JavaScript is disabled in your browser. Please enable JavaScript to view this website.
AB119895

Anti-TRIM21/SS-A antibody

0

(1 Review)

|

(0 Publication)

Rabbit Polyclonal TRIM21/SS-A antibody. Suitable for WB, IHC-P and reacts with Human samples. Immunogen corresponding to Recombinant Fragment Protein within Human TRIM21 aa 1-300.

View Alternative Names

RNF81, RO52, SSA1, TRIM21, E3 ubiquitin-protein ligase TRIM21, 52 kDa Ro protein, 52 kDa ribonucleoprotein autoantigen Ro/SS-A, RING finger protein 81, Ro(SS-A), Sjoegren syndrome type A antigen, Tripartite motif-containing protein 21, SS-A

2 Images
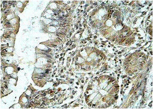
Immunohistochemistry (Formalin/PFA-fixed paraffin-embedded sections) - Anti-TRIM21/SS-A antibody (AB119895)
  • IHC-P

Unknown

Immunohistochemistry (Formalin/PFA-fixed paraffin-embedded sections) - Anti-TRIM21/SS-A antibody (AB119895)

ab119895 at 1/100 dilution staining SSA1 in Formalin-fixed, Paraffin-embedded Human fetal small intestine tissue by Immunohistochemistry.

Western blot - Anti-TRIM21/SS-A antibody (AB119895)
  • WB

Unknown

Western blot - Anti-TRIM21/SS-A antibody (AB119895)

All lanes:

Western blot - Anti-TRIM21/SS-A antibody (ab119895) at 1/500 dilution

Lane 1:

PG49 cell lysate

Lane 2:

HeLa cell lysate

Lane 3:

MCF7 cell lysate

Lane 4:

HEK293 cell lysate

Lane 5:

Human fetal spleen lysate

Predicted band size: 54 kDa

false

Key facts

Host species

Rabbit

Clonality

Polyclonal

Isotype

IgG

Carrier free

No

Reacts with

Human

Applications

IHC-P, WB

applications

Immunogen

Recombinant Fragment Protein within Human TRIM21 aa 1-300. The exact immunogen used to generate this antibody is proprietary information.

P19474

Reactivity data

{ "title": "Reactivity Data", "filters": { "stats": ["", "Species", "Dilution Info", "Notes"], "tabs": { "all-applications": {"fullname" : "All Applications", "shortname": "All Applications"}, "WB" : {"fullname" : "Western blot", "shortname":"WB"}, "IHCP" : {"fullname" : "Immunohistochemistry (Formalin/PFA-fixed paraffin-embedded sections)", "shortname":"IHC-P"} }, "product-promise": { "all": "all", "testedAndGuaranteed": "tested", "guaranteed": "expected", "predicted": "predicted", "notRecommended": "not-recommended" } }, "values": { "Human": { "WB-species-checked": "testedAndGuaranteed", "WB-species-dilution-info": "1/500 - 1/1000", "WB-species-notes": "<p></p>", "IHCP-species-checked": "testedAndGuaranteed", "IHCP-species-dilution-info": "1/100 - 1/500", "IHCP-species-notes": "<p></p>" } } }

Properties and storage information

Form
Liquid
Purification technique
Affinity purification Immunogen
Purification notes
ab119895 is purified by a protein affinity column.
Storage buffer
pH: 7.2 Preservative: 0.02% Sodium azide Constituents: PBS, 1% BSA
Shipped at conditions
Blue Ice
Appropriate short-term storage conditions
+4°C
Appropriate long-term storage conditions
-20°C
Aliquoting information
Upon delivery aliquot
Storage information
Avoid freeze / thaw cycle

Supplementary information

This supplementary information is collated from multiple sources and compiled automatically.

TRIM21 also known as SS-A or Ro52 is a 52 kDa protein that plays a role in the immune system. It functions as an E3 ubiquitin ligase involved in the ubiquitination process. This protein is expressed in various tissues including immune cells like lymphocytes and macrophages. TRIM21 recognizes autoantibodies linked to TRIM21 activity particularly those targeting the SS-A complex. Researchers often use antibodies like anti-TRIM21 or anti-SS-A to study its interactions and effects in cellular processes.
Biological function summary

TRIM21 contributes significantly to the regulation of immune responses and participates in innate and adaptive immunity. It forms part of a complex with other proteins to facilitate the degradation of viral particles through the ubiquitin-proteasome system a process known as antibody-dependent intracellular neutralization. As an important player in the immune defense TRIM21 oversees the timely removal of pathogens and prevents potential overactivation of immune responses that might harm the host.

Pathways

TRIM21 operates within the interferon signaling and NF-κB pathways two important areas of immune response modulation. TRIM21 interacts with molecules like transcription factors that influence the expression of interferon-responsive genes which are critical for pathogen defense. Its role in these pathways highlights its interactions with various immune-regulatory proteins helping to maintain immune system balance and effectiveness during infections.

TRIM21 has strong associations with autoimmune conditions such as systemic lupus erythematosus and Sjögren's syndrome. Autoantibodies against TRIM21 are often used as biomarkers for these diseases and their presence can indicate increased autoimmunity. Relationship with other autoantigens like SS-A/Ro60 further connects TRIM21 with disease mechanisms suggesting its importance in the pathology of these autoimmune disorders. Understanding the role of TRIM21 in these diseases may improve diagnostic and therapeutic strategies.

Product protocols

For this product, it's our understanding that no specific protocols are required. You can visit:

Target data

E3 ubiquitin-protein ligase whose activity is dependent on E2 enzymes, UBE2D1, UBE2D2, UBE2E1 and UBE2E2 (PubMed : 16297862, PubMed : 16316627, PubMed : 16472766, PubMed : 16880511, PubMed : 18022694, PubMed : 18361920, PubMed : 18641315, PubMed : 18845142, PubMed : 19675099, PubMed : 26347139). Forms a ubiquitin ligase complex in cooperation with the E2 UBE2D2 that is used not only for the ubiquitination of USP4 and IKBKB but also for its self-ubiquitination (PubMed : 16880511, PubMed : 19675099). Component of cullin-RING-based SCF (SKP1-CUL1-F-box protein) E3 ubiquitin-protein ligase complexes such as SCF(SKP2)-like complexes (PubMed : 16880511). A TRIM21-containing SCF(SKP2)-like complex is shown to mediate ubiquitination of CDKN1B ('Thr-187' phosphorylated-form), thereby promoting its degradation by the proteasome (PubMed : 16880511). Monoubiquitinates IKBKB that will negatively regulates Tax-induced NF-kappa-B signaling (PubMed : 19675099). Negatively regulates IFN-beta production post-pathogen recognition by catalyzing polyubiquitin-mediated degradation of IRF3 (PubMed : 18641315). Mediates the ubiquitin-mediated proteasomal degradation of IgG1 heavy chain, which is linked to the VCP-mediated ER-associated degradation (ERAD) pathway (PubMed : 18022694). Promotes IRF8 ubiquitination, which enhanced the ability of IRF8 to stimulate cytokine genes transcription in macrophages (By similarity). Plays a role in the regulation of the cell cycle progression (PubMed : 16880511). Enhances the decapping activity of DCP2 (PubMed : 18361920). Exists as a ribonucleoprotein particle present in all mammalian cells studied and composed of a single polypeptide and one of four small RNA molecules (PubMed : 1985094, PubMed : 8666824). At least two isoforms are present in nucleated and red blood cells, and tissue specific differences in RO/SSA proteins have been identified (PubMed : 8666824). The common feature of these proteins is their ability to bind HY RNAs.2 (PubMed : 8666824). Involved in the regulation of innate immunity and the inflammatory response in response to IFNG/IFN-gamma (PubMed : 26347139). Organizes autophagic machinery by serving as a platform for the assembly of ULK1, Beclin 1/BECN1 and ATG8 family members and recognizes specific autophagy targets, thus coordinating target recognition with assembly of the autophagic apparatus and initiation of autophagy (PubMed : 26347139). Regulates also autophagy through FIP200/RB1CC1 ubiquitination and subsequent decreased protein stability (PubMed : 36359729). Represses the innate antiviral response by facilitating the formation of the NMI-IFI35 complex through 'Lys-63'-linked ubiquitination of NMI (PubMed : 26342464). During viral infection, promotes cell pyroptosis by mediating 'Lys-6'-linked ubiquitination of ISG12a/IFI27, facilitating its translocation into the mitochondria and subsequent CASP3 activation (PubMed : 36426955). When up-regulated through the IFN/JAK/STAT signaling pathway, promotes 'Lys-27'-linked ubiquitination of MAVS, leading to the recruitment of TBK1 and up-regulation of innate immunity (PubMed : 29743353). Mediates 'Lys-63'-linked polyubiquitination of G3BP1 in response to heat shock, leading to stress granule disassembly (PubMed : 36692217).
See full target information TRIM21

Product promise

We are committed to supporting your work with high-quality reagents, and we're here for you every step of the way. In the unlikely event that one of our products does not perform as expected, you're protected by our Product Promise.
For full details, please see our Terms & Conditions

Please note: All products are 'FOR RESEARCH USE ONLY. NOT FOR USE IN DIAGNOSTIC OR THERAPEUTIC PROCEDURES'.

For licensing inquiries, please contact partnerships@abcam.com