JavaScript is disabled in your browser. Please enable JavaScript to view this website.
AB224059

Anti-TRIM22 antibody

Be the first to review this product! Submit a review

|

(6 Publications)

Rabbit Polyclonal TRIM22 antibody. Suitable for IHC-P, ICC/IF and reacts with Human samples. Cited in 6 publications. Immunogen corresponding to Recombinant Fragment Protein within Human TRIM22 aa 100-300.

View Alternative Names

RNF94, STAF50, TRIM22, E3 ubiquitin-protein ligase TRIM22, 50 kDa-stimulated trans-acting factor, RING finger protein 94, RING-type E3 ubiquitin transferase TRIM22, Staf-50, Tripartite motif-containing protein 22

6 Images
Immunohistochemistry (Formalin/PFA-fixed paraffin-embedded sections) - Anti-TRIM22 antibody (AB224059)
  • IHC-P

Supplier Data

Immunohistochemistry (Formalin/PFA-fixed paraffin-embedded sections) - Anti-TRIM22 antibody (AB224059)

Immunohistochemical analysis of formalin-fixed, paraffin-embedded human ovary tissue labeling TRIM22 with ab224059 at a 1/1000 dilution.

Immunohistochemistry (Formalin/PFA-fixed paraffin-embedded sections) - Anti-TRIM22 antibody (AB224059)
  • IHC-P

Supplier Data

Immunohistochemistry (Formalin/PFA-fixed paraffin-embedded sections) - Anti-TRIM22 antibody (AB224059)

Immunohistochemical analysis of formalin-fixed, paraffin-embedded human small intestine tissue labeling TRIM22 with ab224059 at a 1/1000 dilution.

Immunohistochemistry (Formalin/PFA-fixed paraffin-embedded sections) - Anti-TRIM22 antibody (AB224059)
  • IHC-P

Supplier Data

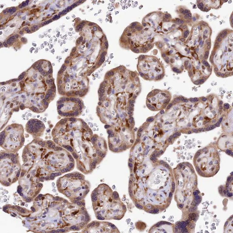
Immunohistochemistry (Formalin/PFA-fixed paraffin-embedded sections) - Anti-TRIM22 antibody (AB224059)

Immunohistochemical analysis of formalin-fixed, paraffin-embedded human placenta tissue labeling TRIM22 with ab224059 at a 1/1000 dilution.

Immunocytochemistry/ Immunofluorescence - Anti-TRIM22 antibody (AB224059)
  • ICC/IF

Supplier Data

Immunocytochemistry/ Immunofluorescence - Anti-TRIM22 antibody (AB224059)

Immunocytochemical analysis of PFA-fixed, Triton X-100 permeabilized ASC TERT1 cells labeling TRIM22 with ab224059 at a 0.25 ug/ml.

Immunohistochemistry (Formalin/PFA-fixed paraffin-embedded sections) - Anti-TRIM22 antibody (AB224059)
  • IHC-P

Supplier Data

Immunohistochemistry (Formalin/PFA-fixed paraffin-embedded sections) - Anti-TRIM22 antibody (AB224059)

Immunohistochemical analysis of formalin-fixed, paraffin-embedded human spleen tissue labeling TRIM22 with ab224059 at a 1/1000 dilution.

Immunohistochemistry (Formalin/PFA-fixed paraffin-embedded sections) - Anti-TRIM22 antibody (AB224059)
  • IHC-P

Supplier Data

Immunohistochemistry (Formalin/PFA-fixed paraffin-embedded sections) - Anti-TRIM22 antibody (AB224059)

Immunohistochemical analysis of formalin-fixed, paraffin-embedded human lymph node tissue labeling TRIM22 with ab224059 at a 1/1000 dilution.

Key facts

Host species

Rabbit

Clonality

Polyclonal

Isotype

IgG

Carrier free

No

Reacts with

Human

Applications

IHC-P, ICC/IF

applications

Immunogen

Recombinant Fragment Protein within Human TRIM22 aa 100-300. The exact immunogen used to generate this antibody is proprietary information.

Q8IYM9

Reactivity data

{ "title": "Reactivity Data", "filters": { "stats": ["", "Species", "Dilution Info", "Notes"], "tabs": { "all-applications": {"fullname" : "All Applications", "shortname": "All Applications"}, "IHCP" : {"fullname" : "Immunohistochemistry (Formalin/PFA-fixed paraffin-embedded sections)", "shortname":"IHC-P"}, "ICCIF" : {"fullname" : "Immunocytochemistry/ Immunofluorescence", "shortname":"ICC/IF"} }, "product-promise": { "all": "all", "testedAndGuaranteed": "tested", "guaranteed": "expected", "predicted": "predicted", "notRecommended": "not-recommended" } }, "values": { "Human": { "IHCP-species-checked": "testedAndGuaranteed", "IHCP-species-dilution-info": "1/500 - 1/1000", "IHCP-species-notes": "<p></p> Perform heat-mediated antigen retrieval with citrate buffer pH 6 before commencing with IHC staining protocol.", "ICCIF-species-checked": "testedAndGuaranteed", "ICCIF-species-dilution-info": "0.25-2 µg/mL", "ICCIF-species-notes": "<p>Fixation/Permeabilization: PFA/Triton X-100.</p>" } } }

Properties and storage information

Form
Liquid
Purification technique
Affinity purification Immunogen
Storage buffer
pH: 7.2 Preservative: 0.02% Sodium azide Constituents: PBS, 40% Glycerol (glycerin, glycerine)
Shipped at conditions
Blue Ice
Appropriate short-term storage duration
1-2 weeks
Appropriate short-term storage conditions
+4°C
Appropriate long-term storage conditions
-20°C
Aliquoting information
Upon delivery aliquot
Storage information
Avoid freeze / thaw cycle

Supplementary information

This supplementary information is collated from multiple sources and compiled automatically.

TRIM22 also known as Staf50 is a protein encoded by the TRIM22 gene. It weighs approximately 56 kDa. TRIM22 is expressed in different tissues throughout the body including the spleen thymus and liver. This protein belongs to the tripartite motif (TRIM) family which is characterized by a distinct structure comprising a RING finger B-box domains and a coiled-coil region. The presence of a RING finger domain suggests that TRIM22 might have E3 ubiquitin ligase activity.
Biological function summary

TRIM22 plays a significant role in innate immunity influencing the antiviral response. As an E3 ubiquitin ligase it facilitates the ubiquitination and degradation of host proteins that are involved in viral replication processes. TRIM22 does not generally function in a protein complex but it interacts with other proteins in a cellular context. This interaction enhances the cellular response against viral infections by disrupting viral components and inhibiting viral replication.

Pathways

TRIM22 is involved in the IFN (interferon) signaling pathway which is essential for the immune response against pathogens. In this pathway TRIM22 interacts with proteins like IFNAR1 and STAT1 acting as a mediator of antiviral activities. It also participates in the ubiquitin-proteasome system aiding in the regulation of protein turnover within the cell. These pathways demonstrate the broad scope of TRIM22 in maintaining cellular homeostasis and responding to external immune challenges.

TRIM22 has been linked to conditions such as systemic lupus erythematosus (SLE) and certain cancers. In SLE TRIM22 expression is often dysregulated contributing to an altered immune response. The protein also connects with STAT proteins which can be influential in autoimmune disease pathways. Moreover aberrant expression of TRIM22 has been observed in some cancer types suggesting a role in tumor biology and potentially offering a target for therapeutic intervention.

Product protocols

For this product, it's our understanding that no specific protocols are required. You can visit:

Target data

Interferon-induced E3 ubiquitin ligase that plays important roles in innate and adaptive immunity (PubMed : 25683609, PubMed : 35777501). Restricts the replication of many viruses including HIV-1, encephalomyocarditis virus (EMCV), hepatitis B virus (HBV), hepatitis C virus (HCV) or Zika virus (ZIKV) (PubMed : 25683609, PubMed : 35777501, PubMed : 36042495). Mechanistically, negatively regulates HCV replication by promoting ubiquitination and subsequent degradation of viral NS5A (PubMed : 25683609). Acts also by promoting the degradation of Zika virus NS1 and NS3 proteins through proteasomal degradation (PubMed : 36042495). Acts as a suppressor of basal HIV-1 LTR-driven transcription by preventing Sp1 binding to the HIV-1 promoter (PubMed : 26683615). Plays also a role in antiviral immunity by co-regulating together with NT5C2 the RIGI/NF-kappa-B pathway by promoting 'Lys-63'-linked ubiquitination of RIGI, while NT5C2 is responsible for 'Lys-48'-linked ubiquitination of RIGI (PubMed : 36159777). Participates in adaptive immunity by suppressing the amount of MHC class II protein in a negative feedback manner in order to limit the extent of MHC class II induction (PubMed : 35777501).
See full target information TRIM22

Publications (6)

Recent publications for all applications. Explore the full list and refine your search

Clinical and experimental medicine 25:168 PubMed40382757

2025

AHNAK2 confers 5-fluorouracil resistance in colorectal cancer via activation of the AKT/GSK-3β signaling axis.

Applications

Unspecified application

Species

Unspecified reactive species

Mianjiao Xie,Wanlin Lin,Yongtao Du,Yunlong Li,Shisen Li

Histology and histopathology 40:1295-1307 PubMed39698827

2024

TRIM22 mechanism promoting KAT2A ubiquitination degradation to regulate ferroptosis in hepatocellular carcinoma cell invasion and metastasis.

Applications

Unspecified application

Species

Unspecified reactive species

Wei Wang,Xiaoshan Chen,Wei Wei

Cell death & disease 15:26 PubMed38199981

2024

TRIM22 induces cellular senescence by targeting PHLPP2 in hepatocellular carcinoma.

Applications

Unspecified application

Species

Unspecified reactive species

Donghee Kang,Hyun Jung Hwang,Yurim Baek,Jee Young Sung,KyeongJin Kim,Heon Joo Park,Young-Gyu Ko,Yong-Nyun Kim,Jae-Seon Lee

Journal of translational medicine 21:443 PubMed37415153

2023

Aberrant KAT2A accumulations render TRIM22-low melanoma sensitive to Notch1 inhibitors via epigenetic reprogramming.

Applications

Unspecified application

Species

Unspecified reactive species

Xiaoli Gu,Wei Min,Yibin Zeng,Ni Fan,Qihong Qian

Molecular therapy oncolytics 26:413-428 PubMed36159777

2022

TRIM22 orchestrates the proliferation of GBMs and the benefits of TMZ by coordinating the modification and degradation of RIG-I.

Applications

Unspecified application

Species

Unspecified reactive species

Xiaowei Fei,Xiuquan Wu,Ya-Nan Dou,Kai Sun,Qingdong Guo,Lei Zhang,Sanzhong Li,Jialiang Wei,Yu Huan,Xin He,Zhou Fei

Bioengineered 12:7213-7222 PubMed34558381

2021

Knockdown of Tripartite motif-containing 22 (TRIM22)relieved the apoptosis of lens epithelial cells by suppressing the expression of TNF receptor-associated factor 6 (TRAF6).

Applications

Unspecified application

Species

Unspecified reactive species

Kai Meng,Chengbo Fang
View all publications

Product promise

We are committed to supporting your work with high-quality reagents, and we're here for you every step of the way. In the unlikely event that one of our products does not perform as expected, you're protected by our Product Promise.
For full details, please see our Terms & Conditions

Please note: All products are 'FOR RESEARCH USE ONLY. NOT FOR USE IN DIAGNOSTIC OR THERAPEUTIC PROCEDURES'.

For licensing inquiries, please contact partnerships@abcam.com