JavaScript is disabled in your browser. Please enable JavaScript to view this website.
AB229908

Anti-TrkA (phospho Y674)+TrkB (phospho Y706)+TrkC (phospho Y709) antibody [EPR22298-67]

Be the first to review this product! Submit a review

|

(31 Publications)

Anti-TrkA (phospho Y674) + TrkB (phospho Y706) + TrkC (phospho Y709) antibody [EPR22298-67] (ab229908) is a rabbit monoclonal antibody detecting TrkA in Western Blot, Dot Blot. Suitable for Human, Mouse, Rat.

- Biophysical QC for unrivalled batch-batch consistency
- Over 10 publications

View Alternative Names

TRKB, NTRK2, BDNF/NT-3 growth factors receptor, GP145-TrkB, Neurotrophic tyrosine kinase receptor type 2, TrkB tyrosine kinase, Tropomyosin-related kinase B, Trk-B

9 Images
Western blot - Anti-TrkA (phospho Y674)+TrkB (phospho Y706)+TrkC (phospho Y709) antibody [EPR22298-67] (AB229908)
  • WB

Unknown

Western blot - Anti-TrkA (phospho Y674)+TrkB (phospho Y706)+TrkC (phospho Y709) antibody [EPR22298-67] (AB229908)

Blocking/Diluting buffer and concentration : 5% NFDM/TBST

Observed MW : 140 kDA

All lanes:

Western blot - Anti-TrkA (phospho Y674)+TrkB (phospho Y706)+TrkC (phospho Y709) antibody [EPR22298-67] (ab229908) at 1/1000 dilution

Lane 1:

Human brain at 20 µg

Lane 2:

Human Hippocampus at 20 µg

Lane 3:

Human cerebellum at 20 µg

Lane 4:

Human spinal cord at 20 µg

Secondary

All lanes:

Goat Anti-Rabbit IgG (HRP) with minimal cross-reactivity with human IgG at 1/2000 dilution

Predicted band size: 92 kDa

false

Exposure time: 5s

Western blot - Anti-TrkA (phospho Y674)+TrkB (phospho Y706)+TrkC (phospho Y709) antibody [EPR22298-67] (AB229908)
  • WB

Lab

Western blot - Anti-TrkA (phospho Y674)+TrkB (phospho Y706)+TrkC (phospho Y709) antibody [EPR22298-67] (AB229908)

Blocking buffer and dilution concentration : 5% NFDM/TBST.

Lanes 1 - 4:

Western blot - Anti-TrkA (phospho Y674)+TrkB (phospho Y706)+TrkC (phospho Y709) antibody [EPR22298-67] (ab229908) at 1/1000 dilution

Lanes 1 - 4:

Western blot - Anti-TrkA (pY674) + TrkB (pY706) + TrkC (pY709) antibody [EPR22298-67] - BSA and Azide free (<a href='/en-us/products/primary-antibodies/trka-phospho-y674trkb-phospho-y706trkc-phospho-y709-antibody-epr22298-67-bsa-and-azide-free-ab264070'>ab264070</a>) at 1/1000 dilution

Lane 1:

293T (human embryonic kidney epithelial cell) cells transfected with an empty vector containing a His-tag, whole cell lysate at 20 µg

Lane 2:

293T cells transfected with a human TrkA expression vector containing a His-tag, whole cell lysate at 20 µg

Lane 3:

293T cells transfected with a human TrkB expression vector containing a His-tag, whole cell lysate at 20 µg

Lane 4:

293T cells transfected with a human TrkC expression vector containing a His-tag, whole cell lysate at 20 µg

Secondary

All lanes:

Western blot - Goat Anti-Rabbit IgG H&L (HRP) (<a href='/en-us/products/secondary-antibodies/goat-rabbit-igg-h-l-hrp-ab97051'>ab97051</a>) at 1/100000 dilution

Observed band size: 140 kDa

false

Exposure time: 15s

Western blot - Anti-TrkA (phospho Y674)+TrkB (phospho Y706)+TrkC (phospho Y709) antibody [EPR22298-67] (AB229908)
  • WB

Lab

Western blot - Anti-TrkA (phospho Y674)+TrkB (phospho Y706)+TrkC (phospho Y709) antibody [EPR22298-67] (AB229908)

Blocking and diluting buffer and concentration : 5% NFDM/TBST

The expression profile/ molecular weight observed is consistent with what has been described in the literature (PMID : 24959744). Besides, TrkB auto-phosphorylation was observed when TrkB was over-expressed in HEK293 cells, which has been reported in the literature (PMID : 25632160).

Exposure time : 7 seconds

All lanes:

Western blot - Anti-TrkA (phospho Y674)+TrkB (phospho Y706)+TrkC (phospho Y709) antibody [EPR22298-67] (ab229908) at 1/5000 dilution

Lane 1:

HEK-293T (human embryonic kidney) transfected with an empty vector (vector control), containing a myc-His-tag®, whole cell lysate at 10 µg

Lane 2:

HEK-293T transfected with human TrkB (WT) expression vector containing a myc-His-tag®, whole cell lysate (Untreated membrane) at 10 µg

Lane 3:

HEK-293T transfected with human TrkB (WT) expression vector containing a myc-His-tag®, whole cell lysate (Phosphatase treated membrane) at 10 µg

Secondary

All lanes:

Western blot - Goat Anti-Rabbit IgG H&L (HRP) (<a href='/en-us/products/secondary-antibodies/goat-rabbit-igg-h-l-hrp-ab97051'>ab97051</a>) at 1/50000 dilution

Predicted band size: 92 kDa

Observed band size: 140 kDa

false

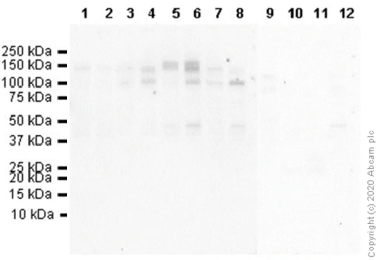
Western blot - Anti-TrkA (phospho Y674)+TrkB (phospho Y706)+TrkC (phospho Y709) antibody [EPR22298-67] (AB229908)
  • WB

Unknown

Western blot - Anti-TrkA (phospho Y674)+TrkB (phospho Y706)+TrkC (phospho Y709) antibody [EPR22298-67] (AB229908)

Blocking/Diluting buffer and concentration : 5% NFDM/TBST

Observed MW : 140 kDA

All lanes:

Western blot - Anti-TrkA (phospho Y674)+TrkB (phospho Y706)+TrkC (phospho Y709) antibody [EPR22298-67] (ab229908) at 1/1000 dilution

Lane 1:

Mouse brain lysates at 20 µg

Lane 2:

Mouse hippocampus at 20 µg

Lane 3:

Mouse P7 thalamus at 20 µg

Lane 4:

Mouse cerebellum at 20 µg

Lane 5:

Rat brain at 20 µg

Lane 6:

Rat hippocampus at 20 µg

Lane 7:

Rat P7 thalamus at 20 µg

Lane 8:

Rat cerebellum at 20 µg

Lane 9:

Mouse P5 cerebral cortex at 20 µg

Lane 10:

Mouse P3 retina at 20 µg

Lane 11:

Mouse P20 retina at 20 µg

Lane 12:

Rat spinal cord at 20 µg

Secondary

All lanes:

Goat Anti-Rabbit IgG, (H+L), Peroxidase conjugated (<a href='/en-us/products/secondary-antibodies/goat-rabbit-igg-h-l-hrp-ab97051'>ab97051</a>) at 1/20000 dilution

Predicted band size: 92 kDa

false

Exposure time: 180s

Western blot - Anti-TrkA (phospho Y674)+TrkB (phospho Y706)+TrkC (phospho Y709) antibody [EPR22298-67] (AB229908)
  • WB

Lab

Western blot - Anti-TrkA (phospho Y674)+TrkB (phospho Y706)+TrkC (phospho Y709) antibody [EPR22298-67] (AB229908)

Blocking and diluting buffer and concentration : 5% NFDM/TBST

The phosphorylation sites are conserved between TrkA and TrkB : Tyr674/675 of TrkA corresponds to Tyr706/707 in TrkB. Therefore, the TrkB (phospho T705) antibody can detect the phosphorylation of TrkA T674/675 in PC-12 cells treated with NGF. The expression profile/ molecular weight observed is consistent with what has been described in the literature (PMID : 23951412).

Exposure time : 3 minutes

All lanes:

Western blot - Anti-TrkA (phospho Y674)+TrkB (phospho Y706)+TrkC (phospho Y709) antibody [EPR22298-67] (ab229908) at 1/1000 dilution

Lane 1:

Untreated PC-12 (rat adrenal gland pheochromocytoma), whole cell lysate at 10 µg

Lane 2:

PC-12 treated with 100ng/ml NGF (<a href='/en-us/products/proteins-peptides/recombinant-human-ngf-protein-active-ab9796'>ab9796</a>) for 5 minutes at 20 µg

Secondary

All lanes:

Western blot - Goat Anti-Rabbit IgG H&L (HRP) (<a href='/en-us/products/secondary-antibodies/goat-rabbit-igg-h-l-hrp-ab97051'>ab97051</a>) at 1/50000 dilution

Predicted band size: 92 kDa

Observed band size: 140 kDa

false

Western blot - Anti-TrkA (phospho Y674)+TrkB (phospho Y706)+TrkC (phospho Y709) antibody [EPR22298-67] (AB229908)
  • WB

Lab

Western blot - Anti-TrkA (phospho Y674)+TrkB (phospho Y706)+TrkC (phospho Y709) antibody [EPR22298-67] (AB229908)

Blocking and diluting buffer and concentration : 5% NFDM/TBST

The expression profile/ molecular weight observed is consistent with what has been described in the literature (PMID : 24959744). Besides, TrkB auto-phosphorylation was observed when TrkB was over-expressed in HEK293 cells, which has been reported in the literature (PMID : 25632160).

Exposure time : 48 seconds

All lanes:

Western blot - Anti-TrkA (phospho Y674)+TrkB (phospho Y706)+TrkC (phospho Y709) antibody [EPR22298-67] (ab229908) at 1/5000 dilution

Lane 1:

HEK-293T (human embryonic kidney) transfected with an empty vector (vector control), containing a myc-His-tag®, whole cell lysate at 10 µg

Lane 2:

HEK-293T transfected with mouse TrkB (WT) expression vector containing a myc-His-tag®, starved for 6 hours, whole cell lysate at 10 µg

Lane 3:

HEK-293T transfected with mouse TrkB (WT) expression vector containing a myc-His-tag®, starved for 6 hours, then treated with 50ng/ml BDNF (<a href='/en-us/products/proteins-peptides/recombinant-human-murine-rat-bdnf-protein-active-ab9794'>ab9794</a>) for 10 minutes, whole cell lysate (Untreated membrane) at 10 µg

Lane 4:

HEK-293T transfected with mouse TrkB (WT) expression vector containing a myc-His-tag®, starved for 6 hours, then treated with 50ng/ml BDNF (<a href='/en-us/products/proteins-peptides/recombinant-human-murine-rat-bdnf-protein-active-ab9794'>ab9794</a>) for 10 minutes, whole cell lysate (Phosphatase treated membrane) at 10 µg

Lane 5:

HEK-293T transfected with mouse TrkB (mutant Y705A) expression vector containing a myc-His-tag®, whole cell lysate at 10 µg

Secondary

All lanes:

Western blot - Goat Anti-Rabbit IgG H&L (HRP) (<a href='/en-us/products/secondary-antibodies/goat-rabbit-igg-h-l-hrp-ab97051'>ab97051</a>) at 1/50000 dilution

Predicted band size: 92 kDa

Observed band size: 140 kDa

false

Western blot - Anti-TrkA (phospho Y674)+TrkB (phospho Y706)+TrkC (phospho Y709) antibody [EPR22298-67] (AB229908)
  • WB

Lab

Western blot - Anti-TrkA (phospho Y674)+TrkB (phospho Y706)+TrkC (phospho Y709) antibody [EPR22298-67] (AB229908)

Blocking and diluting buffer and concentration : 5% NFDM/TBST

ab181602 was used as a GAPDH loading control at 1/200000 dilution.

All lanes:

Western blot - Anti-TrkA (phospho Y674)+TrkB (phospho Y706)+TrkC (phospho Y709) antibody [EPR22298-67] (ab229908) at 1/1000 dilution

Lane 1:

293T (human embryonic kidney epithelial cell) cells transfected with an empty vector containing a His-tag, whole cell lysate at 20 µg

Lane 2:

293T cells transfected with a human TrkA expression vector containing a His-tag, whole cell lysate at 20 µg

Lane 3:

293T cells transfected with a human TrkB expression vector containing a His-tag, whole cell lysate at 20 µg

Lane 4:

293T cells transfected with a human TrkC expression vector containing a His-tag, whole cell lysate at 20 µg

Secondary

All lanes:

Western blot - Goat Anti-Rabbit IgG H&L (HRP) (<a href='/en-us/products/secondary-antibodies/goat-rabbit-igg-h-l-hrp-ab97051'>ab97051</a>) at 1/100000 dilution

Observed band size: 95 kDa,140 kDa

false

Exposure time: 15s

Dot Blot - Anti-TrkA (phospho Y674)+TrkB (phospho Y706)+TrkC (phospho Y709) antibody [EPR22298-67] (AB229908)
  • Dot

Unknown

Dot Blot - Anti-TrkA (phospho Y674)+TrkB (phospho Y706)+TrkC (phospho Y709) antibody [EPR22298-67] (AB229908)

Dot blot analysis using ab229908 at 1/1000 dilution, followed by a Goat Anti-Rabbit IgG, (H+L), Peroxidase conjugated (ab97051) at 1/100,000 dilution.

Lane 1 : TrkB (phospho T705) peptide (aa697-708)

Lane 2 : TrkB (phospho T705) peptide (aa702-712)

Lane 3 : TrkB non-phospho peptide (aa697-712)

Blocking/diluting buffer and concentration : 5% NFDM/TBST

Dot Blot - Anti-TrkA (phospho Y674)+TrkB (phospho Y706)+TrkC (phospho Y709) antibody [EPR22298-67] (AB229908)
  • Dot

Lab

Dot Blot - Anti-TrkA (phospho Y674)+TrkB (phospho Y706)+TrkC (phospho Y709) antibody [EPR22298-67] (AB229908)

Blocking and diluting buffer and concentration : 5% NFDM/TBST

All lanes:

Dot Blot - Anti-TrkA (phospho Y674)+TrkB (phospho Y706)+TrkC (phospho Y709) antibody [EPR22298-67] (ab229908) at 1/1000 dilution

Lane 1:

Human TrkA (phospho Y674) peptide

Lane 2:

Human TrkA (phospho Y675) peptide

Lane 3:

Human TrkA (phospho Y674/675) peptide1

Lane 4:

Human TrkA (phospho Y674/675) peptide2

Lane 5:

Human TrkA control peptide for Lane 1-4

Lane 6:

Human TrkB (phospho Y706) peptide

Lane 7:

Human TrkB (phospho Y707) peptide

Lane 8:

Human TrkB (phospho Y706/707) peptide

Lane 9:

Human TrkB control peptide for Lane 6-8

Lane 10:

Human TrkC (phospho Y709) peptide

Lane 11:

Human TrkC (phospho Y710) peptide

Lane 12:

Human TrkC (phospho Y709/710) peptide

Lane 13:

Human TrkC control peptide for Lane 10-12

Secondary

All lanes:

Dot Blot - Goat Anti-Rabbit IgG H&L (HRP) (<a href='/en-us/products/secondary-antibodies/goat-rabbit-igg-h-l-hrp-ab97051'>ab97051</a>) at 1/100000 dilution

false

Exposure time: 180s

  • Carrier free

    Anti-TrkA (pY674) + TrkB (pY706) + TrkC (pY709) antibody [EPR22298-67] - BSA and Azide free

Key facts

Host species

Rabbit

Clonality

Monoclonal

Clone number

EPR22298-67

Isotype

IgG

Carrier free

No

Reacts with

Mouse, Rat, Human

Applications

Dot, WB

applications

Immunogen

The exact immunogen used to generate this antibody is proprietary information.

Specificity

The antibody shows low affinity in the natural tissues of mouse and rat

Reactivity data

{ "title": "Reactivity Data", "filters": { "stats": ["", "Species", "Dilution Info", "Notes"], "tabs": { "all-applications": {"fullname" : "All Applications", "shortname": "All Applications"}, "Dot" : {"fullname" : "Dot Blot", "shortname":"Dot"}, "WB" : {"fullname" : "Western blot", "shortname":"WB"}, "IHCP" : {"fullname" : "Immunohistochemistry (Formalin/PFA-fixed paraffin-embedded sections)", "shortname":"IHC-P"}, "ICCIF" : {"fullname" : "Immunocytochemistry/ Immunofluorescence", "shortname":"ICC/IF"}, "ChIPseq" : {"fullname" : "ChIP-sequencing", "shortname":"ChIP-seq"} }, "product-promise": { "all": "all", "testedAndGuaranteed": "tested", "guaranteed": "expected", "predicted": "predicted", "notRecommended": "not-recommended" } }, "values": { "Human": { "Dot-species-checked": "testedAndGuaranteed", "Dot-species-dilution-info": "1/1000", "Dot-species-notes": "<p></p>", "WB-species-checked": "testedAndGuaranteed", "WB-species-dilution-info": "1/1000", "WB-species-notes": "<p></p>", "IHCP-species-checked": "notRecommended", "IHCP-species-dilution-info": "", "IHCP-species-notes": "<p></p>", "ICCIF-species-checked": "notRecommended", "ICCIF-species-dilution-info": "", "ICCIF-species-notes": "", "ChIPseq-species-checked": "notRecommended", "ChIPseq-species-dilution-info": "", "ChIPseq-species-notes": "<p></p>" }, "Mouse": { "Dot-species-checked": "guaranteed", "Dot-species-dilution-info": "", "Dot-species-notes": "", "WB-species-checked": "testedAndGuaranteed", "WB-species-dilution-info": "1/1000", "WB-species-notes": "<p></p>", "IHCP-species-checked": "notRecommended", "IHCP-species-dilution-info": "", "IHCP-species-notes": "<p></p>", "ICCIF-species-checked": "notRecommended", "ICCIF-species-dilution-info": "", "ICCIF-species-notes": "", "ChIPseq-species-checked": "notRecommended", "ChIPseq-species-dilution-info": "", "ChIPseq-species-notes": "<p></p>" }, "Rat": { "Dot-species-checked": "guaranteed", "Dot-species-dilution-info": "", "Dot-species-notes": "", "WB-species-checked": "testedAndGuaranteed", "WB-species-dilution-info": "1/1000", "WB-species-notes": "<p></p>", "IHCP-species-checked": "notRecommended", "IHCP-species-dilution-info": "", "IHCP-species-notes": "<p></p>", "ICCIF-species-checked": "notRecommended", "ICCIF-species-dilution-info": "", "ICCIF-species-notes": "<p></p>", "ChIPseq-species-checked": "notRecommended", "ChIPseq-species-dilution-info": "", "ChIPseq-species-notes": "<p></p>" } } }

Product details

What is this antibody validated in?
Anti-TrkA (phospho Y674) + TrkB (phospho Y706) + TrkC (phospho Y709) antibody [EPR22298-67] (ab229908) is a rabbit recombinant monoclonal antibody and is validated for use in Western Blot (WB), Dot Blot in Human, Mouse, Rat samples.

What is the molecular weight of TrkA?
Anti-TrkA (phospho Y674) + TrkB (phospho Y706) + TrkC (phospho Y709) antibody [EPR22298-67] (ab229908) specifically detects a band for TrkA (UniProt: Q16288) at a molecular weight of 92kDa.

Trusted by the scientific community
Anti-TrkA (phospho Y674) + TrkB (phospho Y706) + TrkC (phospho Y709) antibody [EPR22298-67] (ab229908) was first used in a scientific publication in 2019 and has been cited over 10 times in peer-reviewed journals.

Trial sizes available!
Test your antibody or perform pre-screening before committing to a larger quantity. Sold in 10µl. Discover our selection of trial-size antibodies.

Patented technology
Our RabMAb® technology is a patented hybridoma-based technology for making rabbit monoclonal antibodies. For details on our patents, please refer to RabMAb® patents.

What are the advantages of a recombinant monoclonal antibody?
This product is a recombinant monoclonal antibody, which offers several advantages including:

  • - High batch-to-batch consistency and reproducibility
  • - Improved sensitivity and specificity
  • - Long-term security of supply
  • - Animal-free batch production

For more information, read more on recombinant antibodies.

Properties and storage information

Form
Liquid
Purification technique
Affinity purification Protein A
Storage buffer
pH: 7.2 - 7.4 Preservative: 0.01% Sodium azide Constituents: PBS, 40% Glycerol (glycerin, glycerine), 0.05% BSA
Shipped at conditions
Blue Ice
Appropriate short-term storage duration
1-2 weeks
Appropriate short-term storage conditions
+4°C
Appropriate long-term storage conditions
-20°C
Aliquoting information
Upon delivery aliquot
Storage information
Avoid freeze / thaw cycle

Supplementary information

This supplementary information is collated from multiple sources and compiled automatically.

TrkB also known as Neurotrophic Tyrosine Kinase Receptor Type 2 (NTRK2) is a cell surface receptor with a mass of approximately 145 kDa. It binds brain-derived neurotrophic factor (BDNF) and is widely expressed in the central nervous system particularly in areas like the hippocampus cortex and cerebellum. TrkB belongs to the family of receptor tyrosine kinases functioning by catalyzing the transfer of a phosphate group from ATP to specific tyrosine residues on substrate proteins in the receptor triggering downstream signaling cascades.
Biological function summary

TrkB plays essential roles in neuronal survival differentiation and synaptic plasticity. It acts as an important mediator for the effects of neurotrophins primarily BDNF on neurons. While TrkB itself is not part of a multi-protein complex it interacts closely with several adaptor proteins post-activation to propagate survival and proliferation signals within the neuron. These biochemical interactions greatly influence neurodevelopment and cognitive functions.

Pathways

TrkB is a pivotal player in both the MAPK/ERK and PI3K/AKT pathways. Upon BDNF binding TrkB undergoes autophosphorylation triggering these pathways which are critically involved in cell survival and growth. Other proteins such as SHC1 and PLCγ interact with TrkB in these pathways extending the range of cellular responses to neurotrophin signaling facilitating processes like neuronal plasticity and memory formation.

TrkB has significant implications in neurological conditions like Alzheimer's disease and depression. In Alzheimer's disease alterations in TrkB signaling can result in impaired cognitive functions and neuronal loss where it interacts with proteins like amyloid-beta contributing to disease progression. In depression dysfunctional BDNF-TrkB signaling impacts mood regulation and resilience linking TrkB with alterations in serotonin receptor signaling emphasizing its role in mood disorders.

Product protocols

For this product, it's our understanding that no specific protocols are required. You can visit:

Target data

The protein expressed by the NTRK2 gene functions as a receptor for BDNF/brain-derived neurotrophic factor and NTF4/neurotrophin-4, and can also bind to NTF3/neurotrophin-3, although this interaction is less efficient. Upon binding with its ligands, the receptor undergoes homodimerization, autophosphorylation, and activation, enabling it to recruit, phosphorylate, and/or activate several downstream effectors like SHC1, FRS2, SH2B1, SH2B2, and PLCG1. These effectors regulate distinct but overlapping signaling cascades. Through SHC1, FRS2, SH2B1, and SH2B2, NTRK2 activates the GRB2-Ras-MAPK cascade, which regulates neuronal differentiation including neurite outgrowth, as well as the Ras-PI3 kinase-AKT1 signaling cascade, which is primarily involved in growth and survival. The PLCG1 pathway, which influences synaptic plasticity, plays a role in learning and memory by affecting both short-term synaptic function and long-term potentiation. Additionally, PLCG1 activation leads to NF-Kappa-B activation, promoting the transcription of genes related to cell survival, thereby suppressing anoikis. NTRK2 may also be involved in neurotrophin-dependent calcium signaling in glial cells and in mediating communication between neurons and glial cells. This supplementary information is collated from multiple sources and compiled automatically.
See full target information NTRK2 phospho Y706

Additional targets

NTRK1 phospho Y674,NTRK3 phospho Y709

Publications (31)

Recent publications for all applications. Explore the full list and refine your search

Biomolecules 15: PubMed40867632

2025

Apelin-13-Mediated Upregulation of METTL3 Ameliorates Alzheimer's Disease via Inhibiting Neuroinflammation Through m6A-Dependent Regulation of lncRNA BDNF-AS.

Applications

Unspecified application

Species

Unspecified reactive species

Li Han,Siwen Wei,Rong Wang,Yiran Liu,Yi Zhong,Juan Fu,Huaiqing Luo,Meihua Bao

Cell reports. Medicine 6:102217 PubMed40834855

2025

Genomic landscape and immunological profile of glioblastoma in East Asian patients.

Applications

Unspecified application

Species

Unspecified reactive species

Sheng Zhong,Bo Wu,Frank Dubois,Davy Deng,Johann S Bergholz,Wanming Hu,Hao Duan,Yujie Shao,Jingyi Liu,Luwei Liu,Sitong Chen,Yongfei Hu,Zheng Zhao,Maojin Yao,Ke Sai,Jian Wang,Yinsheng Chen,Chao Ke,Xiangheng Zhang,Qunying Yang,Chengcheng Guo,Ji Zhang,Fuhua Lin,Zhenghe Chen,Deipei Li,Zhenqiang He,Chang Li,Xiaobing Jiang,Jie Lu,Wenzhuo Yang,Tao Jiang,Zhongping Chen,Rameen Beroukhim,Jean J Zhao,Yonggao Mou

Comprehensive Physiology 15:e70031 PubMed40765038

2025

Different Fasting Methods Combined With Running Exercise Regulate Glucose Metabolism via AMPK/SIRT1/BDNF Pathway in Mice.

Applications

Unspecified application

Species

Unspecified reactive species

Xukai Wang,Jian Shi,Yinhuan Li,Lizi Zhou,Linjing Xu,Junming Wang,Chunhong Liu,Boji Liang

Frontiers in pharmacology 16:1592187 PubMed40453656

2025

The regulation and mechanism of the cAMP-PKA pathway on PTSD-like behaviors exacerbated by alcohol exposure.

Applications

Unspecified application

Species

Unspecified reactive species

Shuang Zhao,Wei Zhao,Ziqi Wang,Xiaofei Chen,Fangjiao Zong,Hanting Zhang

NPJ precision oncology 9:137 PubMed40348911

2025

A novel TRKB-activating internal tandem duplication characterizes a new mechanism of receptor tyrosine kinase activation.

Applications

Unspecified application

Species

Unspecified reactive species

Lauren M Brown,Gabor Tax,Pablo Acera Mateos,Antoine de Weck,Steve Foresto,Thomas Robertson,Fatimah Jalud,Pamela Ajuyah,Paulette Barahona,Jie Mao,M Emmy M Dolman,Marie Wong,Chelsea Mayoh,Mark J Cowley,Loretta M S Lau,Teresa Sadras,Paul G Ekert

Frontiers in neuroscience 18:1509543 PubMed39844852

2025

oligosaccharides alleviate chronic unpredictable mild stress-induced depression through the BDNF/TrkB/CREB pathway and symptoms of sexual dysfunction in mice.

Applications

Unspecified application

Species

Unspecified reactive species

Mengjie He,Mengying Hu,Tingqiao Wang,Zeping Zuo,Hongkai Li,Zhiwei Zhao,Yunwen Hao,Xueling Dai,Jianfang Wang,Yaxuan Sun

Frontiers in pharmacology 15:1422693 PubMed39611170

2024

Bmal1 haploinsufficiency impairs fear memory and modulates neuroinflammation via the 5-HT2C receptor.

Applications

Unspecified application

Species

Unspecified reactive species

Weifen Li,Shengnan Mou,Tahir Ali,Tianxiang Li,Yan Liu,Shupeng Li,Xiaoming Yu,Zhi-Jian Yu

Biological research 57:87 PubMed39574138

2024

Depression like-behavior and memory loss induced by methylglyoxal is associated with tryptophan depletion and oxidative stress: a new in vivo model of neurodegeneration.

Applications

Unspecified application

Species

Unspecified reactive species

Md Samsuzzaman,Seong-Min Hong,Jae Hyuk Lee,Hyunjun Park,Keun-A Chang,Hyun-Bum Kim,Myoung Gyu Park,Hyeyoon Eo,Myung Sook Oh,Sun Yeou Kim

Cell communication and signaling : CCS 22:427 PubMed39223674

2024

RIPK1 inhibition mitigates neuroinflammation and rescues depressive-like behaviors in a mouse model of LPS-induced depression.

Applications

Unspecified application

Species

Unspecified reactive species

Qichao Gong,Tahir Ali,Yue Hu,Ruyan Gao,Shengnan Mou,Yanhua Luo,Canyu Yang,Axiang Li,Tao Li,Liang Liang Hao,Liufang He,Xiaoming Yu,Shupeng Li

Aging 16:6510-6520 PubMed38579169

2024

has-miR-134-5p inhibits the proliferation and migration of glioma cells by regulating the BDNF/ERK signaling pathway.

Applications

Unspecified application

Species

Unspecified reactive species

Zeshang Guo,Pingxv An,Xinyu Hong
View all publications

Product promise

We are committed to supporting your work with high-quality reagents, and we're here for you every step of the way. In the unlikely event that one of our products does not perform as expected, you're protected by our Product Promise.
For full details, please see our Terms & Conditions

Please note: All products are 'FOR RESEARCH USE ONLY. NOT FOR USE IN DIAGNOSTIC OR THERAPEUTIC PROCEDURES'.

For licensing inquiries, please contact partnerships@abcam.com