JavaScript is disabled in your browser. Please enable JavaScript to view this website.
AB185228

Anti-TREX1 antibody [EPR14985]

  • RabMAb
  • Recombinant
  • KO Validated
  • 20ul selling size
  • What is this?

5

(1 Review)

|

(17 Publications)

Anti-TREX1 antibody [EPR14985] (ab185228) is a rabbit monoclonal antibody detecting TREX1 in Western Blot, IHC-P, ICC/IF. Suitable for Human.

- KO validated for confirmed specificity
- Biophysical QC for unrivalled batch-batch consistency

View Alternative Names

Three-prime repair exonuclease 1, 3'-5' exonuclease TREX1, Deoxyribonuclease III, DNase III, TREX1

6 Images
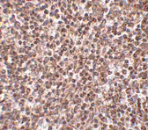
Immunohistochemistry (Formalin/PFA-fixed paraffin-embedded sections) - Anti-TREX1 antibody [EPR14985] (AB185228)
  • IHC-P

Supplier Data

Immunohistochemistry (Formalin/PFA-fixed paraffin-embedded sections) - Anti-TREX1 antibody [EPR14985] (AB185228)

Immunohistochemical analysis of paraffin embedded human colon adenocarcinoma tissue sections labeling TREX1 using ab185228 at a 1/100 dilution. Hematoxylin counterstain.

Perform heat mediated antigen retrieval with EDTA buffer pH 9 before commencing with IHC staining protocol.

Immunocytochemistry/ Immunofluorescence - Anti-TREX1 antibody [EPR14985] (AB185228)
  • ICC/IF

Lab

Immunocytochemistry/ Immunofluorescence - Anti-TREX1 antibody [EPR14985] (AB185228)

Confocal image showing cytoplasmic and weak nuclear staining in HeLa (human cervix adenocarcinoma epithelial cell) cells. Cells were fixed in 4% paraformaldehyde and permeabilised with 0.1% TritonX-100. The primary anti-TREX1 antibody, ab185228, was used at a 1 : 200 dilution (10 μg/ml). An AlexaFluor®488 Goat anti-Rabbit secondary (ab150077) was used at a 1 : 1000 dilution (2 μg/ml) (green). An anti-alpha Tubulin antibody [DM1A] - Microtubule Marker (Alexa Fluor® 594) (ab195889) was used as a counterstain at a 1 : 200 dilution (2.5 μg/ml) (red). DAPI (blue) was used as a nuclear counterstain. A secondary antibody only control was also performed.

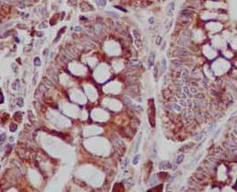
Immunohistochemistry (Formalin/PFA-fixed paraffin-embedded sections) - Anti-TREX1 antibody [EPR14985] (AB185228)
  • IHC-P

Supplier Data

Immunohistochemistry (Formalin/PFA-fixed paraffin-embedded sections) - Anti-TREX1 antibody [EPR14985] (AB185228)

Immunohistochemical analysis of paraffin embedded Human colon tissue sections labeling TREX1 using ab185228 at a 1/100 dilution. Hematoxylin counterstain.

Perform heat mediated antigen retrieval with EDTA buffer pH 9 before commencing with IHC staining protocol.

Western blot - Anti-TREX1 antibody [EPR14985] (AB185228)
  • WB

Lab

Western blot - Anti-TREX1 antibody [EPR14985] (AB185228)

Lanes 1-4 : Merged signal (red and green). Green - ab185228 observed at 34 kDa. Red - loading control ab7291 observed at 50 kDa.

ab185228 Anti-TREX1 antibody [EPR14985] was shown to specifically react with TREX1 in wild-type A549 cells. Loss of signal was observed when knockout cell line ab266927 (knockout cell lysate ab257764) was used. Wild-type and TREX1 knockout samples were subjected to SDS-PAGE. ab185228 and Anti-alpha Tubulin antibody [DM1A] - Loading Control (ab7291) were incubated overnight at 4°C at 1 in 1000 dilution and 1 in 20000 dilution respectively. Blots were developed with Goat anti-Rabbit IgG H&L (IRDye® 800CW) preadsorbed (ab216773) and Goat anti-Mouse IgG H&L (IRDye® 680RD) preadsorbed (ab216776) secondary antibodies at 1 in 20000 dilution for 1 hour at room temperature before imaging.

All lanes:

Western blot - Anti-TREX1 antibody [EPR14985] (ab185228) at 1/1000 dilution

Lane 1:

Wild-type A549 cell lysate at 20 µg

Lane 2:

Western blot - Human TREX1 knockout A549 cell line (<a href='/en-us/products/cell-lines/human-trex1-knockout-a549-cell-line-ab266927'>ab266927</a>)

Lane 2:

TREX1 knockout A549 cell lysate at 20 µg

Lane 3:

Raji cell lysate at 20 µg

Lane 4:

Daudi cell lysate at 20 µg

Secondary

All lanes:

Western blot - Goat anti-Rabbit IgG H&L (IRDye® 800CW) preadsorbed (<a href='/en-us/products/secondary-antibodies/goat-rabbit-igg-h-l-irdye-800cw-preadsorbed-ab216773'>ab216773</a>) at 1/10000 dilution

Predicted band size: 39 kDa

Observed band size: 34 kDa

false

Western blot - Anti-TREX1 antibody [EPR14985] (AB185228)
  • WB

Supplier Data

Western blot - Anti-TREX1 antibody [EPR14985] (AB185228)

False colour image of Western blot : Anti-TREX1 antibody [EPR14985] staining at 1/1000 dilution, shown in green; Mouse anti-Alpha Tubulin [DM1A] (ab7291) loading control staining at 1/20000 dilution, shown in red. In Western blot, ab185228 was shown to bind specifically to TREX1. A band was observed at 33 kDa in wild-type A549 cell lysates with no signal observed at this size in TREX1 knockout cell line ab266926 (knockout cell lysate ab257763). To generate this image, wild-type and TREX1 knockout A549 cell lysates were analysed. First, samples were run on an SDS-PAGE gel then transferred onto a nitrocellulose membrane. Membranes were blocked in 5 % milk in TBS-0.1 % Tween® 20 (TBS-T) before incubation with primary antibodies overnight at 4 °C. Blots were washed four times in TBS-T, incubated with secondary antibodies for 1 h at room temperature, washed again four times then imaged. Secondary antibodies used were Goat anti-Rabbit IgG H&L 800CW and Goat anti-Mouse IgG H&L 680RD at 1/20000 dilution.

All lanes:

Western blot - Anti-TREX1 antibody [EPR14985] (ab185228) at 1/1000 dilution

Lane 1:

Wild-type A549 cell lysate at 20 µg

Lane 2:

TREX1 knockout A549 cell lysate at 20 µg

Lane 2:

Western blot - Human TREX1 knockout A549 cell line (<a href='/en-us/products/cell-lines/human-trex1-knockout-a549-cell-line-ab266926'>ab266926</a>)

Lane 3:

HEK-293T cell lysate at 20 µg

Lane 4:

Daudi cell lysate at 20 µg

Secondary

All lanes:

Goat anti-Rabbit IgG H&L 800CW and Goat anti-Mouse IgG H&L 680RD at 1/20000 dilution

Predicted band size: 39 kDa

Observed band size: 33 kDa

false

Western blot - Anti-TREX1 antibody [EPR14985] (AB185228)
  • WB

Supplier Data

Western blot - Anti-TREX1 antibody [EPR14985] (AB185228)

All lanes:

Western blot - Anti-TREX1 antibody [EPR14985] (ab185228) at 1/10000 dilution

Lane 1:

Raji cell lysate at 20 µg

Lane 2:

Daudi cell lysate at 20 µg

Lane 3:

HeLa cell lysate at 20 µg

Secondary

All lanes:

Goat Anti-Rabbit IgG, (H+L), Peroxidase conjugated at 1/1000 dilution

Predicted band size: 39 kDa

false

Key facts

Host species

Rabbit

Clonality

Monoclonal

Clone number

EPR14985

Isotype

IgG

Carrier free

No

Reacts with

Human

Applications

WB, ICC/IF, IHC-P

applications

Immunogen

The exact immunogen used to generate this antibody is proprietary information.

Reactivity data

{ "title": "Reactivity Data", "filters": { "stats": ["", "Species", "Dilution Info", "Notes"], "tabs": { "all-applications": {"fullname" : "All Applications", "shortname": "All Applications"}, "WB" : {"fullname" : "Western blot", "shortname":"WB"}, "ICCIF" : {"fullname" : "Immunocytochemistry/ Immunofluorescence", "shortname":"ICC/IF"}, "IHCP" : {"fullname" : "Immunohistochemistry (Formalin/PFA-fixed paraffin-embedded sections)", "shortname":"IHC-P"} }, "product-promise": { "all": "all", "testedAndGuaranteed": "tested", "guaranteed": "expected", "predicted": "predicted", "notRecommended": "not-recommended" } }, "values": { "Human": { "WB-species-checked": "testedAndGuaranteed", "WB-species-dilution-info": "1/1000 - 1/10000", "WB-species-notes": "<p></p>", "ICCIF-species-checked": "testedAndGuaranteed", "ICCIF-species-dilution-info": "1/200 - 1/250", "ICCIF-species-notes": "<p></p>", "IHCP-species-checked": "testedAndGuaranteed", "IHCP-species-dilution-info": "1/50 - 1/100", "IHCP-species-notes": "<p></p> Perform heat-mediated antigen retrieval with Tris/EDTA buffer pH 9.0 before commencing with IHC staining protocol." } } }

Product details

What is this antibody validated in?
Anti-TREX1 antibody [EPR14985] (ab185228) is a rabbit recombinant monoclonal antibody and is validated for use in Western Blot (WB), Immunohistochemistry (IHC-P), Immunocytochemistry/immunofluorescence (ICC/IF) in Human samples.

What is the molecular weight of TREX1?
Anti-TREX1 [EPR14985] (ab185228) specifically detects a band for TREX1 (UniProt: Q9NSU2) at a molecular weight of 39kDa.

Trusted by the scientific community
Anti-TREX1 [EPR14985] (ab185228) was first used in a scientific publication in 2014 and has been cited over 10 times in peer-reviewed journals.

Trial sizes available!
Test your antibody or perform pre-screening before committing to a larger quantity. Sold in 10µl. Discover our selection of trial-size antibodies.

Specificity confirmed
The specificity of Anti-TREX1 antibody [EPR14985] (ab185228) has been confirmed by Western blot testing in TREX1 Knockout A549 cell line, ab266926.

Other related products
We have a range of other formats of antibody clone [EPR14985] also available for your convenience: ab185228, Alexa Fluor® 488 - ab208277, Alexa Fluor® 647 - ab209469, Alexa Fluor® 555 - ab212000, Carrier free - ab236140

Patented technology
Our RabMAb® technology is a patented hybridoma-based technology for making rabbit monoclonal antibodies. For details on our patents, please refer to RabMAb® patents.

What are the advantages of a recombinant monoclonal antibody?
This product is a recombinant monoclonal antibody, which offers several advantages including:

  • - High batch-to-batch consistency and reproducibility
  • - Improved sensitivity and specificity
  • - Long-term security of supply
  • - Animal-free batch production

For more information, read more on recombinant antibodies.

Properties and storage information

Form
Liquid
Purification technique
Affinity purification Protein A
Storage buffer
pH: 7.2 - 7.4 Preservative: 0.01% Sodium azide Constituents: PBS, 40% Glycerol (glycerin, glycerine), 0.05% BSA
Shipped at conditions
Blue Ice
Appropriate short-term storage duration
1-2 weeks
Appropriate short-term storage conditions
+4°C
Appropriate long-term storage conditions
-20°C
Aliquoting information
Upon delivery aliquot
Storage information
Avoid freeze / thaw cycle

Supplementary information

This supplementary information is collated from multiple sources and compiled automatically.

TREX1 also known as Three Prime Repair Exonuclease 1 acts as a DNA exonuclease which degrades single-stranded DNA from the 3' end. This protein exhibits a mass of 33 kDa. TREX1's expression is largely found in the cytoplasm of many cell types including those in the immune system and various tissues like the liver spleen and heart. Through its enzymatic activity TREX1 helps maintain genomic stability by processing DNA intermediates that arise from incomplete DNA replication or repair processes.
Biological function summary

TREX1 removes excessive DNA that might trigger immune responses. It is not a part of a large protein complex but works closely with substrates involved in DNA repair and replication. By degrading abnormal DNA TREX1 prevents the initiation of inappropriate immune responses that could result in autoimmunity. Its functionality is essential in preventing the cell from converting these DNA fragments into ligands for DNA sensors which could activate immune signaling pathways.

Pathways

TREX1 plays a significant role in the DNA damage response and innate immune pathways. In the DNA damage response pathway TREX1 functions alongside proteins like ATR and ATM which address DNA replication stress and repair. Within the innate immune pathway it interacts with cGAS (cyclic GMP-AMP synthase) which can become activated in response to cytosolic DNA leading to the production of type I interferons - powerful immune modulators.

Mutations in TREX1 have been linked to autoimmune diseases such as Aicardi-Goutières syndrome and systemic lupus erythematosus. In these conditions the altered or deficient TREX1 leads to the accumulation of DNA in the cytoplasm falsely triggering an antiviral immune response. This relationship with cGAS is critical as the cGAS-STING pathway becomes activated due to the presence of unprocessed DNA resulting in chronic inflammation and contributing to the autoimmune pathology observed in these disorders.

Product protocols

For this product, it's our understanding that no specific protocols are required. You can visit:

Target data

Major cellular 3'-to-5' DNA exonuclease which digests single-stranded DNA (ssDNA) and double-stranded DNA (dsDNA) with mismatched 3' termini (PubMed : 10391904, PubMed : 10393201, PubMed : 17293595). Prevents cell-intrinsic initiation of autoimmunity (PubMed : 10391904, PubMed : 10393201, PubMed : 17293595). Acts by metabolizing DNA fragments from endogenous retroelements, including L1, LTR and SINE elements (PubMed : 10391904, PubMed : 10393201, PubMed : 17293595). Plays a key role in degradation of DNA fragments at cytosolic micronuclei arising from genome instability : its association with the endoplasmic reticulum membrane directs TREX1 to ruptured micronuclei, leading to micronuclear DNA degradation (PubMed : 33476576). Micronuclear DNA degradation is required to limit CGAS activation and subsequent inflammation (PubMed : 33476576). Unless degraded, these DNA fragments accumulate in the cytosol and activate the cGAS-STING innate immune signaling, leading to the production of type I interferon (PubMed : 33476576). Prevents chronic ATM-dependent checkpoint activation, by processing ssDNA polynucleotide species arising from the processing of aberrant DNA replication intermediates (PubMed : 18045533). Inefficiently degrades oxidized DNA, such as that generated upon antimicrobial reactive oxygen production or upon absorption of UV light (PubMed : 23993650). During GZMA-mediated cell death, contributes to DNA damage in concert with NME1 (PubMed : 16818237). NME1 nicks one strand of DNA and TREX1 removes bases from the free 3' end to enhance DNA damage and prevent DNA end reannealing and rapid repair (PubMed : 16818237).
See full target information TREX1

Publications (17)

Recent publications for all applications. Explore the full list and refine your search

Cancer research communications 4:2399-2414 PubMed39177280

2024

Targeting TREX1 Induces Innate Immune Response in Drug-Resistant Small-Cell Lung Cancer.

Applications

Unspecified application

Species

Unspecified reactive species

Takahiko Murayama,Navin R Mahadevan,Catherine B Meador,Elena V Ivanova,Yuqiao Pan,Erik H Knelson,Tetsuo Tani,Jun Nakayama,Xueying Ma,Tran C Thai,Yin P Hung,William Kim,Hideo Watanabe,Kathy Q Cai,Aaron N Hata,Cloud P Paweletz,David A Barbie,Israel Cañadas

Nature biotechnology 43:1168-1176 PubMed39134754

2024

Removal of TREX1 activity enhances CRISPR-Cas9-mediated homologous recombination.

Applications

Unspecified application

Species

Unspecified reactive species

Mehmet E Karasu,Eléonore Toufektchan,Yanyang Chen,Alessandra Albertelli,Grégoire Cullot,John Maciejowski,Jacob E Corn

Nature communications 15:5423 PubMed38926338

2024

MRE11 and TREX1 control senescence by coordinating replication stress and interferon signaling.

Applications

Unspecified application

Species

Unspecified reactive species

Hervé Técher,Diyavarshini Gopaul,Jonathan Heuzé,Nail Bouzalmad,Baptiste Leray,Audrey Vernet,Clément Mettling,Jérôme Moreaux,Philippe Pasero,Yea-Lih Lin

Human molecular genetics 33:1555-1566 PubMed38796715

2024

Mutations in the non-catalytic polyproline motif destabilize TREX1 and amplify cGAS-STING signaling.

Applications

Unspecified application

Species

Unspecified reactive species

Abraham Shim,Xiaohan Luan,Wen Zhou,Yanick J Crow,John Maciejowski

Cancer discovery 14:752-765 PubMed38227896

2024

TREX1 Inactivation Unleashes Cancer Cell STING-Interferon Signaling and Promotes Antitumor Immunity.

Applications

Unspecified application

Species

Unspecified reactive species

Tetsuo Tani,Haritha Mathsyaraja,Marco Campisi,Ze-Hua Li,Koji Haratani,Caroline G Fahey,Keiichi Ota,Navin R Mahadevan,Yingxiao Shi,Shin Saito,Kei Mizuno,Tran C Thai,Nobunari Sasaki,Mizuki Homme,Choudhury Fabliha B Yusuf,Adam Kashishian,Jipsa Panchal,Min Wang,Benjamin J Wolf,Thanh U Barbie,Cloud P Paweletz,Prafulla C Gokhale,David Liu,Ravindra Uppaluri,Shunsuke Kitajima,Jennifer Cain,David A Barbie

British journal of cancer 129:1852-1862 PubMed37838813

2023

Preoperative chemoradiotherapy induces multiple pathways related to anti-tumour immunity in rectal cancer.

Applications

Unspecified application

Species

Unspecified reactive species

Ioannis M Koukourakis,Erasmia Xanthopoulou,Theologos I Sgouras,Maria Kouroupi,Alexandra Giatromanolaki,Vassilios Kouloulias,Dina Tiniakos,Anna Zygogianni

Nucleic acids research 51:3185-3204 PubMed36912092

2023

PML and PML-like exonucleases restrict retrotransposons in jawed vertebrates.

Applications

Unspecified application

Species

Unspecified reactive species

Sabateeshan Mathavarajah,Kathleen L Vergunst,Elias B Habib,Shelby K Williams,Raymond He,Maria Maliougina,Mika Park,Jayme Salsman,Stéphane Roy,Ingo Braasch,Andrew J Roger,David N Langelaan,Graham Dellaire

Advanced science (Weinheim, Baden-Wurttemberg, Germany) 10:e2204388 PubMed36825683

2023

Human Endonuclease ANKLE1 Localizes at the Midbody and Processes Chromatin Bridges to Prevent DNA Damage and cGAS-STING Activation.

Applications

Unspecified application

Species

Unspecified reactive species

Huadong Jiang,Nannan Kong,Zeyuan Liu,Stephen C West,Ying Wai Chan

Clinical cancer research : an official journal of the American Association for Cancer Research 29:1763-1782 PubMed36692427

2023

Zinc Finger MYND-Type Containing 8 (ZMYND8) Is Epigenetically Regulated in Mutant Isocitrate Dehydrogenase 1 (IDH1) Glioma to Promote Radioresistance.

Applications

Unspecified application

Species

Unspecified reactive species

Stephen V Carney,Kaushik Banerjee,Anzar Mujeeb,Brandon Zhu,Santiago Haase,Maria L Varela,Padma Kadiyala,Claire E Tronrud,Ziwen Zhu,Devarshi Mukherji,Preethi Gorla,Yilun Sun,Rebecca Tagett,Felipe J Núñez,Maowu Luo,Weibo Luo,Mats Ljungman,Yayuan Liu,Ziyun Xia,Anna Schwendeman,Tingting Qin,Maureen A Sartor,Joseph F Costello,Daniel P Cahill,Pedro R Lowenstein,Maria G Castro

Molecular cell 83:266-280.e6 PubMed36638783

2023

p53 engages the cGAS/STING cytosolic DNA sensing pathway for tumor suppression.

Applications

Unspecified application

Species

Unspecified reactive species

Monisankar Ghosh,Suchandrima Saha,Jinyu Li,David C Montrose,Luis A Martinez
View all publications

Product promise

We are committed to supporting your work with high-quality reagents, and we're here for you every step of the way. In the unlikely event that one of our products does not perform as expected, you're protected by our Product Promise.
For full details, please see our Terms & Conditions

Please note: All products are 'FOR RESEARCH USE ONLY. NOT FOR USE IN DIAGNOSTIC OR THERAPEUTIC PROCEDURES'.

For licensing inquiries, please contact partnerships@abcam.com