JavaScript is disabled in your browser. Please enable JavaScript to view this website.
AB320824

Anti-Trophoblast specific protein alpha antibody [EPR28905-557] - BSA and Azide free

  • Advanced Validation
  • BOND RX™ Validated
  • Recombinant
  • RabMAb
  • What is this?

Be the first to review this product! Submit a review

|

(0 Publication)

Rabbit Recombinant Monoclonal Trophoblast specific protein alpha antibody. Carrier free. Suitable for Dot, IHC-P, mIHC and reacts with Recombinant fragment - Mouse, Mouse samples.

View Alternative Names

Tpbp, Tpbpa, Trophoblast-specific protein alpha

5 Images
Immunohistochemistry (Formalin/PFA-fixed paraffin-embedded sections) - Anti-Trophoblast specific protein alpha antibody [EPR28905-557] - BSA and Azide free (AB320824)
  • IHC-P

Supplier Data

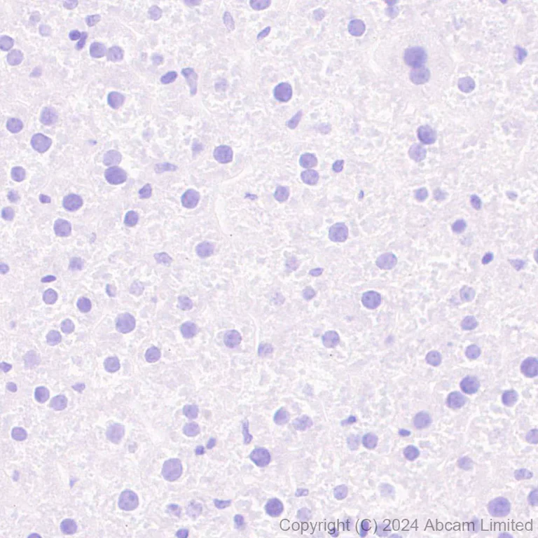
Immunohistochemistry (Formalin/PFA-fixed paraffin-embedded sections) - Anti-Trophoblast specific protein alpha antibody [EPR28905-557] - BSA and Azide free (AB320824)

This data was developed using ab320823, the same antibody clone in a different buffer formulation.

Immunohistochemical analysis of paraffin-embedded Mouse spleen tissue labeling Trophoblast specific protein alpha with ab320823 at 1/1000 (0.516 ug/ml) dilution, followed by a ready to use LeicaDS9800 (Bond™ Polymer Refine Detection).

Negative control : No staining in mouse spleen.
The section was incubated with ab320823 for 30 mins at room temperature.
The immunostaining was performed on a Leica Biosystems BOND® RX instrument

Counterstained with Hematoxylin.

Secondary antibody only control : Secondary antibody is a ready to use LeicaDS9800 (Bond™ Polymer Refine Detection).

Heat mediated antigen retrieval was performed with Tris-EDTA buffer (pH 9.0, Epitope Retrieval Solution2) for 20 mins

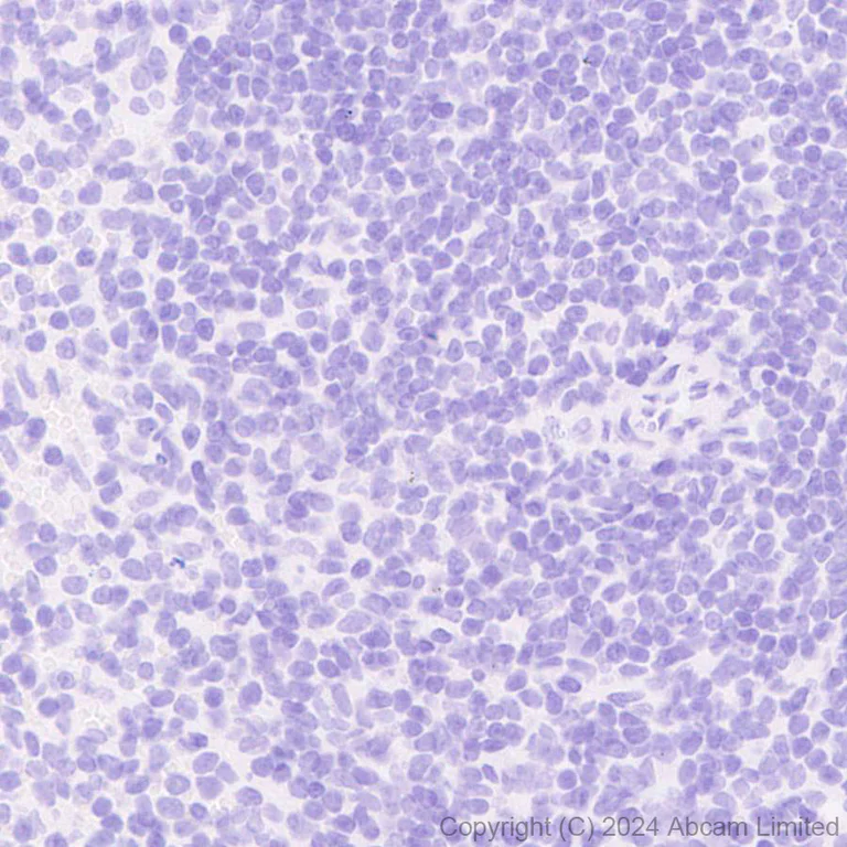
Immunohistochemistry (Formalin/PFA-fixed paraffin-embedded sections) - Anti-Trophoblast specific protein alpha antibody [EPR28905-557] - BSA and Azide free (AB320824)
  • IHC-P

Supplier Data

Immunohistochemistry (Formalin/PFA-fixed paraffin-embedded sections) - Anti-Trophoblast specific protein alpha antibody [EPR28905-557] - BSA and Azide free (AB320824)

This data was developed using ab320823, the same antibody clone in a different buffer formulation.

Immunohistochemical analysis of paraffin-embedded Mouse liver tissue labeling Trophoblast specific protein alpha with ab320823 at 1/1000 (0.516 ug/ml) dilution, followed by a ready to use LeicaDS9800 (Bond™ Polymer Refine Detection).

Negative control : No staining in mouse liver (PMID : 16251741).
The section was incubated with ab320823 for 30 mins at room temperature.
The immunostaining was performed on a Leica Biosystems BOND® RX instrument

Counterstained with Hematoxylin.

Secondary antibody only control : Secondary antibody is a ready to use LeicaDS9800 (Bond™ Polymer Refine Detection).

Heat mediated antigen retrieval was performed with Tris-EDTA buffer (pH 9.0, Epitope Retrieval Solution2) for 20 mins

Multiplex immunohistochemistry - Anti-Trophoblast specific protein alpha antibody [EPR28905-557] - BSA and Azide free (AB320824)
  • mIHC

Lab

Multiplex immunohistochemistry - Anti-Trophoblast specific protein alpha antibody [EPR28905-557] - BSA and Azide free (AB320824)

This data was developed using ab320823, the same antibody clone in a different buffer formulation.

Multiplex immunohistochemistry analysis of formalin/PFA-fixed paraffin-embedded mouse placenta tissue staining LOX 1 with ab317689 at a 1/2000 dilution, ab324045 anti-AP2 gamma used at 1/500 dilution and ab320823 anti-Trophoblast specific protein alpha used at a 1/1000 dilution.

Panel A : merged staining of anti-LOX 1 (green; Opal™520), anti-AP2 gamma (magenta; Opal™690) and anti-Trophoblast specific protein alpha (gray; Opal™570) on mouse placenta.

Panel B : anti-LOX 1 staining trophoblast in mouse placenta.

Panel C : ant-AP2 gamma staining trophoblast stem cell in mouse placenta.

Panel D : ant-Trophoblast specific protein alpha staining junctional zone in mouse placenta.

Nuclear DNA was labeled with DAPI (shown in blue).

The section was incubated in three rounds of staining : in the order of ab317689, ab324045 and ab320823 for 30 mins at room temperature. Each round was followed by a separate fluorescent tyramide signal amplification system.

The immunostaining was performed on a Leica Biosystems BOND® RX instrument with an Opal™ 4-color kit. Image acquisition was performed with Leica SP8 confocal microscope.

Heat mediated antigen retrieval was performed with Tris-EDTA buffer (pH 9.0, Epitope Retrieval Solution2) for 20 mins.

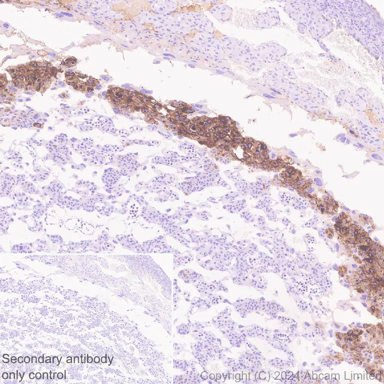
Immunohistochemistry (Formalin/PFA-fixed paraffin-embedded sections) - Anti-Trophoblast specific protein alpha antibody [EPR28905-557] - BSA and Azide free (AB320824)
  • IHC-P

Supplier Data

Immunohistochemistry (Formalin/PFA-fixed paraffin-embedded sections) - Anti-Trophoblast specific protein alpha antibody [EPR28905-557] - BSA and Azide free (AB320824)

This data was developed using ab320823, the same antibody clone in a different buffer formulation.

Immunohistochemical analysis of paraffin-embedded Mouse placenta tissue labeling Trophoblast specific protein alpha with ab320823 at 1/1000 (0.516 ug/ml) dilution, followed by a ready to use LeicaDS9800 (Bond™ Polymer Refine Detection).

Positive staining in junctional zone of mouse placenta (PMID : 33884443).
The section was incubated with ab320823 for 30 mins at room temperature.
The immunostaining was performed on a Leica Biosystems BOND® RX instrument

Counterstained with Hematoxylin.

Secondary antibody only control : Secondary antibody is a ready to use LeicaDS9800 (Bond™ Polymer Refine Detection).

Heat mediated antigen retrieval was performed with Tris-EDTA buffer (pH 9.0, Epitope Retrieval Solution2) for 20 mins

Dot Blot - Anti-Trophoblast specific protein alpha antibody [EPR28905-557] - BSA and Azide free (AB320824)
  • Dot

Supplier Data

Dot Blot - Anti-Trophoblast specific protein alpha antibody [EPR28905-557] - BSA and Azide free (AB320824)

This data was developed using ab320823, the same antibody clone in a different buffer formulation.

Dot blot analysis of Trophoblast specific protein alpha using ab320823 at 1 : 1000 (0.516 ug/ml) followed by a Goat Anti-Rabbit IgG, (H+L), Peroxidase conjugated (ab97051) at 1 : 100,000 dilution.

Blocking and diluting buffer and concentration : 5% NFDM/TBST.

All lanes:

Dot Blot - Anti-Trophoblast specific protein alpha antibody [EPR28905-557] (<a href='/en-us/products/primary-antibodies/trophoblast-specific-protein-alpha-antibody-epr28905-557-ab320823'>ab320823</a>) at 1/1000 dilution

All lanes:

His-tagged mouse Trophoblast specific protein alpha recombinant protein

Secondary

All lanes:

Dot Blot - Goat Anti-Rabbit IgG H&L (HRP) (<a href='/en-us/products/secondary-antibodies/goat-rabbit-igg-h-l-hrp-ab97051'>ab97051</a>) at 1/100000 dilution

false

Exposure time: 180s

  • Unconjugated

    Anti-Trophoblast specific protein alpha antibody [EPR28905-557]

Key facts

Host species

Rabbit

Clonality

Monoclonal

Clone number

EPR28905-557

Isotype

IgG

Carrier free

Yes

Reacts with

Mouse

Applications

IHC-P, mIHC, Dot

applications

Immunogen

The exact immunogen used to generate this antibody is proprietary information.

Reactivity data

{ "title": "Reactivity Data", "filters": { "stats": ["", "Species", "Dilution Info", "Notes"], "tabs": { "all-applications": {"fullname" : "All Applications", "shortname": "All Applications"}, "Dot" : {"fullname" : "Dot Blot", "shortname":"Dot"}, "IHCP" : {"fullname" : "Immunohistochemistry (Formalin/PFA-fixed paraffin-embedded sections)", "shortname":"IHC-P"}, "mIHC" : {"fullname" : "Multiplex immunohistochemistry", "shortname":"mIHC"} }, "product-promise": { "all": "all", "testedAndGuaranteed": "tested", "guaranteed": "expected", "predicted": "predicted", "notRecommended": "not-recommended" } }, "values": { "Mouse": { "Dot-species-checked": "guaranteed", "Dot-species-dilution-info": "", "Dot-species-notes": "", "IHCP-species-checked": "testedAndGuaranteed", "IHCP-species-dilution-info": "", "IHCP-species-notes": "<p></p> Perform heat-mediated antigen retrieval with Tris/EDTA buffer pH 9.0 before commencing with IHC staining protocol.", "mIHC-species-checked": "testedAndGuaranteed", "mIHC-species-dilution-info": "", "mIHC-species-notes": "<p></p> Perform heat-mediated antigen retrieval with Tris/EDTA buffer pH 9.0 before commencing with IHC staining protocol." }, "Recombinant fragment - Mouse": { "Dot-species-checked": "testedAndGuaranteed", "Dot-species-dilution-info": "", "Dot-species-notes": "<p></p>", "IHCP-species-checked": "notRecommended", "IHCP-species-dilution-info": "", "IHCP-species-notes": "", "mIHC-species-checked": "notRecommended", "mIHC-species-dilution-info": "", "mIHC-species-notes": "" } } }

Product details

ab320824 is the carrier-free version of ab320823.

Patented technology
Our RabMAb® technology is a patented hybridoma-based technology for making rabbit monoclonal antibodies. For details on our patents, please refer to RabMAb® patents.

What are the advantages of a recombinant monoclonal antibody?
This product is a recombinant monoclonal antibody, which offers several advantages including:

  • - High batch-to-batch consistency and reproducibility
  • - Improved sensitivity and specificity
  • - Long-term security of supply
  • - Animal-free batch production

For more information, read more on recombinant antibodies.

Conjugation ready
Our carrier-free antibodies are typically supplied in a PBS-only formulation, purified and free of BSA, sodium azide and glycerol. This conjugation-ready format is designed for use with fluorochromes, metal isotopes, oligonucleotides, and enzymes, which makes them ideal for antibody labelling, functional and cell-based assays, flow-based assays (e.g. mass cytometry) and Multiplex Imaging applications.

Use our conjugation kits for antibody conjugates that are ready-to-use in as little as 20 minutes with 1 minute hands-on-time and 100% antibody recovery: available for fluorescent dyes, HRP, biotin and gold.

Compatibility
This product is compatible with the Maxpar® Antibody Labeling Kit from Fluidigm, without the need for antibody preparation. Maxpar® is a trademark of Fluidigm Canada Inc.

Properties and storage information

Form
Liquid
Purification technique
Affinity purification Protein A
Storage buffer
pH: 7.2 - 7.4 Constituents: PBS
Shipped at conditions
Blue Ice
Appropriate short-term storage conditions
+4°C
Appropriate long-term storage conditions
+4°C

Supplementary information

This supplementary information is collated from multiple sources and compiled automatically.

Trophoblast specific protein alpha also known as trophoblast glycoprotein is a protein involved in various physiological processes during pregnancy. It has a molecular mass of approximately 34 kDa. This protein is mainly expressed in the placenta particularly within the trophoblast cells which form the outer layer of the blastocyst and eventually contribute to placenta development. Its expression is also noted in certain testicular cells. It interacts with lipid bilayers and plays an important role in cell-cell adhesion while maintaining trophoblast survival and function.
Biological function summary

Trophoblast associated protein ensures the successful interaction between the maternal and fetal interface. This protein is integral to the formation and maintenance of the maternal-fetal interface due to its adhesive properties. It forms part of a complex structure with other proteins involved in cellular adhesion processes which facilitate nutrient and gas exchange. The continued presence of trophoblast specific protein alpha is necessary for the structured and functional development of the fetal-maternal interface.

Pathways

Trophoblast glycoprotein participates in pathways essential for embryonic development and cellular adhesion. One major pathway is the Wnt signaling pathway where it interacts with cadherins to promote cell adhesion and tissue formation. Another pathway involves the MAPK/ERK pathway which influences trophoblast differentiation and survival with related proteins like N-cadherin playing a supporting role in the structural organization of the placenta.

Trophoblast specific protein alpha correlates with pregnancy-related conditions such as preeclampsia and intrauterine growth restriction. Aberrant expression or function of this protein can disrupt normal placental development and function leading to these disorders. It shows a connection with the integrin family of proteins particularly integrin alpha 5 beta 1 which when dysfunctional has been associated with improper placentation and pregnancy complications. Understanding its role could help in the development of diagnostic tools or therapies for these conditions.

Product protocols

For this product, it's our understanding that no specific protocols are required. You can visit:

Target data

It may be a growth factor/hormone, perhaps involved in interaction between the maternal and fetal systems in maintenance of pregnancy.
See full target information Tpbpa

Product promise

We are committed to supporting your work with high-quality reagents, and we're here for you every step of the way. In the unlikely event that one of our products does not perform as expected, you're protected by our Product Promise.
For full details, please see our Terms & Conditions

Please note: All products are 'FOR RESEARCH USE ONLY. NOT FOR USE IN DIAGNOSTIC OR THERAPEUTIC PROCEDURES'.

For licensing inquiries, please contact partnerships@abcam.com