JavaScript is disabled in your browser. Please enable JavaScript to view this website.
AB234847

Anti-TRIM13 antibody

Be the first to review this product! Submit a review

|

(8 Publications)

Rabbit Polyclonal TRIM13 antibody. Suitable for WB, IHC-P and reacts with Human samples. Cited in 8 publications. Immunogen corresponding to Recombinant Fragment Protein within Human TRIM13 aa 1-350.

View Alternative Names

LEU5, RFP2, RNF77, TRIM13, E3 ubiquitin-protein ligase TRIM13, B-cell chronic lymphocytic leukemia tumor suppressor Leu5, Leukemia-associated protein 5, Putative tumor suppressor RFP2, RING finger protein 77, RING-type E3 ubiquitin transferase TRIM13, Ret finger protein 2, Tripartite motif-containing protein 13

3 Images
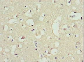
Immunohistochemistry (Formalin/PFA-fixed paraffin-embedded sections) - Anti-TRIM13 antibody (AB234847)
  • IHC-P

Supplier Data

Immunohistochemistry (Formalin/PFA-fixed paraffin-embedded sections) - Anti-TRIM13 antibody (AB234847)

Paraffin-embedded human brain tissue stained for TRIM13 with ab234847 at 1/100 dilution in immunohistochemical analysis.

Immunohistochemistry (Formalin/PFA-fixed paraffin-embedded sections) - Anti-TRIM13 antibody (AB234847)
  • IHC-P

Supplier Data

Immunohistochemistry (Formalin/PFA-fixed paraffin-embedded sections) - Anti-TRIM13 antibody (AB234847)

Paraffin-embedded human breast cancer tissue stained for TRIM13 with ab234847 at 1/100 dilution in immunohistochemical analysis.

Western blot - Anti-TRIM13 antibody (AB234847)
  • WB

Supplier Data

Western blot - Anti-TRIM13 antibody (AB234847)

All lanes:

Western blot - Anti-TRIM13 antibody (ab234847) at 1/1000 dilution

Lane 1:

HEK-293T (human epithelial cell line from embryonic kidney transformed with large T antigen) whole cell lysate

Lane 2:

HeLa (human epithelial cell line from cervix adenocarcinoma) whole cell lysate

Secondary

All lanes:

Goat polyclonal to rabbit IgG at 1/10000 dilution

Predicted band size: 47 kDa

false

Key facts

Host species

Rabbit

Clonality

Polyclonal

Isotype

IgG

Carrier free

No

Reacts with

Human

Applications

IHC-P, WB

applications

Immunogen

Recombinant Fragment Protein within Human TRIM13 aa 1-350. The exact immunogen used to generate this antibody is proprietary information.

O60858

Reactivity data

{ "title": "Reactivity Data", "filters": { "stats": ["", "Species", "Dilution Info", "Notes"], "tabs": { "all-applications": {"fullname" : "All Applications", "shortname": "All Applications"}, "WB" : {"fullname" : "Western blot", "shortname":"WB"}, "IHCP" : {"fullname" : "Immunohistochemistry (Formalin/PFA-fixed paraffin-embedded sections)", "shortname":"IHC-P"} }, "product-promise": { "all": "all", "testedAndGuaranteed": "tested", "guaranteed": "expected", "predicted": "predicted", "notRecommended": "not-recommended" } }, "values": { "Human": { "WB-species-checked": "testedAndGuaranteed", "WB-species-dilution-info": "1/1000 - 1/5000", "WB-species-notes": "<p></p>", "IHCP-species-checked": "testedAndGuaranteed", "IHCP-species-dilution-info": "1/20 - 1/200", "IHCP-species-notes": "<p></p>" } } }

Properties and storage information

Form
Liquid
Purification technique
Affinity purification Immunogen
Storage buffer
pH: 7.3 Preservative: 0.02% Sodium azide Constituents: PBS, 50% Glycerol (glycerin, glycerine)
Shipped at conditions
Blue Ice
Appropriate short-term storage duration
1-2 weeks
Appropriate short-term storage conditions
+4°C
Appropriate long-term storage conditions
-20°C
Aliquoting information
Upon delivery aliquot
Storage information
Avoid freeze / thaw cycle

Supplementary information

This supplementary information is collated from multiple sources and compiled automatically.

TRIM13 also known as RFP2 is a protein encoded by the TRIM13 gene with an approximate mass of 42 kDa. Mechanically TRIM13 functions as an E3 ubiquitin ligase mediating ubiquitination and proteasomal degradation. It belongs to the tripartite motif family characterized by a RING zinc finger one or more B-box domains and a coiled-coil region. The protein is expressed in various tissues including the heart liver and pancreas suggesting a wide range of functional roles.
Biological function summary

This protein is important for maintaining cellular homeostasis by regulating protein turnover and quality control. TRIM13 is involved in the endoplasmic reticulum-associated degradation (ERAD) pathway where it facilitates the removal of misfolded proteins. Additionally it interacts with other molecules to form complexes that modulate autophagy a process vital for cellular cleaning and response to stress.

Pathways

Ubiquitination processes and quality control systems incorporate TRIM13 into the intricacies of the ERAD and autophagy pathways. It coordinates with proteins like p62 and Beclin1 which are important for autophagy regulation. In the ERAD pathway TRIM13 functions alongside components such as Derlin-1 helping to identify and direct aberrant proteins toward degradation. These interactions balance protein synthesis and degradation essential for cellular stress responses and survival.

TRIM13's roles tie to neurodegenerative diseases and cancer. Mutations or dysregulation of TRIM13 lead to an accumulation of misfolded proteins contributing to the progression of amyotrophic lateral sclerosis (ALS). In cancer altered TRIM13 expression can disrupt normal degradation processes affecting tumor growth and metastasis. TRIM13 interacts with CHOP a protein involved in pro-apoptotic signaling which links it to cellular stress responses that are pivotal in disease states.

Product protocols

For this product, it's our understanding that no specific protocols are required. You can visit:

Target data

Endoplasmic reticulum (ER) membrane anchored E3 ligase involved in the retrotranslocation and turnover of membrane and secretory proteins from the ER through a set of processes named ER-associated degradation (ERAD). This process acts on misfolded proteins as well as in the regulated degradation of correctly folded proteins. Enhances ionizing radiation-induced p53/TP53 stability and apoptosis via ubiquitinating MDM2 and AKT1 and decreasing AKT1 kinase activity through MDM2 and AKT1 proteasomal degradation. Regulates ER stress-induced autophagy, and may act as a tumor suppressor (PubMed : 22178386). Also plays a role in innate immune response by stimulating NF-kappa-B activity in the TLR2 signaling pathway. Ubiquitinates TRAF6 via the 'Lys-29'-linked polyubiquitination chain resulting in NF-kappa-B activation (PubMed : 28087809). Participates as well in T-cell receptor-mediated NF-kappa-B activation (PubMed : 25088585). In the presence of TNF, modulates the IKK complex by regulating IKBKG/NEMO ubiquitination leading to the repression of NF-kappa-B (PubMed : 25152375).
See full target information TRIM13

Publications (8)

Recent publications for all applications. Explore the full list and refine your search

Molecular medicine (Cambridge, Mass.) 30:267 PubMed39716068

2024

RBM15-dependent m6A modification mediates progression of non-small cell lung cancer cells.

Applications

Unspecified application

Species

Unspecified reactive species

Man Wang,Yujiao Qin,Xiaoqi Ai,Xiuhua Liu

Physiological reports 12:e70157 PubMed39667820

2024

Trim13-induced ubiquitination of RPS27A inhibits the progression of lung cancer by depending on the inactivation of NF-κB signaling pathway.

Applications

Unspecified application

Species

Unspecified reactive species

Lailing Li,Hui Zhou,Yayun Cui,Ke Xu

Advanced science (Weinheim, Baden-Wurttemberg, Germany) 11:e2308435 PubMed38682467

2024

In Silico Discovery of Stapled Peptide Inhibitor Targeting the Nur77-PPARγ Interaction and Its Anti-Breast-Cancer Efficacy.

Applications

Unspecified application

Species

Unspecified reactive species

Huiting Bian,Xiaohui Liang,Dong Lu,Jiayi Lin,Xinchen Lu,Jinmei Jin,Lijun Zhang,Ye Wu,Hongzhuan Chen,Weidong Zhang,Xin Luan

iScience 26:107818 PubMed37752955

2023

circELMOD3 increases and stabilizes by sponging miR-6864-5p and direct binding to inhibit HCC progression.

Applications

Unspecified application

Species

Unspecified reactive species

Mingshuang Lai,Meiliang Liu,Deyuan Li,Ruirui Zhang,Lijun Wang,Xiaofei Li,Sixian Chen,Siqian Wu,Suyang Xiao,Liling Wei,Xiaogang Wang,Aruo Nan,Xiaoyun Zeng

Cell cycle (Georgetown, Tex.) 22:1496-1513 PubMed37245083

2023

TRIM13 inhibits cell proliferation and induces autophagy in lung adenocarcinoma by regulating KEAP1/NRF2 pathway.

Applications

Unspecified application

Species

Unspecified reactive species

Bo Yu,Yu Zhou,Jinxi He

Nucleic acids research 51:1326-1352 PubMed36718960

2023

Identification of RNA helicases with unwinding activity on angiogenin-processed tRNAs.

Applications

Unspecified application

Species

Unspecified reactive species

Aleksej Drino,Lisa König,Charlotte Capitanchik,Nasim Sanadgol,Eva Janisiw,Tom Rappol,Elisa Vilardo,Matthias R Schaefer

Journal of Cancer 14:200-218 PubMed36741265

2023

Tripartite motif containing 69 elicits ERK2-dependent EYA4 turnover to impart pancreatic tumorigenesis.

Applications

Unspecified application

Species

Unspecified reactive species

Yu Jia,Hui-Yan Li,Jue Wang,Xing Chen,Lu Lou,Yan-Yan Wei,Ying Wang,Shi-Jing Mo

Gene 715:144015 PubMed31357025

2019

TRIM13 inhibited cell proliferation and induced cell apoptosis by regulating NF-κB pathway in non-small-cell lung carcinoma cells.

Applications

Unspecified application

Species

Unspecified reactive species

Ling Xu,Qi Wu,Xifa Zhou,Qiyong Wu,Mingming Fang
View all publications

Product promise

We are committed to supporting your work with high-quality reagents, and we're here for you every step of the way. In the unlikely event that one of our products does not perform as expected, you're protected by our Product Promise.
For full details, please see our Terms & Conditions

Please note: All products are 'FOR RESEARCH USE ONLY. NOT FOR USE IN DIAGNOSTIC OR THERAPEUTIC PROCEDURES'.

For licensing inquiries, please contact partnerships@abcam.com