JavaScript is disabled in your browser. Please enable JavaScript to view this website.
AB194004

Anti-TROVE2/SS-A antibody

Be the first to review this product! Submit a review

|

(3 Publications)

Rabbit Polyclonal TROVE2/SS-A antibody. Suitable for ELISA, WB, IHC-P, ICC/IF and reacts with Mouse, Rat, Human samples. Cited in 3 publications. Immunogen corresponding to Recombinant Fragment Protein within Human RO60 aa 1 to C-terminus.

View Alternative Names

SSA2, TROVE2, RO60, RNA-binding protein RO60, 60 kDa SS-A/Ro ribonucleoprotein, Ro 60 kDa autoantigen, Sjoegren syndrome antigen A2, Sjoegren syndrome type A antigen, TROVE domain family member 2, 60 kDa Ro protein, 60 kDa ribonucleoprotein Ro, RoRNP, Ro60 autoantigen, SS-A

8 Images
Immunohistochemistry (Formalin/PFA-fixed paraffin-embedded sections) - Anti-TROVE2/SS-A antibody (AB194004)
  • IHC-P

Supplier Data

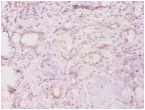
Immunohistochemistry (Formalin/PFA-fixed paraffin-embedded sections) - Anti-TROVE2/SS-A antibody (AB194004)

Immunohistochemical analysis of paraffin-embedded Human prostate tissue labeling TROVE2/SS-A with ab194004 at 1/20 dilution.

Immunocytochemistry/ Immunofluorescence - Anti-TROVE2/SS-A antibody (AB194004)
  • ICC/IF

Supplier Data

Immunocytochemistry/ Immunofluorescence - Anti-TROVE2/SS-A antibody (AB194004)

Immunocytochemistry/ Immunofluorescence analysis of A549 cells labeling TROVE2/SS-A with ab194004 at 1/100 dilution.

Immunohistochemistry (Formalin/PFA-fixed paraffin-embedded sections) - Anti-TROVE2/SS-A antibody (AB194004)
  • IHC-P

Supplier Data

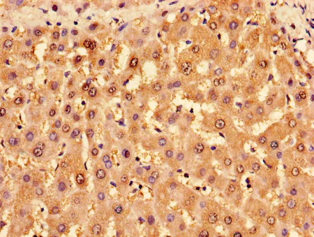
Immunohistochemistry (Formalin/PFA-fixed paraffin-embedded sections) - Anti-TROVE2/SS-A antibody (AB194004)

Immunohistochemistry (Formalin/PFA-fixed paraffin-embedded sections) analysis of human liver tissue labelling TROVE2/SS-A with ab194004 at dilution of 1/100.

Immunocytochemistry/ Immunofluorescence - Anti-TROVE2/SS-A antibody (AB194004)
  • ICC/IF

Supplier Data

Immunocytochemistry/ Immunofluorescence - Anti-TROVE2/SS-A antibody (AB194004)

Immunocytochemistry/Immunofluorescence analysis of PC3 cells labelling TROVE2/SS-A with ab194004 at a dilution of 1/100. An Alexa Fluor® 488-conjugated goat anti-rabbit IgG (H+L) was used as the secondary antibody.

Immunohistochemistry (Formalin/PFA-fixed paraffin-embedded sections) - Anti-TROVE2/SS-A antibody (AB194004)
  • IHC-P

Supplier Data

Immunohistochemistry (Formalin/PFA-fixed paraffin-embedded sections) - Anti-TROVE2/SS-A antibody (AB194004)

Immunohistochemical analysis of paraffin-embedded Human kidney tissue labeling TROVE2/SS-A with ab194004 at 1/20 dilution.

Western blot - Anti-TROVE2/SS-A antibody (AB194004)
  • WB

Supplier Data

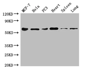
Western blot - Anti-TROVE2/SS-A antibody (AB194004)

All lanes:

Western blot - Anti-TROVE2/SS-A antibody (ab194004) at 3 µg/mL

Lane 1:

MCF-7 whole cell lysate

Lane 2:

HeLa whole cell lysate

Lane 3:

PC3 whole cell lysate

Lane 4:

Mouse heart tissue

Lane 5:

Mouse spleen tissue

Lane 6:

Mouse lung tissue

Secondary

All lanes:

Goat polyclonal to rabbit IgG at 1/5000 dilution

Predicted band size: 61 kDa

Observed band size: 61 kDa

false

Western blot - Anti-TROVE2/SS-A antibody (AB194004)
  • WB

Supplier Data

Western blot - Anti-TROVE2/SS-A antibody (AB194004)

All lanes:

Western blot - Anti-TROVE2/SS-A antibody (ab194004) at 3.4 µg/mL

Lane 1:

HeLa whole cell lysate

Lane 2:

Rat kidney tissue lysate

Secondary

All lanes:

Polyclonal goat anti-rabbit IgG at 1/50000 dilution

Predicted band size: 61 kDa

Observed band size: 61 kDa

false

Western blot - Anti-TROVE2/SS-A antibody (AB194004)
  • WB

Supplier Data

Western blot - Anti-TROVE2/SS-A antibody (AB194004)

All lanes:

Western blot - Anti-TROVE2/SS-A antibody (ab194004) at 2 µg/mL

Lane 1:

HeLa whole cell lysate

Lane 2:

293T whole cell lysate

Secondary

All lanes:

Polyclonal goat anti-rabbit at 1/10000 dilution

Predicted band size: 61 kDa

Observed band size: 61 kDa

false

Key facts

Host species

Rabbit

Clonality

Polyclonal

Isotype

IgG

Carrier free

No

Reacts with

Mouse, Rat, Human

Applications

ELISA, WB, IHC-P, ICC/IF

applications

Immunogen

Recombinant Fragment Protein within Human RO60 aa 1 to C-terminus. The exact immunogen used to generate this antibody is proprietary information.

P10155

Reactivity data

{ "title": "Reactivity Data", "filters": { "stats": ["", "Species", "Dilution Info", "Notes"], "tabs": { "all-applications": {"fullname" : "All Applications", "shortname": "All Applications"}, "ELISA" : {"fullname" : "ELISA", "shortname":"ELISA"}, "WB" : {"fullname" : "Western blot", "shortname":"WB"}, "IHCP" : {"fullname" : "Immunohistochemistry (Formalin/PFA-fixed paraffin-embedded sections)", "shortname":"IHC-P"}, "ICCIF" : {"fullname" : "Immunocytochemistry/ Immunofluorescence", "shortname":"ICC/IF"} }, "product-promise": { "all": "all", "testedAndGuaranteed": "tested", "guaranteed": "expected", "predicted": "predicted", "notRecommended": "not-recommended" } }, "values": { "Human": { "ELISA-species-checked": "guaranteed", "ELISA-species-dilution-info": "", "ELISA-species-notes": "<p></p>", "WB-species-checked": "testedAndGuaranteed", "WB-species-dilution-info": "", "WB-species-notes": "<p></p>", "IHCP-species-checked": "testedAndGuaranteed", "IHCP-species-dilution-info": "", "IHCP-species-notes": "<p></p>", "ICCIF-species-checked": "testedAndGuaranteed", "ICCIF-species-dilution-info": "", "ICCIF-species-notes": "<p></p>" }, "Mouse": { "ELISA-species-checked": "guaranteed", "ELISA-species-dilution-info": "", "ELISA-species-notes": "<p></p>", "WB-species-checked": "predicted", "WB-species-dilution-info": "", "WB-species-notes": "", "IHCP-species-checked": "predicted", "IHCP-species-dilution-info": "", "IHCP-species-notes": "", "ICCIF-species-checked": "predicted", "ICCIF-species-dilution-info": "", "ICCIF-species-notes": "" }, "Rat": { "ELISA-species-checked": "guaranteed", "ELISA-species-dilution-info": "", "ELISA-species-notes": "<p></p>", "WB-species-checked": "testedAndGuaranteed", "WB-species-dilution-info": "", "WB-species-notes": "<p></p>", "IHCP-species-checked": "guaranteed", "IHCP-species-dilution-info": "", "IHCP-species-notes": "", "ICCIF-species-checked": "guaranteed", "ICCIF-species-dilution-info": "", "ICCIF-species-notes": "" } } }

Properties and storage information

Form
Liquid
Purification technique
Affinity purification Protein G
Purification notes
>95%
Storage buffer
pH: 7.4 Preservative: 0.03% Proclin 300 Constituents: PBS, 50% Glycerol (glycerin, glycerine)
Shipped at conditions
Blue Ice
Appropriate short-term storage duration
1-2 weeks
Appropriate short-term storage conditions
+4°C
Appropriate long-term storage conditions
-20°C
Aliquoting information
Upon delivery aliquot
Storage information
Avoid freeze / thaw cycle

Supplementary information

This supplementary information is collated from multiple sources and compiled automatically.

TROVE2 also known as SS-A or Ro60 is a ribonucleoprotein with molecular mass approximately 60 kDa. The protein is present mainly in the cytoplasm and nucleus of eukaryotic cells. TROVE2 functions as an essential part of the Ro ribonucleoprotein complex which binds non-coding RNA to protect it from degradation. This protein plays a role in recognizing misfolded RNA molecules and assists in their correct folding or degradation ensuring RNA quality control in the cell.
Biological function summary

TROVE2 is involved in several important cellular processes. The protein often exists as part of a complex together with La protein and small Y RNAs contributing to RNA biogenesis and stability. It helps regulate the cellular stress response by acting on misfolded RNAs and interacts with various RNA molecules through specific binding mechanisms. TROVE2's role in maintaining RNA integrity suggests it has a wider impact on the stability of the transcriptome.

Pathways

The protein TROVE2 integrates into immune response and RNA quality control pathways. It associates with molecules involved in RNA surveillance like the La protein and modulates the cell's reaction to environmental stress and pathogenic challenges. TROVE2 influences the pathways connected to RNA processing and degradation therefore intersecting with networks ensuring proper cellular function and stress management.

TROVE2 shows a connection with autoimmune disorders such as Sjögren's syndrome and systemic lupus erythematosus (SLE). These diseases often feature the production of autoantibodies against TROVE2 associating it with immune dysregulation. The interplay between TROVE2 and the La protein is notable in these conditions as both participate in producing autoantibodies contributing to the pathology of these autoimmune syndromes.

Product protocols

For this product, it's our understanding that no specific protocols are required. You can visit:

Target data

RNA-binding protein that binds to misfolded non-coding RNAs, pre-5S rRNA, and several small cytoplasmic RNA molecules known as Y RNAs (PubMed : 18056422, PubMed : 26382853). Binds to endogenous Alu retroelements which are induced by type I interferon and stimulate porinflammatory cytokine secretion (PubMed : 26382853). Regulates the expression of Alu retroelements as well as inflammatory genes (PubMed : 26382853). May play roles in cilia formation and/or maintenance (By similarity).
See full target information RO60

Publications (3)

Recent publications for all applications. Explore the full list and refine your search

Scientific reports 15:21604 PubMed40594474

2025

The novel amino-artemisinin derivative WHN-11 disrupts mitochondria and protein homeostasis, and induces autophagy and apoptosis in cancer cells.

Applications

Unspecified application

Species

Unspecified reactive species

Deborah Kajewole,Ho Ning Wong,Alexander von Kriegsheim,Richard K Haynes,Jo-Anne de la Mare,Adrienne Lesley Edkins

The EMBO journal :e104948 PubMed33226137

2020

Receptor-mediated clustering of FIP200 bypasses the role of LC3 lipidation in autophagy.

Applications

Unspecified application

Species

Unspecified reactive species

Amelia E Ohnstad,Jose M Delgado,Brian J North,Isha Nasa,Arminja N Kettenbach,Sebastian W Schultz,Christopher J Shoemaker

Life sciences 242:117207 PubMed31863777

2019

TROVE2 strengthens the anti-inflammatory effect via macrophage polarization by estrogen induction in abdominal aortic aneurysm.

Applications

Unspecified application

Species

Unspecified reactive species

Shanshan Chen,Yuanyuan Zhao,Huang Jin,Xiaoyu Qi,Jinrong He,Juan Huang,Yu Ding,Weiqun Chen,Chuangyan Wu,Xiangchao Ding,Shanshan Chen,Hao Zhang,Yuqiang Shang,Dunfeng Du,Jiajia Zhao
View all publications

Product promise

We are committed to supporting your work with high-quality reagents, and we're here for you every step of the way. In the unlikely event that one of our products does not perform as expected, you're protected by our Product Promise.
For full details, please see our Terms & Conditions

Please note: All products are 'FOR RESEARCH USE ONLY. NOT FOR USE IN DIAGNOSTIC OR THERAPEUTIC PROCEDURES'.

For licensing inquiries, please contact partnerships@abcam.com