage buffer
pH: 7.2 - 7.4 Preservative: 0.01% Sodium azide Constituents: PBS, 40% Glycerol (glycerin, glycerine), 0.05% BSA
Shipped at conditions
Blue Ice
Appropriate short-term storage duration
1-2 weeks
Appropriate short-term storage conditions
+4°C
Appropriate long-term storage conditions
-20°C
Aliquoting information
Upon delivery aliquot
Storage information
Avoid freeze / thaw cycle

Supplementary information

This supplementary information is collated from multiple sources and compiled automatically.

Trefoil Factor 3 (TFF3) also known as intestinal trefoil factor is a small peptide with a molecular mass around 7 kDa. This protein is characterized by the presence of a trefoil domain which consists of a stable compact structure important for its function. TFF3 has significant expression in the gastrointestinal tract notably in the colon and small intestine where it acts to maintain the integrity of the mucosal barrier. It can also be found in other tissues but its concentrations vary depending on factors like tissue type and health status.
Biological function summary

TFF3 plays an important role in protecting and repairing epithelial tissues particularly those lining the gastrointestinal tract. This protein promotes epithelial restitution by aiding cell migration and inhibits apoptosis contributing to tissue healing processes. While TFF3 does not form part of a large protein complex it often interacts with mucins specifically mucin 2 to bolster the protective mucus layer which is essential for shielding epithelial cells.

Pathways

Trefoil Factor 3 is notably involved in pathways associated with mucosal immune response and inflammation. A significant pathway involving TFF3 is the mucosal defense pathway where it works alongside other mucins and proteins like epidermal growth factor (EGF) to mediate regeneration and defense of epithelial tissues after injury. It also engages in the Wnt signaling pathway where it affects cell proliferation and migration critical for maintaining epithelial homeostasis.

TFF3 has links to inflammatory bowel disease (IBD) and colorectal cancer. In IBD its expression levels may be altered affecting the ability of the intestine to protect itself and heal contributing to the disease's progression. In colorectal cancer TFF3 can exhibit upregulated expression linking it to tumor growth and metastasis. Proteins such as beta-catenin in the Wnt signaling pathway which are associated with cell cycle regulation have connections with TFF3 highlighting its role in cancerous transformations.

Product protocols

For this product, it's our understanding that no specific protocols are required. You can visit:

Target data

Involved in the maintenance and repair of the intestinal mucosa. Promotes the mobility of epithelial cells in healing processes (motogen).
See full target information Tff3

Product promise

We are committed to supporting your work with high-quality reagents, and we're here for you every step of the way. In the unlikely event that one of our products does not perform as expected, you're protected by our Product Promise.
For full details, please see our Terms & Conditions

Please note: All products are 'FOR RESEARCH USE ONLY. NOT FOR USE IN DIAGNOSTIC OR THERAPEUTIC PROCEDURES'.

For licensing inquiries, please contact partnerships@abcam.com