JavaScript is disabled in your browser. Please enable JavaScript to view this website.
AB109010

Anti-TrkA + TrkB antibody [EPR1104(2)]

3

(2 Reviews)

|

(3 Publications)

Rabbit Recombinant Monoclonal TrkA antibody. Suitable for IHC-P, WB and reacts with Human samples. Cited in 3 publications.

View Alternative Names

MTC, TRK, TRKA, NTRK1, High affinity nerve growth factor receptor, Neurotrophic tyrosine kinase receptor type 1, TRK1-transforming tyrosine kinase protein, Tropomyosin-related kinase A, Tyrosine kinase receptor, Tyrosine kinase receptor A, gp140trk, p140-TrkA, Trk-A

7 Images
Immunohistochemistry (Formalin/PFA-fixed paraffin-embedded sections) - Anti-TrkA + TrkB antibody [EPR1104(2)] (AB109010)
  • IHC-P

Unknown

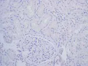
Immunohistochemistry (Formalin/PFA-fixed paraffin-embedded sections) - Anti-TrkA + TrkB antibody [EPR1104(2)] (AB109010)

ab109010 showing negative staining in Normal human kidney tissue. Heat mediated antigen retrieval was performed before commencing with IHC staining protocol.

Immunohistochemistry (Formalin/PFA-fixed paraffin-embedded sections) - Anti-TrkA + TrkB antibody [EPR1104(2)] (AB109010)
  • IHC-P

Unknown

Immunohistochemistry (Formalin/PFA-fixed paraffin-embedded sections) - Anti-TrkA + TrkB antibody [EPR1104(2)] (AB109010)

ab109010 showing negative staining in Normal human colon tissue. Heat mediated antigen retrieval was performed before commencing with IHC staining protocol.

Immunohistochemistry (Formalin/PFA-fixed paraffin-embedded sections) - Anti-TrkA + TrkB antibody [EPR1104(2)] (AB109010)
  • IHC-P

Unknown

Immunohistochemistry (Formalin/PFA-fixed paraffin-embedded sections) - Anti-TrkA + TrkB antibody [EPR1104(2)] (AB109010)

ab109010 at 1/250 dilution staining TrkA + TrkB in Human brain by Immunohistochemistry Paraffin-embedded tissue. Heat mediated antigen retrieval was performed before commencing with IHC staining protocol.

Immunohistochemistry (Formalin/PFA-fixed paraffin-embedded sections) - Anti-TrkA + TrkB antibody [EPR1104(2)] (AB109010)
  • IHC-P

Unknown

Immunohistochemistry (Formalin/PFA-fixed paraffin-embedded sections) - Anti-TrkA + TrkB antibody [EPR1104(2)] (AB109010)

ab109010 showing negative staining in Normal human liver tissue. Heat mediated antigen retrieval was performed before commencing with IHC staining protocol.

Immunohistochemistry (Formalin/PFA-fixed paraffin-embedded sections) - Anti-TrkA + TrkB antibody [EPR1104(2)] (AB109010)
  • IHC-P

Unknown

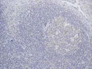
Immunohistochemistry (Formalin/PFA-fixed paraffin-embedded sections) - Anti-TrkA + TrkB antibody [EPR1104(2)] (AB109010)

ab109010 showing negative staining in Normal human tonsil tissue. Heat mediated antigen retrieval was performed before commencing with IHC staining protocol.

Western blot - Anti-TrkA + TrkB antibody [EPR1104(2)] (AB109010)
  • WB

Unknown

Western blot - Anti-TrkA + TrkB antibody [EPR1104(2)] (AB109010)

All lanes:

Western blot - Anti-TrkA + TrkB antibody [EPR1104(2)] (ab109010) at 1/1000 dilution

Lane 1:

Human fetal brain tissue lysate at 10 µg

Lane 2:

SH-SY5Y cell lysate at 10 µg

Predicted band size: 42 kDa,69 kDa,79 kDa

Observed band size: 42 kDa

false

Western blot - Anti-TrkA + TrkB antibody [EPR1104(2)] (AB109010)
  • WB

Lab

Western blot - Anti-TrkA + TrkB antibody [EPR1104(2)] (AB109010)

Blocking/Diluting Buffer and concentration : 5% NFDM /TBST

All lanes:

Western blot - Anti-TrkA + TrkB antibody [EPR1104(2)] (ab109010) at 1.118 µg/mL

Lanes 1, 3 and 5:

Empty vector overexpression 293T cell lysates at 20 µg

Lane 2:

His-Human TrkC overexpression 293T cell lysates at 20 µg

Lane 4:

His-Human TrkA overexpression 293T cell lysates at 20 µg

Lane 6:

His-Human TrkB overexpression 293T cell lysates at 20 µg

Lane 7:

Human brain lysate at 20 µg

Secondary

All lanes:

Western blot - Goat Anti-Rabbit IgG H&L (HRP) (<a href='/en-us/products/secondary-antibodies/goat-rabbit-igg-h-l-hrp-ab97051'>ab97051</a>) at 0.05 µg/mL

Observed band size: 120 kDa

false

  • Carrier free

    Anti-TrkA + TrkB antibody [EPR1104(2)] - BSA and Azide free

Key facts

Host species

Rabbit

Clonality

Monoclonal

Clone number

EPR1104(2)

Isotype

IgG

Carrier free

No

Reacts with

Human

Applications

WB, IHC-P

applications

Immunogen

The exact immunogen used to generate this antibody is proprietary information.

Reactivity data

{ "title": "Reactivity Data", "filters": { "stats": ["", "Species", "Dilution Info", "Notes"], "tabs": { "all-applications": {"fullname" : "All Applications", "shortname": "All Applications"}, "IHCP" : {"fullname" : "Immunohistochemistry (Formalin/PFA-fixed paraffin-embedded sections)", "shortname":"IHC-P"}, "WB" : {"fullname" : "Western blot", "shortname":"WB"}, "ICCIF" : {"fullname" : "Immunocytochemistry/ Immunofluorescence", "shortname":"ICC/IF"}, "FlowCyt" : {"fullname" : "Flow Cytometry", "shortname":"Flow Cyt"}, "IP" : {"fullname" : "Immunoprecipitation", "shortname":"IP"} }, "product-promise": { "all": "all", "testedAndGuaranteed": "tested", "guaranteed": "expected", "predicted": "predicted", "notRecommended": "not-recommended" } }, "values": { "Human": { "IHCP-species-checked": "testedAndGuaranteed", "IHCP-species-dilution-info": "1/250 - 1/500", "IHCP-species-notes": "<p>Heat up to 98 degrees C, below boiling, and then let cool for 10-20 min.</p> Perform heat-mediated antigen retrieval before commencing with IHC staining protocol.", "WB-species-checked": "testedAndGuaranteed", "WB-species-dilution-info": "1/1000 - 1/10000", "WB-species-notes": "<p></p>", "ICCIF-species-checked": "notRecommended", "ICCIF-species-dilution-info": "", "ICCIF-species-notes": "<p></p>", "FlowCyt-species-checked": "notRecommended", "FlowCyt-species-dilution-info": "", "FlowCyt-species-notes": "<p></p>", "IP-species-checked": "notRecommended", "IP-species-dilution-info": "", "IP-species-notes": "<p></p>" }, "Mouse": { "IHCP-species-checked": "predicted", "IHCP-species-dilution-info": "", "IHCP-species-notes": "", "WB-species-checked": "predicted", "WB-species-dilution-info": "", "WB-species-notes": "", "ICCIF-species-checked": "notRecommended", "ICCIF-species-dilution-info": "", "ICCIF-species-notes": "", "FlowCyt-species-checked": "notRecommended", "FlowCyt-species-dilution-info": "", "FlowCyt-species-notes": "", "IP-species-checked": "notRecommended", "IP-species-dilution-info": "", "IP-species-notes": "" }, "Rat": { "IHCP-species-checked": "predicted", "IHCP-species-dilution-info": "", "IHCP-species-notes": "", "WB-species-checked": "predicted", "WB-species-dilution-info": "", "WB-species-notes": "", "ICCIF-species-checked": "notRecommended", "ICCIF-species-dilution-info": "", "ICCIF-species-notes": "", "FlowCyt-species-checked": "notRecommended", "FlowCyt-species-dilution-info": "", "FlowCyt-species-notes": "", "IP-species-checked": "notRecommended", "IP-species-dilution-info": "", "IP-species-notes": "" } } }

Product details

Patented technology
Our RabMAb® technology is a patented hybridoma-based technology for making rabbit monoclonal antibodies. For details on our patents, please refer to RabMAb® patents.

What are the advantages of a recombinant monoclonal antibody?
This product is a recombinant monoclonal antibody, which offers several advantages including:

  • - High batch-to-batch consistency and reproducibility
  • - Improved sensitivity and specificity
  • - Long-term security of supply
  • - Animal-free batch production

For more information, read more on recombinant antibodies.

Properties and storage information

Form
Liquid
Purification technique
Affinity purification Protein A
Storage buffer
pH: 7.2 - 7.4 Preservative: 0.01% Sodium azide Constituents: PBS, 40% Glycerol (glycerin, glycerine), 0.31% Sodium citrate, 0.175% Sodium chloride, 0.05% BSA, 0.0172% EDTA
Shipped at conditions
Blue Ice
Appropriate short-term storage conditions
+4°C
Appropriate long-term storage conditions
-20°C
Storage information
Stable for 12 months at -20°C

Supplementary information

This supplementary information is collated from multiple sources and compiled automatically.

TrkA also known as neurotrophic tyrosine receptor kinase 1 (NTRK1) and TrkB known as neurotrophic tyrosine receptor kinase 2 (NTRK2) are part of the tropomyosin receptor kinase family. TrkA has a mass of approximately 140 kDa while TrkB weighs around 145 kDa. These proteins express mainly in the nervous system including the brain and peripheral tissues. TrkA binds primarily to nerve growth factor (NGF) while TrkB interacts with brain-derived neurotrophic factor (BDNF) and neurotrophin-4/5 (NT-4/5). They are important for neuronal development and function.
Biological function summary

TrkA and TrkB proteins promote survival differentiation and maintenance of specific neuronal populations. TrkA is involved in neuronal survival by dimerizing upon ligand binding activating downstream signaling pathways. This activity ensures proper neuronal function and structure. TrkB in addition to supporting neuronal differentiation also influences synaptic plasticity. Both act as receptors in the neurotrophin signaling pathway forming complexes with other intracellular proteins. These actions make TrkA and TrkB fundamental for proper nervous system development and response to damage.

Pathways

TrkA and TrkB are central to the MAPK/ERK and PI3K/Akt signaling pathways. The MAPK/ERK pathway influences cell growth and differentiation where TrkA activates Ras proteins leading to phosphorylation cascades. Meanwhile in the PI3K/Akt pathway activation of TrkB affects cell survival and apoptosis often involving interactions with proteins like Shc and PLCγ. These pathways are significant for neuronal cell fate decisions highlighting TrkA and TrkB’s interaction with other pathway components for maintaining cellular homeostasis.

TrkA and TrkB are linked to neurodegenerative diseases and cancers. Altered TrkA function or expression is associated with Alzheimer’s disease where downstream effects involve dysregulation of p75NTR a related protein. TrkB variations have been connected to psychiatric disorders such as depression. In some cancers increased expression or mutations in the TrkA or TrkB genes lead to tumorigenesis highlighting their importance in disease pathology. Understanding these connections aids in developing targeted therapies for these conditions.

Product protocols

For this product, it's our understanding that no specific protocols are required. You can visit:

Target data

Receptor tyrosine kinase involved in the development and the maturation of the central and peripheral nervous systems through regulation of proliferation, differentiation and survival of sympathetic and nervous neurons. High affinity receptor for NGF which is its primary ligand (PubMed : 1281417, PubMed : 15488758, PubMed : 17196528, PubMed : 1849459, PubMed : 1850821, PubMed : 22649032, PubMed : 27445338, PubMed : 8325889). Can also bind and be activated by NTF3/neurotrophin-3. However, NTF3 only supports axonal extension through NTRK1 but has no effect on neuron survival (By similarity). Upon dimeric NGF ligand-binding, undergoes homodimerization, autophosphorylation and activation (PubMed : 1281417). Recruits, phosphorylates and/or activates several downstream effectors including SHC1, FRS2, SH2B1, SH2B2 and PLCG1 that regulate distinct overlapping signaling cascades driving cell survival and differentiation. Through SHC1 and FRS2 activates a GRB2-Ras-MAPK cascade that regulates cell differentiation and survival. Through PLCG1 controls NF-Kappa-B activation and the transcription of genes involved in cell survival. Through SHC1 and SH2B1 controls a Ras-PI3 kinase-AKT1 signaling cascade that is also regulating survival. In absence of ligand and activation, may promote cell death, making the survival of neurons dependent on trophic factors.. Isoform TrkA-III. Resistant to NGF, it constitutively activates AKT1 and NF-kappa-B and is unable to activate the Ras-MAPK signaling cascade. Antagonizes the anti-proliferative NGF-NTRK1 signaling that promotes neuronal precursors differentiation. Isoform TrkA-III promotes angiogenesis and has oncogenic activity when overexpressed.
See full target information NTRK1

Additional targets

NTRK2

Publications (3)

Recent publications for all applications. Explore the full list and refine your search

Animals : an open access journal from MDPI 14: PubMed39595370

2024

From Gene to Protein: Unraveling the Reproductive Blueprint of Male Grey Squirrels via Nerve Growth Factor (NGF) and Cognate Receptors.

Applications

Unspecified application

Species

Unspecified reactive species

Francesca Mercati,Gabriella Guelfi,Antonello Bufalari,Cecilia Dall'Aglio,Chiara Suvieri,Paolo Cocci,Francesco Alessandro Palermo,Polina Anipchenko,Camilla Capaccia,Beniamino Cenci-Goga,Massimo Zerani,Margherita Maranesi

Oxidative medicine and cellular longevity 2022:8445093 PubMed36285300

2022

Nerve Growth Factor (NGF) Encourages the Neuroinvasive Potential of Pancreatic Cancer Cells by Activating the Warburg Effect and Promoting Tumor Derived Exosomal miRNA-21 Expression.

Applications

Unspecified application

Species

Unspecified reactive species

Tao Peng,Yao Guo,Zheng Gan,Yan Ling,Jiongxin Xiong,Xueyi Liang,Jing Cui

Molecular pain 13:1744806917708127 PubMed28554249

2017

Suppression of asparaginyl endopeptidase attenuates breast cancer-induced bone pain through inhibition of neurotrophin receptors.

Applications

Unspecified application

Species

Unspecified reactive species

Peng Yao,Yuanyuan Ding,Zhenkai Han,Ying Mu,Tao Hong,Yongqiang Zhu,Hongxi Li
View all publications

Product promise

We are committed to supporting your work with high-quality reagents, and we're here for you every step of the way. In the unlikely event that one of our products does not perform as expected, you're protected by our Product Promise.
For full details, please see our Terms & Conditions

Please note: All products are 'FOR RESEARCH USE ONLY. NOT FOR USE IN DIAGNOSTIC OR THERAPEUTIC PROCEDURES'.

For licensing inquiries, please contact partnerships@abcam.com