JavaScript is disabled in your browser. Please enable JavaScript to view this website.
AB318262

Anti-TREM2 antibody [EPR26209-22]

  • BOND RX™ Validated
  • 20ul selling size
  • Recombinant
  • KO Validated
  • Advanced Validation
  • RabMAb
  • What is this?

Be the first to review this product! Submit a review

|

(0 Publication)

Knockout Tested Rabbit Recombinant Monoclonal TREM2 antibody. Suitable for IHC-P, WB, IP, mIHC and reacts with Transfected cell line - Human, Human samples.

View Alternative Names

Triggering receptor expressed on myeloid cells 2, TREM-2, Triggering receptor expressed on monocytes 2, TREM2

10 Images
Immunohistochemistry (Formalin/PFA-fixed paraffin-embedded sections) - Anti-TREM2 antibody [EPR26209-22] (AB318262)
  • IHC-P

Supplier Data

Immunohistochemistry (Formalin/PFA-fixed paraffin-embedded sections) - Anti-TREM2 antibody [EPR26209-22] (AB318262)

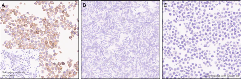
Immunohistochemical analysis of paraffin-embedded (A) THP-1 (human monocytic leukemia monocyte) cell pellet (B) SH-SY5Y (human neuroblastoma epithelial cell) cell pellet (C) HL-60 (human acute promyelocytic leukemia promyeloblast) cell pellet tissue labeling TREM2 with ab318262 at 1/100 (5.29 ug/ml) dilution, followed by a ready to use LeicaDS9800 (Bond™ Polymer Refine Detection).

Positive staining on (A) THP-1 cell pellet, negative staining on (B) SH-SY5Y cell pellet and (C) HL-60 cell pellet. The section was incubated with ab318262 for 30 mins at room temperature.
The immunostaining was performed on a Leica Biosystems BOND® RX instrument

Counterstained with Hematoxylin.

Secondary antibody only control : Secondary antibody is a ready to use LeicaDS9800 (Bond™ Polymer Refine Detection).

Heat mediated antigen retrieval was performed with Tris-EDTA buffer (pH 9.0, Epitope Retrieval Solution2) for 20 mins

Immunohistochemistry (Formalin/PFA-fixed paraffin-embedded sections) - Anti-TREM2 antibody [EPR26209-22] (AB318262)
  • IHC-P

Supplier Data

Immunohistochemistry (Formalin/PFA-fixed paraffin-embedded sections) - Anti-TREM2 antibody [EPR26209-22] (AB318262)

Immunohistochemical analysis of paraffin-embedded Human glioblastoma tissue labeling TREM2 with ab318262 at 1/100 (5.29 ug/ml) dilution, followed by a ready to use LeicaDS9800 (Bond™ Polymer Refine Detection).

Positive staining on human glioblastoma. The section was incubated with ab318262 for 30 mins at room temperature.
The immunostaining was performed on a Leica Biosystems BOND® RX instrument

Counterstained with Hematoxylin.

Secondary antibody only control : Secondary antibody is a ready to use LeicaDS9800 (Bond™ Polymer Refine Detection).

Heat mediated antigen retrieval was performed with Tris-EDTA buffer (pH 9.0, Epitope Retrieval Solution2) for 20 mins

Multiplex immunohistochemistry - Anti-TREM2 antibody [EPR26209-22] (AB318262)
  • mIHC

Supplier Data

Multiplex immunohistochemistry - Anti-TREM2 antibody [EPR26209-22] (AB318262)

Multiplex immunohistochemistry analysis of formalin/PFA-fixed paraffin-embedded human cerebrum tissue staining TREM2 with ab318262 at a 1 : 100 (5.29 ug/ml) dilution, ab306583 anti-TMEM119 used at 1 : 2000 (0.255 ug/ml) dilution and ab218309 anti-GFAP used at a 1 : 1000 (1.325 ug/ml) dilution.

Panel A : merged staining of anti-TREM2 (green; Opal™520), anti-TMEM119 (magenta; Opal™690) and anti-GFAP (yellow; Opal™570) on human cerebrum.
Panel B : anti-TREM2 staining microglia in human cerebrum.
Panel C : anti-TMEM119 staining microglia in human cerebrum.
Panel D : anti-GFAP staining astrocytes in human cerebrum.
Nuclear DNA was labeled with DAPI (shown in blue).

The section was incubated in three rounds of staining : in the order of ab318262, ab306583 and ab218309 for 30 mins at room temperature. Each round was followed by a separate fluorescent tyramide signal amplification system.

The immunostaining was performed on a Leica Biosystems BOND® RX instrument with an Opal™ 4-color kit. Image acquisition was performed with Leica SP8 confocal microscope.

Nuclear counter stain with DAPI.

Heat mediated antigen retrieval with Tris-EDTA buffer (pH 9.0, epitope retrieval solution2) for 20 mins.

Multiplex immunohistochemistry - Anti-TREM2 antibody [EPR26209-22] (AB318262)
  • mIHC

Supplier Data

Multiplex immunohistochemistry - Anti-TREM2 antibody [EPR26209-22] (AB318262)

Multiplex immunohistochemistry analysis of formalin/PFA-fixed paraffin-embedded human astrocytoma tissue staining TREM2 with ab318262 at a 1 : 100 (5.29 ug/ml) dilution, ab306583 anti-TMEM119 used at 1 : 2000 (0.255 ug/ml) dilution and ab218309 anti-GFAP used at a 1 : 1000 (1.325 ug/ml) dilution.

Panel A : merged staining of anti-TREM2 (green; Opal™520), anti-TMEM119 (magenta; Opal™690) and anti-GFAP (yellow; Opal™570) on human astrocytoma.
Panel B : anti-TREM2 staining microglia in human astrocytoma.
Panel C : anti-TMEM119 staining microglia in human astrocytoma.
Panel D : anti-GFAP staining astrocyte in human astrocytoma.
Nuclear DNA was labeled with DAPI (shown in blue).

The section was incubated in three rounds of staining : in the order of ab318262, ab306583 and ab218309 for 30 mins at room temperature. Each round was followed by a separate fluorescent tyramide signal amplification system.

The immunostaining was performed on a Leica Biosystems BOND® RX instrument with an Opal™ 4-color kit. Image acquisition was performed with Leica SP8 confocal microscope.

Nuclear counter stain with DAPI.

Heat mediated antigen retrieval with Tris-EDTA buffer (pH 9.0, epitope retrieval solution2) for 20 mins.

Immunohistochemistry (Formalin/PFA-fixed paraffin-embedded sections) - Anti-TREM2 antibody [EPR26209-22] (AB318262)
  • IHC-P

Supplier Data

Immunohistochemistry (Formalin/PFA-fixed paraffin-embedded sections) - Anti-TREM2 antibody [EPR26209-22] (AB318262)

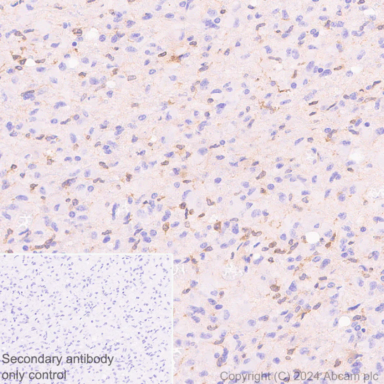
Immunohistochemical analysis of paraffin-embedded Human astrocytoma tissue labeling TREM2 with ab318262 at 1/100 (5.29 ug/ml) dilution, followed by a ready to use LeicaDS9800 (Bond™ Polymer Refine Detection).

Positive staining on human astrocytoma. The section was incubated with ab318262 for 30 mins at room temperature.
The immunostaining was performed on a Leica Biosystems BOND® RX instrument

Counterstained with Hematoxylin.

Secondary antibody only control : Secondary antibody is a ready to use LeicaDS9800 (Bond™ Polymer Refine Detection).

Heat mediated antigen retrieval was performed with Tris-EDTA buffer (pH 9.0, Epitope Retrieval Solution2) for 20 mins

Immunohistochemistry (Formalin/PFA-fixed paraffin-embedded sections) - Anti-TREM2 antibody [EPR26209-22] (AB318262)
  • IHC-P

Supplier Data

Immunohistochemistry (Formalin/PFA-fixed paraffin-embedded sections) - Anti-TREM2 antibody [EPR26209-22] (AB318262)

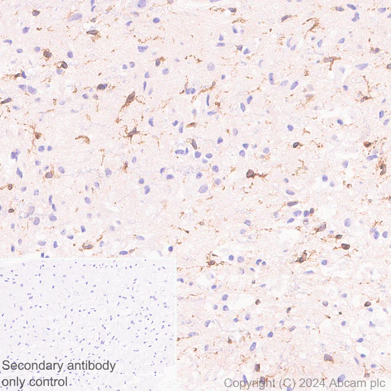
Immunohistochemical analysis of paraffin-embedded Human Alzheimer's cerebrum tissue labeling TREM2 with ab318262 at 1/100 (5.29 ug/ml) dilution, followed by a ready to use LeicaDS9800 (Bond™ Polymer Refine Detection).

Positive staining on human Alzheimer's cerebrum (PMID : 25186950; : 25186950; PMID : 28592261 ). The section was incubated with ab318262 for 30 mins at room temperature.
The immunostaining was performed on a Leica Biosystems BOND® RX instrument

Counterstained with Hematoxylin.

Secondary antibody only control : Secondary antibody is a ready to use LeicaDS9800 (Bond™ Polymer Refine Detection).

Heat mediated antigen retrieval was performed with Tris-EDTA buffer (pH 9.0, Epitope Retrieval Solution2) for 20 mins

Immunoprecipitation - Anti-TREM2 antibody [EPR26209-22] (AB318262)
  • IP

Supplier Data

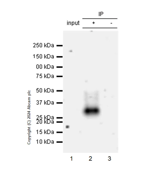
Immunoprecipitation - Anti-TREM2 antibody [EPR26209-22] (AB318262)

TREM2 was immunoprecipitated from 0.35 mg THP-1 (human monocytic leukemia monocyte) whole cell lysate with ab318262 at 1/30 dilution (2ug in 0.35mg lysates). Western blot was performed on the immunoprecipitate using ab318262 at 1/1000 dilution. VeriBlot for IP secondary antibody(HRP)(ab131366) was used at 1/5000 dilution.

Lane 1 : THP-1 (human monocytic leukemia monocyte) whole cell lysate
Lane 2 : ab318262 IP in THP-1 (human monocytic leukemia monocyte) whole cell lysate
Lane 3 : Rabbit monoclonal IgG (ab172730) instead of ab318262 in THP-1 whole cell lysate

All lanes:

Immunoprecipitation - Anti-TREM2 antibody [EPR26209-22] (ab318262) at 1/30 dilution

All lanes:

THP-1 (human monocytic leukemia monocyte) whole cell lysate with NFDM/TBST

Secondary

All lanes:

Immunoprecipitation - VeriBlot for IP Detection Reagent (HRP) (<a href='/en-us/products/reagents/veriblot-for-ip-detection-reagent-hrp-ab131366'>ab131366</a>) at 1/5000 dilution

false

Exposure time: 84s

Western blot - Anti-TREM2 antibody [EPR26209-22] (AB318262)
  • WB

Supplier Data

Western blot - Anti-TREM2 antibody [EPR26209-22] (AB318262)

In Western blot, ab318262 was shown to bind specifically to TREM2. Target of interest was observed at 30 kDa in wild-type THP-1 cell lysates (lane 1) with no signal observed at this size in TREM2 knockout cell line (lane 2) (lane 2, knockout cell line ab269489 / knockout cell lysate ab269652).

Negative control : SH-SY5Y, HL-60.

In Western blot, Anti-GAPDH antibody [EPR16891] - Loading Control (ab181602) staining at 1/200000 dilution.

All lanes:

Western blot - Anti-TREM2 antibody [EPR26209-22] (ab318262) at 1/1000 dilution

Lane 1:

Wild-type THP-1 (human monocytic leukemia monocyte) whole cell lysate at 20 µg with NFDM/TBST

Lane 2:

TREM2 knockout THP-1 whole cell lysate at 20 µg with NFDM/TBST

Lane 3:

SH-SY5Y (human neuroblastoma epithelial cell) whole cell lysate at 20 µg with NFDM/TBST

Lane 4:

HL-60 (human acute promyelocytic leukemia promyeloblast) whole cell lysate at 20 µg with NFDM/TBST

Secondary

All lanes:

Western blot - Goat Anti-Rabbit IgG H&L (HRP) (<a href='/en-us/products/secondary-antibodies/goat-rabbit-igg-h-l-hrp-ab97051'>ab97051</a>) at 1/20000 dilution

Observed band size: 30 kDa,36 kDa

false

Exposure time: 180s

Immunohistochemistry (Formalin/PFA-fixed paraffin-embedded sections) - Anti-TREM2 antibody [EPR26209-22] (AB318262)
  • IHC-P

Supplier Data

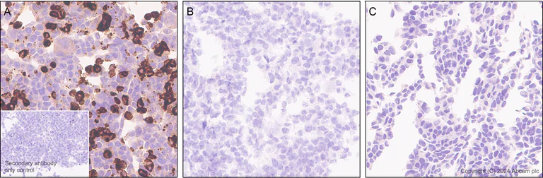
Immunohistochemistry (Formalin/PFA-fixed paraffin-embedded sections) - Anti-TREM2 antibody [EPR26209-22] (AB318262)

Immunohistochemical analysis of paraffin-embedded (A) HEK-293T (human epithelial cell line from embryonic kidney) transfected with a TREM2 expression vector containing a Myc-His tag. (B) HEK-293T transfected with TREM1 expression vector containing a His tag. (C) HEK-293T transfected with empty vector containing a Myc-His tag. tissue labeling TREM2 with ab318262 at 1/2000 (0.265 ug/ml) dilution, followed by a ready to use LeicaDS9800 (Bond™ Polymer Refine Detection).

Positive staining on (A) HEK-293T (human epithelial cell line from embryonic kidney) transfected with a TREM2 expression vector containing a Myc-His tag, negative staining on (B) HEK-293T transfected with TREM1 expression vector containing a His tag and (C) HEK-293T transfected with empty vector containing a Myc-His tag. The section was incubated with ab318262 for 30 mins at room temperature.
The immunostaining was performed on a Leica Biosystems BOND® RX instrument

Counterstained with Hematoxylin.

Secondary antibody only control : Secondary antibody is a ready to use LeicaDS9800 (Bond™ Polymer Refine Detection).

Heat mediated antigen retrieval was performed with Tris-EDTA buffer (pH 9.0, Epitope Retrieval Solution2) for 20 mins

Immunohistochemistry (Formalin/PFA-fixed paraffin-embedded sections) - Anti-TREM2 antibody [EPR26209-22] (AB318262)
  • IHC-P

Supplier Data

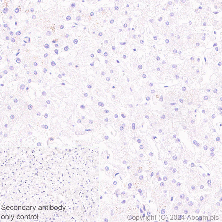
Immunohistochemistry (Formalin/PFA-fixed paraffin-embedded sections) - Anti-TREM2 antibody [EPR26209-22] (AB318262)

Immunohistochemical analysis of paraffin-embedded Human liver tissue labeling TREM2 with ab318262 at 1/100 (5.29 ug/ml) dilution, followed by a ready to use LeicaDS9800 (Bond™ Polymer Refine Detection).

Negative control : no staining on human liver (PMID : 12472885). The section was incubated with ab318262 for 30 mins at room temperature.
The immunostaining was performed on a Leica Biosystems BOND® RX instrument

Counterstained with Hematoxylin.

Secondary antibody only control : Secondary antibody is a ready to use LeicaDS9800 (Bond™ Polymer Refine Detection).

Heat mediated antigen retrieval was performed with Tris-EDTA buffer (pH 9.0, Epitope Retrieval Solution2) for 20 mins

  • Carrier free

    Anti-TREM2 antibody [EPR26209-22] - BSA and Azide free

Key facts

Host species

Rabbit

Clonality

Monoclonal

Clone number

EPR26209-22

Isotype

IgG

Carrier free

No

Reacts with

Human

Applications

mIHC, IHC-P, IP, WB

applications

Immunogen

The exact immunogen used to generate this antibody is proprietary information.

Reactivity data

{ "title": "Reactivity Data", "filters": { "stats": ["", "Species", "Dilution Info", "Notes"], "tabs": { "all-applications": {"fullname" : "All Applications", "shortname": "All Applications"}, "IHCP" : {"fullname" : "Immunohistochemistry (Formalin/PFA-fixed paraffin-embedded sections)", "shortname":"IHC-P"}, "WB" : {"fullname" : "Western blot", "shortname":"WB"}, "IP" : {"fullname" : "Immunoprecipitation", "shortname":"IP"}, "mIHC" : {"fullname" : "Multiplex immunohistochemistry", "shortname":"mIHC"}, "FlowCyt" : {"fullname" : "Flow Cytometry", "shortname":"Flow Cyt"} }, "product-promise": { "all": "all", "testedAndGuaranteed": "tested", "guaranteed": "expected", "predicted": "predicted", "notRecommended": "not-recommended" } }, "values": { "Human": { "IHCP-species-checked": "testedAndGuaranteed", "IHCP-species-dilution-info": "1/100", "IHCP-species-notes": "<p></p> Perform heat-mediated antigen retrieval with Tris/EDTA buffer pH 9.0 before commencing with IHC staining protocol.", "WB-species-checked": "testedAndGuaranteed", "WB-species-dilution-info": "1/1000", "WB-species-notes": "<p></p>", "IP-species-checked": "testedAndGuaranteed", "IP-species-dilution-info": "1/30", "IP-species-notes": "<p></p>", "mIHC-species-checked": "testedAndGuaranteed", "mIHC-species-dilution-info": "1/100", "mIHC-species-notes": "<p></p> Perform heat-mediated antigen retrieval with Tris/EDTA buffer pH 9.0 before commencing with IHC staining protocol.", "FlowCyt-species-checked": "notRecommended", "FlowCyt-species-dilution-info": "", "FlowCyt-species-notes": "<p></p>" }, "Mouse": { "IHCP-species-checked": "notRecommended", "IHCP-species-dilution-info": "", "IHCP-species-notes": "<p></p>", "WB-species-checked": "notRecommended", "WB-species-dilution-info": "", "WB-species-notes": "", "IP-species-checked": "notRecommended", "IP-species-dilution-info": "", "IP-species-notes": "", "mIHC-species-checked": "notRecommended", "mIHC-species-dilution-info": "", "mIHC-species-notes": "", "FlowCyt-species-checked": "notRecommended", "FlowCyt-species-dilution-info": "", "FlowCyt-species-notes": "" }, "Rat": { "IHCP-species-checked": "notRecommended", "IHCP-species-dilution-info": "", "IHCP-species-notes": "<p></p>", "WB-species-checked": "notRecommended", "WB-species-dilution-info": "", "WB-species-notes": "", "IP-species-checked": "notRecommended", "IP-species-dilution-info": "", "IP-species-notes": "", "mIHC-species-checked": "notRecommended", "mIHC-species-dilution-info": "", "mIHC-species-notes": "", "FlowCyt-species-checked": "notRecommended", "FlowCyt-species-dilution-info": "", "FlowCyt-species-notes": "" }, "Transfected cell line - Human": { "IHCP-species-checked": "testedAndGuaranteed", "IHCP-species-dilution-info": "1/2000", "IHCP-species-notes": "<p></p>", "WB-species-checked": "notRecommended", "WB-species-dilution-info": "", "WB-species-notes": "", "IP-species-checked": "notRecommended", "IP-species-dilution-info": "", "IP-species-notes": "", "mIHC-species-checked": "notRecommended", "mIHC-species-dilution-info": "", "mIHC-species-notes": "", "FlowCyt-species-checked": "notRecommended", "FlowCyt-species-dilution-info": "", "FlowCyt-species-notes": "" } } }

You may be interested in:

AB224881

Human TREM2 ELISA Kit

0

0 Reviews

View product

We recommend this product because it’s often used in the same experiment or related research.

We advise that you always check the datasheet to ensure it fits your experiments, or contact ourtechnical teamfor help.

Product details

Patented technology
Our RabMAb® technology is a patented hybridoma-based technology for making rabbit monoclonal antibodies. For details on our patents, please refer to RabMAb® patents.

What are the advantages of a recombinant monoclonal antibody?
This product is a recombinant monoclonal antibody, which offers several advantages including:

  • - High batch-to-batch consistency and reproducibility
  • - Improved sensitivity and specificity
  • - Long-term security of supply
  • - Animal-free batch production

For more information, read more on recombinant antibodies.

Properties and storage information

Form
Liquid
Purification technique
Affinity purification Protein A
Storage buffer
pH: 7.2 - 7.4 Preservative: 0.01% Sodium azide Constituents: PBS, 40% Glycerol (glycerin, glycerine), 0.05% BSA
Shipped at conditions
Blue Ice
Appropriate short-term storage duration
1-2 weeks
Appropriate short-term storage conditions
+4°C
Appropriate long-term storage conditions
-20°C
Aliquoting information
Upon delivery aliquot
Storage information
Avoid freeze / thaw cycle

Product protocols

For this product, it's our understanding that no specific protocols are required. You can visit:

Target data

The protein expressed by gene TREM2 forms a receptor signaling complex with TYROBP, facilitating signaling and cell activation upon ligand binding. It serves as a receptor for amyloid-beta protein 42, mediating its uptake and degradation by microglia, and also acts as a receptor for lipoprotein particles such as LDL, VLDL, HDL, and various apolipoproteins, enhancing their uptake in microglia. TREM2 binds phospholipids, preferably anionic lipids, and is necessary for microglial phagocytosis of apoptotic neurons. It regulates changes in microglial numbers with age and activates immune responses in macrophages and dendritic cells, where it plays a role in chemokine receptor CCR7 up-regulation, as well as dendritic cell maturation and survival. Additionally, TREM2 is involved in positively regulating osteoclast differentiation. This supplementary information is collated from multiple sources and compiled automatically.
See full target information TREM2

Product promise

We are committed to supporting your work with high-quality reagents, and we're here for you every step of the way. In the unlikely event that one of our products does not perform as expected, you're protected by our Product Promise.
For full details, please see our Terms & Conditions

Please note: All products are 'FOR RESEARCH USE ONLY. NOT FOR USE IN DIAGNOSTIC OR THERAPEUTIC PROCEDURES'.

For licensing inquiries, please contact partnerships@abcam.com