JavaScript is disabled in your browser. Please enable JavaScript to view this website.
AB217293

Anti-Trehalase antibody

Be the first to review this product! Submit a review

|

(0 Publication)

Rabbit Polyclonal Trehalase antibody. Suitable for WB, IHC-P and reacts with Mouse, Human samples. Immunogen corresponding to Synthetic Peptide within Human TREH aa 50-150 conjugated to Keyhole Limpet Haemocyanin.

View Alternative Names

TREA, TREH, Trehalase

2 Images
Western blot - Anti-Trehalase antibody (AB217293)
  • WB

Supplier Data

Western blot - Anti-Trehalase antibody (AB217293)

All lanes:

Western blot - Anti-Trehalase antibody (ab217293) at 1/500 dilution

All lanes:

mouse stomach lysate

Secondary

All lanes:

HRP conjugated goat anti-rabbit IgG (H+L) at 1/5000 dilution

Predicted band size: 67 kDa

false

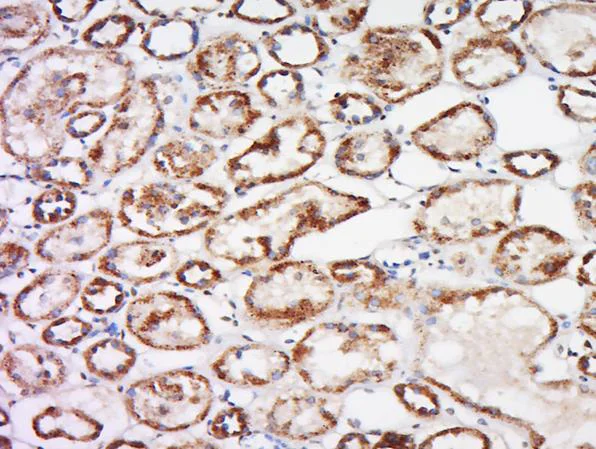
Immunohistochemistry (Formalin/PFA-fixed paraffin-embedded sections) - Anti-Trehalase antibody (AB217293)
  • IHC-P

Supplier Data

Immunohistochemistry (Formalin/PFA-fixed paraffin-embedded sections) - Anti-Trehalase antibody (AB217293)

Immunohistochemical analysis of formalin-fixed paraffin-embedded sections of human kidney tissue labeling Trehalase with ab217293 at a 1/200 dilution, followed by conjugation to a secondary antibody and DAB staining.

Key facts

Host species

Rabbit

Clonality

Polyclonal

Isotype

IgG

Carrier free

No

Reacts with

Human, Mouse

Applications

IHC-P, WB

applications

Immunogen

Synthetic Peptide within Human TREH aa 50-150 conjugated to Keyhole Limpet Haemocyanin. The exact immunogen used to generate this antibody is proprietary information.

O43280

Reactivity data

{ "title": "Reactivity Data", "filters": { "stats": ["", "Species", "Dilution Info", "Notes"], "tabs": { "all-applications": {"fullname" : "All Applications", "shortname": "All Applications"}, "WB" : {"fullname" : "Western blot", "shortname":"WB"}, "IHCP" : {"fullname" : "Immunohistochemistry (Formalin/PFA-fixed paraffin-embedded sections)", "shortname":"IHC-P"} }, "product-promise": { "all": "all", "testedAndGuaranteed": "tested", "guaranteed": "expected", "predicted": "predicted", "notRecommended": "not-recommended" } }, "values": { "Human": { "WB-species-checked": "guaranteed", "WB-species-dilution-info": "", "WB-species-notes": "", "IHCP-species-checked": "testedAndGuaranteed", "IHCP-species-dilution-info": "1/100 - 1/500", "IHCP-species-notes": "<p></p>" }, "Mouse": { "WB-species-checked": "testedAndGuaranteed", "WB-species-dilution-info": "1/500", "WB-species-notes": "<p></p>", "IHCP-species-checked": "guaranteed", "IHCP-species-dilution-info": "", "IHCP-species-notes": "" } } }

Properties and storage information

Form
Liquid
Purification technique
Affinity purification Protein A
Storage buffer
pH: 7.4 Preservative: 0.02% Proclin 300 Constituents: 50% Glycerol (glycerin, glycerine), 48.98% TBS, 1X, 1% BSA
Shipped at conditions
Blue Ice
Appropriate short-term storage duration
1-2 weeks
Appropriate short-term storage conditions
+4°C
Appropriate long-term storage conditions
-20°C
Aliquoting information
Upon delivery aliquot
Storage information
Avoid freeze / thaw cycle

Supplementary information

This supplementary information is collated from multiple sources and compiled automatically.

Trehalase also known as TREH is an enzyme responsible for the hydrolysis of trehalose into two glucose molecules. It has a molecular mass of approximately 65 kDa. This enzyme is mainly expressed in the small intestine brush border membrane and kidney. The presence of trehalase in these regions of the body suggests it plays an important role in carbohydrate digestion.
Biological function summary

Trehalase facilitates the conversion of trehalose a non-reducing disaccharide which serves as an important energy source for various organisms. By breaking down trehalose the enzyme contributes to glucose homeostasis within the body. Trehalase does not form part of any known multi-protein complexes functioning as an independent enzyme in cellular metabolism.

Pathways

Trehalase participates in the carbohydrate digestion and absorption pathway. This pathway involves converting dietary carbohydrates into simple sugars that the body can utilize for energy. Trehalase operates in conjunction with other enzymes like lactase and sucrase-isomaltase that also contribute to carbohydrate digestion within the gastrointestinal tract.

Trehalase deficiency can lead to digestive issues notably trehalose intolerance where affected individuals experience symptoms after consuming foods containing trehalose. Additionally trehalase activity has connections to diabetes as it directly influences glucose levels and metabolism. Adjustments in trehalase activity may affect the concentration of glucose in the bloodstream impacting individuals with diabetes by potentially altering their glucose homeostasis.

Product protocols

For this product, it's our understanding that no specific protocols are required. You can visit:

Target data

Intestinal trehalase is probably involved in the hydrolysis of ingested trehalose.
See full target information TREH

Product promise

We are committed to supporting your work with high-quality reagents, and we're here for you every step of the way. In the unlikely event that one of our products does not perform as expected, you're protected by our Product Promise.
For full details, please see our Terms & Conditions

Please note: All products are 'FOR RESEARCH USE ONLY. NOT FOR USE IN DIAGNOSTIC OR THERAPEUTIC PROCEDURES'.

For licensing inquiries, please contact partnerships@abcam.com