JavaScript is disabled in your browser. Please enable JavaScript to view this website.
AB239935

Anti-Trefoil Factor 3 antibody [EPR3974] - BSA and Azide free

Be the first to review this product! Submit a review

|

(1 Publication)

Rabbit Recombinant Monoclonal Trefoil Factor 3 antibody. Carrier free. Suitable for IHC-P, IP, WB and reacts with Human samples. Cited in 1 publication.

View Alternative Names

ITF, TFI, TFF3, Trefoil factor 3, Intestinal trefoil factor, Polypeptide P1.B, hITF, hP1.B

16 Images
Immunohistochemistry (Formalin/PFA-fixed paraffin-embedded sections) - Anti-Trefoil Factor 3 antibody [EPR3974] - BSA and Azide free (AB239935)
  • IHC-P

Unknown

Immunohistochemistry (Formalin/PFA-fixed paraffin-embedded sections) - Anti-Trefoil Factor 3 antibody [EPR3974] - BSA and Azide free (AB239935)

Immunohistochemistry (Formalin/PFA-fixed paraffin-embedded sections) analysis of human colonic adenocarcinoma tissue labelling Trefoil Factor 3 with unpurified ab108599 at a dilution of 1/100.

This data was developed using the same antibody clone in a different buffer formulation containing PBS, BSA, glycerol, and sodium azide (ab108599).

Immunohistochemistry (Formalin/PFA-fixed paraffin-embedded sections) - Anti-Trefoil Factor 3 antibody [EPR3974] - BSA and Azide free (AB239935)
  • IHC-P

Unknown

Immunohistochemistry (Formalin/PFA-fixed paraffin-embedded sections) - Anti-Trefoil Factor 3 antibody [EPR3974] - BSA and Azide free (AB239935)

Immunohistochemistry (Formalin/PFA-fixed paraffin-embedded sections) analysis of human skeletal muslce tissue labelling Trefoil Factor 3 with unpurified ab108599. Negative staining is shown.

This data was developed using the same antibody clone in a different buffer formulation containing PBS, BSA, glycerol, and sodium azide (ab108599).

Immunohistochemistry (Formalin/PFA-fixed paraffin-embedded sections) - Anti-Trefoil Factor 3 antibody [EPR3974] - BSA and Azide free (AB239935)
  • IHC-P

Unknown

Immunohistochemistry (Formalin/PFA-fixed paraffin-embedded sections) - Anti-Trefoil Factor 3 antibody [EPR3974] - BSA and Azide free (AB239935)

Immunohistochemistry (Formalin/PFA-fixed paraffin-embedded sections) analysis of normal human brain tissue labelling Trefoil Factor 3 with unpurified ab108599. Negative staining is shown.

This data was developed using the same antibody clone in a different buffer formulation containing PBS, BSA, glycerol, and sodium azide (ab108599).

Immunohistochemistry (Formalin/PFA-fixed paraffin-embedded sections) - Anti-Trefoil Factor 3 antibody [EPR3974] - BSA and Azide free (AB239935)
  • IHC-P

Unknown

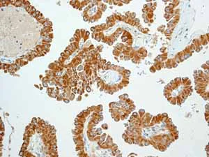
Immunohistochemistry (Formalin/PFA-fixed paraffin-embedded sections) - Anti-Trefoil Factor 3 antibody [EPR3974] - BSA and Azide free (AB239935)

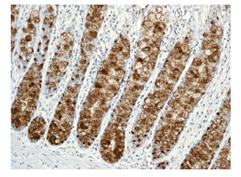
Immunohistochemistry (Formalin/PFA-fixed paraffin-embedded sections) analysis of human colon tissue labelling Trefoil Factor 3 with unpurified ab108599 at a dilution of 1/100.

This data was developed using the same antibody clone in a different buffer formulation containing PBS, BSA, glycerol, and sodium azide (ab108599).

Immunohistochemistry (Formalin/PFA-fixed paraffin-embedded sections) - Anti-Trefoil Factor 3 antibody [EPR3974] - BSA and Azide free (AB239935)
  • IHC-P

Unknown

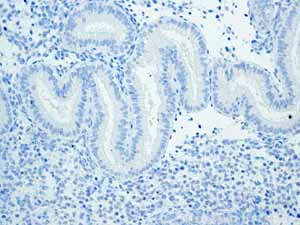
Immunohistochemistry (Formalin/PFA-fixed paraffin-embedded sections) - Anti-Trefoil Factor 3 antibody [EPR3974] - BSA and Azide free (AB239935)

Immunohistochemistry (Formalin/PFA-fixed paraffin-embedded sections) analysis of normal human uterus tissue labelling Trefoil Factor 3 with unpurified ab108599. Negative staining is shown.

This data was developed using the same antibody clone in a different buffer formulation containing PBS, BSA, glycerol, and sodium azide (ab108599).

Immunohistochemistry (Formalin/PFA-fixed paraffin-embedded sections) - Anti-Trefoil Factor 3 antibody [EPR3974] - BSA and Azide free (AB239935)
  • IHC-P

Lab

Immunohistochemistry (Formalin/PFA-fixed paraffin-embedded sections) - Anti-Trefoil Factor 3 antibody [EPR3974] - BSA and Azide free (AB239935)

Immunohistochemistry (Formalin/PFA-fixed paraffin-embedded sections) analysis of human colon tissue labelling Trefoil Factor 3 with purified ab108599 at 1/2000. Heat mediated antigen retrieval was performed using Tris/EDTA buffer pH 9. ab97051, a HRP-conjugated goat anti-rabbit IgG (H+L) was used as the secondary antibody (1/500). Negative control using PBS instead of primary antibody. Counterstained with hematoxylin.

This data was developed using the same antibody clone in a different buffer formulation containing PBS, BSA, glycerol, and sodium azide (ab108599).

Immunohistochemistry (Formalin/PFA-fixed paraffin-embedded sections) - Anti-Trefoil Factor 3 antibody [EPR3974] - BSA and Azide free (AB239935)
  • IHC-P

Unknown

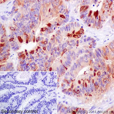
Immunohistochemistry (Formalin/PFA-fixed paraffin-embedded sections) - Anti-Trefoil Factor 3 antibody [EPR3974] - BSA and Azide free (AB239935)

Immunohistochemistry (Formalin/PFA-fixed paraffin-embedded sections) analysis of human endometrial carcinoma tissue labelling Trefoil Factor 3 with unpurified ab108599.

This data was developed using the same antibody clone in a different buffer formulation containing PBS, BSA, glycerol, and sodium azide (ab108599).

Immunohistochemistry (Formalin/PFA-fixed paraffin-embedded sections) - Anti-Trefoil Factor 3 antibody [EPR3974] - BSA and Azide free (AB239935)
  • IHC-P

Unknown

Immunohistochemistry (Formalin/PFA-fixed paraffin-embedded sections) - Anti-Trefoil Factor 3 antibody [EPR3974] - BSA and Azide free (AB239935)

Immunohistochemistry (Formalin/PFA-fixed paraffin-embedded sections) analysis of human papillary carcinoma of thyroid gland tissue labelling Trefoil Factor 3 with unpurified ab108599.

This data was developed using the same antibody clone in a different buffer formulation containing PBS, BSA, glycerol, and sodium azide (ab108599).

Immunohistochemistry (Formalin/PFA-fixed paraffin-embedded sections) - Anti-Trefoil Factor 3 antibody [EPR3974] - BSA and Azide free (AB239935)
  • IHC-P

Unknown

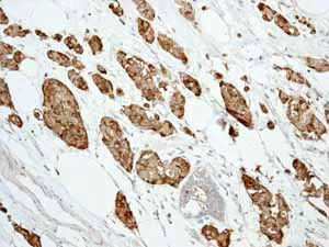
Immunohistochemistry (Formalin/PFA-fixed paraffin-embedded sections) - Anti-Trefoil Factor 3 antibody [EPR3974] - BSA and Azide free (AB239935)

Immunohistochemistry (Formalin/PFA-fixed paraffin-embedded sections) analysis of human breast carcinoma tissue labelling Trefoil Factor 3 with unpurified ab108599.

This data was developed using the same antibody clone in a different buffer formulation containing PBS, BSA, glycerol, and sodium azide (ab108599).

Immunohistochemistry (Formalin/PFA-fixed paraffin-embedded sections) - Anti-Trefoil Factor 3 antibody [EPR3974] - BSA and Azide free (AB239935)
  • IHC-P

Lab

Immunohistochemistry (Formalin/PFA-fixed paraffin-embedded sections) - Anti-Trefoil Factor 3 antibody [EPR3974] - BSA and Azide free (AB239935)

Immunohistochemistry (Formalin/PFA-fixed paraffin-embedded sections) analysis of human colonic carcinoma tissue labelling Trefoil Factor 3 with purified ab108599 at 1/2000. Heat mediated antigen retrieval was performed using Tris/EDTA buffer pH 9. ab97051, a HRP-conjugated goat anti-rabbit IgG (H+L) was used as the secondary antibody (1/500). Negative control using PBS instead of primary antibody. Counterstained with hematoxylin.

This data was developed using the same antibody clone in a different buffer formulation containing PBS, BSA, glycerol, and sodium azide (ab108599).

Immunoprecipitation - Anti-Trefoil Factor 3 antibody [EPR3974] - BSA and Azide free (AB239935)
  • IP

Lab

Immunoprecipitation - Anti-Trefoil Factor 3 antibody [EPR3974] - BSA and Azide free (AB239935)

ab108599 (purified) at 1/30 immunoprecipitating Trefoil Factor 3 in human small intestine tissue lysate. For western blotting, a peroxidase-conjugated goat anti-rabbit IgG (H+L) was used as the secondary antibody (1/1000).

Blocking buffer and concentration : 5% NFDM/TBST.

Diluting buffer and concentration : 5% NFDM /TBST.

This data was developed using the same antibody clone in a different buffer formulation containing PBS, BSA, glycerol, and sodium azide (ab108599).

All lanes:

Immunoprecipitation - Anti-Trefoil Factor 3 antibody [EPR3974] (<a href='/en-us/products/primary-antibodies/trefoil-factor-3-antibody-epr3974-ab108599'>ab108599</a>)

Predicted band size: 8 kDa

false

Western blot - Anti-Trefoil Factor 3 antibody [EPR3974] - BSA and Azide free (AB239935)
  • WB

Unknown

Western blot - Anti-Trefoil Factor 3 antibody [EPR3974] - BSA and Azide free (AB239935)

This data was developed using the same antibody clone in a different buffer formulation containing PBS, BSA, glycerol, and sodium azide (ab108599).

Blocking buffer and concentration : 5% NFDM/TBST.

Diluting buffer and concentration : 5% NFDM /TBST.

All lanes:

Western blot - Anti-Trefoil Factor 3 antibody [EPR3974] - BSA and Azide free (ab239935) at 1/1000 dilution

All lanes:

Human colon tissue lysate at 20 µg

Secondary

All lanes:

Peroxidase-conjugated goat anti-rabbit IgG (H+L) at 1/1000 dilution

Predicted band size: 8 kDa

Observed band size: 9 kDa

false

Western blot - Anti-Trefoil Factor 3 antibody [EPR3974] - BSA and Azide free (AB239935)
  • WB

Unknown

Western blot - Anti-Trefoil Factor 3 antibody [EPR3974] - BSA and Azide free (AB239935)

This data was developed using the same antibody clone in a different buffer formulation containing PBS, BSA, glycerol, and sodium azide (ab108599).

Blocking buffer and concentration : 5% NFDM/TBST.

Diluting buffer and concentration : 5% NFDM /TBST.

All lanes:

Western blot - Anti-Trefoil Factor 3 antibody [EPR3974] - BSA and Azide free (ab239935) at 1/5000 dilution

All lanes:

Human small intestine tissue lysate at 20 µg

Secondary

All lanes:

Peroxidase-conjugated goat anti-rabbit IgG (H+L) at 1/1000 dilution

Predicted band size: 8 kDa

Observed band size: 9 kDa

false

Western blot - Anti-Trefoil Factor 3 antibody [EPR3974] - BSA and Azide free (AB239935)
  • WB

Unknown

Western blot - Anti-Trefoil Factor 3 antibody [EPR3974] - BSA and Azide free (AB239935)

This data was developed using the same antibody clone in a different buffer formulation containing PBS, BSA, glycerol, and sodium azide (ab108599).

All lanes:

Western blot - Anti-Trefoil Factor 3 antibody [EPR3974] - BSA and Azide free (ab239935) at 1/1000 dilution

Lane 1:

Human small intestine tissue lysate at 10 µg

Lane 2:

Human uterus tissue lysate at 10 µg

Predicted band size: 8 kDa

false

Western blot - Anti-Trefoil Factor 3 antibody [EPR3974] - BSA and Azide free (AB239935)
  • WB

Lab

Western blot - Anti-Trefoil Factor 3 antibody [EPR3974] - BSA and Azide free (AB239935)

False colour image of Western blot : Anti-Trefoil Factor 3 antibody [EPR3974] staining at 1/1000 dilution, shown in black; Mouse anti-Alpha Tubulin [DM1A] (ab7291) loading control staining at 1/20000 dilution, shown in red. In Western blot, ab108599 was shown to bind specifically to Trefoil Factor 3. A band was observed at 10 kDa in wild-type MCF7 cell lysates with no signal observed at this size in TFF3 knockout cell line ab274936 (knockout cell lysate ab274994). To generate this image, wild-type and TFF3 knockout MCF7 cell lysates were analysed. First, samples were run on an SDS-PAGE gel then transferred onto a nitrocellulose membrane. Membranes were blocked in 3 % milk in TBS-0.1 % Tween® 20 (TBS-T) before incubation with primary antibodies overnight at 4 °C. Blots were washed four times in TBS-T, incubated with secondary antibodies for 1 h at room temperature, washed again four times before development with Optiblot (ECL reagent ab133456) and imaged with 20 minutes exposure time. Secondary antibodies used were HRP conjugated Goat anti-Rabbit (H+L) and Goat anti-Mouse IgG H&L (IRDye® 680RD) preabsorbed (ab216776) at 1/20000 dilution.

All lanes:

Western blot - Anti-Trefoil Factor 3 antibody [EPR3974] (<a href='/en-us/products/primary-antibodies/trefoil-factor-3-antibody-epr3974-ab108599'>ab108599</a>) at 1/1000 dilution

Lane 1:

Wild-type MCF7 cell lysate at 20 µg

Lane 2:

TFF3 knockout MCF7 cell lysate at 20 µg

Lane 2:

Western blot - Human TFF3 knockout MCF7 cell line (<a href='/en-us/products/cell-lines/human-tff3-knockout-mcf7-cell-line-ab274936'>ab274936</a>)

Lane 3:

Human colon cell lysate at 20 µg

Lane 4:

THP-1 cell lysate at 20 µg

Predicted band size: 8 kDa

Observed band size: 10 kDa

false

OI-RD Scanning - Anti-Trefoil Factor 3 antibody [EPR3974] - BSA and Azide free (AB239935)
  • OI-RD Scanning

Unknown

OI-RD Scanning - Anti-Trefoil Factor 3 antibody [EPR3974] - BSA and Azide free (AB239935)

We have systematically measured KD (the equilibrium dissociation constant between the antibody and its antigen), of more than 840 recombinant antibodies to assess not only their individual KD values but also to see the average affinity of antibody. Based on the comparison with published literature values for mouse monoclonal antibodies, Recombinant antibodies appear to be on average 1-2 order of magnitude higher affinity.

  • Unconjugated

    Anti-Trefoil Factor 3 antibody [EPR3974]

  • 660 APC

    APC Anti-Trefoil Factor 3 antibody [EPR3974]

  • 565 Alexa Fluor® 555

    Alexa Fluor® 555 Anti-Trefoil Factor 3 antibody [EPR3974]

  • 519 Alexa Fluor® 488

    Alexa Fluor® 488 Anti-Trefoil Factor 3 antibody [EPR3974]

  • 578 PE

    PE Anti-Trefoil Factor 3 antibody [EPR3974]

  • 617 Alexa Fluor® 594

    Alexa Fluor® 594 Anti-Trefoil Factor 3 antibody [EPR3974]

  • 665 Alexa Fluor® 647

    Alexa Fluor® 647 Anti-Trefoil Factor 3 antibody [EPR3974]

  • 775 Alexa Fluor® 750

    Alexa Fluor® 750 Anti-Trefoil Factor 3 antibody [EPR3974]

Key facts

Host species

Rabbit

Clonality

Monoclonal

Clone number

EPR3974

Isotype

IgG

Carrier free

Yes

Reacts with

Human

Applications

IP, IHC-P, WB

applications

Immunogen

The exact immunogen used to generate this antibody is proprietary information.

Reactivity data

{ "title": "Reactivity Data", "filters": { "stats": ["", "Species", "Dilution Info", "Notes"], "tabs": { "all-applications": {"fullname" : "All Applications", "shortname": "All Applications"}, "IHCP" : {"fullname" : "Immunohistochemistry (Formalin/PFA-fixed paraffin-embedded sections)", "shortname":"IHC-P"}, "IP" : {"fullname" : "Immunoprecipitation", "shortname":"IP"}, "WB" : {"fullname" : "Western blot", "shortname":"WB"} }, "product-promise": { "all": "all", "testedAndGuaranteed": "tested", "guaranteed": "expected", "predicted": "predicted", "notRecommended": "not-recommended" } }, "values": { "Human": { "IHCP-species-checked": "testedAndGuaranteed", "IHCP-species-dilution-info": "", "IHCP-species-notes": "<p></p>", "IP-species-checked": "testedAndGuaranteed", "IP-species-dilution-info": "", "IP-species-notes": "<p></p>", "WB-species-checked": "testedAndGuaranteed", "WB-species-dilution-info": "", "WB-species-notes": "<p></p>" } } }

Product details

ab239935 is the carrier-free version of ab108599.

Species reactivity
Mouse, Rat: We have preliminary internal testing data to indicate this antibody may not react with these species.
Please contact us for more information.

Patented technology
Our RabMAb® technology is a patented hybridoma-based technology for making rabbit monoclonal antibodies. For details on our patents, please refer to RabMAb® patents.

What are the advantages of a recombinant monoclonal antibody?
This product is a recombinant monoclonal antibody, which offers several advantages including:

  • - High batch-to-batch consistency and reproducibility
  • - Improved sensitivity and specificity
  • - Long-term security of supply
  • - Animal-free batch production

For more information, read more on recombinant antibodies.

Conjugation ready
Our carrier-free antibodies are typically supplied in a PBS-only formulation, purified and free of BSA, sodium azide and glycerol. This conjugation-ready format is designed for use with fluorochromes, metal isotopes, oligonucleotides, and enzymes, which makes them ideal for antibody labelling, functional and cell-based assays, flow-based assays (e.g. mass cytometry) and Multiplex Imaging applications.

Use our conjugation kits for antibody conjugates that are ready-to-use in as little as 20 minutes with 1 minute hands-on-time and 100% antibody recovery: available for fluorescent dyes, HRP, biotin and gold.

Compatibility
This product is compatible with the Maxpar® Antibody Labeling Kit from Fluidigm, without the need for antibody preparation. Maxpar® is a trademark of Fluidigm Canada Inc.

Properties and storage information

Form
Liquid
Purification technique
Affinity purification Protein A
Storage buffer
pH: 7.2 - 7.4 Constituents: PBS
Shipped at conditions
Blue Ice
Appropriate short-term storage conditions
+4°C
Appropriate long-term storage conditions
+4°C
Storage information
Do Not Freeze

Supplementary information

This supplementary information is collated from multiple sources and compiled automatically.

Trefoil Factor 3 (TFF3) also known as intestinal trefoil factor is a small peptide with a molecular mass around 7 kDa. This protein is characterized by the presence of a trefoil domain which consists of a stable compact structure important for its function. TFF3 has significant expression in the gastrointestinal tract notably in the colon and small intestine where it acts to maintain the integrity of the mucosal barrier. It can also be found in other tissues but its concentrations vary depending on factors like tissue type and health status.
Biological function summary

TFF3 plays an important role in protecting and repairing epithelial tissues particularly those lining the gastrointestinal tract. This protein promotes epithelial restitution by aiding cell migration and inhibits apoptosis contributing to tissue healing processes. While TFF3 does not form part of a large protein complex it often interacts with mucins specifically mucin 2 to bolster the protective mucus layer which is essential for shielding epithelial cells.

Pathways

Trefoil Factor 3 is notably involved in pathways associated with mucosal immune response and inflammation. A significant pathway involving TFF3 is the mucosal defense pathway where it works alongside other mucins and proteins like epidermal growth factor (EGF) to mediate regeneration and defense of epithelial tissues after injury. It also engages in the Wnt signaling pathway where it affects cell proliferation and migration critical for maintaining epithelial homeostasis.

TFF3 has links to inflammatory bowel disease (IBD) and colorectal cancer. In IBD its expression levels may be altered affecting the ability of the intestine to protect itself and heal contributing to the disease's progression. In colorectal cancer TFF3 can exhibit upregulated expression linking it to tumor growth and metastasis. Proteins such as beta-catenin in the Wnt signaling pathway which are associated with cell cycle regulation have connections with TFF3 highlighting its role in cancerous transformations.

Product protocols

For this product, it's our understanding that no specific protocols are required. You can visit:

Target data

Involved in the maintenance and repair of the intestinal mucosa. Promotes the mobility of epithelial cells in healing processes (motogen).
See full target information TFF3

Publications (1)

Recent publications for all applications. Explore the full list and refine your search

ACS nano 16:12276-12289 PubMed35921522

2022

Genetically Engineered MRI-Trackable Extracellular Vesicles as SARS-CoV-2 Mimetics for Mapping ACE2 Binding .

Applications

Unspecified application

Species

Unspecified reactive species

Andrea Galisova,Jiri Zahradnik,Hyla Allouche-Arnon,Mattia I Morandi,Paula Abou Karam,Michal Fisler,Ori Avinoam,Neta Regev-Rudzki,Gideon Schreiber,Amnon Bar-Shir
View all publications

Product promise

We are committed to supporting your work with high-quality reagents, and we're here for you every step of the way. In the unlikely event that one of our products does not perform as expected, you're protected by our Product Promise.
For full details, please see our Terms & Conditions

Please note: All products are 'FOR RESEARCH USE ONLY. NOT FOR USE IN DIAGNOSTIC OR THERAPEUTIC PROCEDURES'.

For licensing inquiries, please contact partnerships@abcam.com