JavaScript is disabled in your browser. Please enable JavaScript to view this website.
AB282593

Anti-TrkC antibody [EPR22959-40] - BSA and Azide free

Be the first to review this product! Submit a review

|

(0 Publication)

Rabbit Recombinant Monoclonal TrkC antibody. Carrier free. Suitable for IP, WB, IHC-P and reacts with Mouse, Rat, Transfected cell lysate - Human, Human samples.

View Alternative Names

TRKC, NTRK3, NT-3 growth factor receptor, GP145-TrkC, Neurotrophic tyrosine kinase receptor type 3, TrkC tyrosine kinase, Trk-C

13 Images
Immunohistochemistry (Formalin/PFA-fixed paraffin-embedded sections) - Anti-TrkC antibody [EPR22959-40] - BSA and Azide free (AB282593)
  • IHC-P

Supplier Data

Immunohistochemistry (Formalin/PFA-fixed paraffin-embedded sections) - Anti-TrkC antibody [EPR22959-40] - BSA and Azide free (AB282593)

This data was developed using ab240651, the same antibody clone in a different buffer formulation.

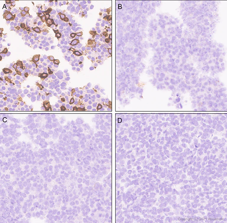
Immunohistochemical analysis of paraffin-embedded HEK-293T tissue labelling TrkC with ab240651 at 1/1000 (0.529 ug/ml) followed by a ready to use LeicaDS9800 (Bond™ Polymer Refine Detection). Positive staining on (A) HEK-293T transfected with TrkC expression vector. No staining on (B) HEK-293T transfected with a TrkA expression vector, (C) HEK-293T transfected with TrkB expression vector and (D) HEK-293T transfected with empty vector. The section was incubated with ab240651 for 30 mins at room temperature. The immunostaining was performed on a Leica Biosystems BOND® RX instrument Counterstained with Hematoxylin.

Panel A : HEK-293T (human epithelial cell line from embryonic kidney transformed with large T antigen) transfected with TrkC expression vector containing a myc-His-tag®
Panel B : HEK-293T transfected with TrkA vector containing a myc-His-tag®.
Panel C : HEK-293T transfected with TrkB vector containing a myc-His-tag®.
Panel D : HEK-293T transfected with empty vector containing a myc-His-tag®

Secondary antibody only control : Secondary antibody is a ready to use LeicaDS9800 (Bond™ Polymer Refine Detection).

Heat mediated antigen retrieval with Tris-EDTA buffer (pH 9.0, epitope retrieval solution2) for 20 mins

Immunohistochemistry (Formalin/PFA-fixed paraffin-embedded sections) - Anti-TrkC antibody [EPR22959-40] - BSA and Azide free (AB282593)
  • IHC-P

Supplier Data

Immunohistochemistry (Formalin/PFA-fixed paraffin-embedded sections) - Anti-TrkC antibody [EPR22959-40] - BSA and Azide free (AB282593)

This data was developed using ab240651, the same antibody clone in a different buffer formulation.

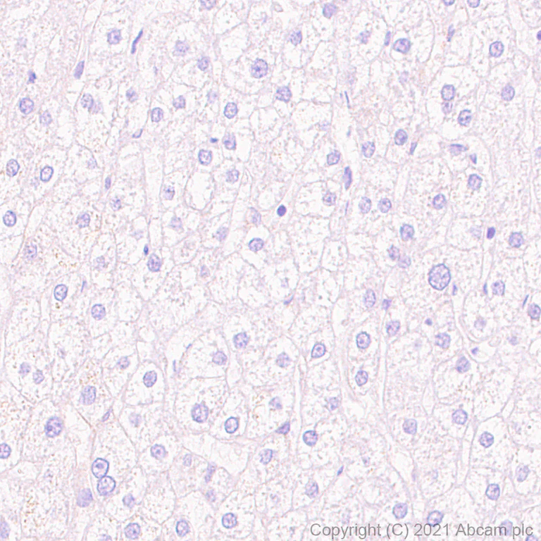
Immunohistochemical analysis of paraffin-embedded Human liver tissue labelling TrkC with ab240651 at 1/200 (2.645 ug/ml) followed by a ready to use Rabbit specific IHC polymer detection kit HRP/DAB (ab209101).

Negative control : No staining in human liver. The section was incubated with ab240651 for 30 mins at room temperature.The immunostaining was performed on a Leica Biosystems BOND® RX instrument Counterstained with Hematoxylin.

Secondary antibody only control : Secondary antibody is a ready to use Rabbit specific IHC polymer detection kit HRP/DAB (ab209101).

Heat mediated antigen retrieval with Tris-EDTA buffer (pH 9.0, epitope retrieval solution2) for 20 mins

Immunohistochemistry (Formalin/PFA-fixed paraffin-embedded sections) - Anti-TrkC antibody [EPR22959-40] - BSA and Azide free (AB282593)
  • IHC-P

Supplier Data

Immunohistochemistry (Formalin/PFA-fixed paraffin-embedded sections) - Anti-TrkC antibody [EPR22959-40] - BSA and Azide free (AB282593)

This data was developed using ab240651, the same antibody clone in a different buffer formulation.

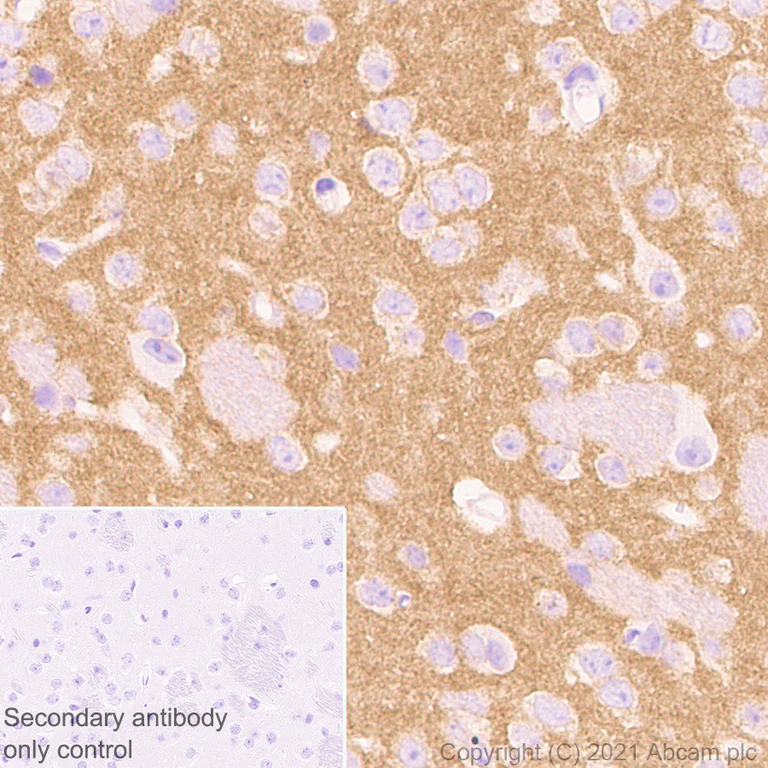
Immunohistochemical analysis of paraffin-embedded Human cerebrum tissue labelling TrkC with ab240651 at 1/200 (2.645 ug/ml) dilution followed by a ready to use Rabbit specific IHC polymer detection kit HRP/DAB (ab209101). Cytoplasmic staining in human cerebrum. The section was incubated with ab240651 for 30 mins at room temperature.The immunostaining was performed on a Leica Biosystems BOND® RX instrument Counterstained with Hematoxylin.

Secondary antibody only control : Secondary antibody is a ready to use Rabbit specific IHC polymer detection kit HRP/DAB (ab209101).

Heat mediated antigen retrieval with Tris-EDTA buffer (pH 9.0, epitope retrieval solution2) for 20 mins

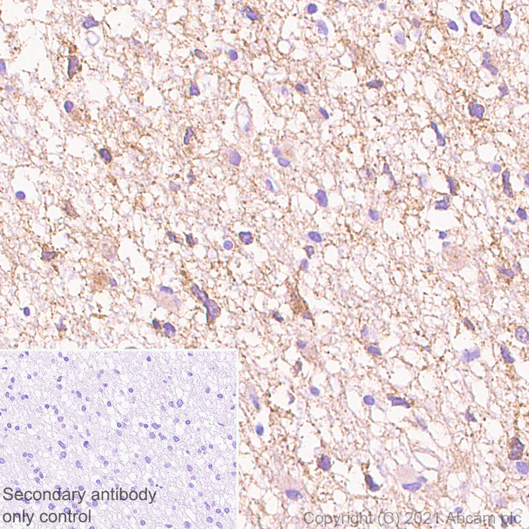
Immunohistochemistry (Formalin/PFA-fixed paraffin-embedded sections) - Anti-TrkC antibody [EPR22959-40] - BSA and Azide free (AB282593)
  • IHC-P

Supplier Data

Immunohistochemistry (Formalin/PFA-fixed paraffin-embedded sections) - Anti-TrkC antibody [EPR22959-40] - BSA and Azide free (AB282593)

This data was developed using ab240651, the same antibody clone in a different buffer formulation.

Immunohistochemical analysis of paraffin-embedded Human astrocytoma tissue labelling TrkC with ab240651 at 1/200 (2.645 ug/ml) dilution followed by a ready to use Rabbit specific IHC polymer detection kit HRP/DAB (ab209101). Cytoplasmic staining in human astrocytoma. The section was incubated with ab240651 for 30 mins at room temperature. The immunostaining was performed on a Leica Biosystems BOND® RX instrument Counterstained with Hematoxylin.

Secondary antibody only control : Secondary antibody is a ready to use Rabbit specific IHC polymer detection kit HRP/DAB (ab209101).

Heat mediated antigen retrieval with Tris-EDTA buffer (pH 9.0, epitope retrieval solution2) for 20 mins

Immunohistochemistry (Formalin/PFA-fixed paraffin-embedded sections) - Anti-TrkC antibody [EPR22959-40] - BSA and Azide free (AB282593)
  • IHC-P

Supplier Data

Immunohistochemistry (Formalin/PFA-fixed paraffin-embedded sections) - Anti-TrkC antibody [EPR22959-40] - BSA and Azide free (AB282593)

This data was developed using ab240651, the same antibody clone in a different buffer formulation.

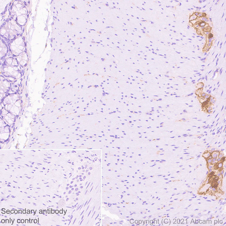
Immunohistochemical analysis of paraffin-embedded Rat colon tissue labelling TrkC with ab240651 at 1/1000 (0.529 ug/ml) dilution followed by a ready to use Rabbit specific IHC polymer detection kit HRP/DAB (ab209101). Cytoplasmic staining on myenteric plexus of rat colon. The section was incubated with ab240651 for 30 mins at room temperature. The immunostaining was performed on a Leica Biosystems BOND® RX instrument Counterstained with Hematoxylin.

Secondary antibody only control : Secondary antibody is a ready to use Rabbit specific IHC polymer detection kit HRP/DAB (ab209101).

Heat mediated antigen retrieval with Tris-EDTA buffer (pH 9.0, epitope retrieval solution2) for 20 mins

Immunohistochemistry (Formalin/PFA-fixed paraffin-embedded sections) - Anti-TrkC antibody [EPR22959-40] - BSA and Azide free (AB282593)
  • IHC-P

Supplier Data

Immunohistochemistry (Formalin/PFA-fixed paraffin-embedded sections) - Anti-TrkC antibody [EPR22959-40] - BSA and Azide free (AB282593)

This data was developed using ab240651, the same antibody clone in a different buffer formulation.

Immunohistochemical analysis of paraffin-embedded Mouse cerebrum tissue labelling TrkC with ab240651 at 1/1000 (0.529 ug/ml) dilution followed by a ready to use Rabbit specific IHC polymer detection kit HRP/DAB (ab209101). Cytoplasmic staining in mouse cerebrum. The section was incubated with ab240651 for 30 mins at room temperature. The immunostaining was performed on a Leica Biosystems BOND® RX instrument Counterstained with Hematoxylin.

Secondary antibody only control : Secondary antibody is a ready to use Rabbit specific IHC polymer detection kit HRP/DAB (ab209101).

Heat mediated antigen retrieval with Tris-EDTA buffer (pH 9.0, epitope retrieval solution2) for 20 mins

Immunoprecipitation - Anti-TrkC antibody [EPR22959-40] - BSA and Azide free (AB282593)
  • IP

Supplier Data

Immunoprecipitation - Anti-TrkC antibody [EPR22959-40] - BSA and Azide free (AB282593)

This data was developed using ab240651, the same antibody clone in a different buffer formulation.

TrkC was immunoprecipitated from 0.35 mg Rat brain tissue lysate 10 ug with ab240651 at 1/30 dilution (2ug in 0.35mg lysates). Western blot was performed on the immunoprecipitate using ab240651 at 1/1000 dilution. VeriBlot for IP secondary antibody(HRP)(ab131366) was used at 1/5000 dilution.

Lane 1 : Rat brain tissue lysate 10 ug

Lane 2 : ab240651 IP in Rat brain tissue lysate

Lane 3 : Rabbit monoclonal IgG (ab172730) instead of ab240651 in rat brain tissue lysate

Blocking and dilution buffer and concentration : 5% NFDM/TBST.

Exposure time : 24 seconds

All lanes:

Immunoprecipitation - Anti-TrkC antibody [EPR22959-40] (<a href='/en-us/products/primary-antibodies/trkc-antibody-epr22959-40-ab240651'>ab240651</a>)

Predicted band size: 94 kDa

Observed band size: 100 kDa,145 kDa

false

Immunoprecipitation - Anti-TrkC antibody [EPR22959-40] - BSA and Azide free (AB282593)
  • IP

Supplier Data

Immunoprecipitation - Anti-TrkC antibody [EPR22959-40] - BSA and Azide free (AB282593)

This data was developed using ab240651, the same antibody clone in a different buffer formulation.

TrkC was immunoprecipitated from 0.35 mg Mouse brain tissue lysate 10 ug with ab240651 at 1/30 dilution (2ug in 0.35mg lysates). Western blot was performed on the immunoprecipitate using ab240651 at 1/1000 dilution. VeriBlot for IP secondary antibody(HRP)(ab131366) was used at 1/5000 dilution.

Lane 1 : Mouse brain tissue lysate 10 ug

Lane 2 : ab240651 IP in Mouse brain tissue lysate

Lane 3 : Rabbit monoclonal IgG (ab172730) instead of ab240651 in mouse brain tissue lysate

Blocking and dilution buffer and concentration : 5% NFDM/TBST.

Exposure time : 24 seconds

All lanes:

Immunoprecipitation - Anti-TrkC antibody [EPR22959-40] (<a href='/en-us/products/primary-antibodies/trkc-antibody-epr22959-40-ab240651'>ab240651</a>)

Predicted band size: 94 kDa

Observed band size: 100 kDa,145 kDa

false

Western blot - Anti-TrkC antibody [EPR22959-40] - BSA and Azide free (AB282593)
  • WB

Lab

Western blot - Anti-TrkC antibody [EPR22959-40] - BSA and Azide free (AB282593)

This data was developed using ab240651, the same antibody clone in a different buffer formulation.

Blocking and diluting buffer and concentration : 5% NFDM/TBST

The observed MW are consistent with what has been described in the literature (PMID : 17828769).

Exposure time : 8 seconds

All lanes:

Western blot - Anti-TrkC antibody [EPR22959-40] (<a href='/en-us/products/primary-antibodies/trkc-antibody-epr22959-40-ab240651'>ab240651</a>) at 1/1000 dilution

Lane 1:

Human cerebellum tissue lysate at 20 µg

Lane 2:

Human hypothalamus tissue lysate at 20 µg

Secondary

All lanes:

Goat Anti-Rabbit IgG (HRP) with minimal cross-reactivity with human IgG at 1/2000 dilution

Predicted band size: 94 kDa

Observed band size: 100 kDa,145 kDa

false

Western blot - Anti-TrkC antibody [EPR22959-40] - BSA and Azide free (AB282593)
  • WB

Lab

Western blot - Anti-TrkC antibody [EPR22959-40] - BSA and Azide free (AB282593)

This data was developed using ab240651, the same antibody clone in a different buffer formulation.

Blocking and diluting buffer and concentration : 5% NFDM/TBST

The observed MW are consistent with what has been described in the literature (PMID : 17828769).

Negative control : liver (PMID : 7823156).

Exposure time : 15 seconds

All lanes:

Western blot - Anti-TrkC antibody [EPR22959-40] (<a href='/en-us/products/primary-antibodies/trkc-antibody-epr22959-40-ab240651'>ab240651</a>) at 1/1000 dilution

Lane 1:

Human hypothalamus tissue lysate at 20 µg

Lane 2:

Human liver tissue lysate at 40 µg

Secondary

All lanes:

Goat Anti-Rabbit IgG (HRP) with minimal cross-reactivity with human IgG at 1/2000 dilution

Predicted band size: 94 kDa

Observed band size: 100 kDa,145 kDa

false

Western blot - Anti-TrkC antibody [EPR22959-40] - BSA and Azide free (AB282593)
  • WB

Lab

Western blot - Anti-TrkC antibody [EPR22959-40] - BSA and Azide free (AB282593)

This data was developed using ab240651, the same antibody clone in a different buffer formulation.

Blocking and diluting buffer and concentration : 5% NFDM/TBST

The observed MW are consistent with what has been described in the literature (PMID : 17828769).

Negative control : liver (PMID : 7823156).

Exposure time : 37 seconds

All lanes:

Western blot - Anti-TrkC antibody [EPR22959-40] (<a href='/en-us/products/primary-antibodies/trkc-antibody-epr22959-40-ab240651'>ab240651</a>) at 1/1000 dilution

Lane 1:

Mouse brain tissue lysate at 20 µg

Lane 2:

Mouse liver tissue lysate at 40 µg

Lane 3:

Rat brain tissue lysate at 20 µg

Lane 4:

Rat liver tissue lysate at 40 µg

Secondary

All lanes:

Western blot - Goat Anti-Rabbit IgG H&L (HRP) (<a href='/en-us/products/secondary-antibodies/goat-rabbit-igg-h-l-hrp-ab97051'>ab97051</a>) at 1/100000 dilution

Predicted band size: 94 kDa

Observed band size: 100 kDa,145 kDa

false

Western blot - Anti-TrkC antibody [EPR22959-40] - BSA and Azide free (AB282593)
  • WB

Lab

Western blot - Anti-TrkC antibody [EPR22959-40] - BSA and Azide free (AB282593)

This data was developed using ab240651, the same antibody clone in a different buffer formulation.

Blocking and diluting buffer and concentration : 5% NFDM/TBST

The observed MW are consistent with what has been described in the literature (PMID : 17828769).

Exposure time : 37 seconds

All lanes:

Western blot - Anti-TrkC antibody [EPR22959-40] (<a href='/en-us/products/primary-antibodies/trkc-antibody-epr22959-40-ab240651'>ab240651</a>) at 1/1000 dilution

Lane 1:

Mouse cerebellum tissue lysate at 20 µg

Lane 2:

Rat cerebellum tissue lysate at 20 µg

Secondary

All lanes:

Western blot - Goat Anti-Rabbit IgG H&L (HRP) (<a href='/en-us/products/secondary-antibodies/goat-rabbit-igg-h-l-hrp-ab97051'>ab97051</a>) at 1/100000 dilution

Predicted band size: 94 kDa

Observed band size: 100 kDa,145 kDa

false

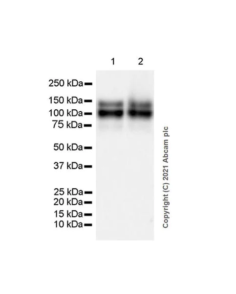
Western blot - Anti-TrkC antibody [EPR22959-40] - BSA and Azide free (AB282593)
  • WB

Lab

Western blot - Anti-TrkC antibody [EPR22959-40] - BSA and Azide free (AB282593)

This data was developed using ab240651, the same antibody clone in a different buffer formulation.

Blocking and diluting buffer and concentration : 5% NFDM/TBST

This antibody does not cross-react with human TrkA and TrkB.

Exposure time : 5.5 seconds

All lanes:

Western blot - Anti-TrkC antibody [EPR22959-40] (<a href='/en-us/products/primary-antibodies/trkc-antibody-epr22959-40-ab240651'>ab240651</a>) at 1/1000 dilution

Lane 1:

293T (human embryonic kidney) transfected with an empty vector (vector control) containing a myc-His-tag®, whole cell lysate at 20 µg

Lane 2:

293T transfected with human TrkC expression vector containing a myc-His-tag®, whole cell lysate at 20 µg

Lane 3:

293T transfected with human TrkA expression vector containing a myc-His-tag®, whole cell lysate at 20 µg

Lane 4:

293T transfected with human TrkB expression vector containing a myc-His-tag®, whole cell lysate at 20 µg

Secondary

All lanes:

Western blot - Goat Anti-Rabbit IgG H&L (HRP) (<a href='/en-us/products/secondary-antibodies/goat-rabbit-igg-h-l-hrp-ab97051'>ab97051</a>) at 1/100000 dilution

Predicted band size: 94 kDa

Observed band size: 145 kDa

false

Key facts

Host species

Rabbit

Clonality

Monoclonal

Clone number

EPR22959-40

Isotype

IgG

Carrier free

Yes

Reacts with

Rat, Mouse, Human

Applications

IHC-P, WB, IP

applications

Immunogen

The exact immunogen used to generate this antibody is proprietary information.

Reactivity data

{ "title": "Reactivity Data", "filters": { "stats": ["", "Species", "Dilution Info", "Notes"], "tabs": { "all-applications": {"fullname" : "All Applications", "shortname": "All Applications"}, "ICCIF" : {"fullname" : "Immunocytochemistry/ Immunofluorescence", "shortname":"ICC/IF"}, "IP" : {"fullname" : "Immunoprecipitation", "shortname":"IP"}, "FlowCyt" : {"fullname" : "Flow Cytometry", "shortname":"Flow Cyt"}, "WB" : {"fullname" : "Western blot", "shortname":"WB"}, "IHCP" : {"fullname" : "Immunohistochemistry (Formalin/PFA-fixed paraffin-embedded sections)", "shortname":"IHC-P"}, "IHCFr" : {"fullname" : "Immunohistochemistry (Frozen sections)", "shortname":"IHC-Fr"}, "FlowCytIntra" : {"fullname" : "Flow Cytometry (Intracellular)", "shortname":"Flow Cyt (Intra)"} }, "product-promise": { "all": "all", "testedAndGuaranteed": "tested", "guaranteed": "expected", "predicted": "predicted", "notRecommended": "not-recommended" } }, "values": { "Human": { "ICCIF-species-checked": "notRecommended", "ICCIF-species-dilution-info": "", "ICCIF-species-notes": "<p></p>", "IP-species-checked": "notRecommended", "IP-species-dilution-info": "", "IP-species-notes": "<p></p>", "FlowCyt-species-checked": "notRecommended", "FlowCyt-species-dilution-info": "", "FlowCyt-species-notes": "", "WB-species-checked": "testedAndGuaranteed", "WB-species-dilution-info": "", "WB-species-notes": "<p></p>", "IHCP-species-checked": "testedAndGuaranteed", "IHCP-species-dilution-info": "", "IHCP-species-notes": "<p></p> Perform heat-mediated antigen retrieval with Tris/EDTA buffer pH 9.0 before commencing with IHC staining protocol.", "IHCFr-species-checked": "notRecommended", "IHCFr-species-dilution-info": "", "IHCFr-species-notes": "", "FlowCytIntra-species-checked": "notRecommended", "FlowCytIntra-species-dilution-info": "", "FlowCytIntra-species-notes": "<p></p>" }, "Mouse": { "ICCIF-species-checked": "notRecommended", "ICCIF-species-dilution-info": "", "ICCIF-species-notes": "<p></p>", "IP-species-checked": "testedAndGuaranteed", "IP-species-dilution-info": "", "IP-species-notes": "<p></p>", "FlowCyt-species-checked": "notRecommended", "FlowCyt-species-dilution-info": "", "FlowCyt-species-notes": "<p></p>", "WB-species-checked": "testedAndGuaranteed", "WB-species-dilution-info": "", "WB-species-notes": "<p></p>", "IHCP-species-checked": "testedAndGuaranteed", "IHCP-species-dilution-info": "", "IHCP-species-notes": "<p></p> Perform heat-mediated antigen retrieval with Tris/EDTA buffer pH 9.0 before commencing with IHC staining protocol.", "IHCFr-species-checked": "notRecommended", "IHCFr-species-dilution-info": "", "IHCFr-species-notes": "<p></p>", "FlowCytIntra-species-checked": "notRecommended", "FlowCytIntra-species-dilution-info": "", "FlowCytIntra-species-notes": "<p></p>" }, "Rat": { "ICCIF-species-checked": "notRecommended", "ICCIF-species-dilution-info": "", "ICCIF-species-notes": "", "IP-species-checked": "testedAndGuaranteed", "IP-species-dilution-info": "", "IP-species-notes": "<p></p>", "FlowCyt-species-checked": "notRecommended", "FlowCyt-species-dilution-info": "", "FlowCyt-species-notes": "<p></p>", "WB-species-checked": "testedAndGuaranteed", "WB-species-dilution-info": "", "WB-species-notes": "<p></p>", "IHCP-species-checked": "testedAndGuaranteed", "IHCP-species-dilution-info": "", "IHCP-species-notes": "<p></p> Perform heat-mediated antigen retrieval with Tris/EDTA buffer pH 9.0 before commencing with IHC staining protocol.", "IHCFr-species-checked": "notRecommended", "IHCFr-species-dilution-info": "", "IHCFr-species-notes": "<p></p>", "FlowCytIntra-species-checked": "notRecommended", "FlowCytIntra-species-dilution-info": "", "FlowCytIntra-species-notes": "<p></p>" }, "Transfected cell lysate - Human": { "ICCIF-species-checked": "notRecommended", "ICCIF-species-dilution-info": "", "ICCIF-species-notes": "", "IP-species-checked": "notRecommended", "IP-species-dilution-info": "", "IP-species-notes": "", "FlowCyt-species-checked": "notRecommended", "FlowCyt-species-dilution-info": "", "FlowCyt-species-notes": "", "WB-species-checked": "testedAndGuaranteed", "WB-species-dilution-info": "", "WB-species-notes": "<p></p>", "IHCP-species-checked": "notRecommended", "IHCP-species-dilution-info": "", "IHCP-species-notes": "", "IHCFr-species-checked": "notRecommended", "IHCFr-species-dilution-info": "", "IHCFr-species-notes": "", "FlowCytIntra-species-checked": "notRecommended", "FlowCytIntra-species-dilution-info": "", "FlowCytIntra-species-notes": "" } } }

Product details

ab282593 is the carrier-free version of ab240651.

Patented technology
Our RabMAb® technology is a patented hybridoma-based technology for making rabbit monoclonal antibodies. For details on our patents, please refer to RabMAb® patents.

What are the advantages of a recombinant monoclonal antibody?
This product is a recombinant monoclonal antibody, which offers several advantages including:

  • - High batch-to-batch consistency and reproducibility
  • - Improved sensitivity and specificity
  • - Long-term security of supply
  • - Animal-free batch production

For more information, read more on recombinant antibodies.

Conjugation ready
Our carrier-free antibodies are typically supplied in a PBS-only formulation, purified and free of BSA, sodium azide and glycerol. This conjugation-ready format is designed for use with fluorochromes, metal isotopes, oligonucleotides, and enzymes, which makes them ideal for antibody labelling, functional and cell-based assays, flow-based assays (e.g. mass cytometry) and Multiplex Imaging applications.

Use our conjugation kits for antibody conjugates that are ready-to-use in as little as 20 minutes with 1 minute hands-on-time and 100% antibody recovery: available for fluorescent dyes, HRP, biotin and gold.

Compatibility
This product is compatible with the Maxpar® Antibody Labeling Kit from Fluidigm, without the need for antibody preparation. Maxpar® is a trademark of Fluidigm Canada Inc.

Properties and storage information

Form
Liquid
Purification technique
Affinity purification Protein A
Storage buffer
pH: 7.2 - 7.4 Constituents: PBS
Shipped at conditions
Blue Ice
Appropriate short-term storage conditions
+4°C
Appropriate long-term storage conditions
+4°C

Supplementary information

This supplementary information is collated from multiple sources and compiled automatically.

TrkC also known as neurotrophic receptor tyrosine kinase 3 (NTRK3) is a receptor protein encoded by the NTRK3 gene. It weighs approximately 85 kDa and is expressed in the central and peripheral nervous systems as well as in several non-neuronal tissues. TrkC is a member of the TRK family of tyrosine kinase receptors which includes TrkA and TrkB. As a receptor TrkC binds to neurotrophin-3 (NT-3) to initiate signal transduction processes.
Biological function summary

TrkC is critical for neuronal development and function. It is part of a signaling complex that mediates the effects of the neurotrophin-3 involved in the survival differentiation and maintenance of various neuron populations. TrkC activation leads to the phosphorylation of the receptor and downstream signaling molecules impacting cellular outcomes. It has important roles in nervous system development and in processes such as synaptic plasticity and memory formation.

Pathways

TrkC participates in neurotrophin signaling and MAPK pathways. These pathways regulate important cellular activities like growth survival and differentiation. In the context of neurotrophin signaling related proteins such as TrkA and TrkB share similar pathway components influencing similar biological processes. TrkC plays a pivotal role in modulating pathway-related cellular responses and integrating signals from NT-3 to execute proper neuronal functioning.

TrkC links to various neurological conditions including neurodevelopmental and mood disorders. Dysregulation or mutations in TrkC can lead to diseases such as medulloblastoma and congenital insensitivity to pain with anhidrosis (CIPA). The connection to NT-3 is significant in these conditions as disrupted TrkC/NT-3 signaling affects neuronal survival and development contributing to disease pathogenesis. The targeting of TrkC-related pathways holds potential for therapeutic interventions targeting these disorders.

Product protocols

For this product, it's our understanding that no specific protocols are required. You can visit:

Target data

Receptor tyrosine kinase involved in nervous system and probably heart development. Upon binding of its ligand NTF3/neurotrophin-3, NTRK3 autophosphorylates and activates different signaling pathways, including the phosphatidylinositol 3-kinase/AKT and the MAPK pathways, that control cell survival and differentiation.
See full target information NTRK3

Product promise

We are committed to supporting your work with high-quality reagents, and we're here for you every step of the way. In the unlikely event that one of our products does not perform as expected, you're protected by our Product Promise.
For full details, please see our Terms & Conditions

Please note: All products are 'FOR RESEARCH USE ONLY. NOT FOR USE IN DIAGNOSTIC OR THERAPEUTIC PROCEDURES'.

For licensing inquiries, please contact partnerships@abcam.com