JavaScript is disabled in your browser. Please enable JavaScript to view this website.
AB264175

Anti-TRIM33 antibody

Be the first to review this product! Submit a review

|

(0 Publication)

Rabbit Polyclonal TRIM33 antibody. Suitable for IHC-P, IP and reacts with Mouse, Human samples. Immunogen corresponding to Synthetic Peptide within Human TRIM33 aa 650-700.

View Alternative Names

KIAA1113, RFG7, TIF1G, TRIM33, E3 ubiquitin-protein ligase TRIM33, Ectodermin homolog, RET-fused gene 7 protein, RING-type E3 ubiquitin transferase TRIM33, Transcription intermediary factor 1-gamma, Tripartite motif-containing protein 33, Protein Rfg7, TIF1-gamma

3 Images
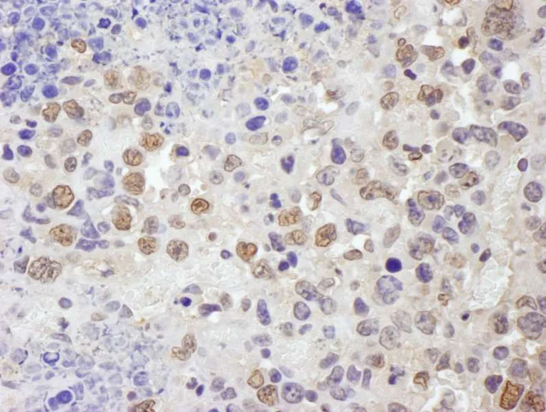
Immunohistochemistry (Formalin/PFA-fixed paraffin-embedded sections) - Anti-TRIM33 antibody (AB264175)
  • IHC-P

Unknown

Immunohistochemistry (Formalin/PFA-fixed paraffin-embedded sections) - Anti-TRIM33 antibody (AB264175)

Immunohistochemical analysis of human osteosarcoma tissue labeling TRIM33 with ab264175 at 1/1000 dilution. DAB was used as a counterstain.

Immunoprecipitation - Anti-TRIM33 antibody (AB264175)
  • IP

Supplier Data

Immunoprecipitation - Anti-TRIM33 antibody (AB264175)

TRIM33 was immunoprecipitated from HeLa cells (1 mg per IP reaction; 20% of IP loaded) using ab264175 at 6 μg per reaction. Western blot was performed on the immunprecipitate using a previous lot of ab264175 at 1 μg/ml.

Lane 1 : ab264175 in HeLa whole cell lysate

Lane 2 : Control IgG in HeLa whole cell lysate

Detected with chemilimuniscence with exposure time of 10 seconds.

All lanes:

Immunoprecipitation - Anti-TRIM33 antibody (ab264175)

Predicted band size: 122 kDa

false

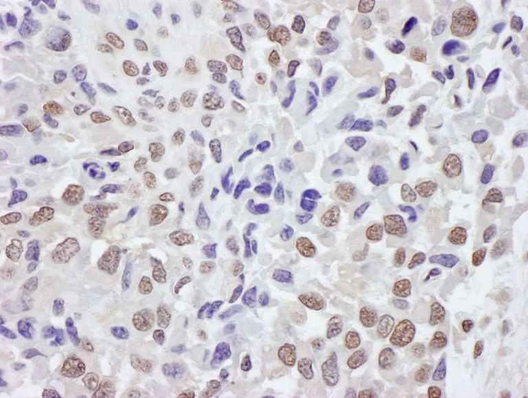
Immunohistochemistry (Formalin/PFA-fixed paraffin-embedded sections) - Anti-TRIM33 antibody (AB264175)
  • IHC-P

Unknown

Immunohistochemistry (Formalin/PFA-fixed paraffin-embedded sections) - Anti-TRIM33 antibody (AB264175)

Immunohistochemical analysis of mouse plasmacytoma tissue labeling TRIM33 with ab264175 at 1/1000 dilution. DAB was used as a counterstain.

Key facts

Host species

Rabbit

Clonality

Polyclonal

Isotype

IgG

Carrier free

No

Reacts with

Mouse, Human

Applications

IHC-P, IP

applications

Immunogen

Synthetic Peptide within Human TRIM33 aa 650-700. The exact immunogen used to generate this antibody is proprietary information.

Q9UPN9

Reactivity data

{ "title": "Reactivity Data", "filters": { "stats": ["", "Species", "Dilution Info", "Notes"], "tabs": { "all-applications": {"fullname" : "All Applications", "shortname": "All Applications"}, "IHCP" : {"fullname" : "Immunohistochemistry (Formalin/PFA-fixed paraffin-embedded sections)", "shortname":"IHC-P"}, "IP" : {"fullname" : "Immunoprecipitation", "shortname":"IP"} }, "product-promise": { "all": "all", "testedAndGuaranteed": "tested", "guaranteed": "expected", "predicted": "predicted", "notRecommended": "not-recommended" } }, "values": { "Human": { "IHCP-species-checked": "testedAndGuaranteed", "IHCP-species-dilution-info": "1/1000 - 1/5000", "IHCP-species-notes": "<p></p> Perform heat-mediated antigen retrieval with citrate buffer pH 6 before commencing with IHC staining protocol.", "IP-species-checked": "testedAndGuaranteed", "IP-species-dilution-info": "2-10 µg/mg of lysate", "IP-species-notes": "<p></p>" }, "Mouse": { "IHCP-species-checked": "testedAndGuaranteed", "IHCP-species-dilution-info": "1/1000 - 1/5000", "IHCP-species-notes": "<p></p> Perform heat-mediated antigen retrieval with citrate buffer pH 6 before commencing with IHC staining protocol.", "IP-species-checked": "guaranteed", "IP-species-dilution-info": "", "IP-species-notes": "" }, "Xenopus laevis": { "IHCP-species-checked": "predicted", "IHCP-species-dilution-info": "", "IHCP-species-notes": "", "IP-species-checked": "predicted", "IP-species-dilution-info": "", "IP-species-notes": "" } } }

Properties and storage information

Form
Liquid
Purification technique
Affinity purification Immunogen
Storage buffer
pH: 7 - 8 Preservative: 0.09% Sodium azide Constituents: Tris citrate/phosphate
Shipped at conditions
Blue Ice
Appropriate short-term storage duration
1-2 weeks
Appropriate short-term storage conditions
+4°C
Appropriate long-term storage conditions
+4°C
Aliquoting information
Upon delivery aliquot
Storage information
Avoid freeze / thaw cycle

Supplementary information

This supplementary information is collated from multiple sources and compiled automatically.

TRIM33 also known as TIF1γ is an E3 ubiquitin ligase involved in protein ubiquitination influencing protein stability and activity. It has a molecular mass of approximately 135 kDa. TRIM33's expression occurs widely in human tissues with higher levels found in the spleen thymus and testis. The protein contains a RING finger domain B-box type zinc fingers and coiled-coil region which are typical for the TRIM family.
Biological function summary

The ubiquitination actions of TRIM33 modulate transcriptional regulation and cell fate decisions. TRIM33 interacts with transcription factors and chromatin often forming part of the larger transcriptional regulatory complexes. Its role in repressing TGF-β signaling by ubiquitylating SMAD proteins highlights its influence on cellular growth and differentiation.

Pathways

TRIM33 has an impact on the TGF-β and BMP signaling pathways both essential for controlling cell proliferation and apoptosis. It acts in partnership with other proteins such as SMAD4 to negatively regulate TGF-β responses helping balance cellular growth. TRIM33 also interfaces with other pathway regulators like p53 influencing cell cycle and repair mechanisms.

TRIM33 is linked to cancer and fibrosis. Mutations or deregulation of TRIM33 contribute to the development of leukemia where it interacts with proteins like AML1-ETO promoting leukemogenesis through altered transcriptional regulation. In pulmonary fibrosis TRIM33's interaction with SMAD3 illustrates its role in pathological signaling highlighting therapeutic potential in modulating its activity.

Product protocols

For this product, it's our understanding that no specific protocols are required. You can visit:

Target data

Acts as an E3 ubiquitin-protein ligase. Promotes SMAD4 ubiquitination, nuclear exclusion and degradation via the ubiquitin proteasome pathway. According to PubMed : 16751102, does not promote a decrease in the level of endogenous SMAD4. May act as a transcriptional repressor. Inhibits the transcriptional response to TGF-beta/BMP signaling cascade. Plays a role in the control of cell proliferation. Its association with SMAD2 and SMAD3 stimulates erythroid differentiation of hematopoietic stem/progenitor (By similarity). Monoubiquitinates SMAD4 and acts as an inhibitor of SMAD4-dependent TGF-beta/BMP signaling cascade (Monoubiquitination of SMAD4 hampers its ability to form a stable complex with activated SMAD2/3 resulting in inhibition of TGF-beta/BMP signaling cascade).
See full target information TRIM33

Product promise

We are committed to supporting your work with high-quality reagents, and we're here for you every step of the way. In the unlikely event that one of our products does not perform as expected, you're protected by our Product Promise.
For full details, please see our Terms & Conditions

Please note: All products are 'FOR RESEARCH USE ONLY. NOT FOR USE IN DIAGNOSTIC OR THERAPEUTIC PROCEDURES'.

For licensing inquiries, please contact partnerships@abcam.com