JavaScript is disabled in your browser. Please enable JavaScript to view this website.
AB259986

Anti-TRMT5 antibody [EPR24139-11]

5

(1 Review)

|

(0 Publication)

Rabbit Recombinant Monoclonal TRMT5 antibody. Suitable for ICC/IF, WB, Flow Cyt (Intra) and reacts with Mouse, Human samples.

View Alternative Names

KIAA1393, TRM5, TRMT5, tRNA (guanine(37)-N(1))-methyltransferase, M1G-methyltransferase, tRNA [GM37] methyltransferase, tRNA methyltransferase 5 homolog

5 Images
Immunocytochemistry/ Immunofluorescence - Anti-TRMT5 antibody [EPR24139-11] (AB259986)
  • ICC/IF

Supplier Data

Immunocytochemistry/ Immunofluorescence - Anti-TRMT5 antibody [EPR24139-11] (AB259986)

Immunofluorescent analysis of 4% Paraformaldehyde-fixed, 0.1% TritonX-100 permeabilized A431 cells labelling TRMT5 with ab259986 at 1/50 dilution, followed by ab150077 Goat Anti-Rabbit IgG H&L (Alexa Fluor® 488) antibody at 1/1000 dilution (Green). Confocal image showing nuclear and weak cytoplasmic staining in A431 cell line is observed. ab195889 Anti-alpha Tubulin mouse monoclonal antibody - Microtubule Marker (Alexa Fluor® 594) was used to counterstain tubulin at 1/200 dilution (Red). The Nuclear counterstain was DAPI (Blue).

Secondary antibody only control : Secondary antibody is ab150077 Goat Anti-Rabbit IgG H&L (Alexa Fluor® 488) at 1/1000 dilution.

Flow Cytometry (Intracellular) - Anti-TRMT5 antibody [EPR24139-11] (AB259986)
  • Flow Cyt (Intra)

Supplier Data

Flow Cytometry (Intracellular) - Anti-TRMT5 antibody [EPR24139-11] (AB259986)

Flow cytometric analysis of 4% paraformaldehyde fixed 90% methanol permeabilized A431 (Human epidermoid carcinoma epithelial cell) cells labelling TRMT5 with ab259986 at 1/50 dilution (Red) compared with a Rabbit monoclonal IgG (ab172730) (Black) isotype control and an unlabelled control (cells without incubation with primary antibody and secondary antibody) (Blue). A Goat anti rabbit IgG (Alexa Fluor® 488, ab150077) at 1/2000 dilution was used as the secondary antibody.

Flow Cytometry (Intracellular) - Anti-TRMT5 antibody [EPR24139-11] (AB259986)
  • Flow Cyt (Intra)

Supplier Data

Flow Cytometry (Intracellular) - Anti-TRMT5 antibody [EPR24139-11] (AB259986)

Flow cytometric analysis of 4% paraformaldehyde fixed 90% methanol permeabilized NIH/3T3 (Mouse embryonic fibroblast) cells labelling TRMT5 with ab259986 at 1/50 dilution (Red) compared with a Rabbit monoclonal IgG (ab172730) (Black) isotype control and an unlabelled control (cells without incubation with primary antibody and secondary antibody) (Blue). A Goat anti rabbit IgG (Alexa Fluor® 488, ab150077) at 1/2000 dilution was used as the secondary antibody.

Immunocytochemistry/ Immunofluorescence - Anti-TRMT5 antibody [EPR24139-11] (AB259986)
  • ICC/IF

Supplier Data

Immunocytochemistry/ Immunofluorescence - Anti-TRMT5 antibody [EPR24139-11] (AB259986)

Immunofluorescent analysis of 4% Paraformaldehyde-fixed, 0.1% TritonX-100 permeabilized NIH/3T3 cells labelling TRMT5 with ab259986 at 1/50 dilution, followed by ab150077 Goat Anti-Rabbit IgG H&L (Alexa Fluor® 488) antibody at 1/1000 dilution (Green). Confocal image showing nuclear and weak cytoplasmic staining in NIH/3T3 cell line is observed. ab195889 Anti-alpha Tubulin mouse monoclonal antibody - Microtubule Marker (Alexa Fluor® 594) was used to counterstain tubulin at 1/200 dilution (Red). The Nuclear counterstain was DAPI (Blue).

Secondary antibody only control : Secondary antibody is ab150077 Goat Anti-Rabbit IgG H&L (Alexa Fluor® 488) at 1/1000 dilution.

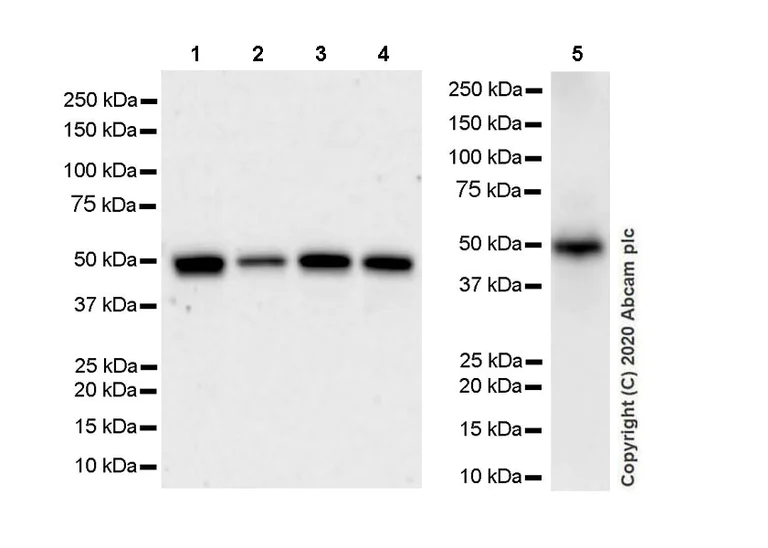
Western blot - Anti-TRMT5 antibody [EPR24139-11] (AB259986)
  • WB

Lab

Western blot - Anti-TRMT5 antibody [EPR24139-11] (AB259986)

Blocking and diluting buffer and concentration : 5% NFDM/TBST

Lane 5 of the blot was developed using a higher sensitivity ECL substrate.

Exposure time : Lane 1-4 : 3 minutes

Lane 5 : 103 seconds

All lanes:

Western blot - Anti-TRMT5 antibody [EPR24139-11] (ab259986) at 1/1000 dilution

Lane 1:

Jurkat (human T cell leukemia T lymphocyte), whole cell lysate at 20 µg

Lane 2:

A431 (human epidermoid carcinoma epithelial cell), whole cell lysate at 20 µg

Lane 3:

MCF7 (human breast adenocarcinoma epithelial cell), whole cell lysate at 20 µg

Lane 4:

U-2 OS (human bone osteosarcoma epithelial cell), whole cell lysate at 20 µg

Lane 5:

NIH/3T3 (mouse embryonic fibroblast), whole cell lysate at 20 µg

Secondary

All lanes:

Western blot - Goat Anti-Rabbit IgG H&L (HRP) (<a href='/en-us/products/secondary-antibodies/goat-rabbit-igg-h-l-hrp-ab97051'>ab97051</a>) at 1/100000 dilution

Predicted band size: 58 kDa

Observed band size: 50 kDa

false

  • Carrier free

    Anti-TRMT5 antibody [EPR24139-11] - BSA and Azide free

Key facts

Host species

Rabbit

Clonality

Monoclonal

Clone number

EPR24139-11

Isotype

IgG

Carrier free

No

Reacts with

Mouse, Human

Applications

WB, ICC/IF, Flow Cyt (Intra)

applications

Immunogen

The exact immunogen used to generate this antibody is proprietary information.

Reactivity data

{ "title": "Reactivity Data", "filters": { "stats": ["", "Species", "Dilution Info", "Notes"], "tabs": { "all-applications": {"fullname" : "All Applications", "shortname": "All Applications"}, "ICCIF" : {"fullname" : "Immunocytochemistry/ Immunofluorescence", "shortname":"ICC/IF"}, "IP" : {"fullname" : "Immunoprecipitation", "shortname":"IP"}, "WB" : {"fullname" : "Western blot", "shortname":"WB"}, "IHCP" : {"fullname" : "Immunohistochemistry (Formalin/PFA-fixed paraffin-embedded sections)", "shortname":"IHC-P"}, "FlowCytIntra" : {"fullname" : "Flow Cytometry (Intracellular)", "shortname":"Flow Cyt (Intra)"} }, "product-promise": { "all": "all", "testedAndGuaranteed": "tested", "guaranteed": "expected", "predicted": "predicted", "notRecommended": "not-recommended" } }, "values": { "Human": { "ICCIF-species-checked": "testedAndGuaranteed", "ICCIF-species-dilution-info": "1/50", "ICCIF-species-notes": "<p></p>", "IP-species-checked": "notRecommended", "IP-species-dilution-info": "", "IP-species-notes": "<p></p>", "WB-species-checked": "testedAndGuaranteed", "WB-species-dilution-info": "1/1000", "WB-species-notes": "<p></p>", "IHCP-species-checked": "notRecommended", "IHCP-species-dilution-info": "", "IHCP-species-notes": "<p></p>", "FlowCytIntra-species-checked": "testedAndGuaranteed", "FlowCytIntra-species-dilution-info": "1/50", "FlowCytIntra-species-notes": "<p></p>" }, "Mouse": { "ICCIF-species-checked": "testedAndGuaranteed", "ICCIF-species-dilution-info": "1/50", "ICCIF-species-notes": "<p></p>", "IP-species-checked": "notRecommended", "IP-species-dilution-info": "", "IP-species-notes": "<p></p>", "WB-species-checked": "testedAndGuaranteed", "WB-species-dilution-info": "1/1000", "WB-species-notes": "<p></p>", "IHCP-species-checked": "notRecommended", "IHCP-species-dilution-info": "", "IHCP-species-notes": "<p></p>", "FlowCytIntra-species-checked": "testedAndGuaranteed", "FlowCytIntra-species-dilution-info": "1/50", "FlowCytIntra-species-notes": "<p></p>" }, "Rat": { "ICCIF-species-checked": "notRecommended", "ICCIF-species-dilution-info": "", "ICCIF-species-notes": "", "IP-species-checked": "notRecommended", "IP-species-dilution-info": "", "IP-species-notes": "", "WB-species-checked": "notRecommended", "WB-species-dilution-info": "1/1000", "WB-species-notes": "<p></p>", "IHCP-species-checked": "notRecommended", "IHCP-species-dilution-info": "", "IHCP-species-notes": "<p></p>", "FlowCytIntra-species-checked": "notRecommended", "FlowCytIntra-species-dilution-info": "", "FlowCytIntra-species-notes": "" } } }

Product details

Patented technology
Our RabMAb® technology is a patented hybridoma-based technology for making rabbit monoclonal antibodies. For details on our patents, please refer to RabMAb® patents.

What are the advantages of a recombinant monoclonal antibody?
This product is a recombinant monoclonal antibody, which offers several advantages including:

  • - High batch-to-batch consistency and reproducibility
  • - Improved sensitivity and specificity
  • - Long-term security of supply
  • - Animal-free batch production

For more information, read more on recombinant antibodies.

Properties and storage information

Form
Liquid
Purification technique
Affinity purification Protein A
Storage buffer
Preservative: 0.01% Sodium azide Constituents: PBS, 40% Glycerol (glycerin, glycerine), 0.05% BSA
Shipped at conditions
Blue Ice
Appropriate short-term storage duration
1-2 weeks
Appropriate short-term storage conditions
+4°C
Appropriate long-term storage conditions
-20°C
Aliquoting information
Upon delivery aliquot
Storage information
Avoid freeze / thaw cycle

Supplementary information

This supplementary information is collated from multiple sources and compiled automatically.

TRMT5 also known as tRNA methyltransferase 5 is an enzyme responsible for catalyzing the methylation of N1 at position G37 of mitochondrial and cytoplasmic tRNA using S-adenosylmethionine as a methyl donor. This process is essential in maintaining proper tRNA structure and function. TRMT5 has a molecular mass of approximately 54 kDa and is expressed in a wide range of human tissues with more concentration in the liver and kidney.
Biological function summary

The role of TRMT5 is to facilitate correct tRNA folding and stability impacting translation accuracy. It does so by targeting the guanine base adjacent to the anticodon in tRNA molecules enhancing the fidelity of protein synthesis. While TRMT5 functions predominantly as a solitary enzyme its activity impacts other cellular processes by ensuring the efficiency of protein translation machinery.

Pathways

TRMT5 influences the tRNA modification pathway which is essential for correct and efficient protein translation. This enzyme collaborates with other proteins like TRMT6 that engage in further tRNA modifications within the process. Together they enhance the translation mechanisms that ripple into broader pathways such as the mitochondrial protein translation pathway necessary for cellular energy metabolism.

Researchers have implicated TRMT5 in certain mitochondrial dysfunctions. Dysregulation or mutations in TRMT5 can lead to altered tRNA stability contributing to systemic disorders like mitochondrial encephalomyopathy. Moreover TRMT5 is associated with neurological disorders that might parallel connections with proteins involved in mitochondrial translation fidelity such as GTPBP3 which safeguards against translational error.

Product protocols

For this product, it's our understanding that no specific protocols are required. You can visit:

Target data

Involved in mitochondrial tRNA methylation (PubMed : 26189817). Specifically methylates the N1 position of guanosine-37 in various tRNAs. Methylation is not dependent on the nature of the nucleoside 5' of the target nucleoside. This is the first step in the biosynthesis of wybutosine (yW), a modified base adjacent to the anticodon of tRNAs and required for accurate decoding.
See full target information TRMT5

Product promise

We are committed to supporting your work with high-quality reagents, and we're here for you every step of the way. In the unlikely event that one of our products does not perform as expected, you're protected by our Product Promise.
For full details, please see our Terms & Conditions

Please note: All products are 'FOR RESEARCH USE ONLY. NOT FOR USE IN DIAGNOSTIC OR THERAPEUTIC PROCEDURES'.

For licensing inquiries, please contact partnerships@abcam.com