JavaScript is disabled in your browser. Please enable JavaScript to view this website.
AB222935

Anti-TROP2 antibody [EPR20043] - Low endotoxin, Azide free

Be the first to review this product! Submit a review

|

(1 Publication)

Rabbit Recombinant Monoclonal TROP2 antibody. Carrier free. Suitable for WB, ICC/IF, Flow Cyt (Intra), IHC-P and reacts with Mouse, Human, Rat samples. Cited in 1 publication.

View Alternative Names

GA733-1, M1S1, TROP2, TACSTD2, Tumor-associated calcium signal transducer 2, Cell surface glycoprotein Trop-2, Membrane component chromosome 1 surface marker 1, Pancreatic carcinoma marker protein GA733-1

13 Images
Immunohistochemistry (Formalin/PFA-fixed paraffin-embedded sections) - Anti-TROP2 antibody [EPR20043] - Low endotoxin, Azide free (AB222935)
  • IHC-P

Lab

Immunohistochemistry (Formalin/PFA-fixed paraffin-embedded sections) - Anti-TROP2 antibody [EPR20043] - Low endotoxin, Azide free (AB222935)

This data was developed using the same antibody clone in a different buffer formulation containing PBS, BSA, glycerol, and sodium azide (ab214488).

Immunohistochemical analysis of formalin fixed paraffin embedded Human skin labelling TROP2 with ab214488 at a concentration of 0.05 µg/ml. The immunostaining was performed on a Ventana DISCOVERY ULTRA (Roche Tissue Diagnostics) instrument with a OptiView DAB IHC Detection Kit. Heat mediated antigen retrieval was performed with DISCOVERY cell conditioning solution (CC1) 100°C, pH8.5 for 32mins.

ab214488 Anti TROP2 antibody EPR20043 was incubated for 16mins at 37°C. Sections were counterstained with Hematoxylin II. Image inset shows absence of staining with IgG isotype control antibody ab172730.

Customers are encouraged to optimise antigen retrieval conditions, antibody concentration, incubation times and temperature for best results in their own IHC assay workflow (automated and manual)

Immunocytochemistry/ Immunofluorescence - Anti-TROP2 antibody [EPR20043] - Low endotoxin, Azide free (AB222935)
  • ICC/IF

Supplier Data

Immunocytochemistry/ Immunofluorescence - Anti-TROP2 antibody [EPR20043] - Low endotoxin, Azide free (AB222935)

Immunofluorescent analysis of 4% paraformaldehyde-fixed 0.1% Triton X-100 permeabilized HCT 116 (Human colorectal carcinoma cell line) cells labeling TROP2 with ab214488 at 1/100 dilution followed by Goat Anti-Rabbit IgG H&L (Alexa Fluor® 488) (ab150077) secondary antibody at 1/1000 dilution (green).

Confocal image showing membrane staining on HCT 116 cell line.

The nuclear counterstain is DAPI (blue).

Tubulin is detected with Anti-alpha Tubulin antibody [DM1A] - Microtubule Marker (Alexa Fluor® 594) (ab195889) at 1/200 dilution (red).

Secondary antibody only control : Used PBS instead of primary antibody secondary antibody is Goat Anti-Rabbit IgG (Alexa Fluor® 488) (ab150077) at 1/1000 dilution.

This data was developed using the same antibody clone in a different buffer formulation containing PBS BSA glycerol and sodium azide (ab214488).

Flow Cytometry (Intracellular) - Anti-TROP2 antibody [EPR20043] - Low endotoxin, Azide free (AB222935)
  • Flow Cyt (Intra)

Unknown

Flow Cytometry (Intracellular) - Anti-TROP2 antibody [EPR20043] - Low endotoxin, Azide free (AB222935)

Intracellular flow cytometric analysis of 4% paraformaldehyde-fixed MCF7 (Human breast adenocarcinoma cell line) cells labeling TROP2 with ab214488 at 1/60 dilution (red) compared with aRabbit IgG, monoclonal [EPR25A] - Isotype Control (ab172730; black) and an unlabelled control (cells without incubation with primary antibody and secondary antibody; blue). Goat anti rabbit IgG (Alexa Fluor® 488) at 1/2000 dilution was used as the secondary antibody.

This data was developed using the same antibody clone in a different buffer formulation containing PBS, BSA, glycerol, and sodium azide (ab214488).

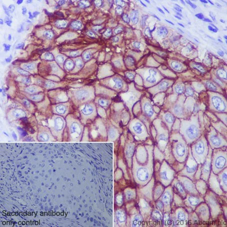
Immunohistochemistry (Formalin/PFA-fixed paraffin-embedded sections) - Anti-TROP2 antibody [EPR20043] - Low endotoxin, Azide free (AB222935)
  • IHC-P

Supplier Data

Immunohistochemistry (Formalin/PFA-fixed paraffin-embedded sections) - Anti-TROP2 antibody [EPR20043] - Low endotoxin, Azide free (AB222935)

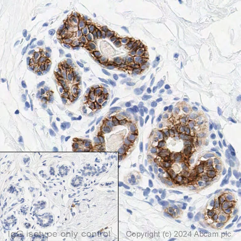
Immunohistochemical analysis of paraffin-embedded human breast tissue labeling TROP2 with ab214488 at 1/2000 dilution followed by Goat Anti-Rabbit IgG H&L (HRP) at 1/500 dilution.

Membrane staining on the duct epithelium of human breast is observed.

Counter stained with Hematoxylin.

Secondary antibody only control : Used PBS instead of primary antibody secondary antibody is Goat Anti-Rabbit IgG H&L (HRP) at 1/500 dilution.

This data was developed using the same antibody clone in a different buffer formulation containing PBS BSA glycerol and sodium azide (ab214488).

Perform heat mediated antigen retrieval with Tris/EDTA buffer pH 9.0 before commencing with IHC staining protocol.

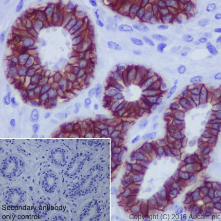
Immunohistochemistry (Formalin/PFA-fixed paraffin-embedded sections) - Anti-TROP2 antibody [EPR20043] - Low endotoxin, Azide free (AB222935)
  • IHC-P

Supplier Data

Immunohistochemistry (Formalin/PFA-fixed paraffin-embedded sections) - Anti-TROP2 antibody [EPR20043] - Low endotoxin, Azide free (AB222935)

Immunohistochemical analysis of paraffin-embedded human cervix cancer tissue labeling TROP2 with ab214488 at 1/2000 dilution followed by Goat Anti-Rabbit IgG H&L (HRP) at 1/500 dilution.

Membrane staining on the tumor cells of human cervix cancer is observed.

Counter stained with Hematoxylin.

Secondary antibody only control : Used PBS instead of primary antibody secondary antibody is Goat Anti-Rabbit IgG H&L (HRP) at 1/500 dilution.

This data was developed using the same antibody clone in a different buffer formulation containing PBS BSA glycerol and sodium azide (ab214488).

Perform heat mediated antigen retrieval with Tris/EDTA buffer pH 9.0 before commencing with IHC staining protocol.

Immunohistochemistry (Formalin/PFA-fixed paraffin-embedded sections) - Anti-TROP2 antibody [EPR20043] - Low endotoxin, Azide free (AB222935)
  • IHC-P

Lab

Immunohistochemistry (Formalin/PFA-fixed paraffin-embedded sections) - Anti-TROP2 antibody [EPR20043] - Low endotoxin, Azide free (AB222935)

This data was developed using the same antibody clone in a different buffer formulation containing PBS, BSA, glycerol, and sodium azide (ab214488).

Immunohistochemical analysis of formalin fixed paraffin embedded wild type (top panel) or knock out (lower panel) MCF7 cells labelling TROP2 with ab214488 at a concentration of 0.03 µg/ml. The immunostaining was performed on a Leica Biosystems BOND® RX instrument with a Bond™ Polymer Refine Detection kit. Heat mediated antigen retrieval was performed with NaCi buffer (pH 6.0, Epitope Retrieval Solution 1) for 20mins.

ab214488 Anti TROP2 antibody EPR20043 was incubated for 15mins at room temperature. Sections were counterstained with Hematoxylin. Images to the left show absence of staining with IgG isotype control antibody ab172730.

Customers are encouraged to optimise antigen retrieval conditions, antibody concentration, incubation times and temperature for best results in their own IHC assay workflow (automated and manual)

Immunohistochemistry (Formalin/PFA-fixed paraffin-embedded sections) - Anti-TROP2 antibody [EPR20043] - Low endotoxin, Azide free (AB222935)
  • IHC-P

Lab

Immunohistochemistry (Formalin/PFA-fixed paraffin-embedded sections) - Anti-TROP2 antibody [EPR20043] - Low endotoxin, Azide free (AB222935)

This data was developed using the same antibody clone in a different buffer formulation containing PBS, BSA, glycerol, and sodium azide (ab214488).

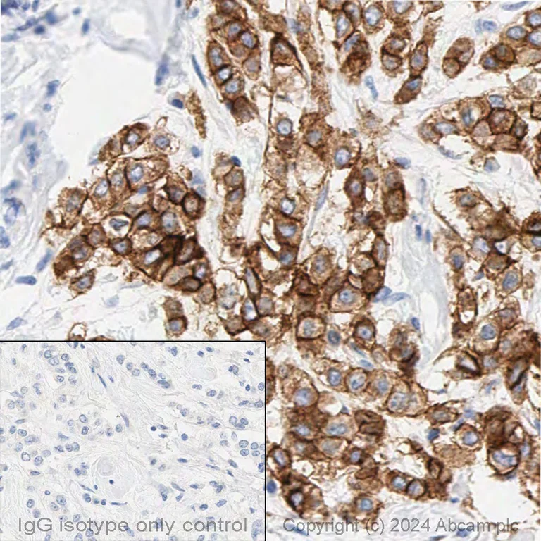
Immunohistochemical analysis of formalin fixed paraffin embedded Human breast adenocarcinoma labelling TROP2 with ab214488 at a concentration of 0.05 µg/ml. The immunostaining was performed on a Ventana DISCOVERY ULTRA (Roche Tissue Diagnostics) instrument with a OptiView DAB IHC Detection Kit. Heat mediated antigen retrieval was performed with DISCOVERY cell conditioning solution (CC1) 100°C, pH8.5 for 32mins.

ab214488 Anti TROP2 antibody EPR20043 was incubated for 16mins at 37°C. Sections were counterstained with Hematoxylin II. Image inset shows absence of staining with IgG isotype control antibody ab172730.

Customers are encouraged to optimise antigen retrieval conditions, antibody concentration, incubation times and temperature for best results in their own IHC assay workflow (automated and manual)

Immunocytochemistry/ Immunofluorescence - Anti-TROP2 antibody [EPR20043] - Low endotoxin, Azide free (AB222935)
  • ICC/IF

Supplier Data

Immunocytochemistry/ Immunofluorescence - Anti-TROP2 antibody [EPR20043] - Low endotoxin, Azide free (AB222935)

Immunofluorescent analysis of 4% paraformaldehyde-fixed 0.1% Triton X-100 permeabilized MCF7 (Human breast adenocarcinoma cell line) cells labeling TROP2 with ab214488 at 1/100 dilution followed by Goat Anti-Rabbit IgG H&L (Alexa Fluor® 488) (ab150077) secondary antibody at 1/1000 dilution (green).

Confocal image showing membrane and weakly cytoplasmic staining on MCF7 cell line.

The nuclear counterstain is DAPI (blue).

Tubulin is detected with Anti-alpha Tubulin antibody [DM1A] - Microtubule Marker (Alexa Fluor® 594) (ab195889) at 1/200 dilution (red).

Secondary antibody only control : Used PBS instead of primary antibody secondary antibody is Goat Anti-Rabbit IgG H&L (Alexa Fluor® 488) (ab150077) at 1/1000 dilution.

This data was developed using the same antibody clone in a different buffer formulation containing PBS BSA glycerol and sodium azide (ab214488).

Perform heat mediated antigen retrieval with Tris/EDTA buffer pH 9.0 before commencing with IHC staining protocol.

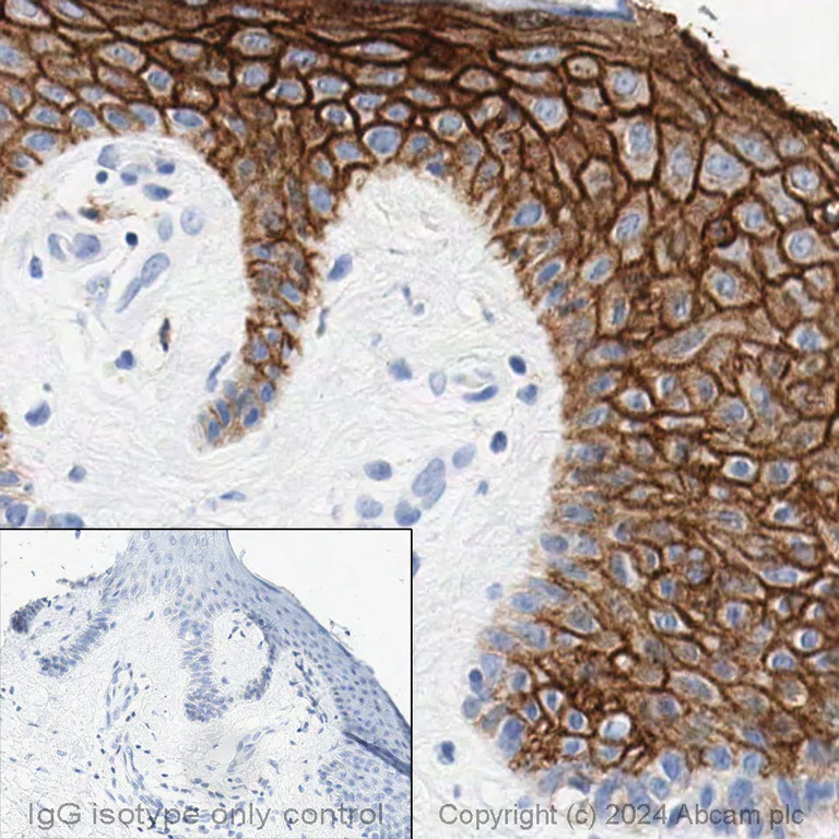
Immunohistochemistry (Formalin/PFA-fixed paraffin-embedded sections) - Anti-TROP2 antibody [EPR20043] - Low endotoxin, Azide free (AB222935)
  • IHC-P

Supplier Data

Immunohistochemistry (Formalin/PFA-fixed paraffin-embedded sections) - Anti-TROP2 antibody [EPR20043] - Low endotoxin, Azide free (AB222935)

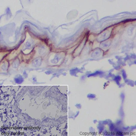
Immunohistochemical analysis of paraffin-embedded human skin tissue labeling TROP2 with ab214488 at 1/2000 dilution followed by Goat Anti-Rabbit IgG H&L (HRP) at 1/500 dilution.

Membrane staining on the squamous epithelium of human skin is observed.

Counter stained with Hematoxylin.

Secondary antibody only control : Used PBS instead of primary antibody secondary antibody is Goat Anti-Rabbit IgG H&L (HRP) at 1/500 dilution.

This data was developed using the same antibody clone in a different buffer formulation containing PBS BSA glycerol and sodium azide (ab214488).

Perform heat mediated antigen retrieval with Tris/EDTA buffer pH 9.0 before commencing with IHC staining protocol.

Immunohistochemistry (Formalin/PFA-fixed paraffin-embedded sections) - Anti-TROP2 antibody [EPR20043] - Low endotoxin, Azide free (AB222935)
  • IHC-P

Lab

Immunohistochemistry (Formalin/PFA-fixed paraffin-embedded sections) - Anti-TROP2 antibody [EPR20043] - Low endotoxin, Azide free (AB222935)

This data was developed using the same antibody clone in a different buffer formulation containing PBS, BSA, glycerol, and sodium azide (ab214488).

Immunohistochemical analysis of formalin fixed paraffin embedded Human breast labelling TROP2 with ab214488 at a concentration of 0.05 µg/ml. The immunostaining was performed on a Ventana DISCOVERY ULTRA (Roche Tissue Diagnostics) instrument with a OptiView DAB IHC Detection Kit. Heat mediated antigen retrieval was performed with DISCOVERY cell conditioning solution (CC1) 100°C, pH8.5 for 32mins.

ab214488 Anti TROP2 antibody EPR20043 was incubated for 16mins at 37°C. Sections were counterstained with Hematoxylin II. Image inset shows absence of staining with IgG isotype control antibody ab172730.

Customers are encouraged to optimise antigen retrieval conditions, antibody concentration, incubation times and temperature for best results in their own IHC assay workflow (automated and manual)

Immunohistochemistry (Formalin/PFA-fixed paraffin-embedded sections) - Anti-TROP2 antibody [EPR20043] - Low endotoxin, Azide free (AB222935)
  • IHC-P

Supplier Data

Immunohistochemistry (Formalin/PFA-fixed paraffin-embedded sections) - Anti-TROP2 antibody [EPR20043] - Low endotoxin, Azide free (AB222935)

Immunohistochemical analysis of paraffin-embedded mouse skin tissue labeling TROP2 with ab214488 at 1/2000 dilution followed by Goat Anti-Rabbit IgG H&L (HRP) at 1/500 dilution.

Membrane staining on the squamous epithelium of mouse skin is observed.

Counter stained with Hematoxylin.

Secondary antibody only control : Used PBS instead of primary antibody secondary antibody is Goat Anti-Rabbit IgG H&L (HRP) at 1/500 dilution.

This data was developed using the same antibody clone in a different buffer formulation containing PBS BSA glycerol and sodium azide (ab214488).

Perform heat mediated antigen retrieval with Tris/EDTA buffer pH 9.0 before commencing with IHC staining protocol.

Immunohistochemistry (Formalin/PFA-fixed paraffin-embedded sections) - Anti-TROP2 antibody [EPR20043] - Low endotoxin, Azide free (AB222935)
  • IHC-P

Lab

Immunohistochemistry (Formalin/PFA-fixed paraffin-embedded sections) - Anti-TROP2 antibody [EPR20043] - Low endotoxin, Azide free (AB222935)

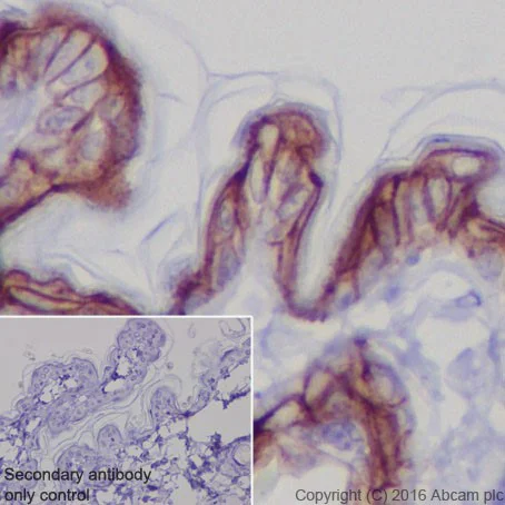
Immunohistochemical analysis of paraffin-embedded rat skin tissue labeling TACD2 with ab214488 at 1/2000 dilution, followed by Goat Anti-Rabbit IgG H&L (HRP) at 1/500 dilution.

Membrane staining on the squamous epithelium of rat skin is observed.

Counter stained with Hematoxylin.

Secondary antibody only control : Used PBS instead of primary antibody, secondary antibody is Goat Anti-Rabbit IgG H&L (HRP) at 1/500 dilution.

This data was developed using the same antibody clone in a different buffer formulation containing PBS, BSA, glycerol, and sodium azide (ab214488).

Western blot - Anti-TROP2 antibody [EPR20043] - Low endotoxin, Azide free (AB222935)
  • WB

Lab

Western blot - Anti-TROP2 antibody [EPR20043] - Low endotoxin, Azide free (AB222935)

This data was developed using the same antibody clone in a different buffer formulation containing PBS, BSA, glycerol, and sodium azide (ab214488). Blocking and diluting buffer and concentration : 5% NFDM /TBST. ab181602 was used as a GAPDH loading control. Negative sample : A549 (PMID : 22419550). TROP2 is highly glycosylated and appears as band around 37-50kDa.The molecular weight observed is consistent with what has been described in the literature (PMID : 23070813).

All lanes:

Western blot - Anti-TROP2 antibody [EPR20043] (<a href='/en-us/products/primary-antibodies/trop2-antibody-epr20043-ab214488'>ab214488</a>) at 1/2000 dilution

Lane 1:

Mouse skin lysate at 20 µg

Lane 2:

Mouse kidney lysate at 20 µg

Lane 3:

Mouse lung lysate at 20 µg

Lane 4:

Rat skin lysate at 20 µg

Lane 5:

Rat lung lysate at 20 µg

Secondary

All lanes:

Western blot - Goat Anti-Rabbit IgG H&L (HRP) (<a href='/en-us/products/secondary-antibodies/goat-rabbit-igg-h-l-hrp-ab97051'>ab97051</a>) at 1/20000 dilution

Predicted band size: 36 kDa

false

Exposure time: 60s

  • Carrier free

    Anti-TROP2 antibody [EPR20043] - BSA and Azide free

  • Unconjugated

    Anti-TROP2 antibody [EPR20043]

  • 775 Alexa Fluor® 750

    Alexa Fluor® 750 Anti-TROP2 antibody [EPR20043]

  • 519 Alexa Fluor® 488

    Alexa Fluor® 488 Anti-TROP2 antibody [EPR20043]

  • 665 Alexa Fluor® 647

    Alexa Fluor® 647 Anti-TROP2 antibody [EPR20043]

  • 578 PE

    PE Anti-TROP2 antibody [EPR20043]

  • 660 APC

    APC Anti-TROP2 antibody [EPR20043]

  • HRP

    HRP Anti-TROP2 antibody [EPR20043]

  • 617 Alexa Fluor® 594

    Alexa Fluor® 594 Anti-TROP2 antibody [EPR20043]

  • 603 Alexa Fluor® 568

    Alexa Fluor® 568 Anti-TROP2 antibody [EPR20043]

Key facts

Host species

Rabbit

Clonality

Monoclonal

Clone number

EPR20043

Isotype

IgG

Carrier free

Yes

Reacts with

Rat, Mouse, Human

Applications

WB, ICC/IF, IHC-P, Flow Cyt (Intra)

applications

Immunogen

The exact immunogen used to generate this antibody is proprietary information.

Reactivity data

{ "title": "Reactivity Data", "filters": { "stats": ["", "Species", "Dilution Info", "Notes"], "tabs": { "all-applications": {"fullname" : "All Applications", "shortname": "All Applications"}, "WB" : {"fullname" : "Western blot", "shortname":"WB"}, "ICCIF" : {"fullname" : "Immunocytochemistry/ Immunofluorescence", "shortname":"ICC/IF"}, "FlowCytIntra" : {"fullname" : "Flow Cytometry (Intracellular)", "shortname":"Flow Cyt (Intra)"}, "IHCP" : {"fullname" : "Immunohistochemistry (Formalin/PFA-fixed paraffin-embedded sections)", "shortname":"IHC-P"} }, "product-promise": { "all": "all", "testedAndGuaranteed": "tested", "guaranteed": "expected", "predicted": "predicted", "notRecommended": "not-recommended" } }, "values": { "Human": { "WB-species-checked": "testedAndGuaranteed", "WB-species-dilution-info": "", "WB-species-notes": "<p></p>", "ICCIF-species-checked": "testedAndGuaranteed", "ICCIF-species-dilution-info": "", "ICCIF-species-notes": "<p></p>", "FlowCytIntra-species-checked": "testedAndGuaranteed", "FlowCytIntra-species-dilution-info": "", "FlowCytIntra-species-notes": "<p><a href='/en-us/products/primary-antibodies/rabbit-igg-monoclonal-epr25a-isotype-control-low-endotoxin-azide-free-ab199376'>ab199376</a> - Rabbit monoclonal IgG, is suitable for use as an isotype control with this antibody.</p>", "IHCP-species-checked": "testedAndGuaranteed", "IHCP-species-dilution-info": "", "IHCP-species-notes": "<p><a href='/en-us/products/primary-antibodies/trop2-antibody-epr20043-ab214488'>ab214488</a> is recommended for mouse and rat in IHC</p>" }, "Mouse": { "WB-species-checked": "testedAndGuaranteed", "WB-species-dilution-info": "", "WB-species-notes": "<p></p>", "ICCIF-species-checked": "guaranteed", "ICCIF-species-dilution-info": "", "ICCIF-species-notes": "", "FlowCytIntra-species-checked": "guaranteed", "FlowCytIntra-species-dilution-info": "", "FlowCytIntra-species-notes": "", "IHCP-species-checked": "testedAndGuaranteed", "IHCP-species-dilution-info": "", "IHCP-species-notes": "<p><a href='/en-us/products/primary-antibodies/trop2-antibody-epr20043-ab214488'>ab214488</a> is recommended for mouse and rat in IHC</p>" }, "Rat": { "WB-species-checked": "testedAndGuaranteed", "WB-species-dilution-info": "", "WB-species-notes": "<p></p>", "ICCIF-species-checked": "guaranteed", "ICCIF-species-dilution-info": "", "ICCIF-species-notes": "", "FlowCytIntra-species-checked": "guaranteed", "FlowCytIntra-species-dilution-info": "", "FlowCytIntra-species-notes": "", "IHCP-species-checked": "testedAndGuaranteed", "IHCP-species-dilution-info": "", "IHCP-species-notes": "<p><a href='/en-us/products/primary-antibodies/trop2-antibody-epr20043-ab214488'>ab214488</a> is recommended for mouse and rat in IHC</p>" } } }

Product details

ab222935 is the carrier-free version of ab214488.

Patented technology
Our RabMAb® technology is a patented hybridoma-based technology for making rabbit monoclonal antibodies. For details on our patents, please refer to RabMAb® patents.

What are the advantages of a recombinant monoclonal antibody?
This product is a recombinant monoclonal antibody, which offers several advantages including:

  • - High batch-to-batch consistency and reproducibility
  • - Improved sensitivity and specificity
  • - Long-term security of supply
  • - Animal-free batch production

For more information, read more on recombinant antibodies.

Conjugation ready
Our carrier-free antibodies are typically supplied in a PBS-only formulation, purified and free of BSA, sodium azide and glycerol. This conjugation-ready format is designed for use with fluorochromes, metal isotopes, oligonucleotides, and enzymes, which makes them ideal for antibody labelling, functional and cell-based assays, flow-based assays (e.g. mass cytometry) and Multiplex Imaging applications.

Use our conjugation kits for antibody conjugates that are ready-to-use in as little as 20 minutes with 1 minute hands-on-time and 100% antibody recovery: available for fluorescent dyes, HRP, biotin and gold.

Compatibility
This product is compatible with the Maxpar® Antibody Labeling Kit from Fluidigm, without the need for antibody preparation. Maxpar® is a trademark of Fluidigm Canada Inc.

What does low endotoxin mean?
Our low endotoxin, azide-free formats have low endotoxin level (1 EU/mg, determined by the TAL assay) and are free from azide, to achieve consistent experimental results in functional assays.

Properties and storage information

Form
Liquid
Purification technique
Affinity purification Protein A
Storage buffer
pH: 7.2 - 7.4 Constituents: PBS
Shipped at conditions
Blue Ice
Appropriate short-term storage conditions
+4°C
Appropriate long-term storage conditions
+4°C
Storage information
Do Not Freeze

Supplementary information

This supplementary information is collated from multiple sources and compiled automatically.

TROP2 also known as TACSTD2 or tumor-associated calcium signal transducer 2 is a single-pass type I membrane glycoprotein. This protein is about 35 kDa in mass and primarily expresses in epithelial tissues. It acts as a transmembrane receptor that plays a role in signal transduction due to its domain structure binding and activation processes on the cell surface. TROP2 exhibits high expression in several types of tumors making it a potential target for therapeutic antibodies like anti-TROP2 anti trop2 or anti-TROP-2.
Biological function summary

TROP2 mediates calcium signaling and cell proliferation. It functions by being a part of a signaling complex on the cell membrane which affects multiple cellular activities such as cell growth motility and survival. Its role in maintaining the integrity of the epithelial cell layer also shows TROP2's significance in normal tissue homeostasis. The interaction of TROP2 with the extracellular matrix and other cell surface proteins support the structural integrity and communication between cells.

Pathways

TROP2 plays a central role in the PI3K/AKT and MAPK signaling pathways that regulate cell growth and survival. Within these pathways TROP2 works in concert with proteins like ERK and AKT important for transmitting extracellular signals into appropriate cellular responses. These pathways are key regulators of many physiological processes including cell cycle progression and apoptosis prevention.

TROP2 is strongly associated with several types of cancers particularly epithelial cancers like breast and pancreatic cancer. Overexpression of TROP2 in tumors often correlates with poor prognosis and aggressive disease phenotypes. Interaction between TROP2 and proteins like EGFR in cancer cell signaling pathways amplifies tumor progression and metastasis. Understanding these associations makes TROP2 a significant target in developing therapeutic strategies for cancer treatment.

Product protocols

For this product, it's our understanding that no specific protocols are required. You can visit:

Target data

May function as a growth factor receptor.
See full target information TACSTD2

Publications (1)

Recent publications for all applications. Explore the full list and refine your search

International journal of molecular medicine 52: PubMed37800598

2023

Flavin containing monooxygenase 2 regulates renal tubular cell fibrosis and paracrine secretion via SMURF2 in AKI‑CKD transformation.

Applications

Unspecified application

Species

Unspecified reactive species

Longfei Wang,Hongchu Zha,Jing Huang,Lang Shi
View all publications

Product promise

We are committed to supporting your work with high-quality reagents, and we're here for you every step of the way. In the unlikely event that one of our products does not perform as expected, you're protected by our Product Promise.
For full details, please see our Terms & Conditions

Please note: All products are 'FOR RESEARCH USE ONLY. NOT FOR USE IN DIAGNOSTIC OR THERAPEUTIC PROCEDURES'.

For licensing inquiries, please contact partnerships@abcam.com