JavaScript is disabled in your browser. Please enable JavaScript to view this website.
AB214488

Anti-TROP2 antibody [EPR20043]

  • BOND RX™ Validated
  • KO Validated
  • RabMAb
  • Recombinant
  • What is this?

5

(9 Reviews)

|

(45 Publications)

Anti-TROP2 antibody [EPR20043] (ab214488) is a rabbit monoclonal antibody detecting TROP2 in Western Blot, Flow Cytometry (Intra), Flow Cytometry, IHC-P, ICC/IF. Suitable for Human, Mouse, Rat samples.

Enhanced IHC validation data - Download the data
- IHC KO validated for confirmed specificity
- detailed IHC expression profiling in normal and clinically relevant cancer FFPE TMAs - TNBC, breast, ovarian, lung and endometrial cancer
- protocols for BOND RX™ and Ventana DISCOVERY ULTRA
Most cited clone to TROP2
Over 10 publications
Biophysical QC for unrivalled batch-batch consistency

View Alternative Names

GA733-1, M1S1, TROP2, TACSTD2, Tumor-associated calcium signal transducer 2, Cell surface glycoprotein Trop-2, Membrane component chromosome 1 surface marker 1, Pancreatic carcinoma marker protein GA733-1

17 Images
Western blot - Anti-TROP2 antibody [EPR20043] (AB214488)
  • WB

Lab

Western blot - Anti-TROP2 antibody [EPR20043] (AB214488)

Western blot : Anti-TACSTD2 antibody [EPR20043] (ab214488) staining at 1/2000 dilution, shown in green; Mouse anti-CANX [CANX/1543] (ab238078) loading control staining at 1/20000 dilution, shown in red. In Western blot, ab214488 was shown to bind specifically to TACSTD2. A band was observed at 36-70 kDa in wild-type MCF7 cell lysates with no signal observed at this size in TACSTD2 knockout cell line. To generate this image, wild-type and TACSTD2 knockout MCF7 cell lysates were analysed. First, samples were run on an SDS-PAGE gel then transferred onto a nitrocellulose membrane. Membranes were blocked in 3% milk in TBS-0.1% Tween® 20 (TBS-T) before incubation with primary antibodies overnight at 4°C. Blots were washed four times in TBS-T, incubated with secondary antibodies for 1 h at room temperature, washed again four times then imaged. Secondary antibodies used were Goat anti-Rabbit IgG H&L 800CW and Goat anti-Mouse IgG H&L 680RD at 1/20000 dilution.|

All lanes:

Western blot - Anti-TROP2 antibody [EPR20043] (ab214488) at 1/2000 dilution

Lane 1:

Wild-type MCF7 cell lysate at 20 µg

Lane 2:

TACSTD2 knockout MCF7 cell lysate at 20 µg

Lane 3:

HCT 116 cell lysate at 20 µg

Lane 4:

SK-BR-3 cell lysate at 20 µg

Predicted band size: 36 kDa

Observed band size: 36-70 kDa

false

Immunohistochemistry (Formalin/PFA-fixed paraffin-embedded sections) - Anti-TROP2 antibody [EPR20043] (AB214488)
  • IHC-P

Lab

Immunohistochemistry (Formalin/PFA-fixed paraffin-embedded sections) - Anti-TROP2 antibody [EPR20043] (AB214488)

Immunohistochemical analysis of formalin fixed paraffin embedded Human skin labelling TROP2 with ab214488 at a concentration of 0.05 µg/ml. The immunostaining was performed on a Ventana DISCOVERY ULTRA (Roche Tissue Diagnostics) instrument with a OptiView DAB IHC Detection Kit. Heat mediated antigen retrieval was performed with DISCOVERY cell conditioning solution (CC1) 100°C, pH8.5 for 32mins.

ab214488 Anti TROP2 antibody EPR20043 was incubated for 16mins at 37°C. Sections were counterstained with Hematoxylin II. Image inset shows absence of staining with IgG isotype control antibody ab172730.

Customers are encouraged to optimise antigen retrieval conditions, antibody concentration, incubation times and temperature for best results in their own IHC assay workflow (automated and manual)

Immunocytochemistry/ Immunofluorescence - Anti-TROP2 antibody [EPR20043] (AB214488)
  • ICC/IF

Supplier Data

Immunocytochemistry/ Immunofluorescence - Anti-TROP2 antibody [EPR20043] (AB214488)

Immunofluorescent analysis of 4% paraformaldehyde-fixed 0.1% Triton X-100 permeabilized MCF7 (Human breast adenocarcinoma cell line) cells labeling TROP2 with ab214488 at 1/100 dilution followed by Goat Anti-Rabbit IgG H&L (Alexa Fluor® 488) (ab150077) secondary antibody at 1/1000 dilution (green).

Confocal image showing membrane and weakly cytoplasmic staining on MCF7 cell line.

The nuclear counterstain is DAPI (blue).

Tubulin is detected with Anti-alpha Tubulin antibody [DM1A] - Microtubule Marker (Alexa Fluor® 594) (ab195889) at 1/200 dilution (red).

Secondary antibody only control : Used PBS instead of primary antibody secondary antibody is Goat Anti-Rabbit IgG H&L (Alexa Fluor® 488) (ab150077) at 1/1000 dilution.

Perform heat mediated antigen retrieval with Tris/EDTA buffer pH 9.0 before commencing with IHC staining protocol.

Immunocytochemistry/ Immunofluorescence - Anti-TROP2 antibody [EPR20043] (AB214488)
  • ICC/IF

Supplier Data

Immunocytochemistry/ Immunofluorescence - Anti-TROP2 antibody [EPR20043] (AB214488)

Immunofluorescent analysis of 4% paraformaldehyde-fixed 0.1% Triton X-100 permeabilized HCT 116 (Human colorectal carcinoma cell line) cells labeling TROP2 with ab214488 at 1/100 dilution followed by Goat Anti-Rabbit IgG H&L (Alexa Fluor® 488) (ab150077) secondary antibody at 1/1000 dilution (green).

Confocal image showing membrane staining on HCT 116 cell line.

The nuclear counterstain is DAPI (blue).

Tubulin is detected with Anti-alpha Tubulin antibody [DM1A] - Microtubule Marker (Alexa Fluor® 594) (ab195889) at 1/200 dilution (red).

Secondary antibody only control : Used PBS instead of primary antibody secondary antibody is Goat Anti-Rabbit IgG (Alexa Fluor® 488) (ab150077) at 1/1000 dilution.

Flow Cytometry (Intracellular) - Anti-TROP2 antibody [EPR20043] (AB214488)
  • Flow Cyt (Intra)

Unknown

Flow Cytometry (Intracellular) - Anti-TROP2 antibody [EPR20043] (AB214488)

Intracellular flow cytometric analysis of 4% paraformaldehyde-fixed MCF7 (Human breast adenocarcinoma cell line) cells labeling TROP2 with ab214488 at 1/60 dilution (red) compared with aRabbit IgG, monoclonal [EPR25A] - Isotype Control (ab172730; black) and an unlabelled control (cells without incubation with primary antibody and secondary antibody; blue). Goat anti rabbit IgG (Alexa Fluor® 488) at 1/2000 dilution was used as the secondary antibody. The permeabilization step was done using 90% methanol for 30 mins at -20 degrees.

Immunohistochemistry (Formalin/PFA-fixed paraffin-embedded sections) - Anti-TROP2 antibody [EPR20043] (AB214488)
  • IHC-P

Supplier Data

Immunohistochemistry (Formalin/PFA-fixed paraffin-embedded sections) - Anti-TROP2 antibody [EPR20043] (AB214488)

Immunohistochemical analysis of paraffin-embedded human breast tissue labeling TROP2 with ab214488 at 1/2000 dilution followed by Goat Anti-Rabbit IgG H&L (HRP) at 1/500 dilution.

Membrane staining on the duct epithelium of human breast is observed.

Counter stained with Hematoxylin.

Secondary antibody only control : Used PBS instead of primary antibody secondary antibody is Goat Anti-Rabbit IgG H&L (HRP) at 1/500 dilution.

Perform heat mediated antigen retrieval with Tris/EDTA buffer pH 9.0 before commencing with IHC staining protocol.

Immunohistochemistry (Formalin/PFA-fixed paraffin-embedded sections) - Anti-TROP2 antibody [EPR20043] (AB214488)
  • IHC-P

Supplier Data

Immunohistochemistry (Formalin/PFA-fixed paraffin-embedded sections) - Anti-TROP2 antibody [EPR20043] (AB214488)

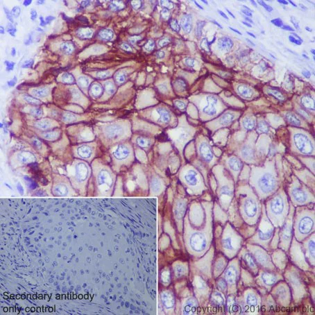
Immunohistochemical analysis of paraffin-embedded human cervix cancer tissue labeling TROP2 with ab214488 at 1/2000 dilution followed by Goat Anti-Rabbit IgG H&L (HRP) at 1/500 dilution.

Membrane staining on the tumor cells of human cervix cancer is observed.

Counter stained with Hematoxylin.

Secondary antibody only control : Used PBS instead of primary antibody secondary antibody is Goat Anti-Rabbit IgG H&L (HRP) at 1/500 dilution.

Perform heat mediated antigen retrieval with Tris/EDTA buffer pH 9.0 before commencing with IHC staining protocol.

Immunohistochemistry (Formalin/PFA-fixed paraffin-embedded sections) - Anti-TROP2 antibody [EPR20043] (AB214488)
  • IHC-P

Supplier Data

Immunohistochemistry (Formalin/PFA-fixed paraffin-embedded sections) - Anti-TROP2 antibody [EPR20043] (AB214488)

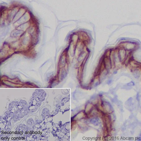
Immunohistochemical analysis of paraffin-embedded human skin tissue labeling TROP2 with ab214488 at 1/2000 dilution followed by Goat Anti-Rabbit IgG H&L (HRP) at 1/500 dilution.

Membrane staining on the squamous epithelium of human skin is observed.

Counter stained with Hematoxylin.

Secondary antibody only control : Used PBS instead of primary antibody secondary antibody is Goat Anti-Rabbit IgG H&L (HRP) at 1/500 dilution.

Perform heat mediated antigen retrieval with Tris/EDTA buffer pH 9.0 before commencing with IHC staining protocol.

Immunocytochemistry - Anti-TROP2 antibody [EPR20043] (AB214488)
  • ICC

AbReview78401****

Immunocytochemistry - Anti-TROP2 antibody [EPR20043] (AB214488)

Immunocytochemistry analysis of acetone-fixed human keratinocytes staining with ab214488 at 1/500 dilution. Secondary antibody was Alexa Fluor® 488 Goat anti-rabbit-IgG at 1/500 dilution. Samples were incubated with the primary antibody with PBS for 1 hour at 21°C. Blocking was done using 4% serum for 30 minutes at 21°C

This image is courtesy of an anonymous Abreview

Immunohistochemistry (Formalin/PFA-fixed paraffin-embedded sections) - Anti-TROP2 antibody [EPR20043] (AB214488)
  • IHC-P

Lab

Immunohistochemistry (Formalin/PFA-fixed paraffin-embedded sections) - Anti-TROP2 antibody [EPR20043] (AB214488)

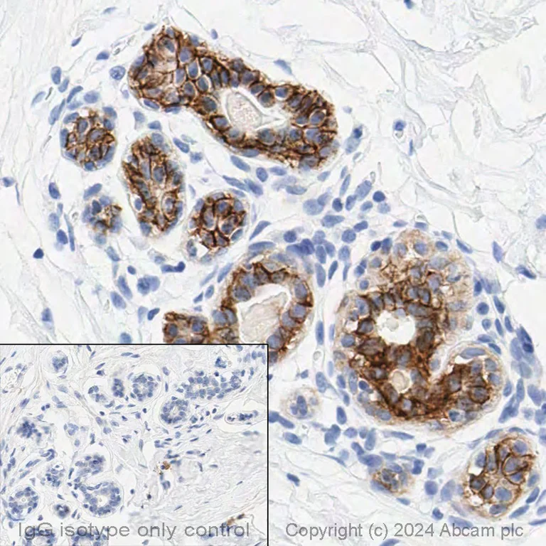
Immunohistochemical analysis of formalin fixed paraffin embedded Human breast labelling TROP2 with ab214488 at a concentration of 0.05 µg/ml. The immunostaining was performed on a Ventana DISCOVERY ULTRA (Roche Tissue Diagnostics) instrument with a OptiView DAB IHC Detection Kit. Heat mediated antigen retrieval was performed with DISCOVERY cell conditioning solution (CC1) 100°C, pH8.5 for 32mins.

ab214488 Anti TROP2 antibody EPR20043 was incubated for 16mins at 37°C. Sections were counterstained with Hematoxylin II. Image inset shows absence of staining with IgG isotype control antibody ab172730.

Customers are encouraged to optimise antigen retrieval conditions, antibody concentration, incubation times and temperature for best results in their own IHC assay workflow (automated and manual)

Immunohistochemistry (Formalin/PFA-fixed paraffin-embedded sections) - Anti-TROP2 antibody [EPR20043] (AB214488)
  • IHC-P

Lab

Immunohistochemistry (Formalin/PFA-fixed paraffin-embedded sections) - Anti-TROP2 antibody [EPR20043] (AB214488)

Immunohistochemical analysis of formalin fixed paraffin embedded wild type (top panel) or knock out (lower panel) MCF7 cells labelling TROP2 with ab214488 at a concentration of 0.03 µg/ml. The immunostaining was performed on a Leica Biosystems BOND® RX instrument with a Bond™ Polymer Refine Detection kit. Heat mediated antigen retrieval was performed with NaCi buffer (pH 6.0, Epitope Retrieval Solution 1) for 20mins.

ab214488 Anti TROP2 antibody EPR20043 was incubated for 15mins at room temperature. Sections were counterstained with Hematoxylin. Images to the left show absence of staining with IgG isotype control antibody ab172730.

Customers are encouraged to optimise antigen retrieval conditions, antibody concentration, incubation times and temperature for best results in their own IHC assay workflow (automated and manual)

Immunohistochemistry (Formalin/PFA-fixed paraffin-embedded sections) - Anti-TROP2 antibody [EPR20043] (AB214488)
  • IHC-P

Lab

Immunohistochemistry (Formalin/PFA-fixed paraffin-embedded sections) - Anti-TROP2 antibody [EPR20043] (AB214488)

Immunohistochemical analysis of formalin fixed paraffin embedded Human breast adenocarcinoma labelling TROP2 with ab214488 at a concentration of 0.05 µg/ml. The immunostaining was performed on a Ventana DISCOVERY ULTRA (Roche Tissue Diagnostics) instrument with a OptiView DAB IHC Detection Kit. Heat mediated antigen retrieval was performed with DISCOVERY cell conditioning solution (CC1) 100°C, pH8.5 for 32mins.

ab214488 Anti TROP2 antibody EPR20043 was incubated for 16mins at 37°C. Sections were counterstained with Hematoxylin II. Image inset shows absence of staining with IgG isotype control antibody ab172730.

Customers are encouraged to optimise antigen retrieval conditions, antibody concentration, incubation times and temperature for best results in their own IHC assay workflow (automated and manual)

Immunohistochemistry (Formalin/PFA-fixed paraffin-embedded sections) - Anti-TROP2 antibody [EPR20043] (AB214488)
  • IHC-P

Supplier Data

Immunohistochemistry (Formalin/PFA-fixed paraffin-embedded sections) - Anti-TROP2 antibody [EPR20043] (AB214488)

Immunohistochemical analysis of paraffin-embedded mouse skin tissue labeling TROP2 with ab214488 at 1/2000 dilution followed by Goat Anti-Rabbit IgG H&L (HRP) at 1/500 dilution.

Membrane staining on the squamous epithelium of mouse skin is observed.

Counter stained with Hematoxylin.

Secondary antibody only control : Used PBS instead of primary antibody secondary antibody is Goat Anti-Rabbit IgG H&L (HRP) at 1/500 dilution.

Perform heat mediated antigen retrieval with Tris/EDTA buffer pH 9.0 before commencing with IHC staining protocol.

Immunohistochemistry (Formalin/PFA-fixed paraffin-embedded sections) - Anti-TROP2 antibody [EPR20043] (AB214488)
  • IHC-P

Lab

Immunohistochemistry (Formalin/PFA-fixed paraffin-embedded sections) - Anti-TROP2 antibody [EPR20043] (AB214488)

Immunohistochemical analysis of paraffin-embedded rat skin tissue labeling TACD2 with ab214488 at 1/2000 dilution, followed by Goat Anti-Rabbit IgG H&L (HRP) at 1/500 dilution.

Membrane staining on the squamous epithelium of rat skin is observed.

Counter stained with Hematoxylin.

Secondary antibody only control : Used PBS instead of primary antibody, secondary antibody is Goat Anti-Rabbit IgG H&L (HRP) at 1/500 dilution.

Western blot - Anti-TROP2 antibody [EPR20043] (AB214488)
  • WB

Supplier Data

Western blot - Anti-TROP2 antibody [EPR20043] (AB214488)

Blocking/Dilution buffer : 5% NFDM/TBST.

Exposure time : Lane 1/3 : 2 seconds; Lane 2 : 1 minute.

TROP2 is highly glycosylated and appears as band around 37-50kDa.The molecular weight observed is consistent with what has been described in the literature (PMID : 23070813)

All lanes:

Western blot - Anti-TROP2 antibody [EPR20043] (ab214488) at 1/2000 dilution

Lane 1:

HCT 116 (Human colorectal carcinoma cell line) whole cell lysate at 10 µg

Lane 2:

PC-3 (Human prostate adenocarcinoma cell line) whole cell lysate at 10 µg

Lane 3:

MCF7 (Human breast adenocarcinoma cell line) whole cell lysate at 10 µg

Secondary

All lanes:

Western blot - Goat Anti-Rabbit IgG H&L (HRP) (<a href='/en-us/products/secondary-antibodies/goat-rabbit-igg-h-l-hrp-ab97051'>ab97051</a>) at 1/100000 dilution

Predicted band size: 36 kDa

Observed band size: 37-50 kDa

false

Western blot - Anti-TROP2 antibody [EPR20043] (AB214488)
  • WB

Supplier Data

Western blot - Anti-TROP2 antibody [EPR20043] (AB214488)

Blocking/Dilution buffer : 5% NFDM/TBST.

Exposure time : Lane 1/3 : 3 seconds; Lane 2 : 5 seconds; Lane 4 : 15 seconds.

Lanes 1 - 3:

Western blot - Anti-TROP2 antibody [EPR20043] (ab214488) at 1/2000 dilution

Lane 4:

Western blot - Anti-TROP2 antibody [EPR20043] (ab214488) at 1/5000 dilution

Lane 1:

Human breast cancer lysate at 10 µg

Lane 2:

Human skin lysate at 10 µg

Lane 3:

Human placenta lysate at 10 µg

Lane 4:

Human prostate cancer lysate at 10 µg

Secondary

All lanes:

Goat Anti-Rabbit IgG Peroxidase Conjugate, specific to the non-reduced form of IgG at 1/10000 dilution

Predicted band size: 36 kDa

Observed band size: 37-50 kDa

false

Western blot - Anti-TROP2 antibody [EPR20043] (AB214488)
  • WB

Lab

Western blot - Anti-TROP2 antibody [EPR20043] (AB214488)

Blocking and diluting buffer and concentration : 5% NFDM /TBST. ab181602 was used as a GAPDH loading control. Negative sample : A549 (PMID : 22419550). TROP2 is highly glycosylated and appears as band around 37-50kDa.The molecular weight observed is consistent with what has been described in the literature (PMID : 23070813).

All lanes:

Western blot - Anti-TROP2 antibody [EPR20043] (ab214488) at 1/2000 dilution

Lane 1:

Mouse skin lysate at 20 µg

Lane 2:

Mouse kidney lysate at 20 µg

Lane 3:

Mouse lung lysate at 20 µg

Lane 4:

Rat skin lysate at 20 µg

Lane 5:

Rat lung lysate at 20 µg

Secondary

All lanes:

Western blot - Goat Anti-Rabbit IgG H&L (HRP) (<a href='/en-us/products/secondary-antibodies/goat-rabbit-igg-h-l-hrp-ab97051'>ab97051</a>) at 1/20000 dilution

Predicted band size: 36 kDa

false

Exposure time: 60s

  • Carrier free

    Anti-TROP2 antibody [EPR20043] - BSA and Azide free

  • 519 Alexa Fluor® 488

    Alexa Fluor® 488 Anti-TROP2 antibody [EPR20043]

  • Carrier free

    Anti-TROP2 antibody [EPR20043] - Low endotoxin, Azide free

  • 665 Alexa Fluor® 647

    Alexa Fluor® 647 Anti-TROP2 antibody [EPR20043]

  • 660 APC

    APC Anti-TROP2 antibody [EPR20043]

  • HRP

    HRP Anti-TROP2 antibody [EPR20043]

  • 617 Alexa Fluor® 594

    Alexa Fluor® 594 Anti-TROP2 antibody [EPR20043]

  • 603 Alexa Fluor® 568

    Alexa Fluor® 568 Anti-TROP2 antibody [EPR20043]

  • 578 PE

    PE Anti-TROP2 antibody [EPR20043]

  • 775 Alexa Fluor® 750

    Alexa Fluor® 750 Anti-TROP2 antibody [EPR20043]

Key facts

Host species

Rabbit

Clonality

Monoclonal

Clone number

EPR20043

Isotype

IgG

Carrier free

No

Reacts with

Rat, Mouse, Human

Applications

WB, ICC/IF, IHC-P, Flow Cyt (Intra)

applications

Immunogen

The exact immunogen used to generate this antibody is proprietary information.

Reactivity data

{ "title": "Reactivity Data", "filters": { "stats": ["", "Species", "Dilution Info", "Notes"], "tabs": { "all-applications": {"fullname" : "All Applications", "shortname": "All Applications"}, "WB" : {"fullname" : "Western blot", "shortname":"WB"}, "ICCIF" : {"fullname" : "Immunocytochemistry/ Immunofluorescence", "shortname":"ICC/IF"}, "FlowCytIntra" : {"fullname" : "Flow Cytometry (Intracellular)", "shortname":"Flow Cyt (Intra)"}, "IHCP" : {"fullname" : "Immunohistochemistry (Formalin/PFA-fixed paraffin-embedded sections)", "shortname":"IHC-P"} }, "product-promise": { "all": "all", "testedAndGuaranteed": "tested", "guaranteed": "expected", "predicted": "predicted", "notRecommended": "not-recommended" } }, "values": { "Human": { "WB-species-checked": "testedAndGuaranteed", "WB-species-dilution-info": "1/2000", "WB-species-notes": "<p></p>", "ICCIF-species-checked": "testedAndGuaranteed", "ICCIF-species-dilution-info": "1/100", "ICCIF-species-notes": "<p></p>", "FlowCytIntra-species-checked": "testedAndGuaranteed", "FlowCytIntra-species-dilution-info": "1/60", "FlowCytIntra-species-notes": "<p><a href='/en-us/products/primary-antibodies/rabbit-igg-monoclonal-epr25a-isotype-control-ab172730'>ab172730</a> - Rabbit monoclonal IgG, is suitable for use as an isotype control with this antibody.</p>", "IHCP-species-checked": "testedAndGuaranteed", "IHCP-species-dilution-info": "1/2000", "IHCP-species-notes": "<p>ab214488 is recommended for mouse and rat in IHC</p> Perform heat-mediated antigen retrieval with Tris/EDTA buffer pH 9.0 before commencing with IHC staining protocol." }, "Mouse": { "WB-species-checked": "testedAndGuaranteed", "WB-species-dilution-info": "1/2000", "WB-species-notes": "<p></p>", "ICCIF-species-checked": "guaranteed", "ICCIF-species-dilution-info": "", "ICCIF-species-notes": "", "FlowCytIntra-species-checked": "guaranteed", "FlowCytIntra-species-dilution-info": "", "FlowCytIntra-species-notes": "", "IHCP-species-checked": "testedAndGuaranteed", "IHCP-species-dilution-info": "1/2000", "IHCP-species-notes": "<p>ab214488 is recommended for mouse and rat in IHC</p> Perform heat-mediated antigen retrieval with Tris/EDTA buffer pH 9.0 before commencing with IHC staining protocol." }, "Rat": { "WB-species-checked": "testedAndGuaranteed", "WB-species-dilution-info": "1/2000", "WB-species-notes": "<p></p>", "ICCIF-species-checked": "guaranteed", "ICCIF-species-dilution-info": "", "ICCIF-species-notes": "", "FlowCytIntra-species-checked": "guaranteed", "FlowCytIntra-species-dilution-info": "", "FlowCytIntra-species-notes": "", "IHCP-species-checked": "testedAndGuaranteed", "IHCP-species-dilution-info": "1/2000", "IHCP-species-notes": "<p>ab214488 is recommended for mouse and rat in IHC</p> Perform heat-mediated antigen retrieval with Tris/EDTA buffer pH 9.0 before commencing with IHC staining protocol." } } }

Product details

Anti-TROP2 antibody [EPR20043] (ab214488) was developed by Abcam using patented rabbit monoclonal antibody technology and is validated for use in Flow Cyt (Intra), ICC/IF, IHC-P and WB.

Abcam's high quality manufacturing and validation processes ensure Anti-TROP2 antibody [EPR20043] (ab214488) has high sensitivity and specificity alongside high lot-to-lot consistency and reproducibility.

The specificity of Anti-TROP2 antibody [EPR20043] (ab214488) has been confirmed by Western Blot testing in TROP2 knockout MCF7 cells.

Anti-TROP2 antibody [EPR20043] (ab214488) has 9 independent reviews from customers.

Anti-TROP2 antibody [EPR20043] (ab214488) specifically detects TROP2 (UniProt ID: P09758; Molecular weight: 34kDa) and is sold in 100 µL and 1 mL selling sizes.

Conjugation-ready, carrier free format available for antibody clone EPR20043 - ab222935.

Antibody clone EPR20043 is also available pre-conjugated to a variety of labels for your convenience - Alexa Fluor® 647, Alexa Fluor® 488, PE, APC, HRP, Alkaline Phosphatase, Alexa Fluor® 594, Alexa Fluor® 568, Alexa Fluor® 750 (ab281582, ab281933, ab303028, ab303029, ab303030, ab308661, ab310365, ab312357, ab321379).

TROP2 is a cell surface protein that is overexpressed in various cancers, playing a crucial role in tumor growth and metastasis. In immuno-oncology, TROP2 is a target for antibody-drug conjugates and is associated with resistance to certain immunotherapies.

Patented technology
Our RabMAb® technology is a patented hybridoma-based technology for making rabbit monoclonal antibodies. For details on our patents, please refer to RabMAb® patents.

What are the advantages of a recombinant monoclonal antibody?
This product is a recombinant monoclonal antibody, which offers several advantages including:

  • - High batch-to-batch consistency and reproducibility
  • - Improved sensitivity and specificity
  • - Long-term security of supply
  • - Animal-free batch production

For more information, read more on recombinant antibodies.

Properties and storage information

Form
Liquid
Purification technique
Affinity purification Protein A
Storage buffer
pH: 7.2 - 7.4 Preservative: 0.01% Sodium azide Constituents: PBS, 40% Glycerol (glycerin, glycerine), 0.05% BSA
Shipped at conditions
Blue Ice
Appropriate short-term storage duration
1-2 weeks
Appropriate short-term storage conditions
+4°C
Appropriate long-term storage conditions
-20°C
Aliquoting information
Upon delivery aliquot
Storage information
Avoid freeze / thaw cycle

Supplementary information

This supplementary information is collated from multiple sources and compiled automatically.

TROP2 also known as TACSTD2 or tumor-associated calcium signal transducer 2 is a single-pass type I membrane glycoprotein. This protein is about 35 kDa in mass and primarily expresses in epithelial tissues. It acts as a transmembrane receptor that plays a role in signal transduction due to its domain structure binding and activation processes on the cell surface. TROP2 exhibits high expression in several types of tumors making it a potential target for therapeutic antibodies like anti-TROP2 anti trop2 or anti-TROP-2.
Biological function summary

TROP2 mediates calcium signaling and cell proliferation. It functions by being a part of a signaling complex on the cell membrane which affects multiple cellular activities such as cell growth motility and survival. Its role in maintaining the integrity of the epithelial cell layer also shows TROP2's significance in normal tissue homeostasis. The interaction of TROP2 with the extracellular matrix and other cell surface proteins support the structural integrity and communication between cells.

Pathways

TROP2 plays a central role in the PI3K/AKT and MAPK signaling pathways that regulate cell growth and survival. Within these pathways TROP2 works in concert with proteins like ERK and AKT important for transmitting extracellular signals into appropriate cellular responses. These pathways are key regulators of many physiological processes including cell cycle progression and apoptosis prevention.

TROP2 is strongly associated with several types of cancers particularly epithelial cancers like breast and pancreatic cancer. Overexpression of TROP2 in tumors often correlates with poor prognosis and aggressive disease phenotypes. Interaction between TROP2 and proteins like EGFR in cancer cell signaling pathways amplifies tumor progression and metastasis. Understanding these associations makes TROP2 a significant target in developing therapeutic strategies for cancer treatment.

Product protocols

For this product, it's our understanding that no specific protocols are required. You can visit:

Target data

May function as a growth factor receptor.
See full target information TACSTD2

Publications (45)

Recent publications for all applications. Explore the full list and refine your search

Journal of cancer research and clinical oncology 151:279 PubMed41055771

2025

Expression and therapeutic potential of TROP2 in cisplatin-resistant germ cell tumors.

Applications

Unspecified application

Species

Unspecified reactive species

Laurenz Sperber,Melanie von Brandenstein,Carolina Kessler,Julian Heidenreich,Enno Storz,David Pfister,Pia Paffenholz,Yuri Tolkach,Marit Bernhardt,Ralph Wirtz,Markus Eckstein,Axel Heidenreich,Richard Weiten

Theranostics 15:9558-9579 PubMed41041045

2025

Luminal Stem-like Cells in High-Risk/Locally Advanced Prostate Cancer Promote Resistance to Hormonal Therapy.

Applications

Unspecified application

Species

Unspecified reactive species

Guyu Tang,Jing Liu,Xiaomei Gao,Kai Yuan,Minfeng Chen,Long Wang,Lin Qi,Yi Cai

Anticancer research 45:4169-4180 PubMed41006022

2025

Immunohistochemical Evaluation of Tumor Characteristic Retention in Triple-negative Breast Cancer PDOX Models.

Applications

Unspecified application

Species

Unspecified reactive species

Shotaro Inoue,Mayuko Miki,Sachiko Mizumoto,Mayuko Yamamoto,Motoi Baba,Hirokazu Tanino,Tomonari Kunihisa,Sachiko Inubushi

Communications biology 8:1305 PubMed40883550

2025

Overcoming platinum-resistant ovarian cancer targeting the activated JAK-STAT pathways via extracellular vesicles.

Applications

Unspecified application

Species

Unspecified reactive species

Kazuhiro Suzuki,Akira Yokoi,Kosuke Yoshida,Hironori Suzuki,Masami Kitagawa,Eri Asano-Inami,Seiko Matsuo,Masato Yoshihara,Satoshi Tamauchi,Nobuhisa Yoshikawa,Kaoru Niimi,Tamotsu Sudo,Satoshi Yamaguchi,Yusuke Yamamoto,Hiroaki Kajiyama

World journal of urology 43:522 PubMed40888912

2025

TROP-2 overexpression in papillary renal cell carcinoma supports its potential as a therapeutic target for antibody-drug-conjugate therapy.

Applications

Unspecified application

Species

Unspecified reactive species

Carolina Kessler,Melanie von Brandenstein,Niklas Klümper,Philipp Krausewitz,Enno Storz,Constantin Rieger,Laurenz Sperber,Pia Paffenholz,Yuri Tolkach,Ralph Wirtz,Markus Eckstein,Axel Heidenreich,Richard Weiten

Nature genetics 57:2177-2191 PubMed40858905

2025

ERG-driven prostate cancer initiation is cell-context dependent and requires KMT2A and DOT1L.

Applications

Unspecified application

Species

Unspecified reactive species

Weiran Feng,Erik Ladewig,Matthew Lange,Nazifa Salsabeel,Huiyong Zhao,Young Sun Lee,Anuradha Gopalan,Hanzhi Luo,Wenfei Kang,Ning Fan,Eric Rosiek,Elisa de Stanchina,Yu Chen,Brett S Carver,Christina S Leslie,Charles L Sawyers

Therapeutic advances in medical oncology 17:17588359251361877 PubMed40838147

2025

Expression patterns of TROP2 and Nectin-4 in oropharyngeal squamous cell carcinoma in relation to HPV status: potential biomarkers for targeted therapy.

Applications

Unspecified application

Species

Unspecified reactive species

Charlotte Klasen,Hans N C Eckel,Nora Wuerdemann,Joseph Böckelmann,Karl Knipper,Malte Suchan,Kariem Sharaf,Shachi Jenny Sharma,Helen Abing,Arthur Charpentier,Julia Esser,Kevin Hansen,Marcel Mayer,Louis Jansen,Jens Peter Klußmann,Alexander Quaas,Su Ir Lyu

Journal of translational medicine 23:853 PubMed40739577

2025

High Trop-2 expression in pulmonary sarcomatoid carcinoma reveals antibody-drug conjugate targeting Trop-2 is a promising therapeutic approach.

Applications

Unspecified application

Species

Unspecified reactive species

Xiaoying Qian,Chuanhong Luo,Chen Fang,Yongbin Wu,Weiwei Hong,Biao Yu,Guizhen Qin,Yan Yin,Xinyuan Yao,Xin Ye,Bingbiao Zhou,Chengsi Shu,Dengying Chen,Zhaoqing Li,Shanshan Wang,Yong Wang,Yong Li

eLife 13: PubMed40705412

2025

Rho-ROCK liberates sequestered claudin for rapid de novo tight junction formation.

Applications

Unspecified application

Species

Unspecified reactive species

Yuma Cho,Akari Taniguchi,Akiharu Kubo,Junichi Ikenouchi

Stem cell research & therapy 16:170 PubMed40221753

2025

Tcf4 regulates secretory cell fate decisions in the small intestine and colon tumors: insights from transcriptomic, histological, and microbiome analyses.

Applications

Unspecified application

Species

Unspecified reactive species

Lucie Janeckova,Monika Stastna,Dusan Hrckulak,Linda Berkova,Jan Kubovciak,Jakub Onhajzer,Vitezslav Kriz,Stela Dostalikova,Tereza Mullerova,Katerina Vecerkova,Marketa Tenglerova,Stepan Coufal,Klara Kostovcikova,Richard S Blumberg,Dominik Filipp,Konrad Basler,Tomas Valenta,Michal Kolar,Vladimir Korinek
View all publications
enhancedValidationDataWebsite
en

Product promise

We are committed to supporting your work with high-quality reagents, and we're here for you every step of the way. In the unlikely event that one of our products does not perform as expected, you're protected by our Product Promise.
For full details, please see our Terms & Conditions

Please note: All products are 'FOR RESEARCH USE ONLY. NOT FOR USE IN DIAGNOSTIC OR THERAPEUTIC PROCEDURES'.

For licensing inquiries, please contact partnerships@abcam.com