JavaScript is disabled in your browser. Please enable JavaScript to view this website.
AB157215

Anti-Tropomodulin 3 antibody [EPR10303(B)]

Be the first to review this product! Submit a review

|

(2 Publications)

Rabbit Recombinant Monoclonal Tropomodulin 3 antibody. Suitable for IHC-P, WB and reacts with Human, Mouse, Rat samples. Cited in 2 publications.

View Alternative Names

Tropomodulin-3, Ubiquitous tropomodulin, U-Tmod, TMOD3

4 Images
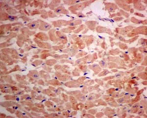
Immunohistochemistry (Formalin/PFA-fixed paraffin-embedded sections) - Anti-Tropomodulin 3 antibody [EPR10303(B)] (AB157215)
  • IHC-P

Unknown

Immunohistochemistry (Formalin/PFA-fixed paraffin-embedded sections) - Anti-Tropomodulin 3 antibody [EPR10303(B)] (AB157215)

Immunohistochemical analysis of paraffin-embedded Human heart tissue labeling Tropomodulin 3 with ab157215 at 1/50 dilution.

Perform heat mediated antigen retrieval with citrate buffer pH 6 before commencing with IHC staining protocol.

Immunohistochemistry (Formalin/PFA-fixed paraffin-embedded sections) - Anti-Tropomodulin 3 antibody [EPR10303(B)] (AB157215)
  • IHC-P

Unknown

Immunohistochemistry (Formalin/PFA-fixed paraffin-embedded sections) - Anti-Tropomodulin 3 antibody [EPR10303(B)] (AB157215)

Immunohistochemical analysis of paraffin-embedded Human kidney tissue labeling Tropomodulin 3 with ab157215 at 1/50 dilution.

Perform heat mediated antigen retrieval with citrate buffer pH 6 before commencing with IHC staining protocol.

Western blot - Anti-Tropomodulin 3 antibody [EPR10303(B)] (AB157215)
  • WB

Unknown

Western blot - Anti-Tropomodulin 3 antibody [EPR10303(B)] (AB157215)

All lanes:

Western blot - Anti-Tropomodulin 3 antibody [EPR10303(B)] (ab157215) at 1/1000 dilution

Lane 1:

C2C12 cell lysate at 10 µg

Lane 2:

C6 cell lysate at 10 µg

Lane 3:

RAW 264.7 cell lysate at 10 µg

Lane 4:

Caco-2 cell lysate at 10 µg

Predicted band size: 40 kDa

false

Western blot - Anti-Tropomodulin 3 antibody [EPR10303(B)] (AB157215)
  • WB

Unknown

Western blot - Anti-Tropomodulin 3 antibody [EPR10303(B)] (AB157215)

All lanes:

Western blot - Anti-Tropomodulin 3 antibody [EPR10303(B)] (ab157215) at 1/1000 dilution

All lanes:

Immunoprecipitation pellet from Caco-2 (Human colorectal adenocarcinoma cell line) whole cell lysate at 10 µg

Predicted band size: 40 kDa,65 kDa

false

  • Carrier free

    Anti-Tropomodulin 3 antibody [EPR10303(B)] - BSA and Azide free

Key facts

Host species

Rabbit

Clonality

Monoclonal

Clone number

EPR10303(B)

Isotype

IgG

Carrier free

No

Reacts with

Mouse, Rat, Human

Applications

WB, IHC-P

applications

Immunogen

The exact immunogen used to generate this antibody is proprietary information.

Specificity

The immunogen used for this product shares 79% identity (92% positives) with Tropomodulin-2. Cross-reactivity with this protein has not been confirmed experimentally.

Reactivity data

{ "title": "Reactivity Data", "filters": { "stats": ["", "Species", "Dilution Info", "Notes"], "tabs": { "all-applications": {"fullname" : "All Applications", "shortname": "All Applications"}, "IHCP" : {"fullname" : "Immunohistochemistry (Formalin/PFA-fixed paraffin-embedded sections)", "shortname":"IHC-P"}, "FlowCyt" : {"fullname" : "Flow Cytometry", "shortname":"Flow Cyt"}, "WB" : {"fullname" : "Western blot", "shortname":"WB"}, "ICCIF" : {"fullname" : "Immunocytochemistry/ Immunofluorescence", "shortname":"ICC/IF"} }, "product-promise": { "all": "all", "testedAndGuaranteed": "tested", "guaranteed": "expected", "predicted": "predicted", "notRecommended": "not-recommended" } }, "values": { "Human": { "IHCP-species-checked": "testedAndGuaranteed", "IHCP-species-dilution-info": "1/50 - 1/100", "IHCP-species-notes": "<p></p> Perform heat-mediated antigen retrieval with citrate buffer pH 6 before commencing with IHC staining protocol.", "FlowCyt-species-checked": "notRecommended", "FlowCyt-species-dilution-info": "", "FlowCyt-species-notes": "<p></p>", "WB-species-checked": "testedAndGuaranteed", "WB-species-dilution-info": "1/1000 - 1/10000", "WB-species-notes": "<p></p>", "ICCIF-species-checked": "notRecommended", "ICCIF-species-dilution-info": "", "ICCIF-species-notes": "<p></p>" }, "Mouse": { "IHCP-species-checked": "guaranteed", "IHCP-species-dilution-info": "", "IHCP-species-notes": "", "FlowCyt-species-checked": "notRecommended", "FlowCyt-species-dilution-info": "", "FlowCyt-species-notes": "<p></p>", "WB-species-checked": "testedAndGuaranteed", "WB-species-dilution-info": "1/1000 - 1/10000", "WB-species-notes": "<p></p>", "ICCIF-species-checked": "notRecommended", "ICCIF-species-dilution-info": "", "ICCIF-species-notes": "<p></p>" }, "Rat": { "IHCP-species-checked": "guaranteed", "IHCP-species-dilution-info": "", "IHCP-species-notes": "", "FlowCyt-species-checked": "notRecommended", "FlowCyt-species-dilution-info": "", "FlowCyt-species-notes": "<p></p>", "WB-species-checked": "testedAndGuaranteed", "WB-species-dilution-info": "1/1000 - 1/10000", "WB-species-notes": "<p></p>", "ICCIF-species-checked": "notRecommended", "ICCIF-species-dilution-info": "", "ICCIF-species-notes": "<p></p>" } } }

Product details

Patented technology
Our RabMAb® technology is a patented hybridoma-based technology for making rabbit monoclonal antibodies. For details on our patents, please refer to RabMAb® patents.

What are the advantages of a recombinant monoclonal antibody?
This product is a recombinant monoclonal antibody, which offers several advantages including:

  • - High batch-to-batch consistency and reproducibility
  • - Improved sensitivity and specificity
  • - Long-term security of supply
  • - Animal-free batch production

For more information, read more on recombinant antibodies.

Properties and storage information

Form
Liquid
Purity
Tissue culture supernatant
Storage buffer
pH: 7.2 - 7.4 Preservative: 0.01% Sodium azide Constituents: 50% Tissue culture supernatant, 40% Glycerol (glycerin, glycerine), 9% PBS, 0.05% BSA
Shipped at conditions
Blue Ice
Appropriate short-term storage conditions
+4°C
Appropriate long-term storage conditions
-20°C
Aliquoting information
Upon delivery aliquot
Storage information
Avoid freeze / thaw cycle

Supplementary information

This supplementary information is collated from multiple sources and compiled automatically.

Tropomodulin 3 also known as TMOD3 serves an important role in regulating the dynamics of the actin cytoskeleton. It caps the pointed end of actin filaments which prevents both their elongation and disassembly. TMOD3 has a molecular mass of approximately 40 kDa. This protein is expressed in various tissues including the heart liver and lungs indicating its broad functional significance across multiple systems.
Biological function summary

Tropomodulin 3 interacts with components of the cytoskeleton to help maintain cell shape and stability. It often functions as part of a multi-protein complex with tropomyosin which stabilizes the actin filament and protects it from depolymerization. Through its interaction with actin and tropomyosin TMOD3 influences cell motility division and muscle contraction essential processes in cellular and tissue dynamics.

Pathways

Tropomodulin 3 plays a part in the actin cytoskeleton regulation pathway. It regulates the turnover and length of actin filaments which connect to processes like cell adhesion and movement. The regulation of actin filament dynamics by TMOD3 influences interactions with associated proteins such as myosin which drives cellular movements and mechanical support.

Tropomodulin 3 has been linked to specific pathologies such as cardiomyopathies and certain cancers. In conditions of cardiomyopathy TMOD3 expression or function disturbances can lead to improper cardiac muscle function often involving related proteins like myosin and tropomyosin. Moreover aberrant TMOD3 activity has also been associated with cancer metastasis where altered actin dynamics contribute to increased cell invasiveness and tumor spread.

Product protocols

For this product, it's our understanding that no specific protocols are required. You can visit:

Target data

Blocks the elongation and depolymerization of the actin filaments at the pointed end. The Tmod/TM complex contributes to the formation of the short actin protofilament, which in turn defines the geometry of the membrane skeleton (By similarity).
See full target information TMOD3

Publications (2)

Recent publications for all applications. Explore the full list and refine your search

The Journal of clinical investigation 131: PubMed33586680

2021

Aberrant AZIN2 and polyamine metabolism precipitates tau neuropathology.

Applications

Unspecified application

Species

Unspecified reactive species

Leslie A Sandusky-Beltran,Andrii Kovalenko,Devon S Placides,Kevin Ratnasamy,Chao Ma,Jerry B Hunt,Huimin Liang,John Ivan T Calahatian,Camilla Michalski,Margaret Fahnestock,Laura J Blair,April L Darling,Jeremy D Baker,Sarah N Fontaine,Chad A Dickey,Joshua J Gamsby,Kevin R Nash,Erin Abner,Maj-Linda B Selenica,Daniel C Lee

Molecular carcinogenesis 58:1897-1907 PubMed31313392

2019

Tropomodulin 3 modulates EGFR-PI3K-AKT signaling to drive hepatocellular carcinoma metastasis.

Applications

Unspecified application

Species

Unspecified reactive species

Hao Zheng,Yuan Yang,Yong-Gang Hong,Meng-Chao Wang,Sheng-Xian Yuan,Zhen-Guang Wang,Feng-Rui Bi,Li-Qiang Hao,Hong-Li Yan,Wei-Ping Zhou
View all publications

Product promise

We are committed to supporting your work with high-quality reagents, and we're here for you every step of the way. In the unlikely event that one of our products does not perform as expected, you're protected by our Product Promise.
For full details, please see our Terms & Conditions

Please note: All products are 'FOR RESEARCH USE ONLY. NOT FOR USE IN DIAGNOSTIC OR THERAPEUTIC PROCEDURES'.

For licensing inquiries, please contact partnerships@abcam.com