JavaScript is disabled in your browser. Please enable JavaScript to view this website.
AB260000

Anti-TRIM24 antibody [EPR22825-2] - BSA and Azide free

  • BOND RX™ Validated
  • RabMAb
  • Recombinant
  • KO Validated
  • What is this?

Be the first to review this product! Submit a review

|

(1 Publication)

Rabbit Recombinant Monoclonal TRIM24 antibody. Carrier free. Suitable for WB, ICC/IF, IHC-P and reacts with Human, Mouse samples. Cited in 1 publication.

View Alternative Names

RNF82, TIF1, TIF1A, TRIM24, Transcription intermediary factor 1-alpha, TIF1-alpha, E3 ubiquitin-protein ligase TRIM24, RING finger protein 82, RING-type E3 ubiquitin transferase TIF1-alpha, Tripartite motif-containing protein 24

6 Images
Immunocytochemistry/ Immunofluorescence - Anti-TRIM24 antibody [EPR22825-2] - BSA and Azide free (AB260000)
  • ICC/IF

Unknown

Immunocytochemistry/ Immunofluorescence - Anti-TRIM24 antibody [EPR22825-2] - BSA and Azide free (AB260000)

Immunofluorescent analysis of 4% Paraformaldehyde-fixed, 0.1% TritonX-100 permeabilized HepG2 (human hepatocellular carcinoma epithelial cell) cells labeling TRIM24 with ab256491 at 1/100 5.4 μg/ml dilution, followed by ab150077 AlexaFluor®488 Goat anti-Rabbit secondary antibody at 1/1000 2 μg/ml dilution (Green). Confocal image showing nuclear staining in HepG2 cell line is observed. ab195889 Anti-alpha Tubulin antibody [DM1A] - Microtubule Marker (Alexa Fluor® 594) was used to counterstain tubulin at 1/200 dilution (Red). The nuclear counterstain was DAPI (Blue).

Secondary antibody only control : Secondary antibody is ab150077 AlexaFluor®488 Goat anti-Rabbit secondary at 1/1000 2 μg/ml dilution.

This data was developed using the same antibody clone in a different buffer formulation containing PBS, BSA, glycerol, and sodium azide (ab256491).

Immunocytochemistry/ Immunofluorescence - Anti-TRIM24 antibody [EPR22825-2] - BSA and Azide free (AB260000)
  • ICC/IF

Unknown

Immunocytochemistry/ Immunofluorescence - Anti-TRIM24 antibody [EPR22825-2] - BSA and Azide free (AB260000)

Immunofluorescent analysis of 4% Paraformaldehyde-fixed, 0.1% TritonX-100 permeabilized Wild type HAP1 (Wild type human chronic myelogenous leukemia near-haploid cell line) and TRIM24 knockout HAP1 (TRIM24 knockout human chronic myelogenous leukemia near-haploid cell line) cells labeling TRIM24 with ab256491 at 1/100 5.4 μg/ml dilution, followed by ab150077 AlexaFluor®488 Goat anti-Rabbit secondary antibody at 1/1000 2 μg/ml dilution (Green). Confocal image showing nuclear staining in Wild type HAP1 cell line, and no staining in TRIM24 knockout HAP1 cell line. ab195889 Anti-alpha Tubulin antibody [DM1A] - Microtubule Marker (Alexa Fluor® 594) was used to counterstain tubulin at 1/200 dilution (Red). The nuclear counterstain was DAPI (Blue).

Secondary antibody only control : Secondary antibody is ab150077 AlexaFluor®488 Goat anti-Rabbit secondary at 1/1000 2 μg/ml dilution.

This data was developed using the same antibody clone in a different buffer formulation containing PBS, BSA, glycerol, and sodium azide (ab256491).

Immunohistochemistry (Formalin/PFA-fixed paraffin-embedded sections) - Anti-TRIM24 antibody [EPR22825-2] - BSA and Azide free (AB260000)
  • IHC-P

Unknown

Immunohistochemistry (Formalin/PFA-fixed paraffin-embedded sections) - Anti-TRIM24 antibody [EPR22825-2] - BSA and Azide free (AB260000)

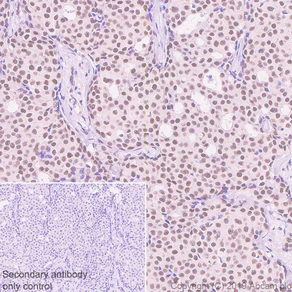
Immunohistochemical analysis of paraffin-embedded human breast cancer tissue labeling TRIM24 with ab256491 at 1/500 dilution (1.08μg/ml) followed by a ready to use Rabbit specific IHC polymer detection kit HRP/DAB (ab209101). Nuclear staining in human breast cancer (PMID : 21164480) is observed. The section was incubated with ab255611 for 30 mins at room temperature. The immunostaining was performed on a Leica Biosystems BOND® RX instrument. Counterstained with hematoxylin.

Secondary antibody only control : Secondary antibody is a ready to use Rabbit specific IHC polymer detection kit HRP/DAB (ab209101).

Heat mediated antigen retrieval with Tris-EDTA buffer (pH 9.0, epitope retrieval solution 2) for 20 mins.

This data was developed using the same antibody clone in a different buffer formulation containing PBS, BSA, glycerol, and sodium azide (ab256491).

Immunohistochemistry (Formalin/PFA-fixed paraffin-embedded sections) - Anti-TRIM24 antibody [EPR22825-2] - BSA and Azide free (AB260000)
  • IHC-P

Unknown

Immunohistochemistry (Formalin/PFA-fixed paraffin-embedded sections) - Anti-TRIM24 antibody [EPR22825-2] - BSA and Azide free (AB260000)

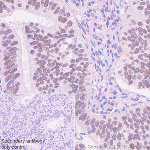
Immunohistochemical analysis of paraffin-embedded human lung cancer tissue labeling TRIM24 with ab256491 at 1/500 dilution (1.08μg/ml) followed by a ready to use Rabbit specific IHC polymer detection kit HRP/DAB (ab209101). Nuclear staining in human lung cancer (PMID : 22666376) is observed. The section was incubated with ab255611 for 30 mins at room temperature. The immunostaining was performed on a Leica Biosystems BOND® RX instrument. Counterstained with hematoxylin.

Secondary antibody only control : Secondary antibody is a ready to use Rabbit specific IHC polymer detection kit HRP/DAB (ab209101).

Heat mediated antigen retrieval with Tris-EDTA buffer (pH 9.0, epitope retrieval solution 2) for 20 mins.

This data was developed using the same antibody clone in a different buffer formulation containing PBS, BSA, glycerol, and sodium azide (ab256491).

Western blot - Anti-TRIM24 antibody [EPR22825-2] - BSA and Azide free (AB260000)
  • WB

Unknown

Western blot - Anti-TRIM24 antibody [EPR22825-2] - BSA and Azide free (AB260000)

This data was developed using the same antibody clone in a different buffer formulation (ab256491).

Lanes 1- 4 : Merged signal (red and green). Green - ab256491 observed at 140 kDa. Red - Anti-GAPDH antibody [6C5] - Loading Control (ab8245) observed at 37 kDa.

ab256491 was shown to react with Tripartite Motif Containing 24 in wild-type HeLa cells in western blot. The band observed in CRISPR/Cas9 edited cell line ab264963 (CRISPR/Cas9 edited cell lysate ab258246) lane below 140kDa may represent truncated forms and cleaved fragments. This has not been investigated further. Wild-type HeLa and TRIM24 CRISPR/Cas9 edited HeLa cell lysates were subjected to SDS-PAGE. Membrane was blocked for 1 hour at room temperature in 0.1% TBST with 3% non-fat dried milk. ab256491 and Anti-GAPDH antibody [6C5] - Loading Control (ab8245) were incubated overnight at 4°C at a 1 in 1000 dilution and a 1 in 20000 dilution respectively. Blots were developed with Goat anti-Rabbit IgG H&L (IRDye®800CW) preadsorbed (ab216773) and Goat anti-Mouse IgG H&L (IRDye®680RD) preadsorbed (ab216776) secondary antibodies at 1 in 20000 dilution for 1 hour at room temperature before imaging.

All lanes:

Western blot - Anti-TRIM24 antibody [EPR22825-2] (<a href='/en-us/products/primary-antibodies/trim24-antibody-epr22825-2-ab256491'>ab256491</a>) at 1/1000 dilution

Lane 1:

Wild-type HeLa cell lysate at 20 µg

Lane 2:

TRIM24 knockout HeLa cell lysate at 20 µg

Lane 2:

Western blot - Human TRIM24 knockout HeLa cell lysate (<a href='/en-us/products/cell-lysates/human-trim24-knockout-hela-cell-lysate-ab258246'>ab258246</a>)

Lane 2:

Western blot - Human TRIM24 knockout HeLa cell line (<a href='/en-us/products/cell-lines/human-trim24-knockout-hela-cell-line-ab264963'>ab264963</a>)

Lane 3:

Hap1 cell lysate at 20 µg

Lane 4:

A549 cell lysate at 20 µg

Predicted band size: 116 kDa

Observed band size: 140 kDa

false

Western blot - Anti-TRIM24 antibody [EPR22825-2] - BSA and Azide free (AB260000)
  • WB

Lab

Western blot - Anti-TRIM24 antibody [EPR22825-2] - BSA and Azide free (AB260000)

The expression profile observed is consistent with what has been described in the literature (PMID : 19909775).

ab256491 was shown to specifically react with TRIM24 in wild-type HAP1 cells as signal was lost in TRIM24 knockout cells. Wild-type and TRIM24 knockout samples were subjected to SDS-PAGE. ab256491 and ab181602 (Rabbit anti-GAPDH loading control) were incubated 1 hour at room temperature at 1/1000 dilution and 1/200,000 dilution respectively. Blots were developed with Goat Anti-Rabbit IgG, (H+L), Peroxidase conjugated (ab97051) secondary antibody at 1/100,000 dilution for 1 hour at room temperature before imaging. The blot was developed on a BIO-RAD® ChemiDoc™ MP instrument using the ECL technique. Blocking/Diluting buffer and concentration : 5% NFDM/TBST. Exposure Time : 48 seconds.

This data was developed using the same antibody clone in a different buffer formulation containing PBS, BSA, glycerol, and sodium azide (ab256491).

All lanes:

Western blot - Anti-TRIM24 antibody [EPR22825-2] (<a href='/en-us/products/primary-antibodies/trim24-antibody-epr22825-2-ab256491'>ab256491</a>) at 1/1000 dilution

Lane 1:

Wild-type HAP1 whole cell lysate at 20 µg

Lane 2:

TRIM24 knockout HAP1 whole cell lysate at 20 µg

Secondary

All lanes:

Western blot - Goat Anti-Rabbit IgG H&L (HRP) (<a href='/en-us/products/secondary-antibodies/goat-rabbit-igg-h-l-hrp-ab97051'>ab97051</a>) at 1/100000 dilution

Predicted band size: 116 kDa

Observed band size: 140 kDa

false

Key facts

Host species

Rabbit

Clonality

Monoclonal

Clone number

EPR22825-2

Isotype

IgG

Carrier free

Yes

Reacts with

Mouse, Human

Applications

ICC/IF, WB, IHC-P

applications

Immunogen

The exact immunogen used to generate this antibody is proprietary information.

Specificity

This antibody is not recommended for mouse IHC.

Reactivity data

{ "title": "Reactivity Data", "filters": { "stats": ["", "Species", "Dilution Info", "Notes"], "tabs": { "all-applications": {"fullname" : "All Applications", "shortname": "All Applications"}, "IP" : {"fullname" : "Immunoprecipitation", "shortname":"IP"}, "FlowCyt" : {"fullname" : "Flow Cytometry", "shortname":"Flow Cyt"}, "WB" : {"fullname" : "Western blot", "shortname":"WB"}, "ICCIF" : {"fullname" : "Immunocytochemistry/ Immunofluorescence", "shortname":"ICC/IF"}, "IHCP" : {"fullname" : "Immunohistochemistry (Formalin/PFA-fixed paraffin-embedded sections)", "shortname":"IHC-P"} }, "product-promise": { "all": "all", "testedAndGuaranteed": "tested", "guaranteed": "expected", "predicted": "predicted", "notRecommended": "not-recommended" } }, "values": { "Human": { "IP-species-checked": "notRecommended", "IP-species-dilution-info": "", "IP-species-notes": "<p></p>", "FlowCyt-species-checked": "notRecommended", "FlowCyt-species-dilution-info": "", "FlowCyt-species-notes": "<p></p>", "WB-species-checked": "testedAndGuaranteed", "WB-species-dilution-info": "", "WB-species-notes": "<p></p>", "ICCIF-species-checked": "testedAndGuaranteed", "ICCIF-species-dilution-info": "", "ICCIF-species-notes": "<p></p>", "IHCP-species-checked": "testedAndGuaranteed", "IHCP-species-dilution-info": "", "IHCP-species-notes": "<p>This antibody is not recommended for mouse IHC.</p>" }, "Mouse": { "IP-species-checked": "notRecommended", "IP-species-dilution-info": "", "IP-species-notes": "<p></p>", "FlowCyt-species-checked": "notRecommended", "FlowCyt-species-dilution-info": "", "FlowCyt-species-notes": "<p></p>", "WB-species-checked": "testedAndGuaranteed", "WB-species-dilution-info": "", "WB-species-notes": "<p></p>", "ICCIF-species-checked": "guaranteed", "ICCIF-species-dilution-info": "", "ICCIF-species-notes": "", "IHCP-species-checked": "guaranteed", "IHCP-species-dilution-info": "", "IHCP-species-notes": "" } } }

Product details

ab260000 is the carrier-free version of ab256491.

Patented technology
Our RabMAb® technology is a patented hybridoma-based technology for making rabbit monoclonal antibodies. For details on our patents, please refer to RabMAb® patents.

What are the advantages of a recombinant monoclonal antibody?
This product is a recombinant monoclonal antibody, which offers several advantages including:

  • - High batch-to-batch consistency and reproducibility
  • - Improved sensitivity and specificity
  • - Long-term security of supply
  • - Animal-free batch production

For more information, read more on recombinant antibodies.

Conjugation ready
Our carrier-free antibodies are typically supplied in a PBS-only formulation, purified and free of BSA, sodium azide and glycerol. This conjugation-ready format is designed for use with fluorochromes, metal isotopes, oligonucleotides, and enzymes, which makes them ideal for antibody labelling, functional and cell-based assays, flow-based assays (e.g. mass cytometry) and Multiplex Imaging applications.

Use our conjugation kits for antibody conjugates that are ready-to-use in as little as 20 minutes with 1 minute hands-on-time and 100% antibody recovery: available for fluorescent dyes, HRP, biotin and gold.

Compatibility
This product is compatible with the Maxpar® Antibody Labeling Kit from Fluidigm, without the need for antibody preparation. Maxpar® is a trademark of Fluidigm Canada Inc.

Properties and storage information

Form
Liquid
Purification technique
Affinity purification Protein A
Storage buffer
pH: 7.2 - 7.4 Constituents: PBS
Shipped at conditions
Blue Ice
Appropriate short-term storage conditions
+4°C
Appropriate long-term storage conditions
+4°C
Storage information
Do Not Freeze

Supplementary information

This supplementary information is collated from multiple sources and compiled automatically.

TRIM24 also known as transcription intermediary factor 1-alpha (TIF1α) is a protein that acts mechanically as a transcriptional regulator. It has a molecular mass of approximately 140 kDa. This protein contains several domains including a tripartite motif (the eponymous TRIM) which consists of a RING domain B-box domains and a coiled-coil region. TRIM24 interacts with nuclear receptors and is expressed in various tissues but shows higher expression in the liver and lungs. It also plays a role in bridging the interaction between chromatin and transcription factors.
Biological function summary

TRIM24 is involved in transcriptional regulation by influencing gene expression. It acts as a co-regulator being part of large protein complexes. This protein interacts directly with histone tails to read histone marks and release transcriptional repression. TRIM24 also plays a role in ubiquitination and subsequent proteasomal degradation of specific proteins suggesting its involvement in maintaining protein homeostasis. Additionally TRIM24 has been shown to interact with p53 influencing cell cycle regulation and apoptosis.

Pathways

TRIM24 is involved in the regulation of the retinoic acid and vitamin D signaling pathways. It modulates the transcriptional activity of nuclear receptors through these pathways influencing cell proliferation and differentiation processes. TRIM24 does so by interacting with other proteins such as retinoid X receptor (RXR) and estrogen receptor (ER) establishing important crosstalk between signaling cascades critical for cell fate decisions.

TRIM24 has been implicated in the development of certain cancers such as breast cancer and liver cancer. In these contexts it functions as an oncogene promoting tumorigenesis through aberrant transcriptional regulation. TRIM24 can interact with other proteins associated with oncogenesis including p53 modulating its tumor suppressor functions. Furthermore deregulation of TRIM24 activity or expression levels has been correlated with inflammatory disorders highlighting its relevance in both cancer and inflammation-related conditions.

Product protocols

For this product, it's our understanding that no specific protocols are required. You can visit:

Target data

Transcriptional coactivator that interacts with numerous nuclear receptors and coactivators and modulates the transcription of target genes. Interacts with chromatin depending on histone H3 modifications, having the highest affinity for histone H3 that is both unmodified at 'Lys-4' (H3K4me0) and acetylated at 'Lys-23' (H3K23ac). Has E3 protein-ubiquitin ligase activity. During the DNA damage response, participates in an autoregulatory feedback loop with TP53. Early in response to DNA damage, ATM kinase phosphorylates TRIM24 leading to its ubiquitination and degradation. After sufficient DNA repair has occurred, TP53 activates TRIM24 transcription, ultimately leading to TRIM24-mediated TP53 ubiquitination and degradation (PubMed : 24820418). Plays a role in the regulation of cell proliferation and apoptosis, at least in part via its effects on p53/TP53 levels. Up-regulates ligand-dependent transcription activation by AR, GCR/NR3C1, thyroid hormone receptor (TR) and ESR1. Modulates transcription activation by retinoic acid (RA) receptors, including RARA. Plays a role in regulating retinoic acid-dependent proliferation of hepatocytes (By similarity). Participates also in innate immunity by mediating the specific 'Lys-63'-linked ubiquitination of TRAF3 leading to activation of downstream signal transduction of the type I IFN pathway (PubMed : 32324863). Additionally, negatively regulates NLRP3/CASP1/IL-1beta-mediated pyroptosis and cell migration probably by ubiquitinating NLRP3 (PubMed : 33724611).
See full target information TRIM24

Publications (1)

Recent publications for all applications. Explore the full list and refine your search

Cellular and molecular gastroenterology and hepatology 12:395-425 PubMed33676046

2021

Helicobacter pylori-Induced Rev-erbα Fosters Gastric Bacteria Colonization by Impairing Host Innate and Adaptive Defense.

Applications

Unspecified application

Species

Unspecified reactive species

Fang-Yuan Mao,Yi-Pin Lv,Chuan-Jie Hao,Yong-Sheng Teng,Yu-Gang Liu,Ping Cheng,Shi-Ming Yang,Weisan Chen,Tao Liu,Quan-Ming Zou,Rui Xie,Jing-Yu Xu,Yuan Zhuang
View all publications

Product promise

We are committed to supporting your work with high-quality reagents, and we're here for you every step of the way. In the unlikely event that one of our products does not perform as expected, you're protected by our Product Promise.
For full details, please see our Terms & Conditions

Please note: All products are 'FOR RESEARCH USE ONLY. NOT FOR USE IN DIAGNOSTIC OR THERAPEUTIC PROCEDURES'.

For licensing inquiries, please contact partnerships@abcam.com