JavaScript is disabled in your browser. Please enable JavaScript to view this website.
AB316149

Anti-TRIM8 antibody [EPR27965-6]

  • 20ul selling size
  • Recombinant
  • RabMAb
  • KO Validated
  • What is this?

Be the first to review this product! Submit a review

|

(0 Publication)

Rabbit Recombinant Monoclonal TRIM8 antibody. Suitable for Flow Cyt (Intra), WB, IP and reacts with Human, Mouse, Rat samples.

View Alternative Names

GERP, RNF27, TRIM8, E3 ubiquitin-protein ligase TRIM8, Glioblastoma-expressed RING finger protein, RING finger protein 27, RING-type E3 ubiquitin transferase TRIM8, Tripartite motif-containing protein 8

6 Images
Flow Cytometry (Intracellular) - Anti-TRIM8 antibody [EPR27965-6] (AB316149)
  • Flow Cyt (Intra)

Supplier Data

Flow Cytometry (Intracellular) - Anti-TRIM8 antibody [EPR27965-6] (AB316149)

Flow cytometric analysis of 4% paraformaldehyde fixed 90% methanol permeabilized HCT 116 (human colorectal carcinoma epithelial cell) cells labelling TRIM8 with ab316149 at 1/50 dilution (1 ug)/(Red) compared with a Rabbit monoclonal IgG (ab172730) (Black) isotype control and an unlabelled control (cells without incubation with primary antibody and secondary antibody) (Blue).

Goat Anti-Rabbit IgG (Alexa Fluor® 488, ab150081) at 1/5000 dilution was used as the secondary antibody.

Immunoprecipitation - Anti-TRIM8 antibody [EPR27965-6] (AB316149)
  • IP

Supplier Data

Immunoprecipitation - Anti-TRIM8 antibody [EPR27965-6] (AB316149)

TRIM8 was immunoprecipitated from 0.35 mg HCT 116 (human colorectal carcinoma epithelial cell) whole cell lysate with ab316149 at 1/30 dilution (2ug in 0.35mg lysates). Western blot was performed on the immunoprecipitate using ab316149 at 1/1000 dilution. VeriBlot for IP secondary antibody(HRP)(ab131366) was used at 1/5000 dilution.

Lane 1 : HCT 116 (human colorectal carcinoma epithelial cell) whole cell lysate
Lane 2 : ab316149 IP in HCT 116 (human colorectal carcinoma epithelial cell) whole cell lysate
Lane 3 : Rabbit monoclonal IgG (ab172730) instead of ab316149 in HCT 116 whole cell lysate

All lanes:

Immunoprecipitation - Anti-TRIM8 antibody [EPR27965-6] (ab316149) at 1/30 dilution

All lanes:

HCT 116 (human colorectal carcinoma epithelial cell) whole cell lysate

Secondary

All lanes:

Immunoprecipitation - VeriBlot for IP Detection Reagent (HRP) (<a href='/en-us/products/reagents/veriblot-for-ip-detection-reagent-hrp-ab131366'>ab131366</a>) at 1/5000 dilution

false

Exposure time: 102s

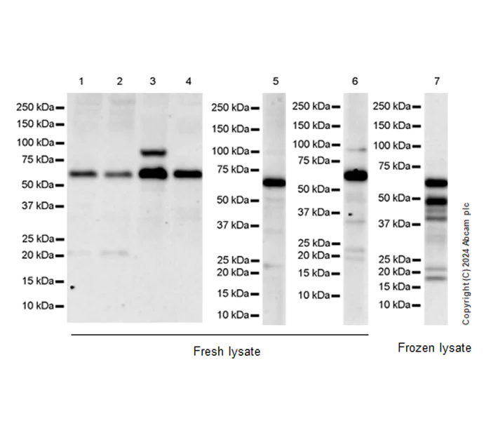
Western blot - Anti-TRIM8 antibody [EPR27965-6] (AB316149)
  • WB

Supplier Data

Western blot - Anti-TRIM8 antibody [EPR27965-6] (AB316149)

Lysates were freshly made and used for Western blotting immediately to minimize protein degradation.

The identity of the higher MW band at approximately 90 kDa (in lane 4) is unknown.

All lanes:

Western blot - Anti-TRIM8 antibody [EPR27965-6] (ab316149) at 1/1000 dilution

Lane 1:

HeLa (human cervical adenocarcinoma epithelial cell) whole cell lysate at 20 µg

Lane 2:

293T (human embryonic kidney epithelial cell) whole cell lysate at 20 µg

Lane 3:

NIH/3T3 (mouse embryonic fibroblast) whole cell lysate at 20 µg

Lane 4:

PC-12 (rat adrenal gland pheochromocytoma cell) whole cell lysate at 20 µg

Lane 5:

MCF7 (human breast adenocarcinoma epithelial cell) whole cell lysate at 20 µg

Lanes 6 - 7:

T-47D (human ductal breast epithelial tumor epithelial cell) whole cell lysate at 20 µg

Secondary

All lanes:

Western blot - Goat Anti-Rabbit IgG H&L (HRP) (<a href='/en-us/products/secondary-antibodies/goat-rabbit-igg-h-l-hrp-ab97051'>ab97051</a>) at 1/20000 dilution

Observed band size: 61 kDa

false

Exposure time: 180s

Western blot - Anti-TRIM8 antibody [EPR27965-6] (AB316149)
  • WB

Supplier Data

Western blot - Anti-TRIM8 antibody [EPR27965-6] (AB316149)

In Western blot, Anti-GAPDH antibody [EPR16891] - Loading Control (ab181602) staining at 1/200000 dilution.

All lanes:

Western blot - Anti-TRIM8 antibody [EPR27965-6] (ab316149) at 1/1000 dilution

Lane 1:

HCT 116 (human colorectal carcinoma epithelial cell) transfected with scrambled siRNA control whole cell lysate at 20 µg

Lane 2:

HCT 116 transfected with siRNA specifically targeting TRIM8 whole cell lysate at 20 µg

Secondary

All lanes:

Western blot - Goat Anti-Rabbit IgG H&L (HRP) (<a href='/en-us/products/secondary-antibodies/goat-rabbit-igg-h-l-hrp-ab97051'>ab97051</a>) at 1/20000 dilution

Observed band size: 61 kDa,36 kDa

false

Exposure time: 92s

Western blot - Anti-TRIM8 antibody [EPR27965-6] (AB316149)
  • WB

Lab

Western blot - Anti-TRIM8 antibody [EPR27965-6] (AB316149)

Western blot : Anti-TRIM8 antibody [EPR27965-6] ab316149 staining at 1/1000 dilution, shown in green; Mouse anti GAPDH (ab8245) loading control staining at 1/20,000 dilution, shown in magenta. A band was observed at 65 kDa in Wild-type MCF7 cell lysates with no signal observed at this size in TRIM8 knockout MCF7 cell line. To generate this image, samples were run on an SDS-PAGE gel then transferred onto a nitrocellulose membrane. Membranes were blocked in 3pc Milk in TBS-0.1 % Tween® 20 (TBS-T) before incubation with primary antibodies overnight at 4°C. Blots were washed four times in TBS-T, incubated with secondary antibodies for 1 h at room temperature, washed again four times then imaged. Secondary antibodies used were Goat anti-Rabbit 800CW & Goat anti-Mouse 680RD at 1/20,000 dilution.

All lanes:

Western blot - Anti-TRIM8 antibody [EPR27965-6] (ab316149) at 1/1000 dilution

Lane 1:

Wild-type MCF7 at 20 µg

Lane 2:

TRIM8 knockout MCF7 at 20 µg

Lane 3:

OVCAR-3 at 20 µg

Lane 4:

HCT 116 at 20 µg

Lane 5:

HepG2 at 20 µg

Secondary

All lanes:

Goat anti-Rabbit 800CW & Goat anti-Mouse 680RD at 1/20000 dilution

Predicted band size: 65 kDa

Observed band size: 65 kDa

false

Western blot - Anti-TRIM8 antibody [EPR27965-6] (AB316149)
  • WB

Supplier Data

Western blot - Anti-TRIM8 antibody [EPR27965-6] (AB316149)

All lanes:

Western blot - Anti-TRIM8 antibody [EPR27965-6] (ab316149) at 1/1000 dilution

Lane 1:

Mouse brain lysate at 20 µg

Lane 2:

Rat brain lysate at 20 µg

Lane 3:

Rat spleen lysate at 20 µg

Secondary

All lanes:

Western blot - Goat Anti-Rabbit IgG H&L (HRP) (<a href='/en-us/products/secondary-antibodies/goat-rabbit-igg-h-l-hrp-ab97051'>ab97051</a>) at 1/20000 dilution

Observed band size: 61 kDa

false

Exposure time: 180s

  • Carrier free

    Anti-TRIM8 antibody [EPR27965-6] - BSA and Azide free

Key facts

Host species

Rabbit

Clonality

Monoclonal

Clone number

EPR27965-6

Isotype

IgG

Carrier free

No

Reacts with

Human, Mouse, Rat

Applications

IP, Flow Cyt (Intra), WB

applications

Immunogen

The exact immunogen used to generate this antibody is proprietary information.

Reactivity data

{ "title": "Reactivity Data", "filters": { "stats": ["", "Species", "Dilution Info", "Notes"], "tabs": { "all-applications": {"fullname" : "All Applications", "shortname": "All Applications"}, "FlowCytIntra" : {"fullname" : "Flow Cytometry (Intracellular)", "shortname":"Flow Cyt (Intra)"}, "WB" : {"fullname" : "Western blot", "shortname":"WB"}, "IP" : {"fullname" : "Immunoprecipitation", "shortname":"IP"}, "IHCP" : {"fullname" : "Immunohistochemistry (Formalin/PFA-fixed paraffin-embedded sections)", "shortname":"IHC-P"}, "ICCIF" : {"fullname" : "Immunocytochemistry/ Immunofluorescence", "shortname":"ICC/IF"} }, "product-promise": { "all": "all", "testedAndGuaranteed": "tested", "guaranteed": "expected", "predicted": "predicted", "notRecommended": "not-recommended" } }, "values": { "Human": { "FlowCytIntra-species-checked": "testedAndGuaranteed", "FlowCytIntra-species-dilution-info": "1/50", "FlowCytIntra-species-notes": "<p></p>", "WB-species-checked": "testedAndGuaranteed", "WB-species-dilution-info": "1/1000", "WB-species-notes": "<p></p>", "IP-species-checked": "testedAndGuaranteed", "IP-species-dilution-info": "1/30", "IP-species-notes": "<p></p>", "IHCP-species-checked": "notRecommended", "IHCP-species-dilution-info": "", "IHCP-species-notes": "<p></p>", "ICCIF-species-checked": "notRecommended", "ICCIF-species-dilution-info": "", "ICCIF-species-notes": "<p></p>" }, "Mouse": { "FlowCytIntra-species-checked": "guaranteed", "FlowCytIntra-species-dilution-info": "", "FlowCytIntra-species-notes": "", "WB-species-checked": "testedAndGuaranteed", "WB-species-dilution-info": "1/1000", "WB-species-notes": "<p></p>", "IP-species-checked": "guaranteed", "IP-species-dilution-info": "", "IP-species-notes": "", "IHCP-species-checked": "notRecommended", "IHCP-species-dilution-info": "", "IHCP-species-notes": "<p></p>", "ICCIF-species-checked": "notRecommended", "ICCIF-species-dilution-info": "", "ICCIF-species-notes": "" }, "Rat": { "FlowCytIntra-species-checked": "guaranteed", "FlowCytIntra-species-dilution-info": "", "FlowCytIntra-species-notes": "", "WB-species-checked": "testedAndGuaranteed", "WB-species-dilution-info": "1/1000", "WB-species-notes": "<p></p>", "IP-species-checked": "guaranteed", "IP-species-dilution-info": "", "IP-species-notes": "", "IHCP-species-checked": "notRecommended", "IHCP-species-dilution-info": "", "IHCP-species-notes": "<p></p>", "ICCIF-species-checked": "notRecommended", "ICCIF-species-dilution-info": "", "ICCIF-species-notes": "" } } }

Product details

Patented technology
Our RabMAb® technology is a patented hybridoma-based technology for making rabbit monoclonal antibodies. For details on our patents, please refer to RabMAb® patents.

What are the advantages of a recombinant monoclonal antibody?
This product is a recombinant monoclonal antibody, which offers several advantages including:

  • - High batch-to-batch consistency and reproducibility
  • - Improved sensitivity and specificity
  • - Long-term security of supply
  • - Animal-free batch production

For more information, read more on recombinant antibodies.

Properties and storage information

Form
Liquid
Purification technique
Affinity purification Protein A
Storage buffer
pH: 7.2 - 7.4 Preservative: 0.01% Sodium azide Constituents: PBS, 40% Glycerol (glycerin, glycerine), 0.05% BSA
Shipped at conditions
Blue Ice
Appropriate short-term storage duration
1-2 weeks
Appropriate short-term storage conditions
+4°C
Appropriate long-term storage conditions
-20°C
Aliquoting information
Upon delivery aliquot
Storage information
Avoid freeze / thaw cycle

Supplementary information

This supplementary information is collated from multiple sources and compiled automatically.

TRIM8 also known as Tripartite Motif Containing 8 is an E3 ubiquitin ligase with a known mass of about 61 kDa. This protein facilitates protein degradation via the ubiquitin-proteasome system. It localizes to the nucleus and cytoplasm and is expressed in various tissues such as the brain and immune cells. TRIM8 influences multiple cellular processes by adding ubiquitin chains to specific proteins thereby tagging them for degradation.
Biological function summary

TRIM8 is involved in the regulation of signaling pathways and acts as a modulator of cellular functions. TRIM8 participates in the stability and turnover of p53 and STAT3 affecting their transcriptional activities. It also contributes to immune responses by modulating pathways that involve interferon signaling. TRIM8 is not typically part of large protein complexes; its interactions often involve single protein-protein connections.

Pathways

TRIM8 plays significant roles in immune signaling and apoptosis regulation. It interacts with the NF-kB pathway influencing inflammation and immune responses. Through this pathway TRIM8 impacts the activation of transcriptional activity affecting cellular survival and proliferation. Additionally TRIM8 interacts with proteins like p53 altering its function in the apoptotic pathway thereby influencing cell cycle regulation and survival.

TRIM8 has connections to cancer and neurodegenerative diseases. For cancer abnormalities in TRIM8 expression levels can result in altered p53 activity promoting tumor growth or suppression. In neurodegenerative contexts TRIM8's interaction with STAT3 can affect inflammatory responses linked to diseases like Alzheimer's. These relationships highlight the importance of TRIM8 in both the progression and inhibition of certain pathologies through its interactions with proteins such as p53 and STAT3.

Product protocols

For this product, it's our understanding that no specific protocols are required. You can visit:

Target data

E3 ubiquitin-protein ligase that participates in multiple biological processes including cell survival, differentiation, apoptosis, and in particular, the innate immune response (PubMed : 27981609, PubMed : 28747347). Participates in the activation of interferon-gamma signaling by promoting proteasomal degradation of the repressor SOCS1 (PubMed : 12163497). Plays a positive role in the TNFalpha and IL-1beta signaling pathways. Mechanistically, induces the 'Lys-63'-linked polyubiquitination of MAP3K7/TAK1 component leading to the activation of NF-kappa-B (PubMed : 22084099, PubMed : 23152791, PubMed : 27981609, PubMed : 34871740). Modulates also STAT3 activity through negative regulation of PIAS3, either by degradation of PIAS3 through the ubiquitin-proteasome pathway or exclusion of PIAS3 from the nucleus (PubMed : 20516148). Negatively regulates TLR3/4-mediated innate immune response by catalyzing 'Lys-6'- and 'Lys-33'-linked polyubiquitination of TICAM1 and thereby disrupting the TICAM1-TBK1 interaction (PubMed : 28747347).
See full target information TRIM8

Product promise

We are committed to supporting your work with high-quality reagents, and we're here for you every step of the way. In the unlikely event that one of our products does not perform as expected, you're protected by our Product Promise.
For full details, please see our Terms & Conditions

Please note: All products are 'FOR RESEARCH USE ONLY. NOT FOR USE IN DIAGNOSTIC OR THERAPEUTIC PROCEDURES'.

For licensing inquiries, please contact partnerships@abcam.com