JavaScript is disabled in your browser. Please enable JavaScript to view this website.
AB273646

Anti-Tristetraprolin/TTP antibody [OTI8B5] - BSA and Azide free

Be the first to review this product! Submit a review

|

(2 Publications)

Mouse Monoclonal Tristetraprolin/TTP antibody. Carrier free. Suitable for IHC-P, WB, ICC/IF, Flow Cyt (Intra) and reacts with Human, Mouse, Dog, African green monkey, Transfected cell lysate - Human, Transfected cell line - Human samples. Cited in 2 publications. Immunogen corresponding to Recombinant Full Length Protein corresponding to Human ZFP36.

View Alternative Names

G0S24, NUP475, RNF162A, TIS11A, TTP, ZFP36, mRNA decay activator protein ZFP36, G0/G1 switch regulatory protein 24, Growth factor-inducible nuclear protein NUP475, Tristetraprolin, Zinc finger protein 36, Zfp-36

7 Images
Immunohistochemistry (Formalin/PFA-fixed paraffin-embedded sections) - Anti-Tristetraprolin/TTP antibody [OTI8B5] - BSA and Azide free (AB273646)
  • IHC-P

Supplier Data

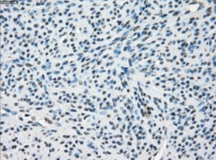
Immunohistochemistry (Formalin/PFA-fixed paraffin-embedded sections) - Anti-Tristetraprolin/TTP antibody [OTI8B5] - BSA and Azide free (AB273646)

Immunohistochemical analysis of paraffin-embedded human endometrium tissue staining TTP using ab124024 at 1/50 dilution.

This data was developed using the same antibody clone in a different buffer formulation containing PBS, BSA, glycerol, and sodium azide (ab124024).

Immunohistochemistry (Formalin/PFA-fixed paraffin-embedded sections) - Anti-Tristetraprolin/TTP antibody [OTI8B5] - BSA and Azide free (AB273646)
  • IHC-P

Supplier Data

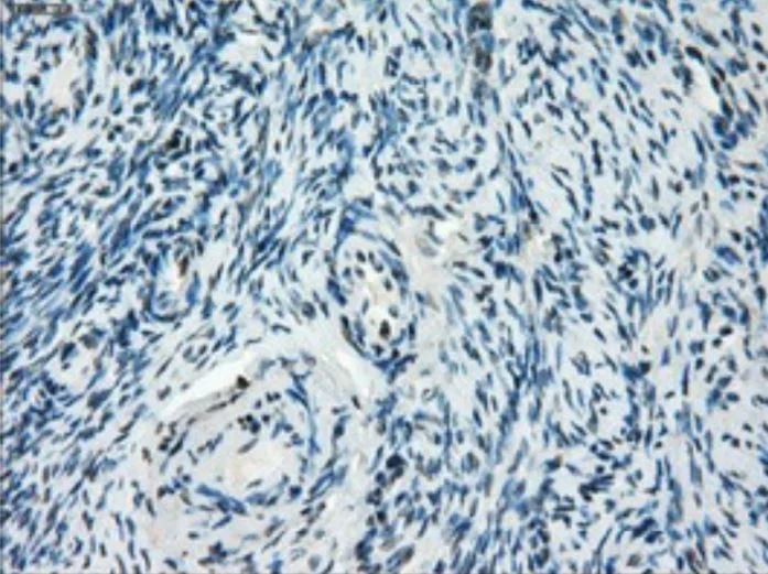
Immunohistochemistry (Formalin/PFA-fixed paraffin-embedded sections) - Anti-Tristetraprolin/TTP antibody [OTI8B5] - BSA and Azide free (AB273646)

Immunohistochemical analysis of paraffin-embedded human ovary tissue staining TTP using ab124024 at 1/50 dilution.

This data was developed using the same antibody clone in a different buffer formulation containing PBS, BSA, glycerol, and sodium azide (ab124024).

Flow Cytometry (Intracellular) - Anti-Tristetraprolin/TTP antibody [OTI8B5] - BSA and Azide free (AB273646)
  • Flow Cyt (Intra)

Supplier Data

Flow Cytometry (Intracellular) - Anti-Tristetraprolin/TTP antibody [OTI8B5] - BSA and Azide free (AB273646)

HEK-293T cells transfected with either overexpressed plasmid (Red) or empty vector control plasmid (Blue) were immunostained by
ab124024, and then analyzed by flow cytometry (Intracellular).

This data was developed using the same antibody clone in a different buffer formulation containing PBS, BSA, glycerol, and sodium azide (ab124024).

Immunohistochemistry (Formalin/PFA-fixed paraffin-embedded sections) - Anti-Tristetraprolin/TTP antibody [OTI8B5] - BSA and Azide free (AB273646)
  • IHC-P

Supplier Data

Immunohistochemistry (Formalin/PFA-fixed paraffin-embedded sections) - Anti-Tristetraprolin/TTP antibody [OTI8B5] - BSA and Azide free (AB273646)

Immunohistochemical analysis of paraffin-embedded human prostate tissue staining TTP using ab124024 at 1/50 dilution.

This data was developed using the same antibody clone in a different buffer formulation containing PBS, BSA, glycerol, and sodium azide (ab124024).

Immunohistochemistry (Formalin/PFA-fixed paraffin-embedded sections) - Anti-Tristetraprolin/TTP antibody [OTI8B5] - BSA and Azide free (AB273646)
  • IHC-P

Supplier Data

Immunohistochemistry (Formalin/PFA-fixed paraffin-embedded sections) - Anti-Tristetraprolin/TTP antibody [OTI8B5] - BSA and Azide free (AB273646)

Immunohistochemical analysis of paraffin-embedded human colon tissue staining TTP using ab124024 at 1/50 dilution.

This data was developed using the same antibody clone in a different buffer formulation containing PBS, BSA, glycerol, and sodium azide (ab124024).

Western blot - Anti-Tristetraprolin/TTP antibody [OTI8B5] - BSA and Azide free (AB273646)
  • WB

Supplier Data

Western blot - Anti-Tristetraprolin/TTP antibody [OTI8B5] - BSA and Azide free (AB273646)

All lanes:

Western blot - Anti-Tristetraprolin/TTP antibody [OTI8B5] - BSA and Azide free (ab273646) at 1/200 dilution

Lane 1:

HeLa (human epithelial cell line from cervix adenocarcinoma) whole cell lysate at 10 µg

Lane 2:

SV-T2 (Simian Virus 40-transformed BALB/c mouse embryo fibroblasts cell line) whole cell lysate at 10 µg

Lane 3:

A549 (human lung carcinoma cell line) whole cell lysate at 10 µg

Lane 4:

COS-7 (african green monkey kidney fibroblast-like cell line) whole cell lysate at 10 µg

Lane 5:

Jurkat (human T cell leukemia cell line from peripheral blood) whole cell lysate at 10 µg

Lane 6:

MDCK (canine kidney cell line) whole cell lysate at 10 µg

Lane 7:

MCF7 (human breast adenocarcinoma cell line) whole cell lysate at 10 µg

Predicted band size: 34 kDa

false

Western blot - Anti-Tristetraprolin/TTP antibody [OTI8B5] - BSA and Azide free (AB273646)
  • WB

Supplier Data

Western blot - Anti-Tristetraprolin/TTP antibody [OTI8B5] - BSA and Azide free (AB273646)

All lanes:

Western blot - Anti-Tristetraprolin/TTP antibody [OTI8B5] - BSA and Azide free (ab273646) at 1/1000 dilution

Lane 1:

pCMV6-ENTRY control-transfected HEK-293T (human epithelial cell line from embryonic kidney transformed with large T antigen) cell lysate at 5 µg

Lane 2:

pCMV6-ENTRY ZFP36-transfected HEK-293T cell lysate at 5 µg

Predicted band size: 34 kDa

false

Key facts

Host species

Mouse

Clonality

Monoclonal

Clone number

OTI8B5

Isotype

IgG1

Carrier free

Yes

Reacts with

Mouse, Dog, Human, African green monkey

Applications

IHC-P, WB, Flow Cyt (Intra), ICC/IF

applications

Immunogen

Recombinant Full Length Protein corresponding to Human ZFP36.

P26651

Reactivity data

{ "title": "Reactivity Data", "filters": { "stats": ["", "Species", "Dilution Info", "Notes"], "tabs": { "all-applications": {"fullname" : "All Applications", "shortname": "All Applications"}, "IHCP" : {"fullname" : "Immunohistochemistry (Formalin/PFA-fixed paraffin-embedded sections)", "shortname":"IHC-P"}, "WB" : {"fullname" : "Western blot", "shortname":"WB"}, "ICCIF" : {"fullname" : "Immunocytochemistry/ Immunofluorescence", "shortname":"ICC/IF"}, "FlowCytIntra" : {"fullname" : "Flow Cytometry (Intracellular)", "shortname":"Flow Cyt (Intra)"} }, "product-promise": { "all": "all", "testedAndGuaranteed": "tested", "guaranteed": "expected", "predicted": "predicted", "notRecommended": "not-recommended" } }, "values": { "Human": { "IHCP-species-checked": "testedAndGuaranteed", "IHCP-species-dilution-info": "1/50", "IHCP-species-notes": "<p></p>", "WB-species-checked": "testedAndGuaranteed", "WB-species-dilution-info": "1/1000", "WB-species-notes": "<p></p>", "ICCIF-species-checked": "guaranteed", "ICCIF-species-dilution-info": "", "ICCIF-species-notes": "", "FlowCytIntra-species-checked": "guaranteed", "FlowCytIntra-species-dilution-info": "", "FlowCytIntra-species-notes": "" }, "Mouse": { "IHCP-species-checked": "guaranteed", "IHCP-species-dilution-info": "", "IHCP-species-notes": "", "WB-species-checked": "testedAndGuaranteed", "WB-species-dilution-info": "1/1000", "WB-species-notes": "<p></p>", "ICCIF-species-checked": "guaranteed", "ICCIF-species-dilution-info": "", "ICCIF-species-notes": "", "FlowCytIntra-species-checked": "guaranteed", "FlowCytIntra-species-dilution-info": "", "FlowCytIntra-species-notes": "" }, "African green monkey": { "IHCP-species-checked": "guaranteed", "IHCP-species-dilution-info": "", "IHCP-species-notes": "", "WB-species-checked": "testedAndGuaranteed", "WB-species-dilution-info": "1/1000", "WB-species-notes": "<p></p>", "ICCIF-species-checked": "guaranteed", "ICCIF-species-dilution-info": "", "ICCIF-species-notes": "", "FlowCytIntra-species-checked": "guaranteed", "FlowCytIntra-species-dilution-info": "", "FlowCytIntra-species-notes": "" }, "Dog": { "IHCP-species-checked": "guaranteed", "IHCP-species-dilution-info": "", "IHCP-species-notes": "", "WB-species-checked": "testedAndGuaranteed", "WB-species-dilution-info": "1/1000", "WB-species-notes": "<p></p>", "ICCIF-species-checked": "guaranteed", "ICCIF-species-dilution-info": "", "ICCIF-species-notes": "", "FlowCytIntra-species-checked": "guaranteed", "FlowCytIntra-species-dilution-info": "", "FlowCytIntra-species-notes": "" }, "Transfected cell line - Human": { "IHCP-species-checked": "notRecommended", "IHCP-species-dilution-info": "", "IHCP-species-notes": "", "WB-species-checked": "notRecommended", "WB-species-dilution-info": "", "WB-species-notes": "", "ICCIF-species-checked": "testedAndGuaranteed", "ICCIF-species-dilution-info": "1/100", "ICCIF-species-notes": "<p></p>", "FlowCytIntra-species-checked": "testedAndGuaranteed", "FlowCytIntra-species-dilution-info": "1/100", "FlowCytIntra-species-notes": "<p></p>" }, "Transfected cell lysate - Human": { "IHCP-species-checked": "notRecommended", "IHCP-species-dilution-info": "", "IHCP-species-notes": "", "WB-species-checked": "testedAndGuaranteed", "WB-species-dilution-info": "1/1000", "WB-species-notes": "<p></p>", "ICCIF-species-checked": "notRecommended", "ICCIF-species-dilution-info": "", "ICCIF-species-notes": "", "FlowCytIntra-species-checked": "notRecommended", "FlowCytIntra-species-dilution-info": "", "FlowCytIntra-species-notes": "" } } }

Product details

ab273646 is the carrier-free version of ab124024.

Conjugation ready
Our carrier-free antibodies are typically supplied in a PBS-only formulation, purified and free of BSA, sodium azide and glycerol. This conjugation-ready format is designed for use with fluorochromes, metal isotopes, oligonucleotides, and enzymes, which makes them ideal for antibody labelling, functional and cell-based assays, flow-based assays (e.g. mass cytometry) and Multiplex Imaging applications.

Use our conjugation kits for antibody conjugates that are ready-to-use in as little as 20 minutes with 1 minute hands-on-time and 100% antibody recovery: available for fluorescent dyes, HRP, biotin and gold.

Properties and storage information

Form
Liquid
Purification technique
Affinity purification Protein A/G
Storage buffer
pH: 7.3 Constituents: PBS
Shipped at conditions
Blue Ice
Appropriate short-term storage duration
1-2 weeks
Appropriate short-term storage conditions
+4°C
Appropriate long-term storage conditions
-20°C
Aliquoting information
Upon delivery aliquot
Storage information
Avoid freeze / thaw cycle

Supplementary information

This supplementary information is collated from multiple sources and compiled automatically.

Tristetraprolin (TTP) also called ZFP36 is a protein that regulates mRNA stability and decay. It has a molecular mass of approximately 36 kDa. TTP usually resides in the cytoplasm and nucleus of a cell. Many types of tissues especially those involved in immune response express TTP. Researchers have identified TTP as part of a family of CCCH zinc-finger proteins which play key roles in mRNA turnover by binding to AU-rich elements in the 3' untranslated regions of target mRNAs.
Biological function summary

TTP controls the degradation of cytokine mRNAs such as TNF-alpha and GM-CSF by inducing deadenylation and subsequent decay. As part of mRNA degradation complexes TTP recruits enzymes that participate in the deadenylation process ensuring precise regulation of gene expression. This ability to selectively regulate mRNA levels helps balance the production of proteins important for inflammation immune responses and cell growth. Through these processes TTP maintains cellular homeostasis and modulates responses to environmental changes.

Pathways

TTP functions within the anti-inflammatory pathway by modulating cytokine levels and the NF-kappaB signaling pathway which are important for cellular stress responses and immune regulation. It affects these pathways by interacting with several proteins including 14-3-3 that regulate its activity and localization. Another key interaction is with deadenylase complexes like CAF1 which are integral in carrying out mRNA decay. These interactions allow TTP to effectively manage inflammatory responses reinforcing its regulatory role in immune system pathways.

Altered TTP expression or function links to autoimmune diseases and certain cancers. In autoimmune conditions like rheumatoid arthritis reduced TTP levels are associated with an overproduction of inflammatory cytokines. This imbalance leads to chronic inflammation and tissue damage. In cancers especially breast cancer TTP downregulation can contribute to tumor progression by allowing increased expression of mRNAs involved in cell proliferation and survival. Other proteins such as TNF-alpha and IL-6 have been observed to interact closely with TTP in these disease contexts.

Product protocols

For this product, it's our understanding that no specific protocols are required. You can visit:

Target data

Zinc-finger RNA-binding protein that destabilizes several cytoplasmic AU-rich element (ARE)-containing mRNA transcripts by promoting their poly(A) tail removal or deadenylation, and hence provide a mechanism for attenuating protein synthesis (PubMed : 10330172, PubMed : 10751406, PubMed : 11279239, PubMed : 12115244, PubMed : 12748283, PubMed : 15187101, PubMed : 15634918, PubMed : 16702957, PubMed : 17030620, PubMed : 20221403, PubMed : 20702587, PubMed : 21775632, PubMed : 23644599, PubMed : 25815583, PubMed : 27193233, PubMed : 31439631, PubMed : 9703499). Acts as an 3'-untranslated region (UTR) ARE mRNA-binding adapter protein to communicate signaling events to the mRNA decay machinery (PubMed : 15687258, PubMed : 23644599). Recruits deadenylase CNOT7 (and probably the CCR4-NOT complex) via association with CNOT1, and hence promotes ARE-mediated mRNA deadenylation (PubMed : 23644599). Functions also by recruiting components of the cytoplasmic RNA decay machinery to the bound ARE-containing mRNAs (PubMed : 11719186, PubMed : 12748283, PubMed : 15687258, PubMed : 16364915). Self regulates by destabilizing its own mRNA (PubMed : 15187101). Binds to 3'-UTR ARE of numerous mRNAs and of its own mRNA (PubMed : 10330172, PubMed : 10751406, PubMed : 12115244, PubMed : 15187101, PubMed : 15634918, PubMed : 16702957, PubMed : 17030620, PubMed : 19188452, PubMed : 20221403, PubMed : 20702587, PubMed : 21775632, PubMed : 25815583). Plays a role in anti-inflammatory responses; suppresses tumor necrosis factor (TNF)-alpha production by stimulating ARE-mediated TNF mRNA decay and several other inflammatory ARE-containing mRNAs in interferon (IFN)- and/or lipopolysaccharide (LPS)-induced macrophages (By similarity). Also plays a role in the regulation of dendritic cell maturation at the post-transcriptional level, and hence operates as part of a negative feedback loop to limit the inflammatory response (PubMed : 18367721). Promotes ARE-mediated mRNA decay of hypoxia-inducible factor HIF1A mRNA during the response of endothelial cells to hypoxia (PubMed : 21775632). Positively regulates early adipogenesis of preadipocytes by promoting ARE-mediated mRNA decay of immediate early genes (IEGs) (By similarity). Negatively regulates hematopoietic/erythroid cell differentiation by promoting ARE-mediated mRNA decay of the transcription factor STAT5B mRNA (PubMed : 20702587). Plays a role in maintaining skeletal muscle satellite cell quiescence by promoting ARE-mediated mRNA decay of the myogenic determination factor MYOD1 mRNA (By similarity). Associates also with and regulates the expression of non-ARE-containing target mRNAs at the post-transcriptional level, such as MHC class I mRNAs (PubMed : 18367721). Participates in association with argonaute RISC catalytic components in the ARE-mediated mRNA decay mechanism; assists microRNA (miRNA) targeting ARE-containing mRNAs (PubMed : 15766526). May also play a role in the regulation of cytoplasmic mRNA decapping; enhances decapping of ARE-containing RNAs, in vitro (PubMed : 16364915). Involved in the delivery of target ARE-mRNAs to processing bodies (PBs) (PubMed : 17369404). In addition to its cytosolic mRNA-decay function, affects nuclear pre-mRNA processing (By similarity). Negatively regulates nuclear poly(A)-binding protein PABPN1-stimulated polyadenylation activity on ARE-containing pre-mRNA during LPS-stimulated macrophages (By similarity). Also involved in the regulation of stress granule (SG) and P-body (PB) formation and fusion (By similarity). Plays a role in the regulation of keratinocyte proliferation, differentiation and apoptosis (PubMed : 27182009). Plays a role as a tumor suppressor by inhibiting cell proliferation in breast cancer cells (PubMed : 26926077).. (Microbial infection) Negatively regulates HTLV-1 TAX-dependent transactivation of viral long terminal repeat (LTR) promoter.
See full target information ZFP36

Publications (2)

Recent publications for all applications. Explore the full list and refine your search

Molecular and cellular biology 44:87-102 PubMed38520226

2024

LncRNA AA465934 Improves Podocyte Injury by Promoting Tristetraprolin-Mediated HMGB1 DownRegulation in Diabetic Nephropathy.

Applications

Unspecified application

Species

Unspecified reactive species

Nan Yang,Yue Zhang,Peiyao Ren,Li Zhao,Danna Zheng,Lanjun Fu,Juan Jin

Cancer cell 40:720-737.e5 PubMed35660135

2022

Exercise-induced engagement of the IL-15/IL-15Rα axis promotes anti-tumor immunity in pancreatic cancer.

Applications

Unspecified application

Species

Unspecified reactive species

Emma Kurz,Carolina Alcantara Hirsch,Tanner Dalton,Sorin Alberto Shadaloey,Alireza Khodadadi-Jamayran,George Miller,Sumedha Pareek,Hajar Rajaei,Chirayu Mohindroo,Seyda Baydogan,An Ngo-Huang,Nathan Parker,Matthew H G Katz,Maria Petzel,Emily Vucic,Florencia McAllister,Keri Schadler,Rafael Winograd,Dafna Bar-Sagi
View all publications

Product promise

We are committed to supporting your work with high-quality reagents, and we're here for you every step of the way. In the unlikely event that one of our products does not perform as expected, you're protected by our Product Promise.
For full details, please see our Terms & Conditions

Please note: All products are 'FOR RESEARCH USE ONLY. NOT FOR USE IN DIAGNOSTIC OR THERAPEUTIC PROCEDURES'.

For licensing inquiries, please contact partnerships@abcam.com