JavaScript is disabled in your browser. Please enable JavaScript to view this website.
AB305072

Anti-TREM2 antibody [EPR26210-1] - BSA and Azide free

  • BOND RX™ Validated
  • RabMAb
  • Recombinant
  • KO Validated
  • What is this?

Be the first to review this product! Submit a review

|

(0 Publication)

Rabbit Recombinant Monoclonal TREM2 antibody. Carrier free. Suitable for ICC/IF, WB, IHC-P and reacts with Mouse, Transfected cell line - Mouse samples.

View Alternative Names

Trem2a, Trem2b, Trem2c, Trem2, Triggering receptor expressed on myeloid cells 2, TREM-2, Triggering receptor expressed on monocytes 2

7 Images
Immunohistochemistry (Formalin/PFA-fixed paraffin-embedded sections) - Anti-TREM2 antibody [EPR26210-1] - BSA and Azide free (AB305072)
  • IHC-P

Supplier Data

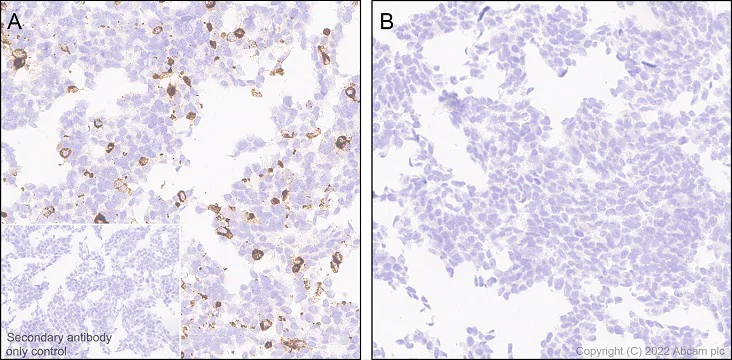
Immunohistochemistry (Formalin/PFA-fixed paraffin-embedded sections) - Anti-TREM2 antibody [EPR26210-1] - BSA and Azide free (AB305072)

This data was developed using ab305103, the same antibody clone in a different buffer formulation.

Immunohistochemical analysis of paraffin-embedded (A) RAW264.7 (mouse Abelson murine leukemia virus-induced tumor macrophage) cell pellet and (B) Neuro-2a (mouse neuroblastoma neuroblast) cell pellet, labeling TREM2 with ab305103 at 1/500 dilution (1.014 µg/ml) followed by a ready to use Leica DS9800 (Bond™ Polymer Refine Detection) kit.

The section was incubated with ab305103 for 30 mins at room temperature. The immunostaining was performed on a Leica Biosystems BOND® RX instrument Counterstained with Hematoxylin.

Positive staining in RAW264.7 cell pellet was observed with no staining in Neuro-2a cell pellet. Secondary antibody only control : RAW264.7 cell pellet with only ready to use Leica DS9800 (Bond™ Polymer Refine Detection) kit.

Heat mediated antigen retrieval with Tris-EDTA buffer (pH 9.0, epitope retrieval solution 2) for 20 mins.

Immunohistochemistry (Formalin/PFA-fixed paraffin-embedded sections) - Anti-TREM2 antibody [EPR26210-1] - BSA and Azide free (AB305072)
  • IHC-P

Lab

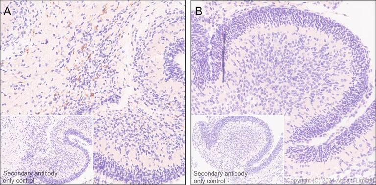
Immunohistochemistry (Formalin/PFA-fixed paraffin-embedded sections) - Anti-TREM2 antibody [EPR26210-1] - BSA and Azide free (AB305072)

This data was developed using ab305103, the same antibody clone in a different buffer formulation.

Immunohistochemical analysis of paraffin-embedded tissue labeling Trem2 with ab305103 at 1/500 dilution, followed by a ready to use LeicaDS9800 (Bond Polymer Refine Detection).

Positive staining on (A) whole brain tissue up to postnatal day 5 (P5) from wild-type C57BL/6JGpt mice and no staining on (B) whole brain tissue up to postnatal day 5 (P5) from TREM2 knockout mice
The section was incubated with ab305103 for 30 mins at room temperature.
The immunostaining was performed on a Leica Biosystems BOND® RX instrument.
The tissue samples were kindly provided by GemPharmatech. C57BL/6JGpt wildtype mice and Trem2-KO homozygous mice (Strain ID : T003346).

Counterstained with Hematoxylin.

Secondary antibody only control : Secondary antibody is a ready to use LeicaDS9800 (Bond Polymer Refine Detection).

Heat mediated antigen retrieval with Tris-EDTA buffer (pH 9.0, epitope retrieval solution2) for 20 mins.

Immunohistochemistry (Formalin/PFA-fixed paraffin-embedded sections) - Anti-TREM2 antibody [EPR26210-1] - BSA and Azide free (AB305072)
  • IHC-P

Supplier Data

Immunohistochemistry (Formalin/PFA-fixed paraffin-embedded sections) - Anti-TREM2 antibody [EPR26210-1] - BSA and Azide free (AB305072)

Immunohistochemical analysis of paraffin-embedded (A) HEK-293T cells transfected with a mouse TREM2 expression vector containing a GFP tag and (B) HEK-293T cells transfected with an empty vector containing a GFP tag (labeling TREM2 with ab305103 at 1/500 (1.014 µg/ml) followed by a ready to use Leica DS9800 (Bond™ Polymer Refine Detection) was used. Positive staining on (A) HEK-293T cells transfected with a Trem2 expression vector containing a GFP tag. No staining on (B) HEK-293T cells transfected with empty vector containing a GFP tag. The section was incubated with ab305103 for 30 mins at room temperature. The immunostaining was performed on a Leica Biosystems BOND® RX instrument Counterstained with Hematoxylin. Secondary antibody only control : Secondary antibody is a ready to use Leica DS9800 (Bond™ Polymer Refine Detection) kit. Heat mediated antigen retrieval with Tris-EDTA buffer (pH 9.0, epitope retrieval solution 2) for 20 mins. This data was developed using ab305103, the same antibody clone in a different buffer formulation.

Immunocytochemistry/ Immunofluorescence - Anti-TREM2 antibody [EPR26210-1] - BSA and Azide free (AB305072)
  • ICC/IF

Supplier Data

Immunocytochemistry/ Immunofluorescence - Anti-TREM2 antibody [EPR26210-1] - BSA and Azide free (AB305072)

This data was developed using ab305103, the same antibody clone in a different buffer formulation. Immunofluorescent analysis of 4% Paraformaldehyde-fixed, 0.1% TritonX-100 permeabilized RAW 264.7 (mouse abelson murine leukemia virus-induced tumor macrophage) cells labelling TREM2 with ab305103 at 1/500 (1.014 ug/ml) dilution, followed by ab150081 Goat Anti-Rabbit IgG H&L (Alexa Fluor® 488) preadsorbed antibody at 1/1000 2 ug/mL dilution (Green). Confocal image showing cytoplasmic staining on RAW 264.7 cell line.Negative control : Neuro-2a (PMID : 19302484).Image was taken with a confocal microscope (Leica-Microsystems, TCS SP8). is observed. ab195889 Anti-alpha Tubulin mouse monoclonal antibody - Microtubule Marker (Alexa Fluor® 594) was used to counterstain tubulin at 1/200 2.5ug/ml dilution (Red). The Nuclear counterstain was DAPI (Blue). Secondary antibody only control : Secondary antibody is ab150081 Goat Anti-Rabbit IgG H&L (Alexa Fluor® 488) preadsorbed at 1/1000 2 ug/mL dilution.

Immunohistochemistry (Formalin/PFA-fixed paraffin-embedded sections) - Anti-TREM2 antibody [EPR26210-1] - BSA and Azide free (AB305072)
  • IHC-P

Supplier Data

Immunohistochemistry (Formalin/PFA-fixed paraffin-embedded sections) - Anti-TREM2 antibody [EPR26210-1] - BSA and Azide free (AB305072)

Immunohistochemical analysis of paraffin-embedded (A) FAD4T Transgenic mouse Alzheimer’s disease cerebrum and (B) Mouse normal cerebrum (labeling TREM2 with ab305103 at 1/500 (1.014 µg/ml) followed by a ready to use Leica DS9800 (Bond™ Polymer Refine Detection) was used. Positive staining on (A) Mouse Alzheimer’s disease cerebrum, no staining on (B) Mouse normal cerebrum. The section was incubated with ab305103 for 30 mins at room temperature. The immunostaining was performed on a Leica Biosystems BOND® RX instrument. Counterstained with Hematoxylin. Secondary antibody only control : Secondary antibody is a ready to use Leica DS9800 (Bond™ Polymer Refine Detection) kit. Heat mediated antigen retrieval with Tris-EDTA buffer (pH 9.0, epitope retrieval solution 2) for 20 mins. This data was developed using ab305103, the same antibody clone in a different buffer formulation.

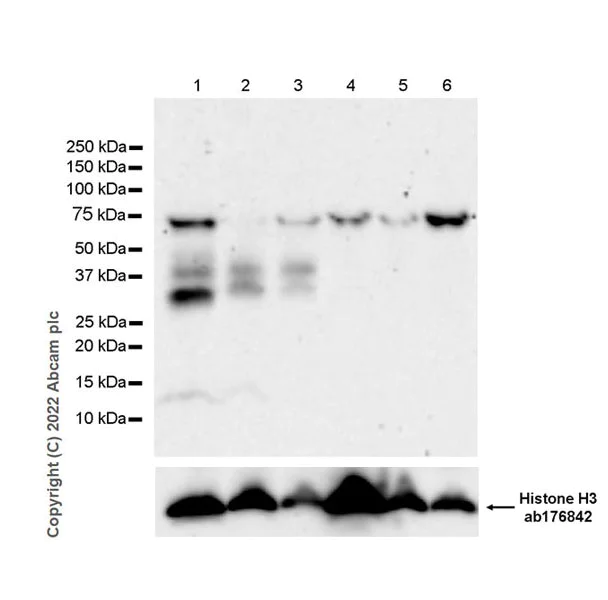
Western blot - Anti-TREM2 antibody [EPR26210-1] - BSA and Azide free (AB305072)
  • WB

Supplier Data

Western blot - Anti-TREM2 antibody [EPR26210-1] - BSA and Azide free (AB305072)

This data was developed using ab305103, the same antibody clone in a different buffer formulation. Blocking and diluting buffer and concentration : 5% NFDM/TBST TREM2 is a glycoprotein of approximately 35-50 kDa and detected as a 25 kDa band after treated with Protein Deglycosylation MIX II. The identity of the higher MW band at approximately 70 kDa is unknown.

All lanes:

Western blot - Anti-TREM2 antibody [EPR26210-1] (<a href='/en-us/products/primary-antibodies/trem2-antibody-epr26210-1-ab305103'>ab305103</a>) at 1/1000 dilution

Lane 1:

Untreated J774A.1 (mouse reticum cell sarcoma monocyte macrophage), whole cell lysate at 30 µg

Lane 2:

J774A.1 whole cell lysate treated with Protein Deglycosylation Mix II at 30 µg

Secondary

All lanes:

Western blot - Goat Anti-Rabbit IgG H&L (HRP) (<a href='/en-us/products/secondary-antibodies/goat-rabbit-igg-h-l-hrp-ab97051'>ab97051</a>) at 1/20000 dilution

Predicted band size: 35-50 kDa,25 kDa

Observed band size: 35-50 kDa,25 kDa

false

Exposure time: 3min

Western blot - Anti-TREM2 antibody [EPR26210-1] - BSA and Azide free (AB305072)
  • WB

Supplier Data

Western blot - Anti-TREM2 antibody [EPR26210-1] - BSA and Azide free (AB305072)

This data was developed using ab305103, the same antibody clone in a different buffer formulation. Blocking and diluting buffer and concentration : 5% NFDM/TBST The expression profile and molecular weight observed are consistent with what has been described in the literature (PMID : 29611543; PMID : 28559417). Negative control : L929, F9 (PMID : 11241283), Neuro-2a (PMID : 19302484). The identity of the higher MW band at approximately 70 kDa is unknown.

All lanes:

Western blot - Anti-TREM2 antibody [EPR26210-1] (<a href='/en-us/products/primary-antibodies/trem2-antibody-epr26210-1-ab305103'>ab305103</a>) at 1/1000 dilution

Lane 1:

J774A.1 (mouse reticum cell sarcoma monocyte macrophage), whole cell lysate at 20 µg

Lane 2:

RAW264.7 (mouse Abelson murine leukemia virus-induced tumor macrophage), whole cell lysate at 20 µg

Lane 3:

N9 (mouse microglia), whole cell lysate at 20 µg

Lane 4:

L929 (mouse connective tissue fibroblast), whole cell lysate at 20 µg

Lane 5:

Neuro-2a (mouse neuroblastoma neuroblast), whole cell lysate at 20 µg

Lane 6:

F9 (mouse embryonal carcinoma epithelial cell), whole cell lysate at 20 µg

Secondary

All lanes:

Western blot - Goat Anti-Rabbit IgG H&L (HRP) (<a href='/en-us/products/secondary-antibodies/goat-rabbit-igg-h-l-hrp-ab97051'>ab97051</a>) at 1/20000 dilution

Predicted band size: 25 kDa

Observed band size: 35-50 kDa

false

Exposure time: 3min

Key facts

Host species

Rabbit

Clonality

Monoclonal

Clone number

EPR26210-1

Isotype

IgG

Carrier free

Yes

Reacts with

Mouse

Applications

ICC/IF, IHC-P, WB

applications

Immunogen

The exact immunogen used to generate this antibody is proprietary information.

Reactivity data

{ "title": "Reactivity Data", "filters": { "stats": ["", "Species", "Dilution Info", "Notes"], "tabs": { "all-applications": {"fullname" : "All Applications", "shortname": "All Applications"}, "ICCIF" : {"fullname" : "Immunocytochemistry/ Immunofluorescence", "shortname":"ICC/IF"}, "WB" : {"fullname" : "Western blot", "shortname":"WB"}, "IHCP" : {"fullname" : "Immunohistochemistry (Formalin/PFA-fixed paraffin-embedded sections)", "shortname":"IHC-P"}, "IHCFr" : {"fullname" : "Immunohistochemistry (Frozen sections)", "shortname":"IHC-Fr"}, "FlowCytIntra" : {"fullname" : "Flow Cytometry (Intracellular)", "shortname":"Flow Cyt (Intra)"}, "IP" : {"fullname" : "Immunoprecipitation", "shortname":"IP"} }, "product-promise": { "all": "all", "testedAndGuaranteed": "tested", "guaranteed": "expected", "predicted": "predicted", "notRecommended": "not-recommended" } }, "values": { "Human": { "ICCIF-species-checked": "notRecommended", "ICCIF-species-dilution-info": "", "ICCIF-species-notes": "", "WB-species-checked": "notRecommended", "WB-species-dilution-info": "", "WB-species-notes": "<p>Actual Band 35-50, 25</p>", "IHCP-species-checked": "notRecommended", "IHCP-species-dilution-info": "", "IHCP-species-notes": "<p></p> Perform heat-mediated antigen retrieval with Tris/EDTA buffer pH 9.0 before commencing with IHC staining protocol.", "IHCFr-species-checked": "notRecommended", "IHCFr-species-dilution-info": "", "IHCFr-species-notes": "", "FlowCytIntra-species-checked": "notRecommended", "FlowCytIntra-species-dilution-info": "", "FlowCytIntra-species-notes": "", "IP-species-checked": "notRecommended", "IP-species-dilution-info": "", "IP-species-notes": "" }, "Mouse": { "ICCIF-species-checked": "testedAndGuaranteed", "ICCIF-species-dilution-info": "", "ICCIF-species-notes": "<p></p>", "WB-species-checked": "testedAndGuaranteed", "WB-species-dilution-info": "", "WB-species-notes": "<p>Actual Band 35-50, 25</p>", "IHCP-species-checked": "testedAndGuaranteed", "IHCP-species-dilution-info": "", "IHCP-species-notes": "<p></p> Perform heat-mediated antigen retrieval with Tris/EDTA buffer pH 9.0 before commencing with IHC staining protocol.", "IHCFr-species-checked": "notRecommended", "IHCFr-species-dilution-info": "", "IHCFr-species-notes": "<p></p>", "FlowCytIntra-species-checked": "notRecommended", "FlowCytIntra-species-dilution-info": "", "FlowCytIntra-species-notes": "<p></p>", "IP-species-checked": "notRecommended", "IP-species-dilution-info": "", "IP-species-notes": "<p></p>" }, "Rat": { "ICCIF-species-checked": "notRecommended", "ICCIF-species-dilution-info": "", "ICCIF-species-notes": "", "WB-species-checked": "notRecommended", "WB-species-dilution-info": "", "WB-species-notes": "<p>Actual Band 35-50, 25</p>", "IHCP-species-checked": "notRecommended", "IHCP-species-dilution-info": "", "IHCP-species-notes": "", "IHCFr-species-checked": "notRecommended", "IHCFr-species-dilution-info": "", "IHCFr-species-notes": "<p></p>", "FlowCytIntra-species-checked": "notRecommended", "FlowCytIntra-species-dilution-info": "", "FlowCytIntra-species-notes": "", "IP-species-checked": "notRecommended", "IP-species-dilution-info": "", "IP-species-notes": "" }, "Transfected cell line - Mouse": { "ICCIF-species-checked": "notRecommended", "ICCIF-species-dilution-info": "", "ICCIF-species-notes": "", "WB-species-checked": "notRecommended", "WB-species-dilution-info": "", "WB-species-notes": "", "IHCP-species-checked": "testedAndGuaranteed", "IHCP-species-dilution-info": "", "IHCP-species-notes": "<p></p> Perform heat-mediated antigen retrieval with Tris/EDTA buffer pH 9.0 before commencing with IHC staining protocol.", "IHCFr-species-checked": "notRecommended", "IHCFr-species-dilution-info": "", "IHCFr-species-notes": "", "FlowCytIntra-species-checked": "notRecommended", "FlowCytIntra-species-dilution-info": "", "FlowCytIntra-species-notes": "", "IP-species-checked": "notRecommended", "IP-species-dilution-info": "", "IP-species-notes": "" } } }

Product details

What are the advantages of a recombinant monoclonal antibody?
This product is a recombinant monoclonal antibody, which offers several advantages including:

  • - High batch-to-batch consistency and reproducibility
  • - Improved sensitivity and specificity
  • - Long-term security of supply
  • - Animal-free batch production

For more information, read more on recombinant antibodies.

Conjugation ready
Our carrier-free antibodies are typically supplied in a PBS-only formulation, purified and free of BSA, sodium azide and glycerol. This conjugation-ready format is designed for use with fluorochromes, metal isotopes, oligonucleotides, and enzymes, which makes them ideal for antibody labelling, functional and cell-based assays, flow-based assays (e.g. mass cytometry) and Multiplex Imaging applications.

Use our conjugation kits for antibody conjugates that are ready-to-use in as little as 20 minutes with 1 minute hands-on-time and 100% antibody recovery: available for fluorescent dyes, HRP, biotin and gold.

Patented technology
Our RabMAb® technology is a patented hybridoma-based technology for making rabbit monoclonal antibodies. For details on our patents, please refer to RabMAb® patents.

Compatibility
This product is compatible with the Maxpar® Antibody Labeling Kit from Fluidigm, without the need for antibody preparation. Maxpar® is a trademark of Fluidigm Canada Inc.

Properties and storage information

Form
Liquid
Purification technique
Affinity purification Protein A
Storage buffer
pH: 7.2 - 7.4 Constituents: 100% PBS
Shipped at conditions
Blue Ice
Appropriate short-term storage conditions
+4°C
Appropriate long-term storage conditions
+4°C

Product protocols

For this product, it's our understanding that no specific protocols are required. You can visit:

Target data

Forms a receptor signaling complex with TYROBP which mediates signaling and cell activation following ligand binding (PubMed : 11241283). Acts as a receptor for amyloid-beta protein 42, a cleavage product of the amyloid-beta precursor protein APP, and mediates its uptake and degradation by microglia (PubMed : 27477018, PubMed : 29518356). Binding to amyloid-beta 42 mediates microglial activation, proliferation, migration, apoptosis and expression of pro-inflammatory cytokines, such as IL6R and CCL3, and the anti-inflammatory cytokine ARG1 (PubMed : 27477018, PubMed : 29518356). Acts as a receptor for lipoprotein particles such as LDL, VLDL, and HDL and for apolipoproteins such as APOA1, APOA2, APOB, APOE, APOE2, APOE3, APOE4, and CLU and enhances their uptake in microglia (PubMed : 27477018). Binds phospholipids (preferably anionic lipids) such as phosphatidylserine, phosphatidylethanolamine, phosphatidylglycerol and sphingomyelin (By similarity). Regulates microglial proliferation by acting as an upstream regulator of the Wnt/beta-catenin signaling cascade (PubMed : 28077724). Required for microglial phagocytosis of apoptotic neurons (PubMed : 24990881). Also required for microglial activation and phagocytosis of myelin debris after neuronal injury and of neuronal synapses during synapse elimination in the developing brain (PubMed : 15728241, PubMed : 25631124, PubMed : 28592261, PubMed : 29752066). Regulates microglial chemotaxis and process outgrowth, and also the microglial response to oxidative stress and lipopolysaccharide (PubMed : 28483841, PubMed : 29663649, PubMed : 29859094, PubMed : 30232263). It suppresses PI3K and NF-kappa-B signaling in response to lipopolysaccharide; thus promoting phagocytosis, suppressing pro-inflammatory cytokine and nitric oxide production, inhibiting apoptosis and increasing expression of IL10 and TGFB (PubMed : 29663649). During oxidative stress, it promotes anti-apoptotic NF-kappa-B signaling and ERK signaling (PubMed : 28592261). Plays a role in microglial MTOR activation and metabolism (PubMed : 28802038). Regulates age-related changes in microglial numbers (PubMed : 25631124, PubMed : 29752066, PubMed : 30548312). Triggers activation of the immune responses in macrophages and dendritic cells. Mediates cytokine-induced formation of multinucleated giant cells which are formed by the fusion of macrophages (PubMed : 18957693). In dendritic cells, receptor of SEMA6D with PLEXNA1 as coreceptor and mediates up-regulation of chemokine receptor CCR7 and dendritic cell maturation and survival (PubMed : 16715077). Involved in the positive regulation of osteoclast differentiation (PubMed : 16418779).
See full target information Trem2

Product promise

We are committed to supporting your work with high-quality reagents, and we're here for you every step of the way. In the unlikely event that one of our products does not perform as expected, you're protected by our Product Promise.
For full details, please see our Terms & Conditions

Please note: All products are 'FOR RESEARCH USE ONLY. NOT FOR USE IN DIAGNOSTIC OR THERAPEUTIC PROCEDURES'.

For licensing inquiries, please contact partnerships@abcam.com