JavaScript is disabled in your browser. Please enable JavaScript to view this website.
AB223155

Anti-TrkB antibody [EPR17805-146] - Low endotoxin, Azide free

Be the first to review this product! Submit a review

|

(1 Publication)

Rabbit Recombinant Monoclonal TrkB antibody. Carrier free. Suitable for I-ELISA, IP, WB, ICC/IF, IHC-P and reacts with Recombinant fragment - Mouse, Mouse, Rat samples. Cited in 1 publication.

View Alternative Names

Trkb, BDNF/NT-3 growth factors receptor, GP145-TrkB/GP95-TrkB, Neurotrophic tyrosine kinase receptor type 2, TrkB tyrosine kinase, Trk-B

9 Images
Immunohistochemistry (Formalin/PFA-fixed paraffin-embedded sections) - Anti-TrkB antibody [EPR17805-146] - Low endotoxin, Azide free (AB223155)
  • IHC-P

Supplier Data

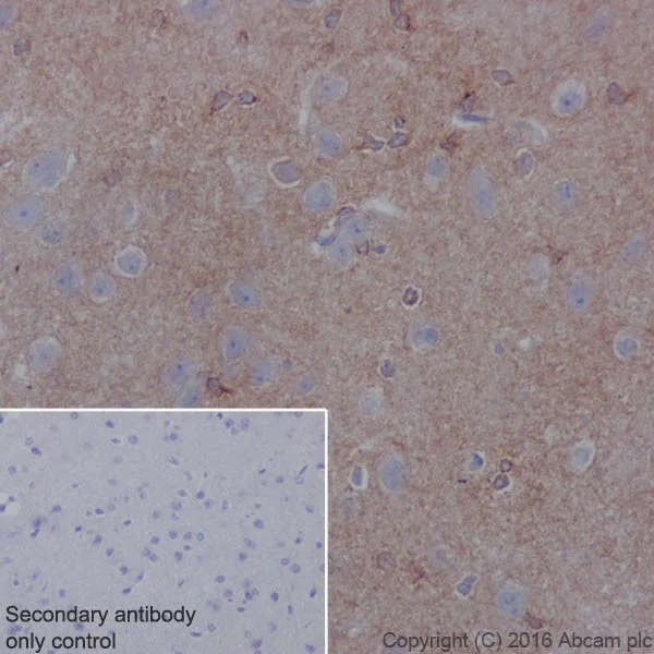
Immunohistochemistry (Formalin/PFA-fixed paraffin-embedded sections) - Anti-TrkB antibody [EPR17805-146] - Low endotoxin, Azide free (AB223155)

Immunohistochemical analysis of paraffin-embedded mouse cerebral cortex tissue labeling TrkB with ab187041 at 1/1000 dilution followed by Goat Anti-Rabbit IgG H&L (HRP) (ab97051) at 1/500 dilution.

Cytoplasmic and membrane staining on mouse cerebral cortex is observed.

Counter stained with Hematoxylin.

Secondary antibody only control : Used PBS instead of primary antibody secondary antibody is Goat Anti-Rabbit IgG H&L (HRP) (ab97051) at 1/500 dilution.

This data was developed using the same antibody clone in a different buffer formulation containing PBS BSA glycerol and sodium azide (ab187041).

Perform heat mediated antigen retrieval with Tris/EDTA buffer pH 9.0 before commencing with IHC staining protocol.

Immunohistochemistry (Formalin/PFA-fixed paraffin-embedded sections) - Anti-TrkB antibody [EPR17805-146] - Low endotoxin, Azide free (AB223155)
  • IHC-P

Supplier Data

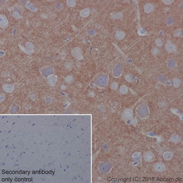
Immunohistochemistry (Formalin/PFA-fixed paraffin-embedded sections) - Anti-TrkB antibody [EPR17805-146] - Low endotoxin, Azide free (AB223155)

Immunohistochemical analysis of paraffin-embedded rat cerebral cortex tissue labeling TrkB with ab187041 at 1/1000 dilution followed by Goat Anti-Rabbit IgG H&L (HRP) (ab97051) at 1/500 dilution.

Cytoplasmic and membrane staining on rat cerebral cortex is observed.

Counter stained with Hematoxylin.

Secondary antibody only control : Used PBS instead of primary antibody secondary antibody is Goat Anti-Rabbit IgG H&L (HRP) (ab97051) at 1/500 dilution.

This data was developed using the same antibody clone in a different buffer formulation containing PBS BSA glycerol and sodium azide (ab187041).

Perform heat mediated antigen retrieval with Tris/EDTA buffer pH 9.0 before commencing with IHC staining protocol.

Immunocytochemistry/ Immunofluorescence - Anti-TrkB antibody [EPR17805-146] - Low endotoxin, Azide free (AB223155)
  • ICC/IF

Lab

Immunocytochemistry/ Immunofluorescence - Anti-TrkB antibody [EPR17805-146] - Low endotoxin, Azide free (AB223155)

This data was developed using ab187041, the same antibody clone in a different buffer formulation.

Immunofluorescent analysis of 4% Paraformaldehyde-fixed, 0.1% TritonX-100 permeabilized mouse primary neuron cells labelling TrkB with ab187041 at 1/50 dilution, followed by ab150077 Goat Anti-Rabbit IgG H&L (Alexa Fluor® 488) antibody at 1/1000 2 ug/ml dilution (Green). Confocal image showing positive staining in mouse primary neuron.Confocal scanning Z step was set as 0.3 μm followed by image processing with maximum Z projection. ab11267 Anti-MAP2 mouse monoclonal antibody was used to counterstain tubulin at 1/500 4 dilution (Red). The Nuclear counterstain was DAPI (Blue).

Secondary antibody only control : Secondary antibody is ab150077 Goat Anti-Rabbit IgG H&L (Alexa Fluor® 488) at 1/1000 2 ug/ml dilution.

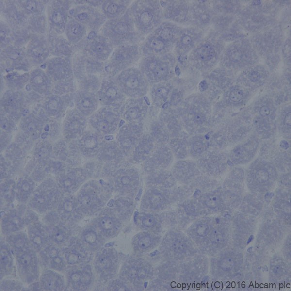
Immunohistochemistry (Formalin/PFA-fixed paraffin-embedded sections) - Anti-TrkB antibody [EPR17805-146] - Low endotoxin, Azide free (AB223155)
  • IHC-P

Supplier Data

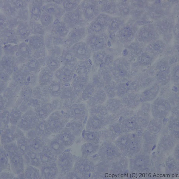
Immunohistochemistry (Formalin/PFA-fixed paraffin-embedded sections) - Anti-TrkB antibody [EPR17805-146] - Low endotoxin, Azide free (AB223155)

Immunohistochemical analysis of paraffin-embedded mouse liver tissue labeling TrkB with ab187041 at 1/1000 dilution followed by Goat Anti-Rabbit IgG H&L (HRP) (ab97051) at 1/500 dilution.

Negative control : no staining on mouse liver [PMID : 2555172].

Counter stained with Hematoxylin.

This data was developed using the same antibody clone in a different buffer formulation containing PBS BSA glycerol and sodium azide (ab187041).

Perform heat mediated antigen retrieval with Tris/EDTA buffer pH 9.0 before commencing with IHC staining protocol.

Immunoprecipitation - Anti-TrkB antibody [EPR17805-146] - Low endotoxin, Azide free (AB223155)
  • IP

Supplier Data

Immunoprecipitation - Anti-TrkB antibody [EPR17805-146] - Low endotoxin, Azide free (AB223155)

TrkB was immunoprecipitated from 1 mg of mouse brain lysate with ab187041 at 1/50 dilution.

Western blot was performed from the immunoprecipitate using ab187041 at 1/1000 dilution.

VeriBlot for IP Detection Reagent (HRP) (ab131366), was used for detection at 1/10000 dilution.

Lane 1 : Mouse brain lysate 10μg (Input).

Lane 2 : ab187041 IP in mouse brain lysate.

Lane 3 : Rabbit IgG, monoclonal [EPR25A] - Isotype Control (ab172730) instead of ab187041 in mouse brain lysate.

Blocking and dilution buffer and concentration : 5% NFDM/TBST.

Exposure time : 1 second.

This data was developed using the same antibody clone in a different buffer formulation containing PBS, BSA, glycerol, and sodium azide (ab187041).

All lanes:

Immunoprecipitation - Anti-TrkB antibody [EPR17805-146] (<a href='/en-us/products/primary-antibodies/trkb-antibody-epr17805-146-ab187041'>ab187041</a>)

Predicted band size: 92 kDa

false

Indirect ELISA - Anti-TrkB antibody [EPR17805-146] - Low endotoxin, Azide free (AB223155)
  • I-ELISA

Lab

Indirect ELISA - Anti-TrkB antibody [EPR17805-146] - Low endotoxin, Azide free (AB223155)

This data was developed using ab223155, the same antibody clone in a different buffer formulation.

ELISA analysis of Mouse TrkB (Ntrk2) recombinant protein at 1000 ng/ml with ab187041. An Alkaline Phosphatase-conjugated AffiniPure Goat Anti-Rabbit IgG (H+L) at 1/2500 dilution was used as the secondary antibody.

Western blot - Anti-TrkB antibody [EPR17805-146] - Low endotoxin, Azide free (AB223155)
  • WB

Supplier Data

Western blot - Anti-TrkB antibody [EPR17805-146] - Low endotoxin, Azide free (AB223155)

This data was developed using ab187041, the same clone in a different buffer formulation.

Blocking/Dilution buffer : 5% NFDM/TBST.

Mouse TrkB active protein contains aa1-429 with a C-terminal poly histidine-tag.

All lanes:

Western blot - Anti-TrkB antibody [EPR17805-146] (<a href='/en-us/products/primary-antibodies/trkb-antibody-epr17805-146-ab187041'>ab187041</a>) at 1/5000 dilution

All lanes:

Mouse TrkB active protein at 0.01 µg

Secondary

All lanes:

Western blot - Goat Anti-Rabbit IgG H&L (HRP) (<a href='/en-us/products/secondary-antibodies/goat-rabbit-igg-h-l-hrp-ab97051'>ab97051</a>) at 1/100000 dilution

Predicted band size: 171 kDa,87 kDa,92 kDa

Observed band size: 171 kDa,75-85 kDa

false

Exposure time: 3s

Western blot - Anti-TrkB antibody [EPR17805-146] - Low endotoxin, Azide free (AB223155)
  • WB

Supplier Data

Western blot - Anti-TrkB antibody [EPR17805-146] - Low endotoxin, Azide free (AB223155)

This data was developed using ab187041, the same clone in a different buffer formulation.

Blocking/Dilution buffer : 5% NFDM/TBST.

TrkB is abundantly expressed in the central and peripheral nervous system. The 140 kDa observed MW which is higher than the predicted one is due to the glycosylation modification.

90 kDa corresponds to the truncated form, as observed in the literature (PMID : 24860020).

All lanes:

Western blot - Anti-TrkB antibody [EPR17805-146] (<a href='/en-us/products/primary-antibodies/trkb-antibody-epr17805-146-ab187041'>ab187041</a>) at 1/5000 dilution

Lane 1:

Mouse brain lysate at 10 µg

Lane 2:

Rat brain lysate at 10 µg

Secondary

All lanes:

Western blot - Goat Anti-Rabbit IgG H&L (HRP) (<a href='/en-us/products/secondary-antibodies/goat-rabbit-igg-h-l-hrp-ab97051'>ab97051</a>) at 1/100000 dilution

Predicted band size: 92 kDa

Observed band size: 140 kDa,90 kDa

false

Exposure time: 3min

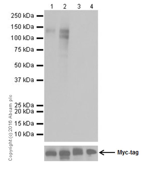
Western blot - Anti-TrkB antibody [EPR17805-146] - Low endotoxin, Azide free (AB223155)
  • WB

Lab

Western blot - Anti-TrkB antibody [EPR17805-146] - Low endotoxin, Azide free (AB223155)

This data was developed using ab187041, the same antibody clone in a different buffer formulation.

All lanes:

Western blot - Anti-TrkB antibody [EPR17805-146] (<a href='/en-us/products/primary-antibodies/trkb-antibody-epr17805-146-ab187041'>ab187041</a>) at 1/1000 dilution

Lane 1:

Mouse brain tissue lysate at 20 µg

Lane 2:

Mouse heart tissue lysate at 20 µg

Lane 3:

Mouse lung tissue lysate at 20 µg

Lane 4:

Mouse kidney tissue lysate at 20 µg

Lane 5:

Rat brain tissue lysate at 20 µg

Lane 6:

Rat heart tissue lysate at 20 µg

Lane 7:

Rat lung tissue lysate at 20 µg

Lane 8:

Rat kidney tissue lysate at 20 µg

Secondary

All lanes:

Western blot - Goat Anti-Rabbit IgG H&L (HRP) (<a href='/en-us/products/secondary-antibodies/goat-rabbit-igg-h-l-hrp-ab97051'>ab97051</a>) at 1/20000 dilution

Observed band size: 140 kDa,90 kDa

false

Exposure time: 10s

  • Carrier free

    Anti-TrkB antibody [EPR17805-146] - BSA and Azide free (Detector)

  • Unconjugated

    Anti-TrkB antibody [EPR17805-146]

  • Carrier free

    Anti-TrkB antibody [EPR17805-146] - BSA and Azide free

Key facts

Host species

Rabbit

Clonality

Monoclonal

Clone number

EPR17805-146

Isotype

IgG

Carrier free

Yes

Reacts with

Mouse, Rat

Applications

I-ELISA, WB, IHC-P, ICC/IF, IP

applications

Immunogen

The exact immunogen used to generate this antibody is proprietary information.

Reactivity data

{ "title": "Reactivity Data", "filters": { "stats": ["", "Species", "Dilution Info", "Notes"], "tabs": { "all-applications": {"fullname" : "All Applications", "shortname": "All Applications"}, "IELISA" : {"fullname" : "Indirect ELISA", "shortname":"I-ELISA"}, "IP" : {"fullname" : "Immunoprecipitation", "shortname":"IP"}, "WB" : {"fullname" : "Western blot", "shortname":"WB"}, "ICCIF" : {"fullname" : "Immunocytochemistry/ Immunofluorescence", "shortname":"ICC/IF"}, "IHCP" : {"fullname" : "Immunohistochemistry (Formalin/PFA-fixed paraffin-embedded sections)", "shortname":"IHC-P"}, "FlowCyt" : {"fullname" : "Flow Cytometry", "shortname":"Flow Cyt"} }, "product-promise": { "all": "all", "testedAndGuaranteed": "tested", "guaranteed": "expected", "predicted": "predicted", "notRecommended": "not-recommended" } }, "values": { "Mouse": { "IELISA-species-checked": "guaranteed", "IELISA-species-dilution-info": "", "IELISA-species-notes": "", "IP-species-checked": "testedAndGuaranteed", "IP-species-dilution-info": "", "IP-species-notes": "<p></p>", "WB-species-checked": "testedAndGuaranteed", "WB-species-dilution-info": "", "WB-species-notes": "<p></p>", "ICCIF-species-checked": "testedAndGuaranteed", "ICCIF-species-dilution-info": "", "ICCIF-species-notes": "<p></p>", "IHCP-species-checked": "testedAndGuaranteed", "IHCP-species-dilution-info": "", "IHCP-species-notes": "<p></p> Perform heat-mediated antigen retrieval with Tris/EDTA buffer pH 9.0 before commencing with IHC staining protocol.", "FlowCyt-species-checked": "notRecommended", "FlowCyt-species-dilution-info": "", "FlowCyt-species-notes": "<p></p>" }, "Rat": { "IELISA-species-checked": "guaranteed", "IELISA-species-dilution-info": "", "IELISA-species-notes": "", "IP-species-checked": "guaranteed", "IP-species-dilution-info": "", "IP-species-notes": "", "WB-species-checked": "testedAndGuaranteed", "WB-species-dilution-info": "", "WB-species-notes": "<p></p>", "ICCIF-species-checked": "guaranteed", "ICCIF-species-dilution-info": "", "ICCIF-species-notes": "", "IHCP-species-checked": "testedAndGuaranteed", "IHCP-species-dilution-info": "", "IHCP-species-notes": "<p></p> Perform heat-mediated antigen retrieval with Tris/EDTA buffer pH 9.0 before commencing with IHC staining protocol.", "FlowCyt-species-checked": "notRecommended", "FlowCyt-species-dilution-info": "", "FlowCyt-species-notes": "" }, "Recombinant fragment - Mouse": { "IELISA-species-checked": "testedAndGuaranteed", "IELISA-species-dilution-info": "", "IELISA-species-notes": "<p></p>", "IP-species-checked": "notRecommended", "IP-species-dilution-info": "", "IP-species-notes": "", "WB-species-checked": "testedAndGuaranteed", "WB-species-dilution-info": "", "WB-species-notes": "<p></p>", "ICCIF-species-checked": "notRecommended", "ICCIF-species-dilution-info": "", "ICCIF-species-notes": "", "IHCP-species-checked": "notRecommended", "IHCP-species-dilution-info": "", "IHCP-species-notes": "", "FlowCyt-species-checked": "notRecommended", "FlowCyt-species-dilution-info": "", "FlowCyt-species-notes": "" } } }

Product details

ab223155 is the carrier-free version of ab187041.

Patented technology
Our RabMAb® technology is a patented hybridoma-based technology for making rabbit monoclonal antibodies. For details on our patents, please refer to RabMAb® patents.

Conjugation ready
Our carrier-free antibodies are typically supplied in a PBS-only formulation, purified and free of BSA, sodium azide and glycerol. This conjugation-ready format is designed for use with fluorochromes, metal isotopes, oligonucleotides, and enzymes, which makes them ideal for antibody labelling, functional and cell-based assays, flow-based assays (e.g. mass cytometry) and Multiplex Imaging applications.

Use our conjugation kits for antibody conjugates that are ready-to-use in as little as 20 minutes with 1 minute hands-on-time and 100% antibody recovery: available for fluorescent dyes, HRP, biotin and gold.

Compatibility
This product is compatible with the Maxpar® Antibody Labeling Kit from Fluidigm, without the need for antibody preparation. Maxpar® is a trademark of Fluidigm Canada Inc.

What does low endotoxin mean?
Our low endotoxin, azide-free formats have low endotoxin level (1 EU/mg, determined by the TAL assay) and are free from azide, to achieve consistent experimental results in functional assays.

Properties and storage information

Form
Liquid
Purification technique
Affinity purification Protein A
Storage buffer
pH: 7.2 - 7.4 Constituents: PBS
Shipped at conditions
Blue Ice
Appropriate short-term storage conditions
+4°C
Appropriate long-term storage conditions
+4°C
Storage information
Do Not Freeze

Supplementary information

This supplementary information is collated from multiple sources and compiled automatically.

TrkB also known as Neurotrophic Tyrosine Kinase Receptor Type 2 (NTRK2) is a cell surface receptor with a mass of approximately 145 kDa. It binds brain-derived neurotrophic factor (BDNF) and is widely expressed in the central nervous system particularly in areas like the hippocampus cortex and cerebellum. TrkB belongs to the family of receptor tyrosine kinases functioning by catalyzing the transfer of a phosphate group from ATP to specific tyrosine residues on substrate proteins in the receptor triggering downstream signaling cascades.
Biological function summary

TrkB plays essential roles in neuronal survival differentiation and synaptic plasticity. It acts as an important mediator for the effects of neurotrophins primarily BDNF on neurons. While TrkB itself is not part of a multi-protein complex it interacts closely with several adaptor proteins post-activation to propagate survival and proliferation signals within the neuron. These biochemical interactions greatly influence neurodevelopment and cognitive functions.

Pathways

TrkB is a pivotal player in both the MAPK/ERK and PI3K/AKT pathways. Upon BDNF binding TrkB undergoes autophosphorylation triggering these pathways which are critically involved in cell survival and growth. Other proteins such as SHC1 and PLCγ interact with TrkB in these pathways extending the range of cellular responses to neurotrophin signaling facilitating processes like neuronal plasticity and memory formation.

TrkB has significant implications in neurological conditions like Alzheimer's disease and depression. In Alzheimer's disease alterations in TrkB signaling can result in impaired cognitive functions and neuronal loss where it interacts with proteins like amyloid-beta contributing to disease progression. In depression dysfunctional BDNF-TrkB signaling impacts mood regulation and resilience linking TrkB with alterations in serotonin receptor signaling emphasizing its role in mood disorders.

Product protocols

For this product, it's our understanding that no specific protocols are required. You can visit:

Target data

Receptor tyrosine kinase involved in the development and the maturation of the central and the peripheral nervous systems through regulation of neuron survival, proliferation, migration, differentiation, and synapse formation and plasticity. Receptor for BDNF/brain-derived neurotrophic factor and NTF4/neurotrophin-4. Alternatively can also bind NTF3/neurotrophin-3 which is less efficient in activating the receptor but regulates neuron survival through NTRK2. Upon ligand-binding, undergoes homodimerization, autophosphorylation and activation. Recruits, phosphorylates and/or activates several downstream effectors including SHC1, FRS2, SH2B1, SH2B2 and PLCG1 that regulate distinct overlapping signaling cascades. Through SHC1, FRS2, SH2B1, SH2B2 activates the GRB2-Ras-MAPK cascade that regulates for instance neuronal differentiation including neurite outgrowth. Through the same effectors controls the Ras-PI3 kinase-AKT1 signaling cascade that mainly regulates growth and survival. Through PLCG1 and the downstream protein kinase C-regulated pathways controls synaptic plasticity. Thereby, plays a role in learning and memory by regulating both short term synaptic function and long-term potentiation. PLCG1 also leads to NF-Kappa-B activation and the transcription of genes involved in cell survival. Hence, it is able to suppress anoikis, the apoptosis resulting from loss of cell-matrix interactions. Isoform GP95-TRKB may also play a role in neutrophin-dependent calcium signaling in glial cells and mediate communication between neurons and glia.
See full target information Ntrk2

Publications (1)

Recent publications for all applications. Explore the full list and refine your search

Cell reports. Medicine 4:101015 PubMed37075701

2023

A kinome-wide CRISPR screen identifies CK1α as a target to overcome enzalutamide resistance of prostate cancer.

Applications

Unspecified application

Species

Unspecified reactive species

Jinghui Liu,Yue Zhao,Daheng He,Katelyn M Jones,Shan Tang,Derek B Allison,Yanquan Zhang,Jing Chen,Qiongsi Zhang,Xinyi Wang,Chaohao Li,Chi Wang,Lang Li,Xiaoqi Liu
View all publications

Product promise

We are committed to supporting your work with high-quality reagents, and we're here for you every step of the way. In the unlikely event that one of our products does not perform as expected, you're protected by our Product Promise.
For full details, please see our Terms & Conditions

Please note: All products are 'FOR RESEARCH USE ONLY. NOT FOR USE IN DIAGNOSTIC OR THERAPEUTIC PROCEDURES'.

For licensing inquiries, please contact partnerships@abcam.com