JavaScript is disabled in your browser. Please enable JavaScript to view this website.
AB316757

Anti-TrkA(pY674/Y675)+TrkB(pY706/Y707)+TrkC(pY709/Y710) antibody [EPR28220-108] - BSA and Azide free

Be the first to review this product! Submit a review

|

(0 Publication)

Rabbit Recombinant Monoclonal TrkA phospho Y674 + Y675 antibody. Carrier free. Suitable for IHC-P, Dot and reacts with Transfected cell line - Human, Human, Synthetic peptide - Human samples.

View Alternative Names

MTC, TRK, TRKA, NTRK1, High affinity nerve growth factor receptor, Neurotrophic tyrosine kinase receptor type 1, TRK1-transforming tyrosine kinase protein, Tropomyosin-related kinase A, Tyrosine kinase receptor, Tyrosine kinase receptor A, gp140trk, p140-TrkA, Trk-A

3 Images
Immunohistochemistry (Formalin/PFA-fixed paraffin-embedded sections) - Anti-TrkA(pY674/Y675)+TrkB(pY706/Y707)+TrkC(pY709/Y710) antibody [EPR28220-108] - BSA and Azide free (AB316757)
  • IHC-P

Supplier Data

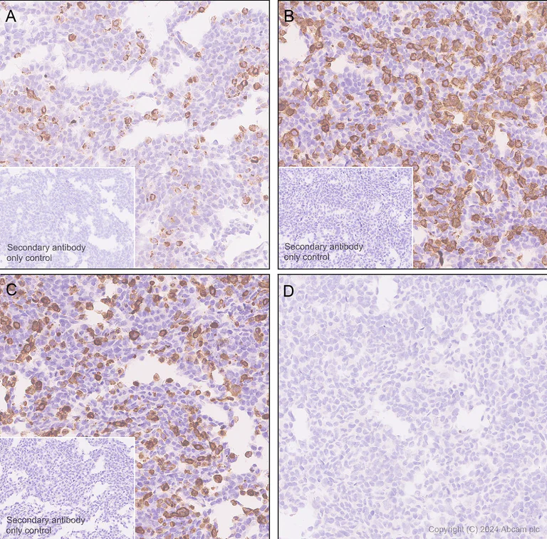
Immunohistochemistry (Formalin/PFA-fixed paraffin-embedded sections) - Anti-TrkA(pY674/Y675)+TrkB(pY706/Y707)+TrkC(pY709/Y710) antibody [EPR28220-108] - BSA and Azide free (AB316757)

This data was developed using ab316756, the same antibody clone in a different buffer formulation.

Immunohistochemical analysis of paraffin-embedded HEK-293T (human embryonic kidney epithelial cell) transfected with (A) human TrkC expression vector containing a myc-His-tag; (B) human TrkA expression vector containing a myc-His-tag; (C) human TrkB expression vector containing a myc-His-tag; (D) human TrkA (Y674A and Y675A mutation) expression vector containing a myc-His-tag.

A-D : whole cell pellet labelling with ab316756 at 1/2000 (0.263 ug/ml) dilution, followed by a ready to use Rabbit specific IHC polymer detection kit HRP/DAB (ab209101). The section was incubated with ab316756 for 30 mins at room temperature.
The immunostaining was performed on a Leica Biosystems BOND® RX instrument counterstained with Hematoxylin.

Positive staining on HEK-293T overexpressing (A) TrkC, (B) TrkA, and (C) TrkB. No staining on HEK-293T overexpressing (D) TrkA (Y674A and Y675A mutation).

Secondary antibody only control : Secondary antibody is a ready to use Rabbit specific IHC polymer detection kit HRP/DAB (ab209101).

Heat mediated antigen retrieval was performed with Tris-EDTA buffer (pH 9.0, Epitope Retrieval Solution2) for 20 mins.

Immunohistochemistry (Formalin/PFA-fixed paraffin-embedded sections) - Anti-TrkA(pY674/Y675)+TrkB(pY706/Y707)+TrkC(pY709/Y710) antibody [EPR28220-108] - BSA and Azide free (AB316757)
  • IHC-P

Supplier Data

Immunohistochemistry (Formalin/PFA-fixed paraffin-embedded sections) - Anti-TrkA(pY674/Y675)+TrkB(pY706/Y707)+TrkC(pY709/Y710) antibody [EPR28220-108] - BSA and Azide free (AB316757)

This data was developed using ab316756, the same antibody clone in a different buffer formulation.

Immunohistochemical analysis of paraffin-embedded (A) KM-12 (human colon epithelial cell) untreated; (B) KM-12 treated with LOXO-101(10nM 2h); (C) KM-12 treated with alkaline phosphatase (after fixation and paraffin embedding).

A-C : whole cell pellet labeling with ab316756 at 1/2000 (0.263 ug/ml) dilution, followed by a ready to use Rabbit specific IHC polymer detection kit HRP/DAB (ab209101). The section was incubated with ab316756 for 30 mins at room temperature.
The immunostaining was performed on a Leica Biosystems BOND® RX instrument counterstained with Hematoxylin.

KM-12 express the constitutively active TPM3-NTRK1 fusion. Positive staining on (A) untreated KM-12. Reduced staining after (B) LOXO-101(10nM 2h) and (C) alkaline phosphatase treatment.

Secondary antibody only control : Secondary antibody is a ready to use Rabbit specific IHC polymer detection kit HRP/DAB (ab209101).

Heat mediated antigen retrieval was performed with Tris-EDTA buffer (pH 9.0, Epitope Retrieval Solution2) for 20 mins.

Dot Blot - Anti-TrkA(pY674/Y675)+TrkB(pY706/Y707)+TrkC(pY709/Y710) antibody [EPR28220-108] - BSA and Azide free (AB316757)
  • Dot

Lab

Dot Blot - Anti-TrkA(pY674/Y675)+TrkB(pY706/Y707)+TrkC(pY709/Y710) antibody [EPR28220-108] - BSA and Azide free (AB316757)

This data was developed using ab316756, the same antibody clone in a different buffer formulation.

Dot blot analysis of TrkA (pY674)+TrkA (pY675)+TrkA (pY674/Y675)+TrkA (pY674/Y675)+TrkB (pY706)+TrkB (pY707)+TrkB (pY706/707)+TrkC (pY709)+TrkC (pY710)+TrkC (pY709/710) using ab316756 at 1 : 1000 (0.511 ug/ml) followed by a Goat Anti-Rabbit IgG, (H+L), Peroxidase conjugated (ab97051) at 1 : 100,000 dilution.

Blocking and diluting buffer and concentration : 5% NFDM/TBST.

All lanes:

Dot Blot - Anti-TrkA(pY674/Y675)+TrkB(pY706/Y707)+TrkC(pY709/Y710) antibody [EPR28220-108] (<a href='/en-us/products/primary-antibodies/trkapy674-y675trkbpy706-y707trkcpy709-y710-antibody-epr28220-108-ab316756'>ab316756</a>) at 1/1000 dilution

Lane 1:

Human TrkA (phospho Y674) peptide

Lane 2:

Human TrkA (phospho Y675) peptide

Lane 3:

Human TrkA (phospho Y674/Y675) peptide a

Lane 4:

Human TrkA (phospho Y674/Y675) peptide b

Lane 5:

Non-phospho TrKA control peptide for Lane 1-4

Lane 6:

Human TrkB (phospho Y706) peptide

Lane 7:

Human TrkB (phospho Y707) peptide

Lane 8:

Human TrkB (phospho Y706/707) peptide

Lane 9:

Non-phospho TrKB control peptide for Lane 6-8

Lane 10:

Human TrkC (phospho Y709) peptide

Lane 11:

Human TrkC (phospho Y710) peptide

Lane 12:

Human TrkC (phospho Y709/710) peptide

Lane 13:

Non-phospho TrKC control peptide for Lane 10-12

Secondary

All lanes:

Dot Blot - Goat Anti-Rabbit IgG H&L (HRP) (<a href='/en-us/products/secondary-antibodies/goat-rabbit-igg-h-l-hrp-ab97051'>ab97051</a>) at 1/100000 dilution

false

Exposure time: 180s

  • Unconjugated

    Anti-TrkA(pY674/Y675)+TrkB(pY706/Y707)+TrkC(pY709/Y710) antibody [EPR28220-108]

Key facts

Host species

Rabbit

Clonality

Monoclonal

Clone number

EPR28220-108

Isotype

IgG

Carrier free

Yes

Reacts with

Human

Applications

Dot, IHC-P

applications

Immunogen

The exact immunogen used to generate this antibody is proprietary information.

Specificity

We have observed non-specific nuclear staining on some normal tissues, such as skin, colon and tonsil.

Reactivity data

{ "title": "Reactivity Data", "filters": { "stats": ["", "Species", "Dilution Info", "Notes"], "tabs": { "all-applications": {"fullname" : "All Applications", "shortname": "All Applications"}, "IHCP" : {"fullname" : "Immunohistochemistry (Formalin/PFA-fixed paraffin-embedded sections)", "shortname":"IHC-P"}, "Dot" : {"fullname" : "Dot Blot", "shortname":"Dot"}, "IP" : {"fullname" : "Immunoprecipitation", "shortname":"IP"}, "ICCIF" : {"fullname" : "Immunocytochemistry/ Immunofluorescence", "shortname":"ICC/IF"}, "FlowCytIntra" : {"fullname" : "Flow Cytometry (Intracellular)", "shortname":"Flow Cyt (Intra)"} }, "product-promise": { "all": "all", "testedAndGuaranteed": "tested", "guaranteed": "expected", "predicted": "predicted", "notRecommended": "not-recommended" } }, "values": { "Human": { "IHCP-species-checked": "testedAndGuaranteed", "IHCP-species-dilution-info": "", "IHCP-species-notes": "<p></p> Perform heat-mediated antigen retrieval with Tris/EDTA buffer pH 9.0 before commencing with IHC staining protocol.", "Dot-species-checked": "guaranteed", "Dot-species-dilution-info": "", "Dot-species-notes": "", "IP-species-checked": "notRecommended", "IP-species-dilution-info": "", "IP-species-notes": "<p></p>", "ICCIF-species-checked": "notRecommended", "ICCIF-species-dilution-info": "", "ICCIF-species-notes": "<p></p>", "FlowCytIntra-species-checked": "notRecommended", "FlowCytIntra-species-dilution-info": "", "FlowCytIntra-species-notes": "<p></p>" }, "Mouse": { "IHCP-species-checked": "notRecommended", "IHCP-species-dilution-info": "", "IHCP-species-notes": "<p></p>", "Dot-species-checked": "notRecommended", "Dot-species-dilution-info": "", "Dot-species-notes": "", "IP-species-checked": "notRecommended", "IP-species-dilution-info": "", "IP-species-notes": "", "ICCIF-species-checked": "notRecommended", "ICCIF-species-dilution-info": "", "ICCIF-species-notes": "", "FlowCytIntra-species-checked": "notRecommended", "FlowCytIntra-species-dilution-info": "", "FlowCytIntra-species-notes": "" }, "Rat": { "IHCP-species-checked": "notRecommended", "IHCP-species-dilution-info": "", "IHCP-species-notes": "<p></p>", "Dot-species-checked": "notRecommended", "Dot-species-dilution-info": "", "Dot-species-notes": "", "IP-species-checked": "notRecommended", "IP-species-dilution-info": "", "IP-species-notes": "", "ICCIF-species-checked": "notRecommended", "ICCIF-species-dilution-info": "", "ICCIF-species-notes": "", "FlowCytIntra-species-checked": "notRecommended", "FlowCytIntra-species-dilution-info": "", "FlowCytIntra-species-notes": "" }, "Synthetic peptide - Human": { "IHCP-species-checked": "notRecommended", "IHCP-species-dilution-info": "", "IHCP-species-notes": "", "Dot-species-checked": "testedAndGuaranteed", "Dot-species-dilution-info": "", "Dot-species-notes": "<p></p>", "IP-species-checked": "notRecommended", "IP-species-dilution-info": "", "IP-species-notes": "", "ICCIF-species-checked": "notRecommended", "ICCIF-species-dilution-info": "", "ICCIF-species-notes": "", "FlowCytIntra-species-checked": "notRecommended", "FlowCytIntra-species-dilution-info": "", "FlowCytIntra-species-notes": "" }, "Transfected cell line - Human": { "IHCP-species-checked": "testedAndGuaranteed", "IHCP-species-dilution-info": "", "IHCP-species-notes": "<p></p> Perform heat-mediated antigen retrieval with Tris/EDTA buffer pH 9.0 before commencing with IHC staining protocol.", "Dot-species-checked": "notRecommended", "Dot-species-dilution-info": "", "Dot-species-notes": "", "IP-species-checked": "notRecommended", "IP-species-dilution-info": "", "IP-species-notes": "", "ICCIF-species-checked": "notRecommended", "ICCIF-species-dilution-info": "", "ICCIF-species-notes": "", "FlowCytIntra-species-checked": "notRecommended", "FlowCytIntra-species-dilution-info": "", "FlowCytIntra-species-notes": "" } } }

Product details

ab316757 is the carrirer-free version of ab316756.

Patented technology
Our RabMAb® technology is a patented hybridoma-based technology for making rabbit monoclonal antibodies. For details on our patents, please refer to RabMAb® patents.

What are the advantages of a recombinant monoclonal antibody?
This product is a recombinant monoclonal antibody, which offers several advantages including:

  • - High batch-to-batch consistency and reproducibility
  • - Improved sensitivity and specificity
  • - Long-term security of supply
  • - Animal-free batch production

For more information, read more on recombinant antibodies.

Conjugation ready
Our carrier-free antibodies are typically supplied in a PBS-only formulation, purified and free of BSA, sodium azide and glycerol. This conjugation-ready format is designed for use with fluorochromes, metal isotopes, oligonucleotides, and enzymes, which makes them ideal for antibody labelling, functional and cell-based assays, flow-based assays (e.g. mass cytometry) and Multiplex Imaging applications.

Use our conjugation kits for antibody conjugates that are ready-to-use in as little as 20 minutes with 1 minute hands-on-time and 100% antibody recovery: available for fluorescent dyes, HRP, biotin and gold.

Compatibility
This product is compatible with the Maxpar® Antibody Labeling Kit from Fluidigm, without the need for antibody preparation. Maxpar® is a trademark of Fluidigm Canada Inc.

Properties and storage information

Form
Liquid
Purification technique
Affinity purification Protein A
Storage buffer
pH: 7.2 - 7.4 Constituents: PBS
Shipped at conditions
Blue Ice
Appropriate short-term storage conditions
+4°C
Appropriate long-term storage conditions
+4°C

Supplementary information

This supplementary information is collated from multiple sources and compiled automatically.

TrkA TrkB and TrkC also known as NTRK1 NTRK2 and NTRK3 respectively are tropomyosin receptor kinases. These proteins are transmembrane receptors containing extracellular ligand-binding domains a single transmembrane helix and an intracellular kinase domain. TrkA has a mass of about 140 kDa TrkB around 145 kDa and TrkC approximately 143 kDa. Expression of these receptors occurs mainly in the nervous system but they are also present in other tissues like the heart and pancreas. Each receptor exhibits selectivity for different neurotrophins with TrkA binding to nerve growth factor (NGF) TrkB binding to brain-derived neurotrophic factor (BDNF) and neurotrophin-4 (NT-4) and TrkC recognizing neurotrophin-3 (NT-3).
Biological function summary

These Trk receptors play essential roles in the development of the nervous system. Upon binding their specific ligands Trk receptors undergo dimerization and autophosphorylation on key tyrosine residues. This phosphorylation activates downstream signaling cascades that promote neuron survival differentiation and axonal growth. The receptors are not part of a larger complex but they interact with adaptor proteins that link them to intracellular signaling pathways. These interactions enhance cellular processes like synaptic plasticity and memory formation.

Pathways

TrkA TrkB and TrkC are central to the MAPK/ERK and PI3K/AKT pathways. Activation of these pathways leads to neuronal survival and growth mediated by proteins like Ras and PI3K. These pathways highlight the connection of Trk receptors with other important signaling proteins such as Shc and PLCγ. Through these pathways they also contribute to cellular responses that influence nerve cell communication and survival under stress conditions.

Mutations or dysregulation of Trk receptors implicate them in several neurodegenerative disorders and cancers. Neurodegenerative conditions like Alzheimer's disease show altered Trk signaling while certain cancers including neuroblastoma involve TrkA mutations or amplifications. TrkB dysregulation is associated with mood disorders and obesity also interacting with BDNF in these conditions. Pathologically the relationship with connected proteins such as BDNF in TrkB-related pathways appears important in understanding these diseases.

Product protocols

For this product, it's our understanding that no specific protocols are required. You can visit:

Target data

Receptor tyrosine kinase involved in the development and the maturation of the central and peripheral nervous systems through regulation of proliferation, differentiation and survival of sympathetic and nervous neurons. High affinity receptor for NGF which is its primary ligand (PubMed : 1281417, PubMed : 15488758, PubMed : 17196528, PubMed : 1849459, PubMed : 1850821, PubMed : 22649032, PubMed : 27445338, PubMed : 8325889). Can also bind and be activated by NTF3/neurotrophin-3. However, NTF3 only supports axonal extension through NTRK1 but has no effect on neuron survival (By similarity). Upon dimeric NGF ligand-binding, undergoes homodimerization, autophosphorylation and activation (PubMed : 1281417). Recruits, phosphorylates and/or activates several downstream effectors including SHC1, FRS2, SH2B1, SH2B2 and PLCG1 that regulate distinct overlapping signaling cascades driving cell survival and differentiation. Through SHC1 and FRS2 activates a GRB2-Ras-MAPK cascade that regulates cell differentiation and survival. Through PLCG1 controls NF-Kappa-B activation and the transcription of genes involved in cell survival. Through SHC1 and SH2B1 controls a Ras-PI3 kinase-AKT1 signaling cascade that is also regulating survival. In absence of ligand and activation, may promote cell death, making the survival of neurons dependent on trophic factors.. Isoform TrkA-III. Resistant to NGF, it constitutively activates AKT1 and NF-kappa-B and is unable to activate the Ras-MAPK signaling cascade. Antagonizes the anti-proliferative NGF-NTRK1 signaling that promotes neuronal precursors differentiation. Isoform TrkA-III promotes angiogenesis and has oncogenic activity when overexpressed.
See full target information NTRK1 phospho Y674 + Y675

Additional targets

NTRK2 phospho Y706 + Y707,NTRK3 phospho Y709 + Y710

Product promise

We are committed to supporting your work with high-quality reagents, and we're here for you every step of the way. In the unlikely event that one of our products does not perform as expected, you're protected by our Product Promise.
For full details, please see our Terms & Conditions

Please note: All products are 'FOR RESEARCH USE ONLY. NOT FOR USE IN DIAGNOSTIC OR THERAPEUTIC PROCEDURES'.

For licensing inquiries, please contact partnerships@abcam.com