JavaScript is disabled in your browser. Please enable JavaScript to view this website.
AB313703

Anti-TRIP13/PCH2 antibody [EPR27063-80] - BSA and Azide free

Be the first to review this product! Submit a review

|

(0 Publication)

Knockout Tested Rabbit Recombinant Monoclonal TRIP13/PCH2 antibody. Carrier free. Suitable for WB, IP and reacts with Human, Rat samples.

View Alternative Names

PCH2, TRIP13, Pachytene checkpoint protein 2 homolog, Human papillomavirus type 16 E1 protein-binding protein, Thyroid hormone receptor interactor 13, Thyroid receptor-interacting protein 13, 16E1-BP, HPV16 E1 protein-binding protein, TR-interacting protein 13, TRIP-13

3 Images
Immunoprecipitation - Anti-TRIP13/PCH2 antibody [EPR27063-80] - BSA and Azide free (AB313703)
  • IP

Supplier Data

Immunoprecipitation - Anti-TRIP13/PCH2 antibody [EPR27063-80] - BSA and Azide free (AB313703)

This data was developed using ab313702, the same antibody clone in a different buffer formulation. TRIP13/PCH2 was immunoprecipitated from 0.35 mg HEK-293 (human embryonic kidney epithelial cell) whole cell lysate with ab313702 at 1/30 dilution (2ug in 0.35mg lysates). Western blot was performed on the immunoprecipitate using ab313702 at 1/1000 dilution. VeriBlot for IP secondary antibody(HRP)(ab131366) was used at 1/5000 dilution. Lane 1 : HEK-293 (human embryonic kidney epithelial cell) whole cell lysate Lane 2 : HEK-293 (human embryonic kidney epithelial cell) whole cell lysate Lane 3 : Rabbit monoclonal IgG (ab172730) instead of ab313702 in HEK-293 whole cell lysate Blocking and dilution buffer and concentration : 5% NFDM/TBST. Exposure time : 180 seconds

All lanes:

Immunoprecipitation - Anti-TRIP13/PCH2 antibody [EPR27063-80] (<a href='/en-us/products/primary-antibodies/trip13-pch2-antibody-epr27063-80-ab313702'>ab313702</a>) at 1/30 dilution

All lanes:

HEK-293 (human embryonic kidney epithelial cell) whole cell lysate

Secondary

All lanes:

Immunoprecipitation - VeriBlot for IP Detection Reagent (HRP) (<a href='/en-us/products/reagents/veriblot-for-ip-detection-reagent-hrp-ab131366'>ab131366</a>) at 1/5000 dilution

false

Exposure time: 180s

Western blot - Anti-TRIP13/PCH2 antibody [EPR27063-80] - BSA and Azide free (AB313703)
  • WB

Supplier Data

Western blot - Anti-TRIP13/PCH2 antibody [EPR27063-80] - BSA and Azide free (AB313703)

This data was developed using ab313702, the same antibody clone in a different buffer formulation. Blocking and diluting buffer and concentration : 5% NFDM/TBST Lysates were freshly made and used for Western blotting immediately to minimize protein degradation. Exposure time : 180 seconds

All lanes:

Western blot - Anti-TRIP13/PCH2 antibody [EPR27063-80] (<a href='/en-us/products/primary-antibodies/trip13-pch2-antibody-epr27063-80-ab313702'>ab313702</a>) at 1/1000 dilution

Lane 1:

HeLa (human cervical adenocarcinoma epithelial cell) whole cell lysate at 20 µg

Lane 2:

293T (human embryonic kidney epithelial cell) whole cell lysate at 20 µg

Lane 3:

PC-12 (rat adrenal gland pheochromocytoma cell) whole cell lysate at 20 µg

Secondary

All lanes:

Western blot - Goat Anti-Rabbit IgG H&L (HRP) (<a href='/en-us/products/secondary-antibodies/goat-rabbit-igg-h-l-hrp-ab97051'>ab97051</a>) at 1/100000 dilution

Observed band size: 49 kDa

false

Exposure time: 180s

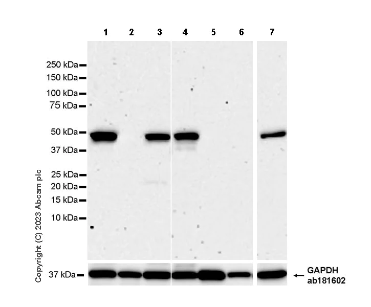
Western blot - Anti-TRIP13/PCH2 antibody [EPR27063-80] - BSA and Azide free (AB313703)
  • WB

Supplier Data

Western blot - Anti-TRIP13/PCH2 antibody [EPR27063-80] - BSA and Azide free (AB313703)

This data was developed using ab313702, the same antibody clone in a different buffer formulation. Blocking and diluting buffer and concentration : 5% NFDM/TBST Negative control : human skeletal muscle, human pancreas. Performed under reducing conditions. In Western blot, ab313702 was shown to bind specifically to TRIP13. Target of interest was observed at 49 kDa in wild-type HEK293T cell lysates (lane 1, wild-type cell line ab255449) with no signal observed at this size in TRIP13 knockout cell line (lane 2, knockout cell line ab266495 / knockout cell lysate ab258736). In Western blot, anti-GAPDH antibody (ab181602) loading control staining at 1/200000 dilution. Exposure time : 180 seconds

All lanes:

Western blot - Anti-TRIP13/PCH2 antibody [EPR27063-80] (<a href='/en-us/products/primary-antibodies/trip13-pch2-antibody-epr27063-80-ab313702'>ab313702</a>) at 1/1000 dilution

Lane 1:

Wild-type HEK293T (human embryonic kidney epithelial cell) whole cell lysate at 20 µg

Lane 2:

TRIP13 knockout HEK293T whole cell lysate at 20 µg

Lane 3:

Jurkat (human T cell leukemia T lymphocyte from peripheral blood) whole cell lysate at 20 µg

Lane 4:

Human testis tissue lysate at 20 µg

Lane 5:

Human skeletal muscle tissue lysate at 20 µg

Lane 6:

Human pancreas tissue lysate at 20 µg

Lane 7:

Rat testis tissue lysate at 20 µg

Secondary

All lanes:

Western blot - Goat Anti-Rabbit IgG H&L (HRP) (<a href='/en-us/products/secondary-antibodies/goat-rabbit-igg-h-l-hrp-ab97051'>ab97051</a>) at 1/100000 dilution

Observed band size: 49 kDa

false

Exposure time: 180s

Key facts

Host species

Rabbit

Clonality

Monoclonal

Clone number

EPR27063-80

Isotype

IgG

Carrier free

Yes

Reacts with

Human, Rat

Applications

WB, IP

applications

Immunogen

The exact immunogen used to generate this antibody is proprietary information.

Reactivity data

{ "title": "Reactivity Data", "filters": { "stats": ["", "Species", "Dilution Info", "Notes"], "tabs": { "all-applications": {"fullname" : "All Applications", "shortname": "All Applications"}, "WB" : {"fullname" : "Western blot", "shortname":"WB"}, "IP" : {"fullname" : "Immunoprecipitation", "shortname":"IP"}, "FlowCytIntra" : {"fullname" : "Flow Cytometry (Intracellular)", "shortname":"Flow Cyt (Intra)"}, "ICCIF" : {"fullname" : "Immunocytochemistry/ Immunofluorescence", "shortname":"ICC/IF"}, "IHCP" : {"fullname" : "Immunohistochemistry (Formalin/PFA-fixed paraffin-embedded sections)", "shortname":"IHC-P"} }, "product-promise": { "all": "all", "testedAndGuaranteed": "tested", "guaranteed": "expected", "predicted": "predicted", "notRecommended": "not-recommended" } }, "values": { "Human": { "WB-species-checked": "testedAndGuaranteed", "WB-species-dilution-info": "", "WB-species-notes": "<p></p>", "IP-species-checked": "testedAndGuaranteed", "IP-species-dilution-info": "", "IP-species-notes": "<p></p>", "FlowCytIntra-species-checked": "notRecommended", "FlowCytIntra-species-dilution-info": "", "FlowCytIntra-species-notes": "<p></p>", "ICCIF-species-checked": "notRecommended", "ICCIF-species-dilution-info": "", "ICCIF-species-notes": "<p></p>", "IHCP-species-checked": "notRecommended", "IHCP-species-dilution-info": "", "IHCP-species-notes": "<p></p>" }, "Mouse": { "WB-species-checked": "notRecommended", "WB-species-dilution-info": "", "WB-species-notes": "<p></p>", "IP-species-checked": "notRecommended", "IP-species-dilution-info": "", "IP-species-notes": "", "FlowCytIntra-species-checked": "notRecommended", "FlowCytIntra-species-dilution-info": "", "FlowCytIntra-species-notes": "", "ICCIF-species-checked": "notRecommended", "ICCIF-species-dilution-info": "", "ICCIF-species-notes": "", "IHCP-species-checked": "notRecommended", "IHCP-species-dilution-info": "", "IHCP-species-notes": "<p></p>" }, "Rat": { "WB-species-checked": "testedAndGuaranteed", "WB-species-dilution-info": "", "WB-species-notes": "<p></p>", "IP-species-checked": "guaranteed", "IP-species-dilution-info": "", "IP-species-notes": "", "FlowCytIntra-species-checked": "notRecommended", "FlowCytIntra-species-dilution-info": "", "FlowCytIntra-species-notes": "", "ICCIF-species-checked": "notRecommended", "ICCIF-species-dilution-info": "", "ICCIF-species-notes": "", "IHCP-species-checked": "notRecommended", "IHCP-species-dilution-info": "", "IHCP-species-notes": "<p></p>" } } }

Product details

Patented technology
Our RabMAb® technology is a patented hybridoma-based technology for making rabbit monoclonal antibodies. For details on our patents, please refer to RabMAb® patents.

What are the advantages of a recombinant monoclonal antibody?
This product is a recombinant monoclonal antibody, which offers several advantages including:

  • - High batch-to-batch consistency and reproducibility
  • - Improved sensitivity and specificity
  • - Long-term security of supply
  • - Animal-free batch production

For more information, read more on recombinant antibodies.

Conjugation ready
Our carrier-free antibodies are typically supplied in a PBS-only formulation, purified and free of BSA, sodium azide and glycerol. This conjugation-ready format is designed for use with fluorochromes, metal isotopes, oligonucleotides, and enzymes, which makes them ideal for antibody labelling, functional and cell-based assays, flow-based assays (e.g. mass cytometry) and Multiplex Imaging applications.

Use our conjugation kits for antibody conjugates that are ready-to-use in as little as 20 minutes with 1 minute hands-on-time and 100% antibody recovery: available for fluorescent dyes, HRP, biotin and gold.

Compatibility
This product is compatible with the Maxpar® Antibody Labeling Kit from Fluidigm, without the need for antibody preparation. Maxpar® is a trademark of Fluidigm Canada Inc.

Properties and storage information

Form
Liquid
Purification technique
Affinity purification Protein A
Storage buffer
pH: 7.2 - 7.4 Constituents: PBS
Shipped at conditions
Blue Ice
Appropriate short-term storage conditions
+4°C
Appropriate long-term storage conditions
+4°C

Supplementary information

This supplementary information is collated from multiple sources and compiled automatically.

TRIP13 also known as PCH2 is a protein involved in the regulation of chromosome dynamics during meiosis and mitosis. It is approximately 48 kDa in size. TRIP13 plays an important role in promoting the disassembly of the synaptonemal complex and ensuring proper chromosome segregation. This protein is expressed in various tissues but shows higher levels in testis suggesting its importance in reproductive cell division.
Biological function summary

TRIP13 contributes to efficient cell cycle progression by participating in the spindle assembly checkpoint (SAC). It forms part of the mitotic checkpoint complex ensuring that chromosomes are correctly attached to the spindle microtubules before progression through mitosis. TRIP13 works in conjunction with other proteins like MAD2 and BUB1 to maintain genomic stability.

Pathways

TRIP13 is involved in the cell cycle control and DNA repair pathways. It influences the mitotic spindle checkpoint interacting with proteins such as MAD2 which ensures that cells do not proceed to anaphase until all chromosomes reach proper alignment. TRIP13 also plays a role in homologous recombination repair by regulating the processing of recombination intermediates.

TRIP13 has been implicated in cancer and infertility. Its overexpression or mutation has been linked to tumor progression and resistance to certain chemotherapeutic agents due to its role in chromosome segregation and genomic stability. Additionally TRIP13 dysfunction may contribute to infertility through its impact on meiosis with potential interactions with proteins involved in reproductive processes such as SYCP3.

Product protocols

For this product, it's our understanding that no specific protocols are required. You can visit:

Target data

Plays a key role in chromosome recombination and chromosome structure development during meiosis. Required at early steps in meiotic recombination that leads to non-crossovers pathways. Also needed for efficient completion of homologous synapsis by influencing crossover distribution along the chromosomes affecting both crossovers and non-crossovers pathways. Also required for development of higher-order chromosome structures and is needed for synaptonemal-complex formation. In males, required for efficient synapsis of the sex chromosomes and for sex body formation. Promotes early steps of the DNA double-strand breaks (DSBs) repair process upstream of the assembly of RAD51 complexes. Required for depletion of HORMAD1 and HORMAD2 from synapsed chromosomes (By similarity). Plays a role in mitotic spindle assembly checkpoint (SAC) activation (PubMed : 28553959).
See full target information TRIP13

Product promise

We are committed to supporting your work with high-quality reagents, and we're here for you every step of the way. In the unlikely event that one of our products does not perform as expected, you're protected by our Product Promise.
For full details, please see our Terms & Conditions

Please note: All products are 'FOR RESEARCH USE ONLY. NOT FOR USE IN DIAGNOSTIC OR THERAPEUTIC PROCEDURES'.

For licensing inquiries, please contact partnerships@abcam.com