JavaScript is disabled in your browser. Please enable JavaScript to view this website.
AB235447

Anti-TRP1 antibody [EPR21960]

5

(2 Reviews)

|

(38 Publications)

Anti-TRP1 antibody [EPR21960] (ab235447) is a rabbit monoclonal antibody detecting TRP1 in Western Blot, Flow Cytometry (Intra), Flow Cytometry, IHC-P, ICC/IF. Suitable for Human, Mouse, Rat.

- Biophysical QC for unrivalled batch-batch consistency
- Over 20 publications

View Alternative Names

CAS2, TYRP, TYRRP, TYRP1, DHICA oxidase, Catalase B, Glycoprotein 75, Melanoma antigen gp75, Tyrosinase-related protein 1, TRP, TRP-1, TRP1

9 Images
Immunohistochemistry (Formalin/PFA-fixed paraffin-embedded sections) - Anti-TRP1 antibody [EPR21960] (AB235447)
  • IHC-P

Supplier Data

Immunohistochemistry (Formalin/PFA-fixed paraffin-embedded sections) - Anti-TRP1 antibody [EPR21960] (AB235447)

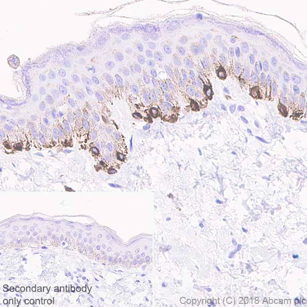
Immunohistochemical analysis of paraffin-embedded human skin tissue labeling TRP1 with ab235447 at 1/4000 dilution, followed by Goat Anti-Rabbit IgG H&L (HRP) Ready to use. Positive staining of melanocytes in human skin (PMID : 21562572). Counter stained with hematoxylin.

Secondary antibody only control : Used PBS instead of primary antibody, secondary antibody is Goat Anti-Rabbit IgG H&L (HRP) Ready to use.

Perform heat mediated antigen retrieval with Tris/EDTA buffer pH 9.0 before commencing with IHC staining protocol.

Flow Cytometry (Intracellular) - Anti-TRP1 antibody [EPR21960] (AB235447)
  • Flow Cyt (Intra)

Supplier Data

Flow Cytometry (Intracellular) - Anti-TRP1 antibody [EPR21960] (AB235447)

Intracellular flow cytometric analysis of 4% paraformaldehyde-fixed, 90% methanol permeabilized MeWo (human malignant melanoma fibroblast cell line) cells labeling TRP1 with ab235447 at 1/60 (right panel) compared with a Rabbit IgG, monoclonal [EPR25A] - Isotype Control (ab172730) (left panel). Goat Anti-Rabbit IgG H&L (Alexa Fluor® 488) (ab150077) at 1/2000 dilution was used as the secondary antibody.

TRP1 is predominantly expressed in mature melanosomes (PMID : 27073483, 11266471).

Immunohistochemistry (Formalin/PFA-fixed paraffin-embedded sections) - Anti-TRP1 antibody [EPR21960] (AB235447)
  • IHC-P

Supplier Data

Immunohistochemistry (Formalin/PFA-fixed paraffin-embedded sections) - Anti-TRP1 antibody [EPR21960] (AB235447)

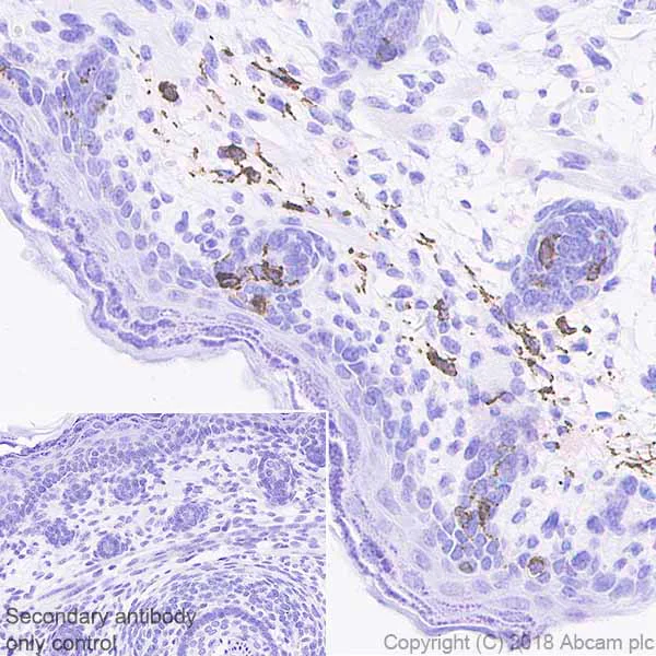
Immunohistochemical analysis of paraffin-embedded human melanoma tissue labeling TRP1 with ab235447 at 1/4000 dilution, followed by Goat Anti-Rabbit IgG H&L (HRP) Ready to use. Cytoplasmic staining in tumor cells of human melanoma (PMID : 22045183; 26068396). Counter stained with hematoxylin.

Secondary antibody only control : Used PBS instead of primary antibody, secondary antibody is Goat Anti-Rabbit IgG H&L (HRP) Ready to use.

Perform heat mediated antigen retrieval with Tris/EDTA buffer pH 9.0 before commencing with IHC staining protocol.

Immunocytochemistry/ Immunofluorescence - Anti-TRP1 antibody [EPR21960] (AB235447)
  • ICC/IF

Supplier Data

Immunocytochemistry/ Immunofluorescence - Anti-TRP1 antibody [EPR21960] (AB235447)

Immunofluorescent analysis of 100% methanol fixed MeWo (human malignant melanoma fibroblast cell line) cells labeling TRP1 with ab235447 at 1/1000 dilution, followed by Goat Anti-Rabbit IgG H&L (Alexa Fluor® 488) (ab150077) secondary antibody at 1/1000 dilution (green). Confocal image showing cytoplasmic staining in MeWo cell line.

The nuclear counter stain is DAPI (blue). Tubulin is detected with Anti-alpha Tubulin antibody [DM1A] - Microtubule Marker (Alexa Fluor® 594) (ab195889) (red) at 1/200 dilution.

Secondary antibody only control : Used PBS instead of primary antibody, secondary antibody is Goat Anti-Rabbit IgG H&L (Alexa Fluor® 488) (ab150077) secondary antibody at 1/1000 dilution.

Flow Cytometry (Intracellular) - Anti-TRP1 antibody [EPR21960] (AB235447)
  • Flow Cyt (Intra)

Supplier Data

Flow Cytometry (Intracellular) - Anti-TRP1 antibody [EPR21960] (AB235447)

Intracellular flow cytometric analysis of 4% paraformaldehyde-fixed, 90% methanol permeabilized B16-F0 (mouse melanoma epithelial cell-like cell line) cells labeling TRP1 with ab235447 at 1/60 (red) compared with a Rabbit IgG, monoclonal [EPR25A] - Isotype Control (ab172730) (black) and an unlabeled control (cells incubated with secondary antibody only) (blue). Goat Anti-Rabbit IgG H&L (Alexa Fluor® 488) (ab150077) at 1/2000 dilution was used as the secondary antibody.

Immunohistochemistry (Formalin/PFA-fixed paraffin-embedded sections) - Anti-TRP1 antibody [EPR21960] (AB235447)
  • IHC-P

Supplier Data

Immunohistochemistry (Formalin/PFA-fixed paraffin-embedded sections) - Anti-TRP1 antibody [EPR21960] (AB235447)

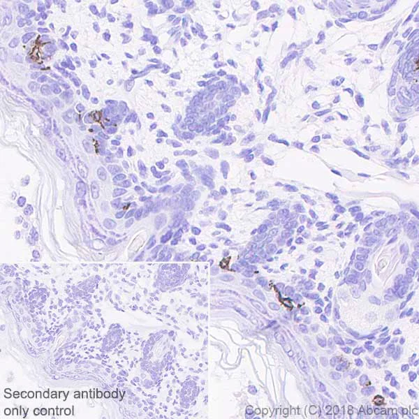
Immunohistochemical analysis of paraffin-embedded rat skin tissue labeling TRP1 with ab235447 at 1/4000 dilution, followed by Goat Anti-Rabbit IgG H&L (HRP) Ready to use. Positive staining of melanocytes in rat skin (PMID : 21562572). Counter stained with hematoxylin.

Secondary antibody only control : Used PBS instead of primary antibody, secondary antibody is Goat Anti-Rabbit IgG H&L (HRP) Ready to use.

Perform heat mediated antigen retrieval with Tris/EDTA buffer pH 9.0 before commencing with IHC staining protocol.

Immunocytochemistry/ Immunofluorescence - Anti-TRP1 antibody [EPR21960] (AB235447)
  • ICC/IF

Supplier Data

Immunocytochemistry/ Immunofluorescence - Anti-TRP1 antibody [EPR21960] (AB235447)

Immunofluorescent analysis of 100% methanol fixed B16-F0 (mouse melanoma epithelial cell-like cell line) cells labeling TRP1 with ab235447 at 1/1000 dilution, followed by Goat Anti-Rabbit IgG H&L (Alexa Fluor® 488) (ab150077) secondary antibody at 1/1000 dilution (green). Confocal image showing cytoplasmic and membranous staining in the B16-F0 cell line.

The nuclear counter stain is DAPI (blue). Tubulin is detected with Anti-alpha Tubulin antibody [DM1A] - Microtubule Marker (Alexa Fluor® 594) (ab195889) (red) at 1/200 dilution.

Secondary antibody only control : Used PBS instead of primary antibody, secondary antibody is Goat Anti-Rabbit IgG H&L (Alexa Fluor® 488) (ab150077) secondary antibody at 1/1000 dilution.

Immunohistochemistry (Formalin/PFA-fixed paraffin-embedded sections) - Anti-TRP1 antibody [EPR21960] (AB235447)
  • IHC-P

Supplier Data

Immunohistochemistry (Formalin/PFA-fixed paraffin-embedded sections) - Anti-TRP1 antibody [EPR21960] (AB235447)

Immunohistochemical analysis of paraffin-embedded mouse skin tissue labeling TRP1 with ab235447 at 1/4000 dilution, followed by Goat Anti-Rabbit IgG H&L (HRP) Ready to use. Positive staining of melanocytes in mouse skin (PMID : 21562572). Counter stained with hematoxylin.

Secondary antibody only control : Used PBS instead of primary antibody, secondary antibody is Goat Anti-Rabbit IgG H&L (HRP) Ready to use.

Perform heat mediated antigen retrieval with Tris/EDTA buffer pH 9.0 before commencing with IHC staining protocol.

Western blot - Anti-TRP1 antibody [EPR21960] (AB235447)
  • WB

Supplier Data

Western blot - Anti-TRP1 antibody [EPR21960] (AB235447)

Exposure time : Lane 1 : 10 seconds; Lane 2 : 3 seconds.

Blocking/Dilution buffer : 5% NFDM/TBST.

The observed mass is greater than the predicted due to glycosylation.

The molecular mass observed is consistent with what has been described in the literature (PMID : 21324755; PMID : 18042623;18650849).

All lanes:

Western blot - Anti-TRP1 antibody [EPR21960] (ab235447) at 1/1000 dilution

Lane 1:

MeWo (human malignant melanoma fibroblast cell ine) whole cell lysate at 20 µg

Lane 2:

B16-F0 (mouse melanoma epithelial cell-like cell line) whole cell lysate at 20 µg

Secondary

Lane 1:

Western blot - Goat Anti-Rabbit IgG H&L (HRP) (<a href='/en-us/products/secondary-antibodies/goat-rabbit-igg-h-l-hrp-ab97051'>ab97051</a>) at 1/100000 dilution

Lane 2:

Western blot - Goat Anti-Rabbit IgG H&L (HRP) (<a href='/en-us/products/secondary-antibodies/goat-rabbit-igg-h-l-hrp-ab97051'>ab97051</a>) at 1/20000 dilution

Predicted band size: 61 kDa

Observed band size: 75 kDa

false

Key facts

Host species

Rabbit

Clonality

Monoclonal

Clone number

EPR21960

Isotype

IgG

Carrier free

No

Reacts with

Mouse, Rat, Human

Applications

ICC/IF, WB, Flow Cyt (Intra), IHC-P

applications

Immunogen

The exact immunogen used to generate this antibody is proprietary information.

Specificity

We recommend WB for human and mouse; we predict it will also work in WB with rat lysates but were unable to test this.

Reactivity data

{ "title": "Reactivity Data", "filters": { "stats": ["", "Species", "Dilution Info", "Notes"], "tabs": { "all-applications": {"fullname" : "All Applications", "shortname": "All Applications"}, "WB" : {"fullname" : "Western blot", "shortname":"WB"}, "ICCIF" : {"fullname" : "Immunocytochemistry/ Immunofluorescence", "shortname":"ICC/IF"}, "FlowCytIntra" : {"fullname" : "Flow Cytometry (Intracellular)", "shortname":"Flow Cyt (Intra)"}, "IHCP" : {"fullname" : "Immunohistochemistry (Formalin/PFA-fixed paraffin-embedded sections)", "shortname":"IHC-P"} }, "product-promise": { "all": "all", "testedAndGuaranteed": "tested", "guaranteed": "expected", "predicted": "predicted", "notRecommended": "not-recommended" } }, "values": { "Human": { "WB-species-checked": "testedAndGuaranteed", "WB-species-dilution-info": "1/1000", "WB-species-notes": "<p>We recommend WB for human and mouse; we predict it will also work in WB with rat lysates but were unable to test this.</p>", "ICCIF-species-checked": "testedAndGuaranteed", "ICCIF-species-dilution-info": "1/1000", "ICCIF-species-notes": "<p></p>", "FlowCytIntra-species-checked": "testedAndGuaranteed", "FlowCytIntra-species-dilution-info": "1/60", "FlowCytIntra-species-notes": "<p></p>", "IHCP-species-checked": "testedAndGuaranteed", "IHCP-species-dilution-info": "1/4000", "IHCP-species-notes": "<p></p> Perform heat-mediated antigen retrieval with Tris/EDTA buffer pH 9.0 before commencing with IHC staining protocol." }, "Mouse": { "WB-species-checked": "testedAndGuaranteed", "WB-species-dilution-info": "1/1000", "WB-species-notes": "<p>We recommend WB for human and mouse; we predict it will also work in WB with rat lysates but were unable to test this.</p>", "ICCIF-species-checked": "testedAndGuaranteed", "ICCIF-species-dilution-info": "1/1000", "ICCIF-species-notes": "<p></p>", "FlowCytIntra-species-checked": "testedAndGuaranteed", "FlowCytIntra-species-dilution-info": "1/60", "FlowCytIntra-species-notes": "<p></p>", "IHCP-species-checked": "testedAndGuaranteed", "IHCP-species-dilution-info": "1/4000", "IHCP-species-notes": "<p></p> Perform heat-mediated antigen retrieval with Tris/EDTA buffer pH 9.0 before commencing with IHC staining protocol." }, "Rat": { "WB-species-checked": "guaranteed", "WB-species-dilution-info": "", "WB-species-notes": "", "ICCIF-species-checked": "guaranteed", "ICCIF-species-dilution-info": "", "ICCIF-species-notes": "", "FlowCytIntra-species-checked": "guaranteed", "FlowCytIntra-species-dilution-info": "", "FlowCytIntra-species-notes": "", "IHCP-species-checked": "testedAndGuaranteed", "IHCP-species-dilution-info": "1/4000", "IHCP-species-notes": "<p></p> Perform heat-mediated antigen retrieval with Tris/EDTA buffer pH 9.0 before commencing with IHC staining protocol." } } }

Product details

What is this antibody validated in?
Anti-TRP1 antibody [EPR21960] (ab235447) is a rabbit recombinant monoclonal antibody and is validated for use in Western Blot (WB), Flow Cytometry (Intra), Flow Cytometry (Flow Cyt), Immunohistochemistry (IHC-P), Immunocytochemistry/immunofluorescence (ICC/IF) in Human, Mouse, Rat samples.

What is the molecular weight of TRP1?
Anti-TRP1 [EPR21960] (ab235447) specifically detects a band for TRP1 (UniProt: P17643) at a molecular weight of 61kDa.

Trusted by the scientific community
Anti-TRP1 [EPR21960] (ab235447) was first used in a scientific publication in 2018 and has been cited over 20 times in peer-reviewed journals.

Trial sizes available!
Test your antibody or perform pre-screening before committing to a larger quantity. Sold in 10µl. Discover our selection of trial-size antibodies.

Other related products
We have a range of other formats of antibody clone [EPR21960] also available for your convenience: ab235447, Carrier free - ab238418, Alexa Fluor® 488 - ab270104, Alexa Fluor® 647 - ab270105

Patented technology
Our RabMAb® technology is a patented hybridoma-based technology for making rabbit monoclonal antibodies. For details on our patents, please refer to RabMAb® patents.

What are the advantages of a recombinant monoclonal antibody?
This product is a recombinant monoclonal antibody, which offers several advantages including:

  • - High batch-to-batch consistency and reproducibility
  • - Improved sensitivity and specificity
  • - Long-term security of supply
  • - Animal-free batch production

For more information, read more on recombinant antibodies.

Properties and storage information

Form
Liquid
Purification technique
Affinity purification Protein A
Storage buffer
pH: 7.2 - 7.4 Preservative: 0.01% Sodium azide Constituents: PBS, 40% Glycerol (glycerin, glycerine), 0.05% BSA
Shipped at conditions
Blue Ice
Appropriate short-term storage duration
1-2 weeks
Appropriate short-term storage conditions
+4°C
Appropriate long-term storage conditions
-20°C
Aliquoting information
Upon delivery aliquot
Storage information
Avoid freeze / thaw cycle

Supplementary information

This supplementary information is collated from multiple sources and compiled automatically.

TRP1 (Tyrosinase-related protein 1) also known as gp75 is a copper-binding protein involved in melanin biosynthesis. TRP1 has a molecular mass of approximately 75 kDa. It is expressed mainly in melanocytes and retinal pigment epithelium cells where it contributes to pigmentation processes. TRP1 functions as an oxidase enzyme catalyzing steps in the transformation of dopa to melanin a pigment responsible for coloration in skin hair and eyes.
Biological function summary

TRP1 participates in a protein complex known as the melanosome. In this complex it plays a role in the proper polymerization and stabilization of eumelanin one type of melanin. It influences the quality and quantity of melanin produced affecting pigmentation. TRP1's interaction with other tyrosinase family members like tyrosinase and TRP2 is important in maintaining the complex's integrity and function with each member contributing uniquely to the melanogenesis process.

Pathways

TRP1 operates within the melanogenesis and WNT signaling pathways. In the melanogenesis pathway TRP1 works alongside tyrosinase for the production of melanin pigment. The WNT signaling pathway which is significant for cellular differentiation and proliferation connects TRP1 through regulatory networks that influence melanocyte development and pigmentation. Regulation of TRP1 and these proteins ensures proper melanin synthesis impacting pigmentation processes in the organism.

TRP1 has connections to conditions such as albinism and melanoma. In albinism mutations in TRP1 can lead to reduced melanin production causing pigmentation defects. TRP1's altered expression has been linked to melanoma a type of skin cancer highlighting its role in melanin regulation and tumor biology. The relationship between TRP1 and tyrosinase in diseases like melanoma highlights the significance of their interaction in both normal pigmentation and disease progression.

Product protocols

For this product, it's our understanding that no specific protocols are required. You can visit:

Target data

Plays a role in melanin biosynthesis (PubMed : 16704458, PubMed : 22556244, PubMed : 23504663). Catalyzes the oxidation of 5,6-dihydroxyindole-2-carboxylic acid (DHICA) into indole-5,6-quinone-2-carboxylic acid in the presence of bound Cu(2+) ions, but not in the presence of Zn(2+) (PubMed : 28661582). May regulate or influence the type of melanin synthesized (PubMed : 16704458, PubMed : 22556244). Also to a lower extent, capable of hydroxylating tyrosine and producing melanin (By similarity).
See full target information TYRP1

Publications (38)

Recent publications for all applications. Explore the full list and refine your search

Antioxidants (Basel, Switzerland) 14: PubMed40722910

2025

The Antioxidant and Skin-Brightening Effects of a Novel Caffeic Acid Derivative, Caffeic Acid-3,4-Dihydroxyphenylpropanolester.

Applications

Unspecified application

Species

Unspecified reactive species

Kyu-Lim Kim,Ju-Hee Jeon,Yeonjoon Kim,Kyung-Min Lim

Scientific reports 15:25816 PubMed40670430

2025

Lactic acid inhibits melanin synthesis by regulating histone H3 lactylation and suppressing tyrp1 transcription in B16 melanoma cells.

Applications

Unspecified application

Species

Unspecified reactive species

Bin Du,Meng Xiao,Liang Gao

Frontiers in pharmacology 16:1572878 PubMed40356959

2025

Apigenin promotes melanogenesis and melanosome transport through the c-KIT/Raf-1/MAPK/CREB pathway in HEMCs.

Applications

Unspecified application

Species

Unspecified reactive species

Jinpeng Lv,Duo Meng,Huansha Zhang,Wenhui Xu,Xiaohong An,Chuanwei Yin,Kun Zou,Rongyin Gao

Journal of advanced veterinary and animal research 11:1139-1148 PubMed40013286

2025

Understanding the skin blackening phenomenon in Youzhou Dark goats based on the histological characteristics of melanocytes.

Applications

Unspecified application

Species

Unspecified reactive species

Cancan Chen,Jie Li,Xiaoyan Sun,Jing Jiang,Shipeng Lv,Liangjia Liu,Gaofu Wang,Hangxing Ren

Foods (Basel, Switzerland) 13: PubMed39593972

2024

Anti-Melanogenic Activities of Polyphenol-Rich Extract on α-MSH-Stimulated B16F10 Cells via PI3K/Akt and MAPK/ERK Pathways.

Applications

Unspecified application

Species

Unspecified reactive species

Bei Chen,Honghong Chen,Kun Qiao,Min Xu,Jingna Wu,Yongchang Su,Yan Shi,Lina Ke,Zhiyu Liu,Qin Wang

Pigment cell & melanoma research 37:681-692 PubMed39169669

2024

Photobiomodulation Using 830 nm Lighting-Emitting Diode Inhibits Melanogenesis via FOXO3a in Human Melanocyte.

Applications

Unspecified application

Species

Unspecified reactive species

Yanjun Dan,Li Chen,Shanglin Jin,Xiaoxue Xing,Yijian Zhu,Min Jiang,Chengfeng Zhang,Leihong Flora Xiang

Antioxidants (Basel, Switzerland) 13: PubMed38929152

2024

Anti-Melanogenic Activity of Ethanolic Extract from Fruits Using In Vitro Experiments, Network Pharmacology, Molecular Docking, and Molecular Dynamics Simulation.

Applications

Unspecified application

Species

Unspecified reactive species

Aman Tedasen,Anchalee Chiabchalard,Tewin Tencomnao,Kenshi Yamasaki,Hideyuki J Majima,Atthaphong Phongphithakchai,Moragot Chatatikun

Marine drugs 22: PubMed38786597

2024

Anti-Melanogenic Effects of Muscle Hydrolysate in B16F10 Melanoma Cells and Zebrafish.

Applications

Unspecified application

Species

Unspecified reactive species

Jinjin Hu,Bei Chen,Shuaijie Qu,Shuji Liu,Xiaoyu Yang,Kun Qiao,Yongchang Su,Zhihui Liu,Xiaoe Chen,Zhiyu Liu,Qin Wang

Experimental dermatology 33:e15101 PubMed38770555

2024

Fast freezing inhibits melanin synthesis of melanocytes by modulating the Wnt/β-catenin signalling pathway.

Applications

Unspecified application

Species

Unspecified reactive species

Siyun Wu,Xinyue Yuan,Zexin Tang,Kai Zang,Caibing Wang,Zhiyi Li,Huangde Li,Xiyun Ye,Yongyan Dang

International journal of molecular sciences 25: PubMed38674064

2024

Comparative Analysis of Olive-Derived Phenolic Compounds' Pro-Melanogenesis Effects on B16F10 Cells and Epidermal Human Melanocytes.

Applications

Unspecified application

Species

Unspecified reactive species

Juhee Cho,Meriem Bejaoui,Kenichi Tominaga,Hiroko Isoda
View all publications

Product promise

We are committed to supporting your work with high-quality reagents, and we're here for you every step of the way. In the unlikely event that one of our products does not perform as expected, you're protected by our Product Promise.
For full details, please see our Terms & Conditions

Please note: All products are 'FOR RESEARCH USE ONLY. NOT FOR USE IN DIAGNOSTIC OR THERAPEUTIC PROCEDURES'.

For licensing inquiries, please contact partnerships@abcam.com