JavaScript is disabled in your browser. Please enable JavaScript to view this website.
AB324854

Anti-TREM1 antibody [EPR22060-229] - Mouse IgG2a (Chimeric) - BSA and Azide free

Be the first to review this product! Submit a review

|

(0 Publication)

Mouse Recombinant Monoclonal TREM1 antibody. Carrier free. Suitable for IHC-P, I-ELISA and reacts with Human, Recombinant fragment - Human samples.

View Alternative Names

CD354, Triggering receptor expressed on myeloid cells 1, TREM-1, Triggering receptor expressed on monocytes 1, TREM1

4 Images
Immunohistochemistry (Formalin/PFA-fixed paraffin-embedded sections) - Anti-TREM1 antibody [EPR22060-229] - Mouse IgG2a (Chimeric) - BSA and Azide free (AB324854)
  • IHC-P

Supplier Data

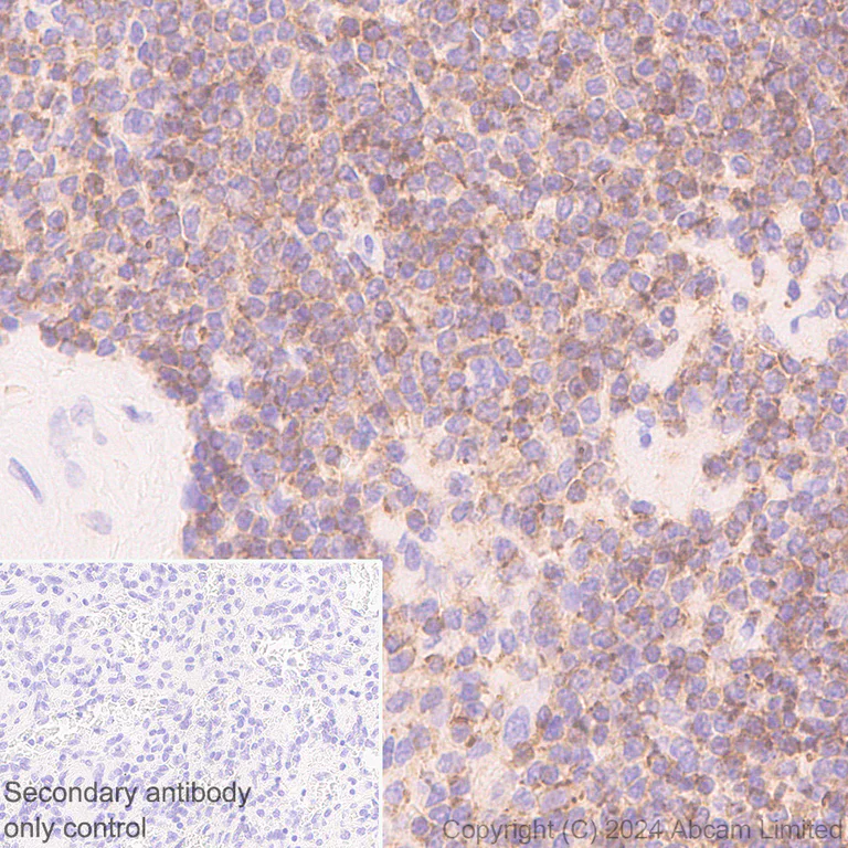
Immunohistochemistry (Formalin/PFA-fixed paraffin-embedded sections) - Anti-TREM1 antibody [EPR22060-229] - Mouse IgG2a (Chimeric) - BSA and Azide free (AB324854)

This data was developed using ab322517, the same antibody clone in a different buffer formulation.

Immunohistochemical analysis of paraffin-embedded Human spleen tissue labeling TREM1 with ab322517 at 1/6000 dilution, followed by a ready to use LeicaDS9800 (Bond™ Polymer Refine Detection).

Positive staining on human spleen.
The section was incubated with ab322517 for 30 mins at room temperature.
The immunostaining was performed on a Leica Biosystems BOND® RX instrument

Counterstained with Hematoxylin.

Secondary antibody only control : Secondary antibody is a ready to use LeicaDS9800 (Bond™ Polymer Refine Detection).

Heat mediated antigen retrieval was performed with Tris-EDTA buffer (pH 9.0, Epitope Retrieval Solution2) for 20 mins

Immunohistochemistry (Formalin/PFA-fixed paraffin-embedded sections) - Anti-TREM1 antibody [EPR22060-229] - Mouse IgG2a (Chimeric) - BSA and Azide free (AB324854)
  • IHC-P

Supplier Data

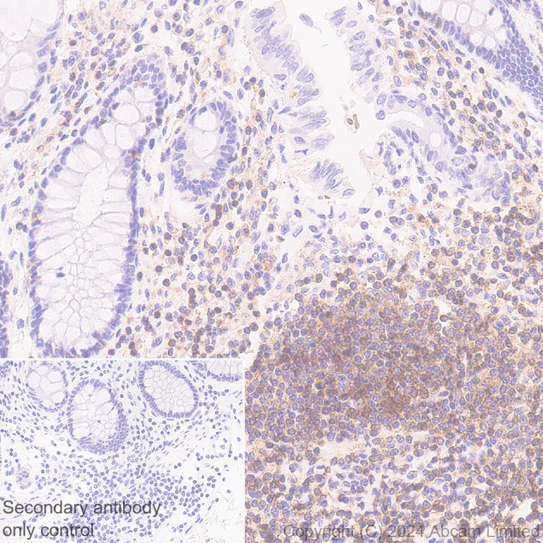
Immunohistochemistry (Formalin/PFA-fixed paraffin-embedded sections) - Anti-TREM1 antibody [EPR22060-229] - Mouse IgG2a (Chimeric) - BSA and Azide free (AB324854)

This data was developed using ab322517, the same antibody clone in a different buffer formulation.

Immunohistochemical analysis of paraffin-embedded Human colon tissue labeling TREM1 with ab322517 at 1/6000 dilution, followed by a ready to use LeicaDS9800 (Bond™ Polymer Refine Detection).

Positive staining on interstitial cells and lymphocytes of human colon.
The section was incubated with ab322517 for 30 mins at room temperature.
The immunostaining was performed on a Leica Biosystems BOND® RX instrument

Counterstained with Hematoxylin.

Secondary antibody only control : Secondary antibody is a ready to use LeicaDS9800 (Bond™ Polymer Refine Detection).

Heat mediated antigen retrieval was performed with Tris-EDTA buffer (pH 9.0, Epitope Retrieval Solution2) for 20 mins

Immunohistochemistry (Formalin/PFA-fixed paraffin-embedded sections) - Anti-TREM1 antibody [EPR22060-229] - Mouse IgG2a (Chimeric) - BSA and Azide free (AB324854)
  • IHC-P

Supplier Data

Immunohistochemistry (Formalin/PFA-fixed paraffin-embedded sections) - Anti-TREM1 antibody [EPR22060-229] - Mouse IgG2a (Chimeric) - BSA and Azide free (AB324854)

This data was developed using ab322517, the same antibody clone in a different buffer formulation.

Immunohistochemical analysis of paraffin-embedded Human skeletal muscle tissue labeling TREM1 with ab322517 at 1/6000 dilution, followed by a ready to use LeicaDS9800 (Bond™ Polymer Refine Detection).

Negative control : no staining on human skeletal muscle.
The section was incubated with ab322517 for 30 mins at room temperature.
The immunostaining was performed on a Leica Biosystems BOND® RX instrument

Counterstained with Hematoxylin.

Secondary antibody only control : Secondary antibody is a ready to use LeicaDS9800 (Bond™ Polymer Refine Detection).

Heat mediated antigen retrieval was performed with Tris-EDTA buffer (pH 9.0, Epitope Retrieval Solution2) for 20 mins

Indirect ELISA - Anti-TREM1 antibody [EPR22060-229] - Mouse IgG2a (Chimeric) - BSA and Azide free (AB324854)
  • I-ELISA

Supplier Data

Indirect ELISA - Anti-TREM1 antibody [EPR22060-229] - Mouse IgG2a (Chimeric) - BSA and Azide free (AB324854)

This data was developed using ab322517, the same antibody clone in a different buffer formulation.

Indirect ELISA analysis of ab322517 at 2000-0 ng/ml. The Secondary antibody used was Alkaline Phosphatase-conjugated AffiniPure Goat Anti-Mouse IgG (H+L) at 1 : 1000 dilution.

Antigen : Human TREM-1.

Antigen concentration : 1000 ng/ml

Key facts

Host species

Mouse

Clonality

Monoclonal

Clone number

EPR22060-229

Isotype

IgG2a

Carrier free

Yes

Reacts with

Human

Applications

IHC-P, I-ELISA

applications

Immunogen

The exact immunogen used to generate this antibody is proprietary information.

Reactivity data

{ "title": "Reactivity Data", "filters": { "stats": ["", "Species", "Dilution Info", "Notes"], "tabs": { "all-applications": {"fullname" : "All Applications", "shortname": "All Applications"}, "IHCP" : {"fullname" : "Immunohistochemistry (Formalin/PFA-fixed paraffin-embedded sections)", "shortname":"IHC-P"}, "IELISA" : {"fullname" : "Indirect ELISA", "shortname":"I-ELISA"}, "WB" : {"fullname" : "Western blot", "shortname":"WB"} }, "product-promise": { "all": "all", "testedAndGuaranteed": "tested", "guaranteed": "expected", "predicted": "predicted", "notRecommended": "not-recommended" } }, "values": { "Human": { "IHCP-species-checked": "testedAndGuaranteed", "IHCP-species-dilution-info": "", "IHCP-species-notes": "<p></p>", "IELISA-species-checked": "guaranteed", "IELISA-species-dilution-info": "", "IELISA-species-notes": "", "WB-species-checked": "notRecommended", "WB-species-dilution-info": "", "WB-species-notes": "<p></p>" }, "Recombinant fragment - Human": { "IHCP-species-checked": "notRecommended", "IHCP-species-dilution-info": "", "IHCP-species-notes": "", "IELISA-species-checked": "testedAndGuaranteed", "IELISA-species-dilution-info": "", "IELISA-species-notes": "<p></p>", "WB-species-checked": "notRecommended", "WB-species-dilution-info": "", "WB-species-notes": "" } } }

Product details

ab324854 is the carrier-free version of ab322517.

This Mouse monoclonal chimeric antibody has been engineered from a RabMAb parent antibody (ab225861). By design, some rabbit sequence is retained as part of the variable domain. When multiplexing with other rabbit-derived antibodies, using cross absorbed FC-reactive secondary antibodies are recommended.

Want a custom formulation?
This antibody clone is manufactured by Abcam. If you require a custom buffer formulation or conjugation for your experiments, please contact orders@abcam.com

What are the advantages of a recombinant monoclonal antibody?
This product is a recombinant monoclonal antibody, which offers several advantages including:

  • - High batch-to-batch consistency and reproducibility
  • - Improved sensitivity and specificity
  • - Long-term security of supply
  • - Animal-free batch production

For more information, read more on recombinant antibodies.

Conjugation ready
Our carrier-free antibodies are typically supplied in a PBS-only formulation, purified and free of BSA, sodium azide and glycerol. This conjugation-ready format is designed for use with fluorochromes, metal isotopes, oligonucleotides, and enzymes, which makes them ideal for antibody labelling, functional and cell-based assays, flow-based assays (e.g. mass cytometry) and Multiplex Imaging applications.

Use our conjugation kits for antibody conjugates that are ready-to-use in as little as 20 minutes with 1 minute hands-on-time and 100% antibody recovery: available for fluorescent dyes, HRP, biotin and gold.

Compatibility
This product is compatible with the Maxpar® Antibody Labeling Kit from Fluidigm, without the need for antibody preparation. Maxpar® is a trademark of Fluidigm Canada Inc.

Properties and storage information

Form
Liquid
Purification technique
Affinity purification Protein A
Storage buffer
pH: 7.2 - 7.4 Constituents: PBS
Shipped at conditions
Blue Ice
Appropriate short-term storage conditions
+4°C
Appropriate long-term storage conditions
+4°C

Product protocols

For this product, it's our understanding that no specific protocols are required. You can visit:

Target data

Isoform 1. Cell surface receptor that plays important roles in innate and adaptive immunity by amplifying inflammatory responses (PubMed : 10799849, PubMed : 21393102). Upon activation by various ligands such as PGLYRP1, HMGB1 or HSP70, multimerizes and forms a complex with transmembrane adapter TYROBP/DAP12 (PubMed : 17568691, PubMed : 25595774, PubMed : 29568119). In turn, initiates a SYK-mediated cascade of tyrosine phosphorylation, activating multiple downstream mediators such as BTK, MAPK1, MAPK3 or phospholipase C-gamma (PubMed : 14656437, PubMed : 21659545). This cascade promotes the neutrophil- and macrophage-mediated release of pro-inflammatory cytokines and/or chemokines, as well as their migration and thereby amplifies inflammatory responses that are triggered by bacterial and fungal infections (PubMed : 17098818, PubMed : 17568691). By also promoting the amplification of inflammatory signals that are initially triggered by Toll-like receptor (TLR) and NOD-like receptor engagement, plays a major role in the pathophysiology of acute and chronic inflammatory diseases of different etiologies including septic shock and atherosclerosis (PubMed : 11323674, PubMed : 21393102).. Isoform 2. Acts as a decoy receptor, counterbalancing TREM1 pro-inflammatory activity through the neutralization of its ligand.
See full target information TREM1

Product promise

We are committed to supporting your work with high-quality reagents, and we're here for you every step of the way. In the unlikely event that one of our products does not perform as expected, you're protected by our Product Promise.
For full details, please see our Terms & Conditions

Please note: All products are 'FOR RESEARCH USE ONLY. NOT FOR USE IN DIAGNOSTIC OR THERAPEUTIC PROCEDURES'.

For licensing inquiries, please contact partnerships@abcam.com