JavaScript is disabled in your browser. Please enable JavaScript to view this website.
AB83890

Anti-TREX1 antibody

Be the first to review this product! Submit a review

|

(3 Publications)

Rabbit Polyclonal TREX1 antibody. Suitable for WB, IHC-P, ICC/IF and reacts with Human samples. Cited in 3 publications.

View Alternative Names

Three-prime repair exonuclease 1, 3'-5' exonuclease TREX1, Deoxyribonuclease III, DNase III, TREX1

3 Images
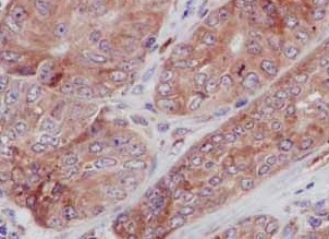
Immunohistochemistry (Formalin/PFA-fixed paraffin-embedded sections) - Anti-TREX1 antibody (AB83890)
  • IHC-P

Unknown

Immunohistochemistry (Formalin/PFA-fixed paraffin-embedded sections) - Anti-TREX1 antibody (AB83890)

ab83890 at 2.5μg/ml staining TREX1 in Human spleen tissue.

Immunocytochemistry/ Immunofluorescence - Anti-TREX1 antibody (AB83890)
  • ICC/IF

Unknown

Immunocytochemistry/ Immunofluorescence - Anti-TREX1 antibody (AB83890)

Immunofluorescence of TREX1 in Human Spleen cells using ab83890 at 20 ug/ml.

Western blot - Anti-TREX1 antibody (AB83890)
  • WB

Unknown

Western blot - Anti-TREX1 antibody (AB83890)

Lane 1:

Western blot - Anti-TREX1 antibody (ab83890) at 0.5 µg/mL

Lane 2:

Western blot - Anti-TREX1 antibody (ab83890) at 1 µg/mL

All lanes:

Human spleen tissue lysate at 15 µg

Secondary

All lanes:

anti-rabbit secondary

Predicted band size: 39 kDa

Observed band size: 31 kDa

false

Key facts

Host species

Rabbit

Clonality

Polyclonal

Isotype

IgG

Carrier free

No

Reacts with

Human

Applications

IHC-P, ICC/IF, WB

applications

Immunogen

The exact immunogen used to generate this antibody is proprietary information.

Specificity

This antibody will not cross-react with the related protein TREX2.

Reactivity data

{ "title": "Reactivity Data", "filters": { "stats": ["", "Species", "Dilution Info", "Notes"], "tabs": { "all-applications": {"fullname" : "All Applications", "shortname": "All Applications"}, "WB" : {"fullname" : "Western blot", "shortname":"WB"}, "IHCP" : {"fullname" : "Immunohistochemistry (Formalin/PFA-fixed paraffin-embedded sections)", "shortname":"IHC-P"}, "ICCIF" : {"fullname" : "Immunocytochemistry/ Immunofluorescence", "shortname":"ICC/IF"} }, "product-promise": { "all": "all", "testedAndGuaranteed": "tested", "guaranteed": "expected", "predicted": "predicted", "notRecommended": "not-recommended" } }, "values": { "Human": { "WB-species-checked": "testedAndGuaranteed", "WB-species-dilution-info": "1-2 µg/mL", "WB-species-notes": "<p></p>", "IHCP-species-checked": "testedAndGuaranteed", "IHCP-species-dilution-info": "2.5 µg/mL", "IHCP-species-notes": "<p></p>", "ICCIF-species-checked": "testedAndGuaranteed", "ICCIF-species-dilution-info": "20 µg/mL", "ICCIF-species-notes": "<p></p>" }, "Mouse": { "WB-species-checked": "predicted", "WB-species-dilution-info": "", "WB-species-notes": "", "IHCP-species-checked": "predicted", "IHCP-species-dilution-info": "", "IHCP-species-notes": "", "ICCIF-species-checked": "predicted", "ICCIF-species-dilution-info": "", "ICCIF-species-notes": "" } } }

Product details

The mouse cross reactivity is lot specific. Please contact technical team for more information.

Properties and storage information

Form
Liquid
Purification technique
Affinity purification Immunogen
Storage buffer
pH: 7.2 Preservative: 0.02% Sodium azide Constituents: PBS
Shipped at conditions
Blue Ice
Appropriate short-term storage conditions
+4°C
Appropriate long-term storage conditions
+4°C

Supplementary information

This supplementary information is collated from multiple sources and compiled automatically.

TREX1 also known as Three Prime Repair Exonuclease 1 acts as a DNA exonuclease which degrades single-stranded DNA from the 3' end. This protein exhibits a mass of 33 kDa. TREX1's expression is largely found in the cytoplasm of many cell types including those in the immune system and various tissues like the liver spleen and heart. Through its enzymatic activity TREX1 helps maintain genomic stability by processing DNA intermediates that arise from incomplete DNA replication or repair processes.
Biological function summary

TREX1 removes excessive DNA that might trigger immune responses. It is not a part of a large protein complex but works closely with substrates involved in DNA repair and replication. By degrading abnormal DNA TREX1 prevents the initiation of inappropriate immune responses that could result in autoimmunity. Its functionality is essential in preventing the cell from converting these DNA fragments into ligands for DNA sensors which could activate immune signaling pathways.

Pathways

TREX1 plays a significant role in the DNA damage response and innate immune pathways. In the DNA damage response pathway TREX1 functions alongside proteins like ATR and ATM which address DNA replication stress and repair. Within the innate immune pathway it interacts with cGAS (cyclic GMP-AMP synthase) which can become activated in response to cytosolic DNA leading to the production of type I interferons - powerful immune modulators.

Mutations in TREX1 have been linked to autoimmune diseases such as Aicardi-Goutières syndrome and systemic lupus erythematosus. In these conditions the altered or deficient TREX1 leads to the accumulation of DNA in the cytoplasm falsely triggering an antiviral immune response. This relationship with cGAS is critical as the cGAS-STING pathway becomes activated due to the presence of unprocessed DNA resulting in chronic inflammation and contributing to the autoimmune pathology observed in these disorders.

Product protocols

For this product, it's our understanding that no specific protocols are required. You can visit:

Target data

Major cellular 3'-to-5' DNA exonuclease which digests single-stranded DNA (ssDNA) and double-stranded DNA (dsDNA) with mismatched 3' termini (PubMed : 10391904, PubMed : 10393201, PubMed : 17293595). Prevents cell-intrinsic initiation of autoimmunity (PubMed : 10391904, PubMed : 10393201, PubMed : 17293595). Acts by metabolizing DNA fragments from endogenous retroelements, including L1, LTR and SINE elements (PubMed : 10391904, PubMed : 10393201, PubMed : 17293595). Plays a key role in degradation of DNA fragments at cytosolic micronuclei arising from genome instability : its association with the endoplasmic reticulum membrane directs TREX1 to ruptured micronuclei, leading to micronuclear DNA degradation (PubMed : 33476576). Micronuclear DNA degradation is required to limit CGAS activation and subsequent inflammation (PubMed : 33476576). Unless degraded, these DNA fragments accumulate in the cytosol and activate the cGAS-STING innate immune signaling, leading to the production of type I interferon (PubMed : 33476576). Prevents chronic ATM-dependent checkpoint activation, by processing ssDNA polynucleotide species arising from the processing of aberrant DNA replication intermediates (PubMed : 18045533). Inefficiently degrades oxidized DNA, such as that generated upon antimicrobial reactive oxygen production or upon absorption of UV light (PubMed : 23993650). During GZMA-mediated cell death, contributes to DNA damage in concert with NME1 (PubMed : 16818237). NME1 nicks one strand of DNA and TREX1 removes bases from the free 3' end to enhance DNA damage and prevent DNA end reannealing and rapid repair (PubMed : 16818237).
See full target information TREX1

Publications (3)

Recent publications for all applications. Explore the full list and refine your search

JCI insight 10: PubMed39589791

2024

Role of cGAS/STING pathway in aging and sexual dimorphism in diabetic kidney disease.

Applications

Unspecified application

Species

Unspecified reactive species

Sherif Khedr,Lashodya V Dissanayake,Ammar J Alsheikh,Adrian Zietara,Denisha R Spires,Romica Kerketta,Angela J Mathison,Raul Urrutia,Oleg Palygin,Alexander Staruschenko

The Journal of pathology 256:223-234 PubMed34731491

2021

BCG invokes superior STING-mediated innate immune response over radiotherapy in a carcinogen murine model of urothelial cancer.

Applications

Unspecified application

Species

Unspecified reactive species

Kara A Lombardo,Aleksandar Obradovic,Alok Kumar Singh,James L Liu,Gregory Joice,Max Kates,William Bishai,David McConkey,Alcides Chaux,Marie-Lisa Eich,M Katayoon Rezaei,George J Netto,Charles G Drake,Phuoc Tran,Andres Matoso,Trinity J Bivalacqua

Scientific reports 9:351 PubMed30674977

2019

Three Prime Repair Exonuclease 1 (TREX1) expression correlates with cervical cancer cells growth in vitro and disease progression in vivo.

Applications

Unspecified application

Species

Unspecified reactive species

Bruna Prati,Walason da Silva Abjaude,Lara Termini,Mirian Morale,Suellen Herbster,Adhemar Longatto-Filho,Rafaella Almeida Lima Nunes,Lizeth Carolina Córdoba Camacho,Silvia Helena Rabelo-Santos,Luiz Carlos Zeferino,Francisco Aguayo,Enrique Boccardo
View all publications

Product promise

We are committed to supporting your work with high-quality reagents, and we're here for you every step of the way. In the unlikely event that one of our products does not perform as expected, you're protected by our Product Promise.
For full details, please see our Terms & Conditions

Please note: All products are 'FOR RESEARCH USE ONLY. NOT FOR USE IN DIAGNOSTIC OR THERAPEUTIC PROCEDURES'.

For licensing inquiries, please contact partnerships@abcam.com