JavaScript is disabled in your browser. Please enable JavaScript to view this website.
AB322517

Anti-TREM1 antibody [EPR22060-229] - Mouse IgG2a (Chimeric)

  • BOND RX™ Validated
  • Recombinant
  • 20ul selling size
  • What is this?

Be the first to review this product! Submit a review

|

(0 Publication)

Mouse Recombinant Monoclonal TREM1 antibody. Suitable for IHC-P, I-ELISA and reacts with Human, Recombinant fragment - Human samples.

View Alternative Names

CD354, Triggering receptor expressed on myeloid cells 1, TREM-1, Triggering receptor expressed on monocytes 1, TREM1

4 Images
Immunohistochemistry (Formalin/PFA-fixed paraffin-embedded sections) - Anti-TREM1 antibody [EPR22060-229] - Mouse IgG2a (Chimeric) (AB322517)
  • IHC-P

Supplier Data

Immunohistochemistry (Formalin/PFA-fixed paraffin-embedded sections) - Anti-TREM1 antibody [EPR22060-229] - Mouse IgG2a (Chimeric) (AB322517)

Immunohistochemical analysis of paraffin-embedded Human skeletal muscle tissue labeling TREM1 with ab322517 at 1/6000 dilution, followed by a ready to use LeicaDS9800 (Bond™ Polymer Refine Detection).

Negative control : no staining on human skeletal muscle.
The section was incubated with ab322517 for 30 mins at room temperature.
The immunostaining was performed on a Leica Biosystems BOND® RX instrument

Counterstained with Hematoxylin.

Secondary antibody only control : Secondary antibody is a ready to use LeicaDS9800 (Bond™ Polymer Refine Detection).

Heat mediated antigen retrieval was performed with Tris-EDTA buffer (pH 9.0, Epitope Retrieval Solution2) for 20 mins

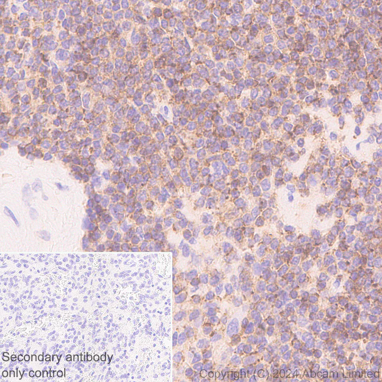
Immunohistochemistry (Formalin/PFA-fixed paraffin-embedded sections) - Anti-TREM1 antibody [EPR22060-229] - Mouse IgG2a (Chimeric) (AB322517)
  • IHC-P

Supplier Data

Immunohistochemistry (Formalin/PFA-fixed paraffin-embedded sections) - Anti-TREM1 antibody [EPR22060-229] - Mouse IgG2a (Chimeric) (AB322517)

Immunohistochemical analysis of paraffin-embedded Human spleen tissue labeling TREM1 with ab322517 at 1/6000 dilution, followed by a ready to use LeicaDS9800 (Bond™ Polymer Refine Detection).

Positive staining on human spleen.
The section was incubated with ab322517 for 30 mins at room temperature.
The immunostaining was performed on a Leica Biosystems BOND® RX instrument

Counterstained with Hematoxylin.

Secondary antibody only control : Secondary antibody is a ready to use LeicaDS9800 (Bond™ Polymer Refine Detection).

Heat mediated antigen retrieval was performed with Tris-EDTA buffer (pH 9.0, Epitope Retrieval Solution2) for 20 mins

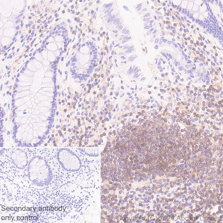
Immunohistochemistry (Formalin/PFA-fixed paraffin-embedded sections) - Anti-TREM1 antibody [EPR22060-229] - Mouse IgG2a (Chimeric) (AB322517)
  • IHC-P

Supplier Data

Immunohistochemistry (Formalin/PFA-fixed paraffin-embedded sections) - Anti-TREM1 antibody [EPR22060-229] - Mouse IgG2a (Chimeric) (AB322517)

Immunohistochemical analysis of paraffin-embedded Human colon tissue labeling TREM1 with ab322517 at 1/6000 dilution, followed by a ready to use LeicaDS9800 (Bond™ Polymer Refine Detection).

Positive staining on interstitial cells and lymphocytes of human colon.
The section was incubated with ab322517 for 30 mins at room temperature.
The immunostaining was performed on a Leica Biosystems BOND® RX instrument

Counterstained with Hematoxylin.

Secondary antibody only control : Secondary antibody is a ready to use LeicaDS9800 (Bond™ Polymer Refine Detection).

Heat mediated antigen retrieval was performed with Tris-EDTA buffer (pH 9.0, Epitope Retrieval Solution2) for 20 mins

Indirect ELISA - Anti-TREM1 antibody [EPR22060-229] - Mouse IgG2a (Chimeric) (AB322517)
  • I-ELISA

Supplier Data

Indirect ELISA - Anti-TREM1 antibody [EPR22060-229] - Mouse IgG2a (Chimeric) (AB322517)

Indirect ELISA analysis of ab322517 at 2000-0 ng/ml. The Secondary antibody used was Alkaline Phosphatase-conjugated AffiniPure Goat Anti-Mouse IgG (H+L) at 1 : 1000 dilution.

Antigen : Human TREM-1.

Antigen concentration : 1000 ng/ml

  • Unconjugated

    Anti-TREM1 antibody [EPR22060-229]

  • Carrier free

    Anti-TREM1 antibody [EPR22060-229] - Mouse IgG2a (Chimeric) - BSA and Azide free

  • Carrier free

    Anti-TREM1 antibody [EPR22060-229] - BSA and Azide free

Key facts

Host species

Mouse

Clonality

Monoclonal

Clone number

EPR22060-229

Isotype

IgG2a

Carrier free

No

Reacts with

Human

Applications

IHC-P, I-ELISA

applications

Immunogen

The exact immunogen used to generate this antibody is proprietary information.

Reactivity data

{ "title": "Reactivity Data", "filters": { "stats": ["", "Species", "Dilution Info", "Notes"], "tabs": { "all-applications": {"fullname" : "All Applications", "shortname": "All Applications"}, "IHCP" : {"fullname" : "Immunohistochemistry (Formalin/PFA-fixed paraffin-embedded sections)", "shortname":"IHC-P"}, "IELISA" : {"fullname" : "Indirect ELISA", "shortname":"I-ELISA"}, "WB" : {"fullname" : "Western blot", "shortname":"WB"} }, "product-promise": { "all": "all", "testedAndGuaranteed": "tested", "guaranteed": "expected", "predicted": "predicted", "notRecommended": "not-recommended" } }, "values": { "Human": { "IHCP-species-checked": "testedAndGuaranteed", "IHCP-species-dilution-info": "1/6000", "IHCP-species-notes": "<p></p> Perform heat-mediated antigen retrieval with Tris/EDTA buffer pH 9.0 before commencing with IHC staining protocol.", "IELISA-species-checked": "guaranteed", "IELISA-species-dilution-info": "", "IELISA-species-notes": "", "WB-species-checked": "notRecommended", "WB-species-dilution-info": "", "WB-species-notes": "<p></p>" }, "Recombinant fragment - Human": { "IHCP-species-checked": "notRecommended", "IHCP-species-dilution-info": "", "IHCP-species-notes": "", "IELISA-species-checked": "testedAndGuaranteed", "IELISA-species-dilution-info": "62.5 ng/mL", "IELISA-species-notes": "<p></p>", "WB-species-checked": "notRecommended", "WB-species-dilution-info": "", "WB-species-notes": "" } } }

Product details

This Mouse monoclonal chimeric antibody has been engineered from a RabMAb parent antibody (ab225861). By design, some rabbit sequence is retained as part of the variable domain. When multiplexing with other rabbit-derived antibodies, using cross absorbed FC-reactive secondary antibodies are recommended.

What are the advantages of a recombinant monoclonal antibody?
This product is a recombinant monoclonal antibody, which offers several advantages including:

  • - High batch-to-batch consistency and reproducibility
  • - Improved sensitivity and specificity
  • - Long-term security of supply
  • - Animal-free batch production

For more information, read more on recombinant antibodies.

Properties and storage information

Form
Liquid
Purification technique
Affinity purification Protein A
Storage buffer
pH: 7.2 - 7.4 Preservative: 0.01% Sodium azide Constituents: PBS, 40% Glycerol (glycerin, glycerine), 0.05% BSA
Shipped at conditions
Blue Ice
Appropriate short-term storage duration
1-2 weeks
Appropriate short-term storage conditions
+4°C
Appropriate long-term storage conditions
-20°C
Aliquoting information
Upon delivery aliquot
Storage information
Avoid freeze / thaw cycle

Product protocols

For this product, it's our understanding that no specific protocols are required. You can visit:

Target data

Isoform 1. Cell surface receptor that plays important roles in innate and adaptive immunity by amplifying inflammatory responses (PubMed : 10799849, PubMed : 21393102). Upon activation by various ligands such as PGLYRP1, HMGB1 or HSP70, multimerizes and forms a complex with transmembrane adapter TYROBP/DAP12 (PubMed : 17568691, PubMed : 25595774, PubMed : 29568119). In turn, initiates a SYK-mediated cascade of tyrosine phosphorylation, activating multiple downstream mediators such as BTK, MAPK1, MAPK3 or phospholipase C-gamma (PubMed : 14656437, PubMed : 21659545). This cascade promotes the neutrophil- and macrophage-mediated release of pro-inflammatory cytokines and/or chemokines, as well as their migration and thereby amplifies inflammatory responses that are triggered by bacterial and fungal infections (PubMed : 17098818, PubMed : 17568691). By also promoting the amplification of inflammatory signals that are initially triggered by Toll-like receptor (TLR) and NOD-like receptor engagement, plays a major role in the pathophysiology of acute and chronic inflammatory diseases of different etiologies including septic shock and atherosclerosis (PubMed : 11323674, PubMed : 21393102).. Isoform 2. Acts as a decoy receptor, counterbalancing TREM1 pro-inflammatory activity through the neutralization of its ligand.
See full target information TREM1

Product promise

We are committed to supporting your work with high-quality reagents, and we're here for you every step of the way. In the unlikely event that one of our products does not perform as expected, you're protected by our Product Promise.
For full details, please see our Terms & Conditions

Please note: All products are 'FOR RESEARCH USE ONLY. NOT FOR USE IN DIAGNOSTIC OR THERAPEUTIC PROCEDURES'.

For licensing inquiries, please contact partnerships@abcam.com