JavaScript is disabled in your browser. Please enable JavaScript to view this website.
AB272014

Anti-TROP2 antibody [SP293] - BSA and Azide free

Be the first to review this product! Submit a review

|

(0 Publication)

Rabbit Recombinant Monoclonal TROP2 antibody. Carrier free. Suitable for WB, IHC-P, Flow Cyt (Intra) and reacts with Human, Mouse samples.

View Alternative Names

GA733-1, M1S1, TROP2, TACSTD2, Tumor-associated calcium signal transducer 2, Cell surface glycoprotein Trop-2, Membrane component chromosome 1 surface marker 1, Pancreatic carcinoma marker protein GA733-1

14 Images
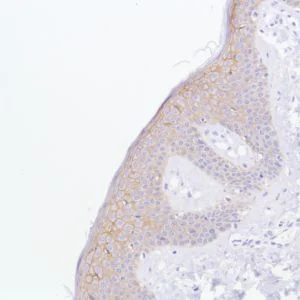
Immunohistochemistry (Formalin/PFA-fixed paraffin-embedded sections) - Anti-TROP2 antibody [SP293] - BSA and Azide free (AB272014)
  • IHC-P

Supplier Data

Immunohistochemistry (Formalin/PFA-fixed paraffin-embedded sections) - Anti-TROP2 antibody [SP293] - BSA and Azide free (AB272014)

Formalin-fixed, paraffin-embedded human skin tissue stained for TROP2 using ab227689 at 1/100 dilution in immunohistochemical analysis.

This data was developed using the same antibody clone in a different buffer formulation containing PBS, BSA, glycerol, and sodium azide (ab227689).

Immunohistochemistry (Formalin/PFA-fixed paraffin-embedded sections) - Anti-TROP2 antibody [SP293] - BSA and Azide free (AB272014)
  • IHC-P

Supplier Data

Immunohistochemistry (Formalin/PFA-fixed paraffin-embedded sections) - Anti-TROP2 antibody [SP293] - BSA and Azide free (AB272014)

Formalin-fixed, paraffin-embedded human tonsil tissue stained for TROP2 using ab227689 at 1/100 dilution in immunohistochemical analysis.

This data was developed using the same antibody clone in a different buffer formulation containing PBS, BSA, glycerol, and sodium azide (ab227689).

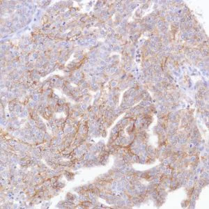
Immunohistochemistry (Formalin/PFA-fixed paraffin-embedded sections) - Anti-TROP2 antibody [SP293] - BSA and Azide free (AB272014)
  • IHC-P

Supplier Data

Immunohistochemistry (Formalin/PFA-fixed paraffin-embedded sections) - Anti-TROP2 antibody [SP293] - BSA and Azide free (AB272014)

Formalin-fixed, paraffin-embedded human ovarian adenocarcinoma tissue stained for TROP2 using ab227689 at 1/100 dilution in immunohistochemical analysis.

This data was developed using the same antibody clone in a different buffer formulation containing PBS, BSA, glycerol, and sodium azide (ab227689).

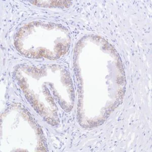
Immunohistochemistry (Formalin/PFA-fixed paraffin-embedded sections) - Anti-TROP2 antibody [SP293] - BSA and Azide free (AB272014)
  • IHC-P

Supplier Data

Immunohistochemistry (Formalin/PFA-fixed paraffin-embedded sections) - Anti-TROP2 antibody [SP293] - BSA and Azide free (AB272014)

Formalin-fixed, paraffin-embedded human prostate adenocarcinoma tissue stained for TROP2 using ab227689 at 1/100 dilution in immunohistochemical analysis.

This data was developed using the same antibody clone in a different buffer formulation containing PBS, BSA, glycerol, and sodium azide (ab227689).

Immunohistochemistry (Formalin/PFA-fixed paraffin-embedded sections) - Anti-TROP2 antibody [SP293] - BSA and Azide free (AB272014)
  • IHC-P

Supplier Data

Immunohistochemistry (Formalin/PFA-fixed paraffin-embedded sections) - Anti-TROP2 antibody [SP293] - BSA and Azide free (AB272014)

Formalin-fixed, paraffin-embedded human lung squamous cell carcinoma tissue stained for TROP2 using ab227689 at 1/100 dilution in immunohistochemical analysis.

This data was developed using the same antibody clone in a different buffer formulation containing PBS, BSA, glycerol, and sodium azide (ab227689).

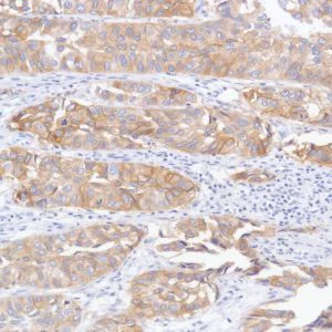
Immunohistochemistry (Formalin/PFA-fixed paraffin-embedded sections) - Anti-TROP2 antibody [SP293] - BSA and Azide free (AB272014)
  • IHC-P

Supplier Data

Immunohistochemistry (Formalin/PFA-fixed paraffin-embedded sections) - Anti-TROP2 antibody [SP293] - BSA and Azide free (AB272014)

Formalin-fixed, paraffin-embedded human prostate adenocarcinoma tissue stained for TROP2 using ab227689 at 1/100 dilution in immunohistochemical analysis.

This data was developed using the same antibody clone in a different buffer formulation containing PBS, BSA, glycerol, and sodium azide (ab227689).

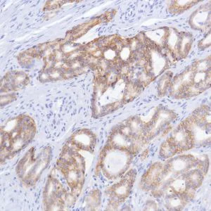
Immunohistochemistry (Formalin/PFA-fixed paraffin-embedded sections) - Anti-TROP2 antibody [SP293] - BSA and Azide free (AB272014)
  • IHC-P

Supplier Data

Immunohistochemistry (Formalin/PFA-fixed paraffin-embedded sections) - Anti-TROP2 antibody [SP293] - BSA and Azide free (AB272014)

Formalin-fixed, paraffin-embedded human prostate tissue stained for TROP2 using ab227689 at 1/100 dilution in immunohistochemical analysis.

This data was developed using the same antibody clone in a different buffer formulation containing PBS, BSA, glycerol, and sodium azide (ab227689).

Immunohistochemistry (Formalin/PFA-fixed paraffin-embedded sections) - Anti-TROP2 antibody [SP293] - BSA and Azide free (AB272014)
  • IHC-P

Supplier Data

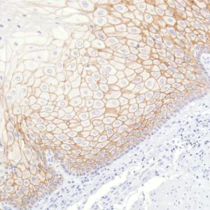
Immunohistochemistry (Formalin/PFA-fixed paraffin-embedded sections) - Anti-TROP2 antibody [SP293] - BSA and Azide free (AB272014)

Formalin-fixed, paraffin-embedded human skin squamous cell carcinoma tissue stained for TROP2 using ab227689 at 1/100 dilution in immunohistochemical analysis.

This data was developed using the same antibody clone in a different buffer formulation containing PBS, BSA, glycerol, and sodium azide (ab227689).

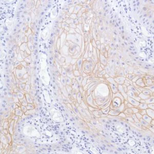
Immunohistochemistry (Formalin/PFA-fixed paraffin-embedded sections) - Anti-TROP2 antibody [SP293] - BSA and Azide free (AB272014)
  • IHC-P

Unknown

Immunohistochemistry (Formalin/PFA-fixed paraffin-embedded sections) - Anti-TROP2 antibody [SP293] - BSA and Azide free (AB272014)

Formalin-fixed, paraffin-embedded human bladder transitional cell carcinoma tissue stained for TROP2 using ab227689 at 1/100 dilution in immunohistochemical analysis.

This data was developed using the same antibody clone in a different buffer formulation containing PBS, BSA, glycerol, and sodium azide (ab227689).

Immunohistochemistry (Formalin/PFA-fixed paraffin-embedded sections) - Anti-TROP2 antibody [SP293] - BSA and Azide free (AB272014)
  • IHC-P

Supplier Data

Immunohistochemistry (Formalin/PFA-fixed paraffin-embedded sections) - Anti-TROP2 antibody [SP293] - BSA and Azide free (AB272014)

Formalin-fixed, paraffin-embedded human esophagus tissue stained for TROP2 using ab227689 at 1/100 dilution in immunohistochemical analysis.

This data was developed using the same antibody clone in a different buffer formulation containing PBS, BSA, glycerol, and sodium azide (ab227689).

Flow Cytometry (Intracellular) - Anti-TROP2 antibody [SP293] - BSA and Azide free (AB272014)
  • Flow Cyt (Intra)

Supplier Data

Flow Cytometry (Intracellular) - Anti-TROP2 antibody [SP293] - BSA and Azide free (AB272014)

Intracellular Flow Cytometry analysis of SK-BR-3 (human mammary gland adenocarcinoma cell line) cells, labeling TROP2 with ab227689 at 1/100 dilution (green) compared to a Rabbit IgG negative control (blue).

This data was developed using the same antibody clone in a different buffer formulation containing PBS, BSA, glycerol, and sodium azide (ab227689).

Immunohistochemistry (Formalin/PFA-fixed paraffin-embedded sections) - Anti-TROP2 antibody [SP293] - BSA and Azide free (AB272014)
  • IHC-P

Supplier Data

Immunohistochemistry (Formalin/PFA-fixed paraffin-embedded sections) - Anti-TROP2 antibody [SP293] - BSA and Azide free (AB272014)

Formalin-fixed, paraffin-embedded human bladder tissue stained for TROP2 using ab227689 at 1/100 dilution in immunohistochemical analysis.

This data was developed using the same antibody clone in a different buffer formulation containing PBS, BSA, glycerol, and sodium azide (ab227689).

Immunohistochemistry (Formalin/PFA-fixed paraffin-embedded sections) - Anti-TROP2 antibody [SP293] - BSA and Azide free (AB272014)
  • IHC-P

Supplier Data

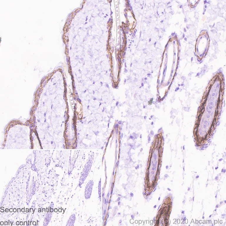
Immunohistochemistry (Formalin/PFA-fixed paraffin-embedded sections) - Anti-TROP2 antibody [SP293] - BSA and Azide free (AB272014)

Immunohistochemistry (Formalin/PFA-fixed paraffin-embedded sections) analysis of mouse skin tissue labelling TROP2 with ab227689 at 1/50 dilution. Heat mediated antigen retrieval was performed using Tris/EDTA buffer pH 9 for 20 minutes. The section was incubated with ab227689 for 10 mins at room temperature. The Rabbit specific IHC polymer detection kit HRP/DAB (ab209101) was used. Membranous staining on the mouse skin. Performed on a Leica Biosystems BOND® RX instrument. Negative control using PBS instead of primary antibody. Counterstained with hematoxylin.

This data was developed using the same antibody clone in a different buffer formulation containing PBS, BSA, glycerol, and sodium azide (ab227689).

Western blot - Anti-TROP2 antibody [SP293] - BSA and Azide free (AB272014)
  • WB

Lab

Western blot - Anti-TROP2 antibody [SP293] - BSA and Azide free (AB272014)

Blocking/Diluting buffer : 5% NFDM/TBST.

This data was developed using the same antibody clone in a different buffer formulation containing PBS, BSA, glycerol, and sodium azide (ab227689).

All lanes:

Western blot - Anti-TROP2 antibody [SP293] - C-terminal (<a href='/en-us/products/primary-antibodies/trop2-antibody-sp293-c-terminal-ab227689'>ab227689</a>) at 1/100 dilution

Lane 1:

bEnd.3 (mouse brain endothelioma) whole cell lysate at 20 µg

Lane 2:

4T1 (mouse mammary gland carcinoma epithelial cell) whole cell lysate at 20 µg

Lane 3:

LLC1 (mouse lung carcinoma) whole cell lysate at 20 µg

Lane 4:

B16F10 (Mouse skin melanoma) whole cell lysate at 20 µg

Secondary

All lanes:

Western blot - Goat Anti-Rabbit IgG H&L (HRP) (<a href='/en-us/products/secondary-antibodies/goat-rabbit-igg-h-l-hrp-ab97051'>ab97051</a>) at 1/100000 dilution

Predicted band size: 36 kDa

Observed band size: 37 kDa

false

Exposure time: 10s

  • Unconjugated

    Anti-TROP2 antibody [SP293] - C-terminal

  • 775 Alexa Fluor® 750

    Alexa Fluor® 750 Anti-TROP2 antibody [SP293] - C-terminal

  • 578 PE

    PE Anti-TROP2 antibody [SP293] (C-terminal)

  • 660 APC

    APC Anti-TROP2 antibody [SP293] (C-terminal)

  • HRP

    HRP Anti-TROP2 antibody [SP293] (C-terminal)

  • Alkaline Phosphatase

    Alkaline Phosphatase Anti-TROP2 antibody [SP293] - C-terminal

  • 519 Alexa Fluor® 488

    Alexa Fluor® 488 Anti-TROP2 antibody [SP293] - C-terminal

  • 665 Alexa Fluor® 647

    Alexa Fluor® 647 Anti-TROP2 antibody [SP293] - C-terminal

  • 617 Alexa Fluor® 594

    Alexa Fluor® 594 Anti-TROP2 antibody [SP293] - C-terminal

  • 565 Alexa Fluor® 555

    Alexa Fluor® 555 Anti-TROP2 antibody [SP293] - C-terminal

  • 603 Alexa Fluor® 568

    Alexa Fluor® 568 Anti-TROP2 antibody [SP293] - C-terminal

Key facts

Host species

Rabbit

Clonality

Monoclonal

Clone number

SP293

Isotype

IgG

Carrier free

Yes

Reacts with

Mouse, Human

Applications

WB, Flow Cyt (Intra), IHC-P

applications

Immunogen

The exact immunogen used to generate this antibody is proprietary information.

Reactivity data

{ "title": "Reactivity Data", "filters": { "stats": ["", "Species", "Dilution Info", "Notes"], "tabs": { "all-applications": {"fullname" : "All Applications", "shortname": "All Applications"}, "WB" : {"fullname" : "Western blot", "shortname":"WB"}, "IHCP" : {"fullname" : "Immunohistochemistry (Formalin/PFA-fixed paraffin-embedded sections)", "shortname":"IHC-P"}, "FlowCytIntra" : {"fullname" : "Flow Cytometry (Intracellular)", "shortname":"Flow Cyt (Intra)"} }, "product-promise": { "all": "all", "testedAndGuaranteed": "tested", "guaranteed": "expected", "predicted": "predicted", "notRecommended": "not-recommended" } }, "values": { "Human": { "WB-species-checked": "testedAndGuaranteed", "WB-species-dilution-info": "", "WB-species-notes": "<p></p>", "IHCP-species-checked": "testedAndGuaranteed", "IHCP-species-dilution-info": "", "IHCP-species-notes": "<p>Boil tissue section in EDTA buffer pH 8.0 for 10 minutes followed by cooling at room temperature for 20 minutes. Incubate with primary antibody for 10 minutes at room temperature. ;</p>", "FlowCytIntra-species-checked": "testedAndGuaranteed", "FlowCytIntra-species-dilution-info": "", "FlowCytIntra-species-notes": "<p></p>" }, "Mouse": { "WB-species-checked": "testedAndGuaranteed", "WB-species-dilution-info": "", "WB-species-notes": "<p></p>", "IHCP-species-checked": "testedAndGuaranteed", "IHCP-species-dilution-info": "", "IHCP-species-notes": "<p>Boil tissue section in EDTA buffer pH 8.0 for 10 minutes followed by cooling at room temperature for 20 minutes. Incubate with primary antibody for 10 minutes at room temperature. ;</p>", "FlowCytIntra-species-checked": "guaranteed", "FlowCytIntra-species-dilution-info": "", "FlowCytIntra-species-notes": "" } } }

Product details

ab272014 is the carrier-free version of ab227689.

Patented technology
Our RabMAb® technology is a patented hybridoma-based technology for making rabbit monoclonal antibodies. For details on our patents, please refer to RabMAb® patents.

What are the advantages of a recombinant monoclonal antibody?
This product is a recombinant monoclonal antibody, which offers several advantages including:

  • - High batch-to-batch consistency and reproducibility
  • - Improved sensitivity and specificity
  • - Long-term security of supply
  • - Animal-free batch production

For more information, read more on recombinant antibodies.

Conjugation ready
Our carrier-free antibodies are typically supplied in a PBS-only formulation, purified and free of BSA, sodium azide and glycerol. This conjugation-ready format is designed for use with fluorochromes, metal isotopes, oligonucleotides, and enzymes, which makes them ideal for antibody labelling, functional and cell-based assays, flow-based assays (e.g. mass cytometry) and Multiplex Imaging applications.

Use our conjugation kits for antibody conjugates that are ready-to-use in as little as 20 minutes with 1 minute hands-on-time and 100% antibody recovery: available for fluorescent dyes, HRP, biotin and gold.

Compatibility
This product is compatible with the Maxpar® Antibody Labeling Kit from Fluidigm, without the need for antibody preparation. Maxpar® is a trademark of Fluidigm Canada Inc.

Properties and storage information

Form
Liquid
Purification technique
Affinity purification Protein A/G
Purification notes
Purified from TCS by protein A/G.
Storage buffer
pH: 7.2 - 7.4 Constituents: PBS
Shipped at conditions
Blue Ice
Appropriate short-term storage conditions
+4°C
Appropriate long-term storage conditions
+4°C
Storage information
Do Not Freeze

Supplementary information

This supplementary information is collated from multiple sources and compiled automatically.

TROP2 also known as TACSTD2 or tumor-associated calcium signal transducer 2 is a single-pass type I membrane glycoprotein. This protein is about 35 kDa in mass and primarily expresses in epithelial tissues. It acts as a transmembrane receptor that plays a role in signal transduction due to its domain structure binding and activation processes on the cell surface. TROP2 exhibits high expression in several types of tumors making it a potential target for therapeutic antibodies like anti-TROP2 anti trop2 or anti-TROP-2.
Biological function summary

TROP2 mediates calcium signaling and cell proliferation. It functions by being a part of a signaling complex on the cell membrane which affects multiple cellular activities such as cell growth motility and survival. Its role in maintaining the integrity of the epithelial cell layer also shows TROP2's significance in normal tissue homeostasis. The interaction of TROP2 with the extracellular matrix and other cell surface proteins support the structural integrity and communication between cells.

Pathways

TROP2 plays a central role in the PI3K/AKT and MAPK signaling pathways that regulate cell growth and survival. Within these pathways TROP2 works in concert with proteins like ERK and AKT important for transmitting extracellular signals into appropriate cellular responses. These pathways are key regulators of many physiological processes including cell cycle progression and apoptosis prevention.

TROP2 is strongly associated with several types of cancers particularly epithelial cancers like breast and pancreatic cancer. Overexpression of TROP2 in tumors often correlates with poor prognosis and aggressive disease phenotypes. Interaction between TROP2 and proteins like EGFR in cancer cell signaling pathways amplifies tumor progression and metastasis. Understanding these associations makes TROP2 a significant target in developing therapeutic strategies for cancer treatment.

Product protocols

For this product, it's our understanding that no specific protocols are required. You can visit:

Target data

May function as a growth factor receptor.
See full target information TACSTD2

Product promise

We are committed to supporting your work with high-quality reagents, and we're here for you every step of the way. In the unlikely event that one of our products does not perform as expected, you're protected by our Product Promise.
For full details, please see our Terms & Conditions

Please note: All products are 'FOR RESEARCH USE ONLY. NOT FOR USE IN DIAGNOSTIC OR THERAPEUTIC PROCEDURES'.

For licensing inquiries, please contact partnerships@abcam.com