JavaScript is disabled in your browser. Please enable JavaScript to view this website.
AB111694

Anti-TRIM11 antibody

3

(2 Reviews)

|

(16 Publications)

Rabbit Polyclonal TRIM11 antibody. Suitable for IHC-P, WB and reacts with Human samples. Cited in 16 publications. Immunogen corresponding to Recombinant Fragment Protein within Human TRIM11 aa 1-200.

View Alternative Names

RNF92, TRIM11, E3 ubiquitin-protein ligase TRIM11, Protein BIA1, RING finger protein 92, Tripartite motif-containing protein 11

2 Images
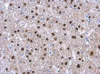
Immunohistochemistry (Formalin/PFA-fixed paraffin-embedded sections) - Anti-TRIM11 antibody (AB111694)
  • IHC-P

Unknown

Immunohistochemistry (Formalin/PFA-fixed paraffin-embedded sections) - Anti-TRIM11 antibody (AB111694)

ab111694 at 1/500 dilution staining TRIM11 in Formalin-fixed, paraffin-embedded Human Hepatoma tissue by Immunohistochemistry.

Western blot - Anti-TRIM11 antibody (AB111694)
  • WB

Unknown

Western blot - Anti-TRIM11 antibody (AB111694)

7.5% SDS-PAGE.

All lanes:

Western blot - Anti-TRIM11 antibody (ab111694) at 1/2000 dilution

All lanes:

Jurkat whole cell lysate at 30 µg

Predicted band size: 53 kDa

false

Key facts

Host species

Rabbit

Clonality

Polyclonal

Isotype

IgG

Carrier free

No

Reacts with

Human

Applications

WB, IHC-P

applications

Immunogen

Recombinant Fragment Protein within Human TRIM11 aa 1-200. The exact immunogen used to generate this antibody is proprietary information.

Q96F44

Reactivity data

{ "title": "Reactivity Data", "filters": { "stats": ["", "Species", "Dilution Info", "Notes"], "tabs": { "all-applications": {"fullname" : "All Applications", "shortname": "All Applications"}, "IHCP" : {"fullname" : "Immunohistochemistry (Formalin/PFA-fixed paraffin-embedded sections)", "shortname":"IHC-P"}, "WB" : {"fullname" : "Western blot", "shortname":"WB"} }, "product-promise": { "all": "all", "testedAndGuaranteed": "tested", "guaranteed": "expected", "predicted": "predicted", "notRecommended": "not-recommended" } }, "values": { "Human": { "IHCP-species-checked": "testedAndGuaranteed", "IHCP-species-dilution-info": "1/100 - 1/500", "IHCP-species-notes": "<p></p> Perform heat-mediated antigen retrieval with citrate buffer pH 6 before commencing with IHC staining protocol.", "WB-species-checked": "testedAndGuaranteed", "WB-species-dilution-info": "1/500 - 1/3000", "WB-species-notes": "<p></p>" }, "Mouse": { "IHCP-species-checked": "predicted", "IHCP-species-dilution-info": "", "IHCP-species-notes": "", "WB-species-checked": "predicted", "WB-species-dilution-info": "", "WB-species-notes": "" }, "Rat": { "IHCP-species-checked": "predicted", "IHCP-species-dilution-info": "", "IHCP-species-notes": "", "WB-species-checked": "predicted", "WB-species-dilution-info": "", "WB-species-notes": "" }, "Cow": { "IHCP-species-checked": "predicted", "IHCP-species-dilution-info": "", "IHCP-species-notes": "", "WB-species-checked": "predicted", "WB-species-dilution-info": "", "WB-species-notes": "" } } }

Properties and storage information

Form
Liquid
Purification technique
Affinity purification Immunogen
Storage buffer
pH: 7 Preservative: 0.01% Thimerosal (merthiolate) Constituents: 20% Glycerol (glycerin, glycerine), 1.21% Tris, 0.75% Glycine
Shipped at conditions
Blue Ice
Appropriate short-term storage conditions
+4°C
Appropriate long-term storage conditions
-20°C
Aliquoting information
Upon delivery aliquot
Storage information
Avoid freeze / thaw cycle

Supplementary information

This supplementary information is collated from multiple sources and compiled automatically.

TRIM11 also known as Tripartite Motif Containing 11 is a protein with a mass of approximately 54 kDa. It functions as an E3 ubiquitin ligase facilitating the transfer of ubiquitin from E2 enzymes to target proteins which signals these targets for degradation by the proteasome. This protein is expressed in various tissues with higher levels found in the brain. It plays a role in controlling protein homeostasis and impacts several cellular processes.
Biological function summary

TRIM11 influences neuronal development and survival. It is involved in regulating the degradation of specific substrates important for neuronal functions. TRIM11 is not part of a well-defined complex but it interacts with key proteins that modulate cellular stress responses. This interaction helps in maintaining cellular balance especially under conditions that challenge cellular homeostasis.

Pathways

Several important cellular functions involve TRIM11 notably the ubiquitin-proteasome pathway. TRIM11 interacts with proteins like HIF1α and impacts the hypoxia pathway. By regulating the availability of certain transcription factors TRIM11 can influence how cells respond to low oxygen conditions. Additionally through its ubiquitin ligase activity TRIM11 plays a part in modulating apoptosis highlighting its role in cell survival pathways.

TRIM11 has been associated with neurodegenerative disorders and cancer. In the context of neurodegenerative diseases abnormal regulation of TRIM11 can disrupt normal protein homeostasis in neurons contributing to conditions like Alzheimer's disease. Additionally TRIM11 may impact cancer progression by interacting with and modulating the stability of tumor suppressor proteins such as p53. This link emphasizes its potential as a target for therapeutic advancements in these complex diseases.

Product protocols

For this product, it's our understanding that no specific protocols are required. You can visit:

Target data

E3 ubiquitin-protein ligase that promotes the degradation of insoluble ubiquitinated proteins, including insoluble PAX6, poly-Gln repeat expanded HTT and poly-Ala repeat expanded ARX (By similarity). Mediates PAX6 ubiquitination leading to proteasomal degradation, thereby modulating cortical neurogenesis (By similarity). May also inhibit PAX6 transcriptional activity, possibly in part by preventing the binding of PAX6 to its consensus sequences (By similarity). May contribute to the regulation of the intracellular level of HN (humanin) or HN-containing proteins through the proteasomal degradation pathway (By similarity). Mediates MED15 ubiquitination leading to proteasomal degradation (PubMed : 16904669). May contribute to the innate restriction of retroviruses (PubMed : 18248090). Upon overexpression, reduces HIV-1 and murine leukemia virus infectivity, by suppressing viral gene expression (PubMed : 18248090). Antiviral activity depends on a functional E3 ubiquitin-protein ligase domain (PubMed : 18248090). May regulate TRIM5 turnover via the proteasome pathway, thus counteracting the TRIM5-mediated cross-species restriction of retroviral infection at early stages of the retroviral life cycle (PubMed : 18248090). Acts as an inhibitor of the AIM2 inflammasome by promoting autophagy-dependent degradation of AIM2 (PubMed : 27498865). Mechanistically, undergoes autoubiquitination upon DNA stimulation, promoting interaction with AIM2 and SQSTM1/p62, leading to AIM2 recruitment to autophagosomes (PubMed : 27498865).
See full target information TRIM11

Publications (16)

Recent publications for all applications. Explore the full list and refine your search

Nature communications 16:7214 PubMed40764480

2025

The RING finger E3 ligase RNF25 protects DNA replication forks independently of its canonical roles in ubiquitin signaling.

Applications

Unspecified application

Species

Unspecified reactive species

Lilly F Chiou,Gaith N Droby,Deepika Jayaprakash,Jay R Anand,Xingyuan Zhang,Yang Yang,C Allie Mills,Thomas S Webb,Natalie K Barker,Jialiu Xie,Di Wu,Laura E Herring,Junya Tomida,Jessica L Bowser,Cyrus Vaziri

BMC pulmonary medicine 24:542 PubMed39472837

2024

TRIM11 Prevents Ferroptosis in model of asthma by UBE2N-TAX1BP1 signaling.

Applications

Unspecified application

Species

Unspecified reactive species

Na Li,Guoqing Qiu,Xiangqin Xu,Yan Shen,Yuming Chen

Journal of diabetes investigation 15:572-583 PubMed38268239

2024

Immunoglobulin heavy constant gamma 1 silencing decreases tonicity-responsive enhancer-binding protein expression to alleviate diabetic nephropathy.

Applications

Unspecified application

Species

Unspecified reactive species

Qibo Hu,Qingxiao Yang,Hang Gao,Jing Tian,Guanghua Che

Neoplasma 70:659-669 PubMed38053376

2023

TRIM11 regulated by m6A modification promotes the progression of cervical cancer by PHLPP1 ubiquitination.

Applications

Unspecified application

Species

Unspecified reactive species

Pu Zhang,Yi Tang,Jing Zhao,Jing Yang,Yan Chen,Yingping Gong,Shengjun Meng,Chuqiang Shu

Technology in cancer research & treatment 22:15330338231178639 PubMed37248611

2023

TRIM11 Posttranscriptionally Modulated by miR-5193 Facilitates Tumor Growth and Metastasis of Prostate Cancer.

Applications

Unspecified application

Species

Unspecified reactive species

Yue Pan,Hui Yu,Feng Lu

Cell death & disease 13:843 PubMed36192394

2022

Regulation of KDM5C stability and enhancer reprogramming in breast cancer.

Applications

Unspecified application

Species

Unspecified reactive species

Qiong Xiao,Chen-Yu Wang,Chuan Gao,Ji-Dong Chen,Jing-Jing Chen,Zhen Wang,Lin-Gao Ju,Shan-Bo Tang,Jie Yao,Feng Li,Lian-Yun Li,Min Wu

Journal of oncology 2022:8264059 PubMed35237324

2022

The E3 Ubiquitin Ligase TRIM11 Facilitates Gastric Cancer Progression by Activating the Wnt/-Catenin Pathway via Destabilizing Axin1 Protein.

Applications

Unspecified application

Species

Unspecified reactive species

Ling Zhou,Heng Wang,Min Zhong,Zhi Fang,Yi Le,Fengting Nie,Juanjuan Zhou,Jianping Xiong,Xiaojun Xiang,Ziling Fang

Cell biology international 46:148-157 PubMed34694031

2021

Downregulation of tripartite motif protein 11 attenuates cardiomyocyte apoptosis after ischemia/reperfusion injury via DUSP1-JNK1/2.

Applications

Unspecified application

Species

Unspecified reactive species

Fang He,Zheqian Wu,Yong Wang,Lili Yin,Shijie Lu,Lihua Dai

Cancer biology & therapy 22:324-332 PubMed33970779

2021

Tripartite motif protein 11 (TRIM11), an oncogene for human lung cancer via the DUSP6-mediated ERK1/2 signaling pathway.

Applications

Unspecified application

Species

Unspecified reactive species

Xiao-Lin Wang,Shi-Chun Lu,Chao Sun,Wei-Guo Jin,Yi-Wei Fan,Yu-Sheng Shu,Hong-Can Shi,Ling-Feng Min

Experimental eye research 204:108436 PubMed33440192

2021

Knockdown of TRIM5α or TRIM11 increases lentiviral vector transduction efficiency of human Muller cells.

Applications

Unspecified application

Species

Unspecified reactive species

Monica M Sauter,Curtis R Brandt
View all publications

Product promise

We are committed to supporting your work with high-quality reagents, and we're here for you every step of the way. In the unlikely event that one of our products does not perform as expected, you're protected by our Product Promise.
For full details, please see our Terms & Conditions

Please note: All products are 'FOR RESEARCH USE ONLY. NOT FOR USE IN DIAGNOSTIC OR THERAPEUTIC PROCEDURES'.

For licensing inquiries, please contact partnerships@abcam.com