JavaScript is disabled in your browser. Please enable JavaScript to view this website.
AB231058

Anti-Triadin antibody

Be the first to review this product! Submit a review

|

(1 Publication)

Rabbit Polyclonal Triadin antibody. Suitable for WB, IHC-P and reacts with Mouse, Rat samples. Cited in 1 publication. Immunogen corresponding to Recombinant Fragment Protein within Rat Trdn aa 450 to C-terminus.

View Alternative Names

Triadin, Trdn

4 Images
Western blot - Anti-Triadin antibody (AB231058)
  • WB

Supplier Data

Western blot - Anti-Triadin antibody (AB231058)

All lanes:

Western blot - Anti-Triadin antibody (ab231058) at 2 µg/mL

All lanes:

mouse heart lysate

Predicted band size: 82 kDa

true

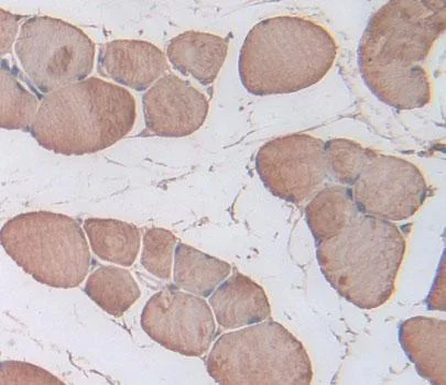
Immunohistochemistry (Formalin/PFA-fixed paraffin-embedded sections) - Anti-Triadin antibody (AB231058)
  • IHC-P

Supplier Data

Immunohistochemistry (Formalin/PFA-fixed paraffin-embedded sections) - Anti-Triadin antibody (AB231058)

Formalin-fixed, paraffin-embedded rat skeletal muscle tissue stained for Triadin with ab231058 at 20 μg/ml in immunohistochemical analysis. DAB staining.

Western blot - Anti-Triadin antibody (AB231058)
  • WB

Supplier Data

Western blot - Anti-Triadin antibody (AB231058)

All lanes:

Western blot - Anti-Triadin antibody (ab231058) at 2 µg/mL

All lanes:

mouse skeletal muscle lysate

Predicted band size: 82 kDa

true

Western blot - Anti-Triadin antibody (AB231058)
  • WB

Supplier Data

Western blot - Anti-Triadin antibody (AB231058)

All lanes:

Western blot - Anti-Triadin antibody (ab231058) at 2 µg/mL

All lanes:

recombinant rat Triadin protein

Predicted band size: 82 kDa

true

Key facts

Host species

Rabbit

Clonality

Polyclonal

Isotype

IgG

Carrier free

No

Reacts with

Mouse, Rat

Applications

WB, IHC-P

applications

Immunogen

Recombinant Fragment Protein within Rat Trdn aa 450 to C-terminus. The exact immunogen used to generate this antibody is proprietary information.

Q9QX75

Reactivity data

{ "title": "Reactivity Data", "filters": { "stats": ["", "Species", "Dilution Info", "Notes"], "tabs": { "all-applications": {"fullname" : "All Applications", "shortname": "All Applications"}, "WB" : {"fullname" : "Western blot", "shortname":"WB"}, "IHCP" : {"fullname" : "Immunohistochemistry (Formalin/PFA-fixed paraffin-embedded sections)", "shortname":"IHC-P"} }, "product-promise": { "all": "all", "testedAndGuaranteed": "tested", "guaranteed": "expected", "predicted": "predicted", "notRecommended": "not-recommended" } }, "values": { "Mouse": { "WB-species-checked": "testedAndGuaranteed", "WB-species-dilution-info": "0.2-2 µg/mL", "WB-species-notes": "<p></p>", "IHCP-species-checked": "guaranteed", "IHCP-species-dilution-info": "", "IHCP-species-notes": "" }, "Rat": { "WB-species-checked": "testedAndGuaranteed", "WB-species-dilution-info": "0.2-2 µg/mL", "WB-species-notes": "<p></p>", "IHCP-species-checked": "testedAndGuaranteed", "IHCP-species-dilution-info": "5-20 µg/mL", "IHCP-species-notes": "<p></p>" } } }

Properties and storage information

Form
Liquid
Purification technique
Affinity purification Protein A
Purification notes
Antigen-specific affinity chromatography followed by Protein A affinity chromatography
Storage buffer
pH: 7.4 Preservative: 0.011% Proclin 300 Constituents: PBS, 55.77% Glycerol (glycerin, glycerine)
Shipped at conditions
Blue Ice
Appropriate short-term storage duration
1-2 weeks
Appropriate short-term storage conditions
+4°C
Appropriate long-term storage conditions
-20°C
Aliquoting information
Upon delivery aliquot
Storage information
Avoid freeze / thaw cycle

Supplementary information

This supplementary information is collated from multiple sources and compiled automatically.

Triadin also known as TRDN is a protein that plays a mechanical role in muscle function. This protein with a molecular weight of approximately 95 kDa is an essential component of the junctional face membrane of the sarcoplasmic reticulum. Triadin expresses mainly in cardiac and skeletal muscle tissues. It participates actively in calcium handling acting as a scaffolding protein that anchors other essential proteins within the calcium release units.
Biological function summary

Triadin facilitates excitation-contraction coupling by forming part of the macromolecular complex involved in calcium signaling. It is a binding partner in the calcium release channel complex interacting directly with the cardiac ryanodine receptor (RyR2) and calsequestrin. These interactions stabilize the channel and ensure efficient calcium release during muscle contraction. Triadin's role is important for maintaining cardiac rhythm and skeletal muscle function.

Pathways

Triadin integrates into the calcium signaling and muscle contraction pathways. Within these pathways it directly interacts with proteins like calsequestrin and the ryanodine receptors. Triadin ensures proper release of stored calcium from the sarcoplasmic reticulum which is vital for muscle contractions. It holds significant connections with other proteins involved in these pathways contributing to the regulation of muscle physiology and calcium dynamics.

Disruptions in triadin function link to cardiac and muscular conditions. Triadin dysfunction or mutations can result in inherited arrhythmias such as catecholaminergic polymorphic ventricular tachycardia (CPVT). This condition prominently features irregular heartbeats that may lead to sudden cardiac arrest. Triadin also has a documented connection to calsequestrin where mutations in both proteins can cooperatively exacerbate calcium handling disorders. Understanding triadin's role can aid in diagnosing and potentially treating these conditions.

Product protocols

For this product, it's our understanding that no specific protocols are required. You can visit:

Target data

Contributes to the regulation of lumenal Ca2+ release via the sarcoplasmic reticulum calcium release channels RYR1 and RYR2, a key step in triggering skeletal and heart muscle contraction. Required for normal organization of the triad junction, where T-tubules and the sarcoplasmic reticulum terminal cisternae are in close contact. Required for normal skeletal muscle strength (PubMed : 19843516). Plays a role in excitation-contraction coupling in the heart and in regulating the rate of heart beats.
See full target information Trdn

Publications (1)

Recent publications for all applications. Explore the full list and refine your search

Bioengineering (Basel, Switzerland) 11: PubMed38927779

2024

Generation of Tailored Extracellular Matrix Hydrogels for the Study of In Vitro Folliculogenesis in Response to Matrisome-Dependent Biochemical Cues.

Applications

Unspecified application

Species

Unspecified reactive species

Hannah B McDowell,Kathryn L McElhinney,Elizabeth L Tsui,Monica M Laronda
View all publications

Product promise

We are committed to supporting your work with high-quality reagents, and we're here for you every step of the way. In the unlikely event that one of our products does not perform as expected, you're protected by our Product Promise.
For full details, please see our Terms & Conditions

Please note: All products are 'FOR RESEARCH USE ONLY. NOT FOR USE IN DIAGNOSTIC OR THERAPEUTIC PROCEDURES'.

For licensing inquiries, please contact partnerships@abcam.com