JavaScript is disabled in your browser. Please enable JavaScript to view this website.
AB85851

Anti-TREM2 antibody

3

(2 Reviews)

|

(2 Publications)

Goat Polyclonal TREM2 antibody. Suitable for IHC-P and reacts with Human samples. Cited in 2 publications. Immunogen corresponding to Synthetic Peptide within Human TREM2 aa 150 to C-terminus.

View Alternative Names

Triggering receptor expressed on myeloid cells 2, TREM-2, Triggering receptor expressed on monocytes 2, TREM2

1 Images
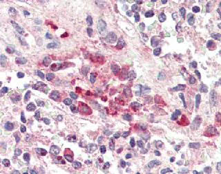
Immunohistochemistry (Formalin/PFA-fixed paraffin-embedded sections) - Anti-TREM2 antibody (AB85851)
  • IHC-P

Unknown

Immunohistochemistry (Formalin/PFA-fixed paraffin-embedded sections) - Anti-TREM2 antibody (AB85851)

ab85851 at 2.5 µg/ml staining TREM2 in Human Spleen macrophages in formalin fixed, paraffin embedded tissue.

Key facts

Host species

Goat

Clonality

Polyclonal

Isotype

IgG

Carrier free

No

Reacts with

Human

Applications

IHC-P

applications

Immunogen

Synthetic Peptide within Human TREM2 aa 150 to C-terminus. The exact immunogen used to generate this antibody is proprietary information.

Q9NZC2

Reactivity data

{ "title": "Reactivity Data", "filters": { "stats": ["", "Species", "Dilution Info", "Notes"], "tabs": { "all-applications": {"fullname" : "All Applications", "shortname": "All Applications"}, "IHCP" : {"fullname" : "Immunohistochemistry (Formalin/PFA-fixed paraffin-embedded sections)", "shortname":"IHC-P"} }, "product-promise": { "all": "all", "testedAndGuaranteed": "tested", "guaranteed": "expected", "predicted": "predicted", "notRecommended": "not-recommended" } }, "values": { "Human": { "IHCP-species-checked": "testedAndGuaranteed", "IHCP-species-dilution-info": "2.5 µg/mL", "IHCP-species-notes": "<p></p>" } } }

Properties and storage information

Form
Liquid
Purification technique
Affinity purification Immunogen
Storage buffer
pH: 7.3 Preservative: 0.02% Sodium azide Constituents: Tris buffered saline, 0.5% BSA
Shipped at conditions
Blue Ice
Appropriate short-term storage conditions
+4°C
Appropriate long-term storage conditions
-20°C
Aliquoting information
Upon delivery aliquot
Storage information
Avoid freeze / thaw cycle

Product protocols

For this product, it's our understanding that no specific protocols are required. You can visit:

Target data

The protein expressed by gene TREM2 forms a receptor signaling complex with TYROBP, facilitating signaling and cell activation upon ligand binding. It serves as a receptor for amyloid-beta protein 42, mediating its uptake and degradation by microglia, and also acts as a receptor for lipoprotein particles such as LDL, VLDL, HDL, and various apolipoproteins, enhancing their uptake in microglia. TREM2 binds phospholipids, preferably anionic lipids, and is necessary for microglial phagocytosis of apoptotic neurons. It regulates changes in microglial numbers with age and activates immune responses in macrophages and dendritic cells, where it plays a role in chemokine receptor CCR7 up-regulation, as well as dendritic cell maturation and survival. Additionally, TREM2 is involved in positively regulating osteoclast differentiation. This supplementary information is collated from multiple sources and compiled automatically.
See full target information TREM2

Publications (2)

Recent publications for all applications. Explore the full list and refine your search

Nature neuroscience 20:753-759 PubMed28253233

2017

Differentiation of human and murine induced pluripotent stem cells to microglia-like cells.

Applications

Unspecified application

Species

Unspecified reactive species

Hetal Pandya,Michael J Shen,David M Ichikawa,Andrea B Sedlock,Yong Choi,Kory R Johnson,Gloria Kim,Mason A Brown,Abdel G Elkahloun,Dragan Maric,Colin L Sweeney,Selamawit Gossa,Harry L Malech,Dorian B McGavern,John K Park

Alzheimer's research & therapy 5:30 PubMed23830013

2013

A survey of TREM2 antibodies reveals neuronal but not microglial staining in formalin-fixed paraffin-embedded postmortem Alzheimer's brain tissues.

Applications

Unspecified application

Species

Unspecified reactive species

Jun-Ichi Satoh,Natsuki Kawana,Yuji Yamamoto,Tsuyoshi Ishida,Yuko Saito,Kunimasa Arima
View all publications

Product promise

We are committed to supporting your work with high-quality reagents, and we're here for you every step of the way. In the unlikely event that one of our products does not perform as expected, you're protected by our Product Promise.
For full details, please see our Terms & Conditions

Please note: All products are 'FOR RESEARCH USE ONLY. NOT FOR USE IN DIAGNOSTIC OR THERAPEUTIC PROCEDURES'.

For licensing inquiries, please contact partnerships@abcam.com