JavaScript is disabled in your browser. Please enable JavaScript to view this website.
AB249161

Anti-TRIM56 antibody [EPR10583] - BSA and Azide free

Be the first to review this product! Submit a review

|

(1 Publication)

Rabbit Recombinant Monoclonal TRIM56 antibody. Carrier free. Suitable for IHC-P, WB, ICC/IF, Flow Cyt (Intra) and reacts with Human samples. Cited in 1 publication.

View Alternative Names

RNF109, TRIM56, E3 ubiquitin-protein ligase TRIM56, RING finger protein 109, Tripartite motif-containing protein 56

5 Images
Immunohistochemistry (Formalin/PFA-fixed paraffin-embedded sections) - Anti-TRIM56 antibody [EPR10583] - BSA and Azide free (AB249161)
  • IHC-P

Unknown

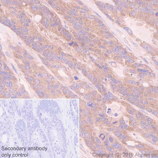
Immunohistochemistry (Formalin/PFA-fixed paraffin-embedded sections) - Anti-TRIM56 antibody [EPR10583] - BSA and Azide free (AB249161)

Immunohistochemistry (Formalin/PFA-fixed paraffin-embedded sections) analysis of Human colon cancer tissue sections labeling TRIM56 with purified ab154862 at 1/1000 dilution (0.691 μg/ml). Perform heat mediated antigen retrieval using ab93684 (Tris/EDTA buffer, pH 9.0). ImmunoHistoProbe one step HRP Polymer (ready to use) was used as the secondary antibody. Negative control : PBS instead of the primary antibody. Hematoxylin was used as a counterstain.

This data was developed using the same antibody clone in a different buffer formulation containing PBS, BSA, glycerol, and sodium azide (ab154862).

Flow Cytometry (Intracellular) - Anti-TRIM56 antibody [EPR10583] - BSA and Azide free (AB249161)
  • Flow Cyt (Intra)

Unknown

Flow Cytometry (Intracellular) - Anti-TRIM56 antibody [EPR10583] - BSA and Azide free (AB249161)

Intracellular Flow Cytometry analysis of MCF7 (Human breast adenocarcinoma epithelial cell) cells labeling TRIM56 with purified ab154862 at 1/70 dilution (10μg/ml) (red). Cells were fixed with 4% Paraformaldehyde and permeabilised with 90% Methanol. A Goat anti rabbit IgG (Alexa Fluor® 488, ab150077) secondary antibody was used at 1/2000. Isotype control - Rabbit monoclonal IgG (Black). Unlabeled control - Cell without incubation with primary antibody and secondary antibody (Blue).

This data was developed using the same antibody clone in a different buffer formulation containing PBS, BSA, glycerol, and sodium azide (ab154862).

Immunocytochemistry/ Immunofluorescence - Anti-TRIM56 antibody [EPR10583] - BSA and Azide free (AB249161)
  • ICC/IF

Unknown

Immunocytochemistry/ Immunofluorescence - Anti-TRIM56 antibody [EPR10583] - BSA and Azide free (AB249161)

Immunocytochemistry/ Immunofluorescence analysis of HeLa (Human cervix adenocarcinoma epithelial cell) cells labeling TRIM56 with purified ab154862 at 1/70 dilution (10 μg/ml). Cells were fixed in 4% Paraformaldehyde and permeabilized with 0.1% tritonX-100. Cells were counterstained with ab195889 Anti-alpha Tubulin antibody [DM1A] - Microtubule Marker (Alexa Fluor® 594) at 1/200 (2.5 μg/ml) dilution. Goat anti rabbit IgG (Alexa Fluor® 488, ab150077) was used as the secondary antibody at 1/1000 (2 μg/ml) dilution. DAPI (blue) was used as nuclear counterstain. PBS instead of the primary antibody was used as the secondary antibody only control.

This data was developed using the same antibody clone in a different buffer formulation containing PBS, BSA, glycerol, and sodium azide (ab154862).

Western blot - Anti-TRIM56 antibody [EPR10583] - BSA and Azide free (AB249161)
  • WB

Lab

Western blot - Anti-TRIM56 antibody [EPR10583] - BSA and Azide free (AB249161)

This data was developed using ab154862, the same antibody clone in a different buffer formulation.

Lanes 1-4 : Merged signal (red and green). Green - ab154862 observed at 88 kDa. Red - loading control ab8245 observed at 36 kDa.

ab154862 Anti-TRIM56 antibody [EPR10583] was shown to specifically react with TRIM56 in wild-type A549 cells. Loss of signal was observed when knockout cell line ab267062 (knockout cell lysate ab258249) was used. Wild-type and TRIM56 knockout samples were subjected to SDS-PAGE. ab154862 and Anti-GAPDH antibody [6C5] - Loading Control (ab8245) were incubated overnight at 4°C at 1 in 1000 dilution and 1 in 20000 dilution respectively. Blots were developed with Goat anti-Rabbit IgG H&L (IRDye® 800CW) preadsorbed (ab216773) and Goat anti-Mouse IgG H&L (IRDye® 680RD) preadsorbed (ab216776) secondary antibodies at 1 in 20000 dilution for 1 hour at room temperature before imaging.

All lanes:

Western blot - Anti-TRIM56 antibody [EPR10583] (<a href='/en-us/products/primary-antibodies/trim56-antibody-epr10583-ab154862'>ab154862</a>) at 1/1000 dilution

Lane 1:

Wild-type A549 (Human lung carcinoma cell line) whole cell lysate at 20 µg

Lane 2:

TRIM56 knockout A549 (Human lung carcinoma cell line) whole cell lysate at 20 µg

Lane 2:

Western blot - Human TRIM56 knockout A549 cell line (<a href='/en-us/products/cell-lines/human-trim56-knockout-a549-cell-line-ab267062'>ab267062</a>)

Lane 3:

MCF7 (Human breast adenocarcinoma cell line) whole cell lysate at 20 µg

Lane 4:

A-375 (Human malignant melanoma cell line) whole cell lysate at 20 µg

Secondary

All lanes:

Western blot - Goat anti-Rabbit IgG H&L (IRDye® 800CW) preadsorbed (<a href='/en-us/products/secondary-antibodies/goat-rabbit-igg-h-l-irdye-800cw-preadsorbed-ab216773'>ab216773</a>) at 1/10000 dilution

Predicted band size: 81 kDa

Observed band size: 88 kDa

false

Western blot - Anti-TRIM56 antibody [EPR10583] - BSA and Azide free (AB249161)
  • WB

Supplier Data

Western blot - Anti-TRIM56 antibody [EPR10583] - BSA and Azide free (AB249161)

This data was developed using ab154862, the same antibody clone in a different buffer formulation.

Lanes 1-4 : Merged signal (red and green). Green - ab154862 observed at 88 kDa. Red - loading control ab8245 observed at 36 kDa.

ab154862 Anti-TRIM56 antibody [EPR10583] was shown to specifically react with TRIM56 in wild-type A549 cells. Loss of signal was observed when knockout cell line ab267063 (knockout cell lysate ab258250) was used. Wild-type and TRIM56 knockout samples were subjected to SDS-PAGE. ab154862 and Anti-GAPDH antibody [6C5] - Loading Control (ab8245) were incubated overnight at 4°C at 1 in 1000 dilution and 1 in 20000 dilution respectively. Blots were developed with Goat anti-Rabbit IgG H&L (IRDye® 800CW) preadsorbed (ab216773) and Goat anti-Mouse IgG H&L (IRDye® 680RD) preadsorbed (ab216776) secondary antibodies at 1 in 20000 dilution for 1 hour at room temperature before imaging.

All lanes:

Western blot - Anti-TRIM56 antibody [EPR10583] (<a href='/en-us/products/primary-antibodies/trim56-antibody-epr10583-ab154862'>ab154862</a>) at 1/1000 dilution

Lane 1:

Wild-type A549 (Human lung carcinoma cell line) whole cell lysate at 20 µg

Lane 2:

TRIM56 knockout A549 (Human lung carcinoma cell line) whole cell lysate at 20 µg

Lane 2:

Western blot - Human TRIM56 knockout A549 cell line (<a href='/en-us/products/cell-lines/human-trim56-knockout-a549-cell-line-ab267063'>ab267063</a>)

Lane 3:

MCF7 (Human breast adenocarcinoma cell line) whole cell lysate at 20 µg

Lane 4:

A-375 (Human malignant melanoma cell line) whole cell lysate at 20 µg

Secondary

All lanes:

Western blot - Goat anti-Rabbit IgG H&L (IRDye® 800CW) preadsorbed (<a href='/en-us/products/secondary-antibodies/goat-rabbit-igg-h-l-irdye-800cw-preadsorbed-ab216773'>ab216773</a>) at 1/10000 dilution

Predicted band size: 81 kDa

Observed band size: 88 kDa

false

Key facts

Host species

Rabbit

Clonality

Monoclonal

Clone number

EPR10583

Isotype

IgG

Carrier free

Yes

Reacts with

Human

Applications

Flow Cyt (Intra), ICC/IF, IHC-P, WB

applications

Immunogen

The exact immunogen used to generate this antibody is proprietary information.

Reactivity data

{ "title": "Reactivity Data", "filters": { "stats": ["", "Species", "Dilution Info", "Notes"], "tabs": { "all-applications": {"fullname" : "All Applications", "shortname": "All Applications"}, "IHCP" : {"fullname" : "Immunohistochemistry (Formalin/PFA-fixed paraffin-embedded sections)", "shortname":"IHC-P"}, "WB" : {"fullname" : "Western blot", "shortname":"WB"}, "ICCIF" : {"fullname" : "Immunocytochemistry/ Immunofluorescence", "shortname":"ICC/IF"}, "FlowCytIntra" : {"fullname" : "Flow Cytometry (Intracellular)", "shortname":"Flow Cyt (Intra)"} }, "product-promise": { "all": "all", "testedAndGuaranteed": "tested", "guaranteed": "expected", "predicted": "predicted", "notRecommended": "not-recommended" } }, "values": { "Human": { "IHCP-species-checked": "testedAndGuaranteed", "IHCP-species-dilution-info": "", "IHCP-species-notes": "<p></p>", "WB-species-checked": "testedAndGuaranteed", "WB-species-dilution-info": "", "WB-species-notes": "<p></p>", "ICCIF-species-checked": "testedAndGuaranteed", "ICCIF-species-dilution-info": "", "ICCIF-species-notes": "<p></p>", "FlowCytIntra-species-checked": "testedAndGuaranteed", "FlowCytIntra-species-dilution-info": "", "FlowCytIntra-species-notes": "<p></p>" } } }

Product details

ab249161 is the carrier-free version of ab154862.

Patented technology
Our RabMAb® technology is a patented hybridoma-based technology for making rabbit monoclonal antibodies. For details on our patents, please refer to RabMAb® patents.

What are the advantages of a recombinant monoclonal antibody?
This product is a recombinant monoclonal antibody, which offers several advantages including:

  • - High batch-to-batch consistency and reproducibility
  • - Improved sensitivity and specificity
  • - Long-term security of supply
  • - Animal-free batch production

For more information, read more on recombinant antibodies.

Conjugation ready
Our carrier-free antibodies are typically supplied in a PBS-only formulation, purified and free of BSA, sodium azide and glycerol. This conjugation-ready format is designed for use with fluorochromes, metal isotopes, oligonucleotides, and enzymes, which makes them ideal for antibody labelling, functional and cell-based assays, flow-based assays (e.g. mass cytometry) and Multiplex Imaging applications.

Use our conjugation kits for antibody conjugates that are ready-to-use in as little as 20 minutes with 1 minute hands-on-time and 100% antibody recovery: available for fluorescent dyes, HRP, biotin and gold.

Compatibility
This product is compatible with the Maxpar® Antibody Labeling Kit from Fluidigm, without the need for antibody preparation. Maxpar® is a trademark of Fluidigm Canada Inc.

Properties and storage information

Form
Liquid
Purification technique
Affinity purification Protein A
Storage buffer
pH: 7.2 - 7.4 Constituents: PBS
Shipped at conditions
Blue Ice
Appropriate short-term storage conditions
+4°C
Appropriate long-term storage conditions
+4°C
Storage information
Do Not Freeze

Supplementary information

This supplementary information is collated from multiple sources and compiled automatically.

TRIM56 also known as Tripartite Motif Containing 56 or RNF109 is a protein involved in various cellular mechanisms. It weighs around 79 kDa and is expressed in many tissues including the spleen lymph nodes and lungs. TRIM56 contains a RING finger domain B-box motifs and a coiled-coil region which are typical features of the TRIM protein family. These domains suggest roles in ubiquitination and protein-protein interactions which are essential for its functions in signaling and regulatory processes.
Biological function summary

TRIM56 participates in immune regulation and antiviral defense. It acts as an interferon-stimulated gene product and does not appear to be part of a larger protein complex. Instead it induces antiviral states by mediating the innate immune response to viral infections. TRIM56 enhances the production of type I interferons by modifying the activation pathways. This function places TRIM56 as an immune defense agent which can restrict the replication of various viruses such as flaviviruses and coronaviruses therefore harboring significant implications in pathogen defense responses.

Pathways

TRIM56 integrates into the antiviral and innate immunity pathways. It prominently situates within the interferon signaling pathway enhancing the body's defense through the upregulation of interferon production. TRIM56 interacts with several proteins in these pathways including STING and MAVS which are known to be important mediators in the recognition of viral presence. Through these interactions TRIM56 facilitates the activation of downstream signaling cascades leading to the expression of interferon-stimulated genes.

TRIM56 exhibits significant connections to viral infections and autoimmune diseases. Its role in antiviral responses implicates it in diseases like hepatitis C as it can suppress viral replication. Although TRIM56 aids in defending against infections its dysregulation may also link to autoimmune conditions where its interaction with proteins such as IFNAR1 can result in excessive immune responses leading to tissue damage and inflammation. Such dual roles highlight TRIM56 as an important regulator in both protective and pathological immune responses.

Product protocols

For this product, it's our understanding that no specific protocols are required. You can visit:

Target data

E3 ubiquitin-protein ligase that plays a key role in innate antiviral immunity by mediating ubiquitination of CGAS and STING1 (PubMed : 21289118, PubMed : 29426904). In response to pathogen- and host-derived double-stranded DNA (dsDNA), targets STING1 to 'Lys-63'-linked ubiquitination, thereby promoting its homodimerization, a step required for the production of type I interferon IFN-beta (By similarity). Also mediate monoubiquitination of CGAS, thereby promoting CGAS oligomerization and subsequent activation (PubMed : 29426904). Promotes also TNFalpha-induced NF-kappa-B signaling by mediating 'Lys-63'-linked ubiquitination TAK1, leading to enhanced interaction between TAK1 and CHUK/IKKalpha (PubMed : 35952808). Independently of its E3 ubiquitin ligase activity, positive regulator of TLR3 signaling. Potentiates extracellular double stranded RNA (dsRNA)-induced expression of IFNB1 and interferon-stimulated genes ISG15, IFIT1/ISG56, CXCL10, OASL and CCL5/RANTES (PubMed : 22948160). Promotes establishment of an antiviral state by TLR3 ligand and TLR3-mediated chemokine induction following infection by hepatitis C virus (PubMed : 22948160). Acts as a restriction factor of Zika virus through direct interaction with the viral RNA via its C-terminal region (PubMed : 31251739).
See full target information TRIM56

Publications (1)

Recent publications for all applications. Explore the full list and refine your search

International journal of clinical and experimental 13:2973-2983 PubMed33425098

2020

Adsorption of miR-218 by lncRNA HOTAIR regulates PDE7A and affects glioma cell proliferation, invasion, and apoptosis.

Applications

Unspecified application

Species

Unspecified reactive species

Yigong Wei,Kun Zhou,Cheng Wang,Xiaolin Du,Qing Xiao,Changyi Chen
View all publications

Product promise

We are committed to supporting your work with high-quality reagents, and we're here for you every step of the way. In the unlikely event that one of our products does not perform as expected, you're protected by our Product Promise.
For full details, please see our Terms & Conditions

Please note: All products are 'FOR RESEARCH USE ONLY. NOT FOR USE IN DIAGNOSTIC OR THERAPEUTIC PROCEDURES'.

For licensing inquiries, please contact partnerships@abcam.com