JavaScript is disabled in your browser. Please enable JavaScript to view this website.
AB237861

Anti-TROP2 antibody [TACSTD2/2153] - BSA and Azide free

Be the first to review this product! Submit a review

|

(1 Publication)

Mouse Monoclonal TROP2 antibody. Carrier free. Suitable for IHC-P, Protein Array and reacts with Human, Recombinant full length protein - Human samples. Cited in 1 publication. Immunogen corresponding to Recombinant Fragment Protein within Human TACSTD2 aa 1-300.

View Alternative Names

GA733-1, M1S1, TROP2, TACSTD2, Tumor-associated calcium signal transducer 2, Cell surface glycoprotein Trop-2, Membrane component chromosome 1 surface marker 1, Pancreatic carcinoma marker protein GA733-1

5 Images
Immunohistochemistry (Formalin/PFA-fixed paraffin-embedded sections) - Anti-TROP2 antibody [TACSTD2/2153] - BSA and Azide free (AB237861)
  • IHC-P

Supplier Data

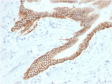
Immunohistochemistry (Formalin/PFA-fixed paraffin-embedded sections) - Anti-TROP2 antibody [TACSTD2/2153] - BSA and Azide free (AB237861)

Formalin-fixed, paraffin-embedded human colon carcinoma tissue stained for TROP2 using ab237861 at 2 μg/ml in immunohistochemical analysis.

Immunohistochemistry (Formalin/PFA-fixed paraffin-embedded sections) - Anti-TROP2 antibody [TACSTD2/2153] - BSA and Azide free (AB237861)
  • IHC-P

Supplier Data

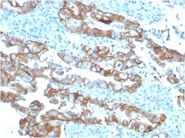
Immunohistochemistry (Formalin/PFA-fixed paraffin-embedded sections) - Anti-TROP2 antibody [TACSTD2/2153] - BSA and Azide free (AB237861)

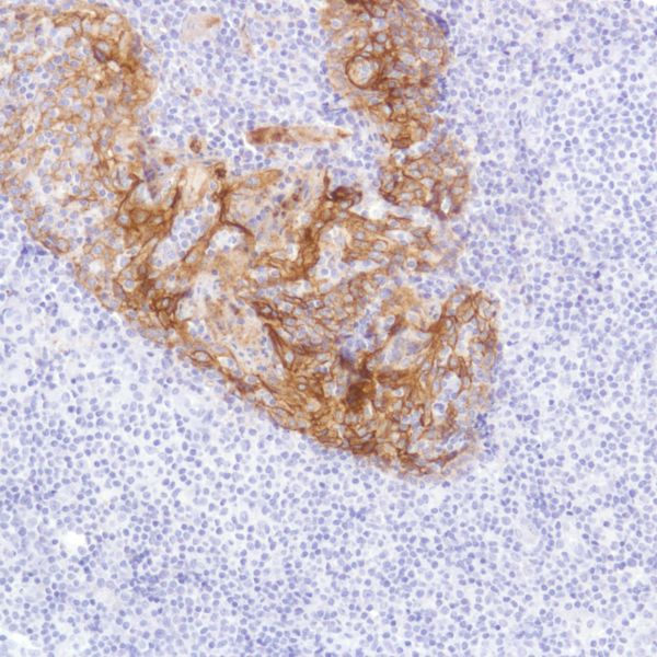
Formalin-fixed, paraffin-embedded human pancreatic carcinoma tissue stained for TROP2 using ab237861 at 2 μg/ml in immunohistochemical analysis.

Immunohistochemistry (Formalin/PFA-fixed paraffin-embedded sections) - Anti-TROP2 antibody [TACSTD2/2153] - BSA and Azide free (AB237861)
  • IHC-P

Supplier Data

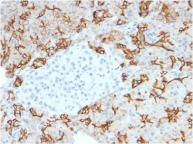
Immunohistochemistry (Formalin/PFA-fixed paraffin-embedded sections) - Anti-TROP2 antibody [TACSTD2/2153] - BSA and Azide free (AB237861)

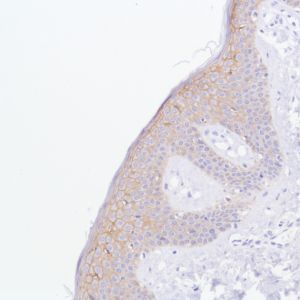
Formalin-fixed, paraffin-embedded human basal cell carcinoma tissue stained for TROP2 using ab237861 at 2 μg/ml in immunohistochemical analysis.

Immunohistochemistry (Formalin/PFA-fixed paraffin-embedded sections) - Anti-TROP2 antibody [TACSTD2/2153] - BSA and Azide free (AB237861)
  • IHC-P

Supplier Data

Immunohistochemistry (Formalin/PFA-fixed paraffin-embedded sections) - Anti-TROP2 antibody [TACSTD2/2153] - BSA and Azide free (AB237861)

Formalin-fixed, paraffin-embedded human pancreatic carcinoma tissue stained for TROP2 using ab237861 at 2 μg/ml in immunohistochemical analysis.

Protein Array - Anti-TROP2 antibody [TACSTD2/2153] - BSA and Azide free (AB237861)
  • Protein Array

Unknown

Protein Array - Anti-TROP2 antibody [TACSTD2/2153] - BSA and Azide free (AB237861)

This data was produced with ab238017, the same antibody in a different formulation with BSA and Azide.
ab238017 was tested in protein array against over 19000 different full-length human proteins.
Z- and S- Score : The Z-score represents the strength of a signal that a monoclonal antibody (MAb) (in combination with a fluorescently-tagged anti-IgG secondary antibody) produces when binding to a particular protein on the HuProtTM array. Z-scores are described in units of standard deviations (SD's) above the mean value of all signals generated on that array. If targets on HuProtTM are arranged in descending order of the Z-score, the S-score is the difference (also in units of SD's) between the Z-score. S-score therefore represents the relative target specificity of a MAb to its intended target.
A MAb is specific to its intended target if the MAb has an S-score of at least 2.5. For example, if a MAb binds to protein X with a Z-score of 43 and to protein Y with a Z-score of 14, then the S-score for the binding of that MAb to protein X is equal to 29.

Key facts

Host species

Mouse

Clonality

Monoclonal

Clone number

TACSTD2/2153

Isotype

IgG1

Light chain type

kappa

Carrier free

Yes

Reacts with

Human

Applications

Protein Array, IHC-P

applications

Immunogen

Recombinant Fragment Protein within Human TACSTD2 aa 1-300. The exact immunogen used to generate this antibody is proprietary information.

P09758

Reactivity data

{ "title": "Reactivity Data", "filters": { "stats": ["", "Species", "Dilution Info", "Notes"], "tabs": { "all-applications": {"fullname" : "All Applications", "shortname": "All Applications"}, "IHCP" : {"fullname" : "Immunohistochemistry (Formalin/PFA-fixed paraffin-embedded sections)", "shortname":"IHC-P"}, "ProteinArray" : {"fullname" : "Protein Array", "shortname":"Protein Array"} }, "product-promise": { "all": "all", "testedAndGuaranteed": "tested", "guaranteed": "expected", "predicted": "predicted", "notRecommended": "not-recommended" } }, "values": { "Human": { "IHCP-species-checked": "testedAndGuaranteed", "IHCP-species-dilution-info": "1-2 µg/mL", "IHCP-species-notes": "<p>Incubate with primary antibody for 30 minutes at RT</p>", "ProteinArray-species-checked": "guaranteed", "ProteinArray-species-dilution-info": "", "ProteinArray-species-notes": "" }, "Recombinant full length protein - Human": { "IHCP-species-checked": "notRecommended", "IHCP-species-dilution-info": "", "IHCP-species-notes": "", "ProteinArray-species-checked": "testedAndGuaranteed", "ProteinArray-species-dilution-info": "", "ProteinArray-species-notes": "<p></p>" } } }

Properties and storage information

Form
Liquid
Purification technique
Affinity purification Protein A/G
Purification notes
Purified from Bioreactor Concentrate by Protein A/G.
Storage buffer
pH: 7.2 - 7.4 Constituents: PBS
Shipped at conditions
Blue Ice
Appropriate short-term storage duration
1-2 weeks
Appropriate short-term storage conditions
+4°C
Appropriate long-term storage conditions
-20°C
Aliquoting information
Upon delivery aliquot
Storage information
Avoid freeze / thaw cycle

Supplementary information

This supplementary information is collated from multiple sources and compiled automatically.

TROP2 also known as TACSTD2 or tumor-associated calcium signal transducer 2 is a single-pass type I membrane glycoprotein. This protein is about 35 kDa in mass and primarily expresses in epithelial tissues. It acts as a transmembrane receptor that plays a role in signal transduction due to its domain structure binding and activation processes on the cell surface. TROP2 exhibits high expression in several types of tumors making it a potential target for therapeutic antibodies like anti-TROP2 anti trop2 or anti-TROP-2.
Biological function summary

TROP2 mediates calcium signaling and cell proliferation. It functions by being a part of a signaling complex on the cell membrane which affects multiple cellular activities such as cell growth motility and survival. Its role in maintaining the integrity of the epithelial cell layer also shows TROP2's significance in normal tissue homeostasis. The interaction of TROP2 with the extracellular matrix and other cell surface proteins support the structural integrity and communication between cells.

Pathways

TROP2 plays a central role in the PI3K/AKT and MAPK signaling pathways that regulate cell growth and survival. Within these pathways TROP2 works in concert with proteins like ERK and AKT important for transmitting extracellular signals into appropriate cellular responses. These pathways are key regulators of many physiological processes including cell cycle progression and apoptosis prevention.

TROP2 is strongly associated with several types of cancers particularly epithelial cancers like breast and pancreatic cancer. Overexpression of TROP2 in tumors often correlates with poor prognosis and aggressive disease phenotypes. Interaction between TROP2 and proteins like EGFR in cancer cell signaling pathways amplifies tumor progression and metastasis. Understanding these associations makes TROP2 a significant target in developing therapeutic strategies for cancer treatment.

Product protocols

For this product, it's our understanding that no specific protocols are required. You can visit:

Target data

May function as a growth factor receptor.
See full target information TACSTD2

Publications (1)

Recent publications for all applications. Explore the full list and refine your search

PLoS pathogens 20:e1012768 PubMed39652618

2024

Fatal Lassa fever in cynomolgus monkeys is associated with systemic viral dissemination and inflammation.

Applications

Unspecified application

Species

Unspecified reactive species

Jimmy Hortion,Emeline Perthame,Blaise Lafoux,Laura Soyer,Stéphanie Reynard,Alexandra Journeaux,Clara Germain,Hélène Lopez-Maestre,Natalia Pietrosemoli,Nicolas Baillet,Séverine Croze,Catherine Rey,Catherine Legras-Lachuer,Sylvain Baize
View all publications

Product promise

We are committed to supporting your work with high-quality reagents, and we're here for you every step of the way. In the unlikely event that one of our products does not perform as expected, you're protected by our Product Promise.
For full details, please see our Terms & Conditions

Please note: All products are 'FOR RESEARCH USE ONLY. NOT FOR USE IN DIAGNOSTIC OR THERAPEUTIC PROCEDURES'.

For licensing inquiries, please contact partnerships@abcam.com