JavaScript is disabled in your browser. Please enable JavaScript to view this website.
AB223684

Anti-TREM2 antibody - C-terminal

Be the first to review this product! Submit a review

|

(2 Publications)

Goat Polyclonal TREM2 antibody. C-terminal. Suitable for ICC/IF, Flow Cyt, IHC-P, WB and reacts with Human samples. Cited in 2 publications. Immunogen corresponding to Synthetic Peptide within Human TREM2 aa 150 to C-terminus.

View Alternative Names

Triggering receptor expressed on myeloid cells 2, TREM-2, Triggering receptor expressed on monocytes 2, TREM2

5 Images
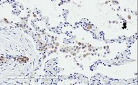
Immunohistochemistry (Formalin/PFA-fixed paraffin-embedded sections) - Anti-TREM2 antibody - C-terminal (AB223684)
  • IHC-P

Unknown

Immunohistochemistry (Formalin/PFA-fixed paraffin-embedded sections) - Anti-TREM2 antibody - C-terminal (AB223684)

Paraffin-embedded human lung tissue stained for TREM2 using ab223684 at 2 μg/ml in immunohistochemical analysis, followed by AP-staining.

Immunocytochemistry/ Immunofluorescence - Anti-TREM2 antibody - C-terminal (AB223684)
  • ICC/IF

Supplier Data

Immunocytochemistry/ Immunofluorescence - Anti-TREM2 antibody - C-terminal (AB223684)

Immunofluorescence analysis of paraformaldehyde fixed U937 cells immobilized on ShifixTM coverslip, permeabilized with 0.15% Triton. Primary incubation 1hr using ab223684 (10ug/ml) followed by Alexa Fluor 488 secondary antibody (2ug/ml), showing cytoplasmic and plasma membrane staining. The nuclear stain is DAPI (blue). Negative control : Unimmunized goat IgG (10ug/ml) followed by Alexa Fluor 488 secondary antibody (2ug/ml).

Flow Cytometry - Anti-TREM2 antibody - C-terminal (AB223684)
  • Flow Cyt

Supplier Data

Flow Cytometry - Anti-TREM2 antibody - C-terminal (AB223684)

Flow cytometric analysis of paraformaldehyde fixed U937 cells (blue line), permeabilized with 0.5% Triton. Primary incubation 1hr using ab223684 (10ug/ml) followed by Alexa Fluor 488 secondary antibody (1ug/ml). IgG control : Unimmunized goat IgG (black line) followed by Alexa Fluor 488 secondary antibody.

Immunocytochemistry/ Immunofluorescence - Anti-TREM2 antibody - C-terminal (AB223684)
  • ICC/IF

Supplier Data

Immunocytochemistry/ Immunofluorescence - Anti-TREM2 antibody - C-terminal (AB223684)

Immunofluorescence analysis of paraformaldehyde fixed HepG2 cells, permeabilized with 0.15% Triton. Primary incubation 1hr using ab223684 (10ug/ml) followed by Alexa Fluor 488 secondary antibody (2ug/ml), showing cytoplasmic and some nuclear staining. The nuclear stain is DAPI (blue). Negative control : Unimmunized goat IgG (10ug/ml) followed by Alexa Fluor 488 secondary antibody (2ug/ml).

Western blot - Anti-TREM2 antibody - C-terminal (AB223684)
  • WB

Supplier Data

Western blot - Anti-TREM2 antibody - C-terminal (AB223684)

Primary incubation was 1 hour.

All lanes:

Western blot - Anti-TREM2 antibody - C-terminal (ab223684) at 0.3 µg/mL

Lane 1:

Human cerebellum lysate in RIPA buffer at 35 µg

Lane 2:

Human frontal cortex lysate in RIPA buffer at 35 µg

Lane 3:

Human hippocampus lysate in RIPA buffer at 35 µg

Predicted band size: 25 kDa

Observed band size: 24 kDa

true

Key facts

Host species

Goat

Clonality

Polyclonal

Isotype

IgG

Carrier free

No

Reacts with

Human

Applications

WB, ICC/IF, IHC-P, Flow Cyt

applications

Immunogen

Synthetic Peptide within Human TREM2 aa 150 to C-terminus. The exact immunogen used to generate this antibody is proprietary information.

Q9NZC2

Reactivity data

{ "title": "Reactivity Data", "filters": { "stats": ["", "Species", "Dilution Info", "Notes"], "tabs": { "all-applications": {"fullname" : "All Applications", "shortname": "All Applications"}, "ICCIF" : {"fullname" : "Immunocytochemistry/ Immunofluorescence", "shortname":"ICC/IF"}, "FlowCyt" : {"fullname" : "Flow Cytometry", "shortname":"Flow Cyt"}, "IHCP" : {"fullname" : "Immunohistochemistry (Formalin/PFA-fixed paraffin-embedded sections)", "shortname":"IHC-P"}, "WB" : {"fullname" : "Western blot", "shortname":"WB"} }, "product-promise": { "all": "all", "testedAndGuaranteed": "tested", "guaranteed": "expected", "predicted": "predicted", "notRecommended": "not-recommended" } }, "values": { "Human": { "ICCIF-species-checked": "testedAndGuaranteed", "ICCIF-species-dilution-info": "10 µg/mL", "ICCIF-species-notes": "<p></p>", "FlowCyt-species-checked": "testedAndGuaranteed", "FlowCyt-species-dilution-info": "10 µg/mL", "FlowCyt-species-notes": "<p></p>", "IHCP-species-checked": "testedAndGuaranteed", "IHCP-species-dilution-info": "2-4 µg/mL", "IHCP-species-notes": "<p></p> Perform heat-mediated antigen retrieval with citrate buffer pH 6 before commencing with IHC staining protocol.", "WB-species-checked": "testedAndGuaranteed", "WB-species-dilution-info": "0.3-1 µg/mL", "WB-species-notes": "<p>1 hour primary incubation is recommended for this product.</p>" } } }

Properties and storage information

Form
Liquid
Purification technique
Affinity purification Immunogen
Purification notes
ab223684 was purified from goat serum by ammonium sulphate precipitation followed by antigen affinity chromatography using the immunizing peptide.
Storage buffer
pH: 7.3 Preservative: 0.02% Sodium azide Constituents: Tris buffered saline, 0.5% BSA
Shipped at conditions
Blue Ice
Appropriate short-term storage duration
1-2 weeks
Appropriate short-term storage conditions
+4°C
Appropriate long-term storage conditions
-20°C
Aliquoting information
Upon delivery aliquot
Storage information
Avoid freeze / thaw cycle

Product protocols

For this product, it's our understanding that no specific protocols are required. You can visit:

Target data

The protein expressed by gene TREM2 forms a receptor signaling complex with TYROBP, facilitating signaling and cell activation upon ligand binding. It serves as a receptor for amyloid-beta protein 42, mediating its uptake and degradation by microglia, and also acts as a receptor for lipoprotein particles such as LDL, VLDL, HDL, and various apolipoproteins, enhancing their uptake in microglia. TREM2 binds phospholipids, preferably anionic lipids, and is necessary for microglial phagocytosis of apoptotic neurons. It regulates changes in microglial numbers with age and activates immune responses in macrophages and dendritic cells, where it plays a role in chemokine receptor CCR7 up-regulation, as well as dendritic cell maturation and survival. Additionally, TREM2 is involved in positively regulating osteoclast differentiation. This supplementary information is collated from multiple sources and compiled automatically.
See full target information TREM2

Publications (2)

Recent publications for all applications. Explore the full list and refine your search

Communications biology 8:514 PubMed40155473

2025

Defining gastric cancer ecology: the crucial roles of TREM2 macrophages and fibroblasts in tumor microenvironments.

Applications

Unspecified application

Species

Unspecified reactive species

Qianqian Cao,Dianshui Sun,Can Tu,Jihua Wang,Runjia Fu,Rumei Gong,Yueying Xiao,Qin Liu,Xiaomei Li

Cancer management and research 12:6059-6068 PubMed32801858

2020

Long Non-Coding RNA AGAP2-AS1/miR-628-5p/PTN Axis Modulates Proliferation, Migration, Invasion, and Apoptosis of Glioma Cells.

Applications

Unspecified application

Species

Unspecified reactive species

Yang Yan,Yiping Wang,Yuxia Liu,Tao Chen,Yaoli Zhu,Huiqing Li,Fangen Kong
View all publications

Product promise

We are committed to supporting your work with high-quality reagents, and we're here for you every step of the way. In the unlikely event that one of our products does not perform as expected, you're protected by our Product Promise.
For full details, please see our Terms & Conditions

Please note: All products are 'FOR RESEARCH USE ONLY. NOT FOR USE IN DIAGNOSTIC OR THERAPEUTIC PROCEDURES'.

For licensing inquiries, please contact partnerships@abcam.com