JavaScript is disabled in your browser. Please enable JavaScript to view this website.
AB109505

Anti-Tropomyosin 1 (alpha) antibody [EPR5158]

Be the first to review this product! Submit a review

|

(5 Publications)

Rabbit Recombinant Monoclonal TPM1 antibody. Suitable for IHC-P, WB and reacts with Mouse, Rat, Human, Recombinant full length protein - Human samples. Cited in 5 publications.

View Alternative Names

C15orf13, TMSA, TPM1, Tropomyosin alpha-1 chain, Alpha-tropomyosin, Tropomyosin-1

6 Images
Immunohistochemistry (Formalin/PFA-fixed paraffin-embedded sections) - Anti-Tropomyosin 1 (alpha) antibody [EPR5158] (AB109505)
  • IHC-P

Supplier Data

Immunohistochemistry (Formalin/PFA-fixed paraffin-embedded sections) - Anti-Tropomyosin 1 (alpha) antibody [EPR5158] (AB109505)

Immunohistochemistry (Formalin/PFA-fixed paraffin-embedded sections) analysis of human prostatic hyperplasia tissue sections labeling Tropomyosin 1 (alpha) with purified ab109505 at 1 : 600 (0.343 μg/ml). Heat mediated antigen retrieval was performed using ab93684 (Tris/EDTA buffer, pH 9.0). Tissue was counterstained with Hematoxylin. ImmunoHistoProbe one step HRP Polymer (ready to use) was used at 1 : 0 dilution. PBS instead of the primary antibody was used as the negative control.

Immunohistochemistry (Formalin/PFA-fixed paraffin-embedded sections) - Anti-Tropomyosin 1 (alpha) antibody [EPR5158] (AB109505)
  • IHC-P

Supplier Data

Immunohistochemistry (Formalin/PFA-fixed paraffin-embedded sections) - Anti-Tropomyosin 1 (alpha) antibody [EPR5158] (AB109505)

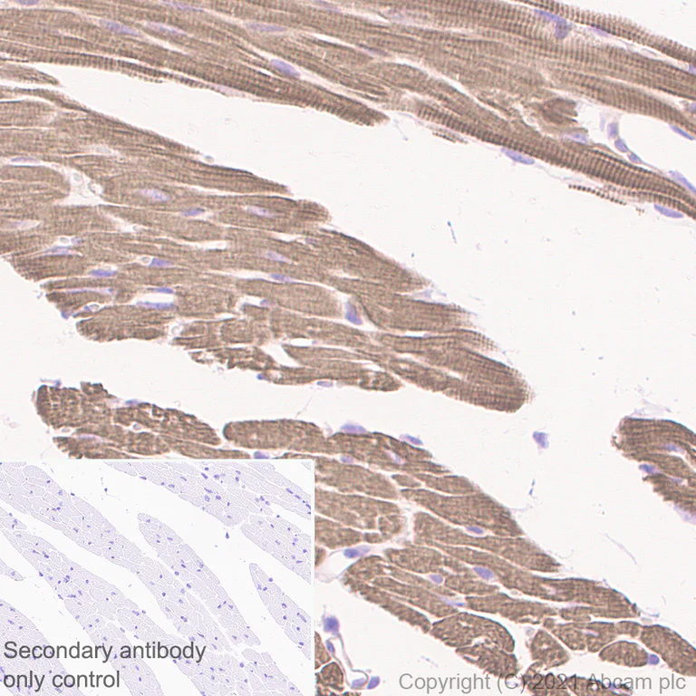
Immunohistochemistry (Formalin/PFA-fixed paraffin-embedded sections) analysis of human cardiac muscle tissue sections labeling Tropomyosin 1 (alpha) with purified ab109505 at 1 : 600 (0.343 μg/ml). Heat mediated antigen retrieval was performed using ab93684 (Tris/EDTA buffer, pH 9.0). Tissue was counterstained with Hematoxylin. ImmunoHistoProbe one step HRP Polymer (ready to use) was used at 1 : 0 dilution. PBS instead of the primary antibody was used as the negative control.

Immunohistochemistry (Formalin/PFA-fixed paraffin-embedded sections) - Anti-Tropomyosin 1 (alpha) antibody [EPR5158] (AB109505)
  • IHC-P

Supplier Data

Immunohistochemistry (Formalin/PFA-fixed paraffin-embedded sections) - Anti-Tropomyosin 1 (alpha) antibody [EPR5158] (AB109505)

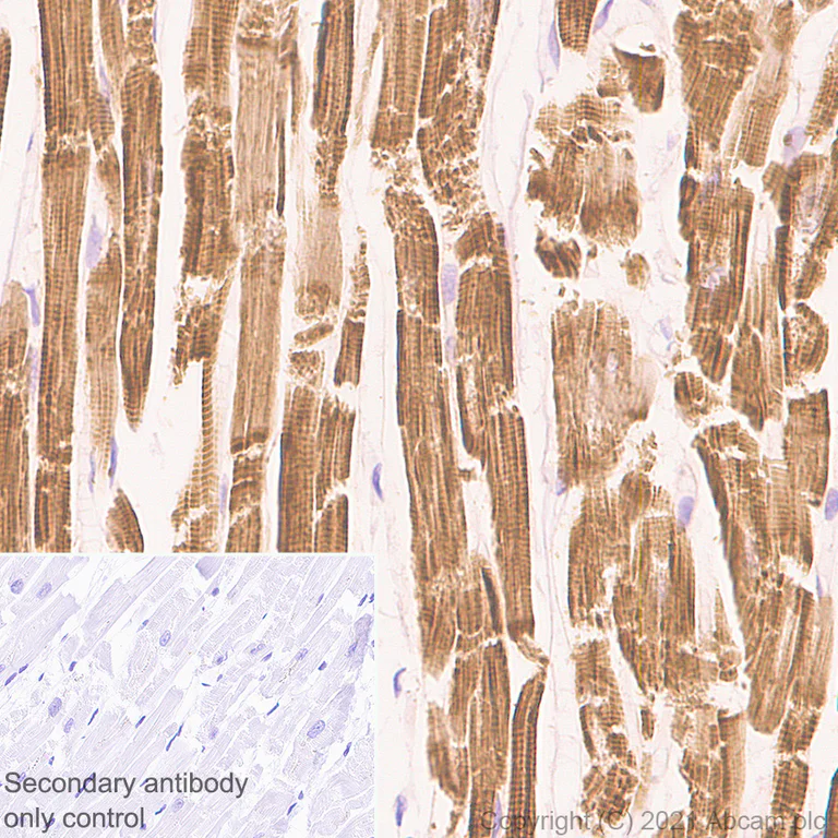
Immunohistochemistry (Formalin/PFA-fixed paraffin-embedded sections) analysis of mouse cardiac muscle tissue sections labeling Tropomyosin 1 (alpha) with purified ab109505 at 1 : 600 (0.343 μg/ml). Heat mediated antigen retrieval was performed using ab93684 (Tris/EDTA buffer, pH 9.0). Tissue was counterstained with Hematoxylin. ImmunoHistoProbe one step HRP Polymer (ready to use) was used at 1 : 0 dilution. PBS instead of the primary antibody was used as the negative control.

Immunohistochemistry (Formalin/PFA-fixed paraffin-embedded sections) - Anti-Tropomyosin 1 (alpha) antibody [EPR5158] (AB109505)
  • IHC-P

Supplier Data

Immunohistochemistry (Formalin/PFA-fixed paraffin-embedded sections) - Anti-Tropomyosin 1 (alpha) antibody [EPR5158] (AB109505)

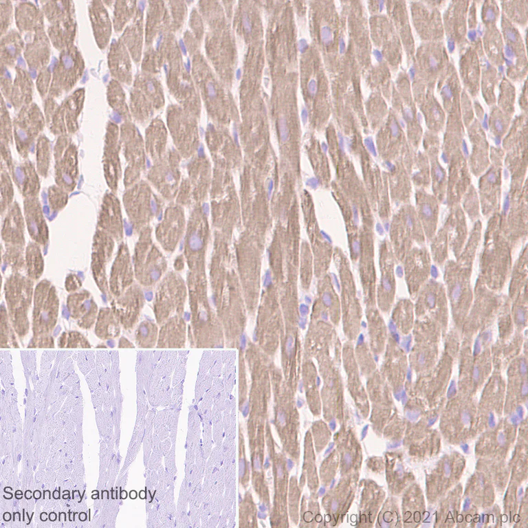
Immunohistochemistry (Formalin/PFA-fixed paraffin-embedded sections) analysis of rat cardiac muscle tissue sections labeling Tropomyosin 1 (alpha) with purified ab109505 at 1 : 600 (0.343 μg/ml). Heat mediated antigen retrieval was performed using ab93684 (Tris/EDTA buffer, pH 9.0). Tissue was counterstained with Hematoxylin. ImmunoHistoProbe one step HRP Polymer (ready to use) was used at 1 : 0 dilution. PBS instead of the primary antibody was used as the negative control.

Western blot - Anti-Tropomyosin 1 (alpha) antibody [EPR5158] (AB109505)
  • WB

Supplier Data

Western blot - Anti-Tropomyosin 1 (alpha) antibody [EPR5158] (AB109505)

All lanes:

Western blot - Anti-Tropomyosin 1 (alpha) antibody [EPR5158] (ab109505) at 1/1000 dilution

Lane 1:

Human heart lysate at 15 µg

Lane 2:

Mouse heart lysate at 20 µg

Lane 3:

Rat heart lysate at 20 µg

Secondary

All lanes:

Goat Anti-Rabbit IgG (HRP) with minimal cross-reactivity with human IgG at 1/2000 dilution

Predicted band size: 33 kDa

Observed band size: 33 kDa

false

Western blot - Anti-Tropomyosin 1 (alpha) antibody [EPR5158] (AB109505)
  • WB

Supplier Data

Western blot - Anti-Tropomyosin 1 (alpha) antibody [EPR5158] (AB109505)

Blocking and Diluting buffer and concentration : 5% NFDM/TBST

All lanes:

Western blot - Anti-Tropomyosin 1 (alpha) antibody [EPR5158] (ab109505) at 1/1000 dilution

Lane 1:

MYC and DDK-tagged Recombinant Human TPM1 protein (Full length)

Lane 2:

MYC and DDK-tagged Recombinant Human TPM2 protein (Full length)

Lane 3:

MYC and DDK-tagged Recombinant Human TPM3 protein (Full length)

Lane 4:

GST-tagged Recombinant Human TPM4 protein (Full length)

Secondary

All lanes:

Western blot - Goat Anti-Rabbit IgG H&L (HRP) (<a href='/en-us/products/secondary-antibodies/goat-rabbit-igg-h-l-hrp-ab97051'>ab97051</a>) at 1/20000 dilution

Predicted band size: 33 kDa

Observed band size: 37 kDa

false

Exposure time: 60s

  • Carrier free

    Anti-Tropomyosin 1 (alpha) antibody [EPR5158] - BSA and Azide free

Key facts

Host species

Rabbit

Clonality

Monoclonal

Clone number

EPR5158

Isotype

IgG

Carrier free

No

Reacts with

Human, Mouse, Rat

Applications

IHC-P, WB

applications

Immunogen

The exact immunogen used to generate this antibody is proprietary information.

Reactivity data

{ "title": "Reactivity Data", "filters": { "stats": ["", "Species", "Dilution Info", "Notes"], "tabs": { "all-applications": {"fullname" : "All Applications", "shortname": "All Applications"}, "IHCP" : {"fullname" : "Immunohistochemistry (Formalin/PFA-fixed paraffin-embedded sections)", "shortname":"IHC-P"}, "WB" : {"fullname" : "Western blot", "shortname":"WB"} }, "product-promise": { "all": "all", "testedAndGuaranteed": "tested", "guaranteed": "expected", "predicted": "predicted", "notRecommended": "not-recommended" } }, "values": { "Human": { "IHCP-species-checked": "testedAndGuaranteed", "IHCP-species-dilution-info": "1/500 - 1/1000", "IHCP-species-notes": "<p>Heat up to 98 degrees C, below boiling, and then let cool for 10-20 min.</p>", "WB-species-checked": "testedAndGuaranteed", "WB-species-dilution-info": "1/1000 - 1/10000", "WB-species-notes": "<p></p>" }, "Mouse": { "IHCP-species-checked": "testedAndGuaranteed", "IHCP-species-dilution-info": "1/500 - 1/1000", "IHCP-species-notes": "<p>Heat up to 98 degrees C, below boiling, and then let cool for 10-20 min.</p>", "WB-species-checked": "testedAndGuaranteed", "WB-species-dilution-info": "1/1000 - 1/10000", "WB-species-notes": "<p></p>" }, "Rat": { "IHCP-species-checked": "testedAndGuaranteed", "IHCP-species-dilution-info": "1/500 - 1/1000", "IHCP-species-notes": "<p>Heat up to 98 degrees C, below boiling, and then let cool for 10-20 min.</p>", "WB-species-checked": "testedAndGuaranteed", "WB-species-dilution-info": "1/1000 - 1/10000", "WB-species-notes": "<p></p>" }, "Recombinant full length protein - Human": { "IHCP-species-checked": "notRecommended", "IHCP-species-dilution-info": "", "IHCP-species-notes": "", "WB-species-checked": "testedAndGuaranteed", "WB-species-dilution-info": "1/1000", "WB-species-notes": "<p></p>" } } }

Product details

Patented technology
Our RabMAb® technology is a patented hybridoma-based technology for making rabbit monoclonal antibodies. For details on our patents, please refer to RabMAb® patents.

What are the advantages of a recombinant monoclonal antibody?
This product is a recombinant monoclonal antibody, which offers several advantages including:

  • - High batch-to-batch consistency and reproducibility
  • - Improved sensitivity and specificity
  • - Long-term security of supply
  • - Animal-free batch production

For more information, read more on recombinant antibodies.

Properties and storage information

Form
Liquid
Purification technique
Affinity purification Protein A
Storage buffer
pH: 7.2 - 7.4 Preservative: 0.01% Sodium azide Constituents: PBS, 40% Glycerol (glycerin, glycerine), 0.05% BSA
Shipped at conditions
Blue Ice
Appropriate short-term storage duration
1-2 weeks
Appropriate short-term storage conditions
+4°C
Appropriate long-term storage conditions
-20°C
Aliquoting information
Upon delivery aliquot
Storage information
Avoid freeze / thaw cycle|Stable for 12 months at -20°C

Supplementary information

This supplementary information is collated from multiple sources and compiled automatically.

Tropomyosin 1 (alpha) also known as alpha-tropomyosin is a protein widely expressed in skeletal and cardiac muscle tissues. This protein plays a central role in muscle contraction by binding to actin filaments. Its precise molecular weight is approximately 32.7 kDa. Alpha-tropomyosin stabilizes actin filaments and regulates the interaction of actin with myosin which is essential for muscular contraction.
Biological function summary

Alpha-tropomyosin ensures the regulation of actin-myosin interactions during muscle contraction. It forms part of the troponin-tropomyosin complex which includes other key proteins such as troponin I T and C. This complex undergoes conformational changes in response to calcium ion concentrations allowing muscle contraction to occur. Alterations in this complex can significantly affect muscle function highlighting the central role of alpha-tropomyosin.

Pathways

Alpha-tropomyosin operates within the actin cytoskeleton regulatory pathway and the calcium signaling pathway. It is closely related to the troponin complex proteins facilitating muscle contraction in these pathways by controlling actin and myosin interactions. Calcium ions bind to troponin C causing structural changes that shift tropomyosin on the actin filament therefore enabling the binding of myosin heads to actin.

Mutations or dysregulation of alpha-tropomyosin have been linked to conditions like hypertrophic cardiomyopathy and nemaline myopathy. These disorders often result from altered interactions within the troponin-tropomyosin complex and other proteins like myosin heavy chain. Defective regulation of these interactions impairs muscle contraction leading to the clinical manifestations seen in these diseases.

Product protocols

For this product, it's our understanding that no specific protocols are required. You can visit:

Target data

Binds to actin filaments in muscle and non-muscle cells (PubMed : 23170982). Plays a central role, in association with the troponin complex, in the calcium dependent regulation of vertebrate striated muscle contraction (PubMed : 23170982). Smooth muscle contraction is regulated by interaction with caldesmon. In non-muscle cells is implicated in stabilizing cytoskeleton actin filaments.
See full target information TPM1

Publications (5)

Recent publications for all applications. Explore the full list and refine your search

FASEB journal : official publication of the Federation of American Societies for Experimental Biology 38:e70192 PubMed39556326

2024

ALPK2 prevents cardiac diastolic dysfunction in heart failure with preserved ejection fraction.

Applications

Unspecified application

Species

Unspecified reactive species

Tatsuya Yoshida,Satoya Yoshida,Kohei Inukai,Katsuhiro Kato,Yoshimitsu Yura,Tomoki Hattori,Kentaro Taki,Atsushi Enomoto,Koji Ohashi,Takahiro Okumura,Noriyuki Ouchi,Haruya Kawase,Nina Wettschureck,Stefan Offermanns,Toyoaki Murohara,Mikito Takefuji

The journal of pain 24:874-887 PubMed36638875

2023

Identification of Potential Visceral Pain Biomarkers in Colon Exudates from Mice with Experimental Colitis: An Exploratory In Vitro Study.

Applications

Unspecified application

Species

Unspecified reactive species

Elsa Cisneros,Anabel Martínez-Padilla,Casimiro Cardenas,Javier Márquez,Arantxa Ortega de Mues,Carolina Roza

International journal of molecular sciences 23: PubMed36499727

2022

INO80 Is Required for the Cell Cycle Control, Survival, and Differentiation of Mouse ESCs by Transcriptional Regulation.

Applications

Unspecified application

Species

Unspecified reactive species

Seonho Yoo,Eun Joo Lee,Nguyen Xuan Thang,Hyeonwoo La,Hyeonji Lee,Chanhyeok Park,Dong Wook Han,Sang Jun Uhm,Hyuk Song,Jeong Tae Do,Youngsok Choi,Kwonho Hong

International journal of molecular sciences 23: PubMed35563042

2022

Identification of Potential Muscle Biomarkers in McArdle Disease: Insights from Muscle Proteome Analysis.

Applications

Unspecified application

Species

Unspecified reactive species

Inés García-Consuegra,Sara Asensio-Peña,Rocío Garrido-Moraga,Tomàs Pinós,Cristina Domínguez-González,Alfredo Santalla,Gisela Nogales-Gadea,Pablo Serrano-Lorenzo,Antoni L Andreu,Joaquín Arenas,José L Zugaza,Alejandro Lucia,Miguel A Martín

PloS one 12:e0168900 PubMed28182650

2017

Tropomyosin-1 acts as a potential tumor suppressor in human oral squamous cell carcinoma.

Applications

WB

Species

Unspecified reactive species

Hao Pan,Liqun Gu,Binjie Liu,Yiping Li,Yuehong Wang,Xinna Bai,Long Li,Baisheng Wang,Qian Peng,Zhigang Yao,Zhangui Tang
View all publications

Product promise

We are committed to supporting your work with high-quality reagents, and we're here for you every step of the way. In the unlikely event that one of our products does not perform as expected, you're protected by our Product Promise.
For full details, please see our Terms & Conditions

Please note: All products are 'FOR RESEARCH USE ONLY. NOT FOR USE IN DIAGNOSTIC OR THERAPEUTIC PROCEDURES'.

For licensing inquiries, please contact partnerships@abcam.com