JavaScript is disabled in your browser. Please enable JavaScript to view this website.
AB238418

Anti-TRP1 antibody [EPR21960] - BSA and Azide free

Be the first to review this product! Submit a review

|

(1 Publication)

Rabbit Recombinant Monoclonal TRP1 antibody. Carrier free. Suitable for WB, ICC/IF, Flow Cyt (Intra), IHC-P and reacts with Mouse, Rat, Human samples. Cited in 1 publication.

View Alternative Names

CAS2, TYRP, TYRRP, TYRP1, DHICA oxidase, Catalase B, Glycoprotein 75, Melanoma antigen gp75, Tyrosinase-related protein 1, TRP, TRP-1, TRP1

8 Images
Immunohistochemistry (Formalin/PFA-fixed paraffin-embedded sections) - Anti-TRP1 antibody [EPR21960] - BSA and Azide free (AB238418)
  • IHC-P

Supplier Data

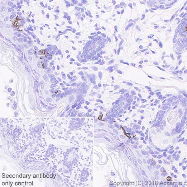
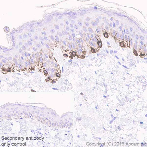
Immunohistochemistry (Formalin/PFA-fixed paraffin-embedded sections) - Anti-TRP1 antibody [EPR21960] - BSA and Azide free (AB238418)

Immunohistochemical analysis of paraffin-embedded human skin tissue labeling TRP1 with ab235447 at 1/4000 dilution, followed by Goat Anti-Rabbit IgG H&L (HRP) Ready to use. Positive staining of melanocytes in human skin (PMID : 21562572). Counter stained with hematoxylin.

Secondary antibody only control : Used PBS instead of primary antibody, secondary antibody is Goat Anti-Rabbit IgG H&L (HRP) Ready to use.

This data was developed using the same antibody clone in a different buffer formulation containing PBS, BSA, glycerol and sodium azide (ab235447).

Heat mediated antigen retrieval was performed with Tris/EDTA buffer pH 9.0 before commencing with IHC staining protocol.

Flow Cytometry (Intracellular) - Anti-TRP1 antibody [EPR21960] - BSA and Azide free (AB238418)
  • Flow Cyt (Intra)

Supplier Data

Flow Cytometry (Intracellular) - Anti-TRP1 antibody [EPR21960] - BSA and Azide free (AB238418)

Intracellular flow cytometric analysis of 4% paraformaldehyde-fixed, 90% methanol permeabilized MeWo (human malignant melanoma fibroblast cell line) cells labeling TRP1 with ab235447 at 1/60 (right panel) compared with a Rabbit IgG, monoclonal [EPR25A] - Isotype Control (ab172730) (left panel). Goat Anti-Rabbit IgG H&L (Alexa Fluor® 488) (ab150077) at 1/2000 dilution was used as the secondary antibody.

TRP1 is predominantly expressed in mature melanosomes (PMID : 27073483, 11266471).

This data was developed using the same antibody clone in a different buffer formulation containing PBS, BSA, glycerol, and sodium azide (ab235447).

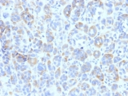
Immunohistochemistry (Formalin/PFA-fixed paraffin-embedded sections) - Anti-TRP1 antibody [EPR21960] - BSA and Azide free (AB238418)
  • IHC-P

Supplier Data

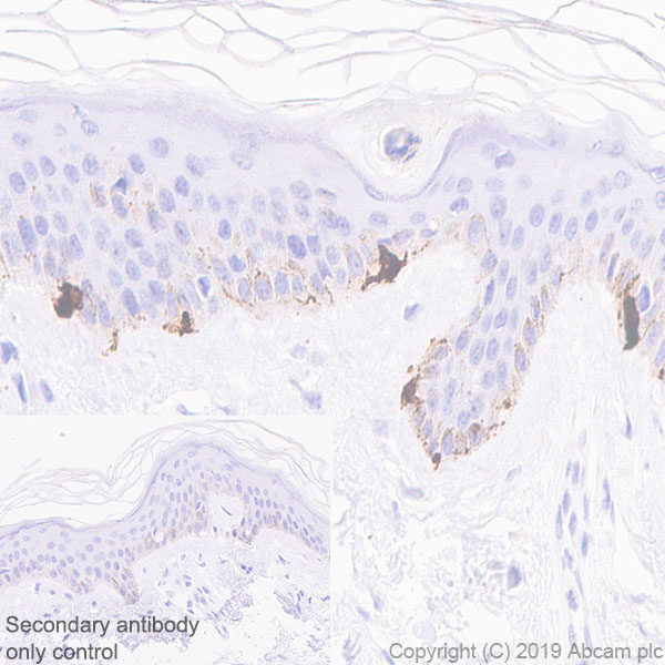
Immunohistochemistry (Formalin/PFA-fixed paraffin-embedded sections) - Anti-TRP1 antibody [EPR21960] - BSA and Azide free (AB238418)

Immunohistochemical analysis of paraffin-embedded human melanoma tissue labeling TRP1 with ab235447 at 1/4000 dilution, followed by Goat Anti-Rabbit IgG H&L (HRP) Ready to use. Cytoplasmic staining in tumor cells of human melanoma (PMID : 22045183; 26068396). Counter stained with hematoxylin.

Secondary antibody only control : Used PBS instead of primary antibody, secondary antibody is Goat Anti-Rabbit IgG H&L (HRP) Ready to use.

This data was developed using the same antibody clone in a different buffer formulation containing PBS, BSA, glycerol, and sodium azide (ab235447).

Heat mediated antigen retrieval was performed with Tris/EDTA buffer pH 9.0 before commencing with IHC staining protocol.

Immunocytochemistry/ Immunofluorescence - Anti-TRP1 antibody [EPR21960] - BSA and Azide free (AB238418)
  • ICC/IF

Supplier Data

Immunocytochemistry/ Immunofluorescence - Anti-TRP1 antibody [EPR21960] - BSA and Azide free (AB238418)

Immunofluorescent analysis of 100% methanol fixed MeWo (human malignant melanoma fibroblast cell line) cells labeling TRP1 with ab235447 at 1/1000 dilution, followed by Goat Anti-Rabbit IgG H&L (Alexa Fluor® 488) (ab150077) secondary antibody at 1/1000 dilution (green). Confocal image showing cytoplasmic staining in MeWo cell line.

The nuclear counter stain is DAPI (blue). Tubulin is detected with Anti-alpha Tubulin antibody [DM1A] - Microtubule Marker (Alexa Fluor® 594) (ab195889) (red) at 1/200 dilution.

Secondary antibody only control : Used PBS instead of primary antibody, secondary antibody is Goat Anti-Rabbit IgG H&L (Alexa Fluor® 488) (ab150077) secondary antibody at 1/1000 dilution.

This data was developed using the same antibody clone in a different buffer formulation containing PBS, BSA, glycerol, and sodium azide (ab235447).

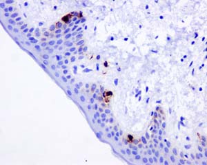
Immunohistochemistry (Formalin/PFA-fixed paraffin-embedded sections) - Anti-TRP1 antibody [EPR21960] - BSA and Azide free (AB238418)
  • IHC-P

Supplier Data

Immunohistochemistry (Formalin/PFA-fixed paraffin-embedded sections) - Anti-TRP1 antibody [EPR21960] - BSA and Azide free (AB238418)

Immunohistochemical analysis of paraffin-embedded mouse skin tissue labeling TRP1 with ab235447 at 1/4000 dilution, followed by Goat Anti-Rabbit IgG H&L (HRP) Ready to use. Positive staining of melanocytes in mouse skin (PMID : 21562572). Counter stained with hematoxylin.

Secondary antibody only control : Used PBS instead of primary antibody, secondary antibody is Goat Anti-Rabbit IgG H&L (HRP) Ready to use.

This data was developed using the same antibody clone in a different buffer formulation containing PBS, BSA, glycerol, and sodium azide (ab235447).

Heat mediated antigen retrieval was performed with Tris/EDTA buffer pH 9.0 before commencing with IHC staining protocol.

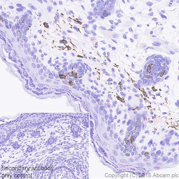
Immunohistochemistry (Formalin/PFA-fixed paraffin-embedded sections) - Anti-TRP1 antibody [EPR21960] - BSA and Azide free (AB238418)
  • IHC-P

Supplier Data

Immunohistochemistry (Formalin/PFA-fixed paraffin-embedded sections) - Anti-TRP1 antibody [EPR21960] - BSA and Azide free (AB238418)

Immunohistochemical analysis of paraffin-embedded rat skin tissue labeling TRP1 with ab235447 at 1/4000 dilution, followed by Goat Anti-Rabbit IgG H&L (HRP) Ready to use. Positive staining of melanocytes in rat skin (PMID : 21562572). Counter stained with hematoxylin.

Secondary antibody only control : Used PBS instead of primary antibody, secondary antibody is Goat Anti-Rabbit IgG H&L (HRP) Ready to use.

This data was developed using the same antibody clone in a different buffer formulation containing PBS, BSA, glycerol, and sodium azide (ab235447).

Heat mediated antigen retrieval was performed with Tris/EDTA buffer pH 9.0 before commencing with IHC staining protocol.

Immunocytochemistry/ Immunofluorescence - Anti-TRP1 antibody [EPR21960] - BSA and Azide free (AB238418)
  • ICC/IF

Supplier Data

Immunocytochemistry/ Immunofluorescence - Anti-TRP1 antibody [EPR21960] - BSA and Azide free (AB238418)

Immunofluorescent analysis of 100% methanol fixed B16-F0 (mouse melanoma epithelial cell-like cell line) cells labeling TRP1 with ab235447 at 1/1000 dilution, followed by Goat Anti-Rabbit IgG H&L (Alexa Fluor® 488) (ab150077) secondary antibody at 1/1000 dilution (green). Confocal image showing cytoplasmic and membranous staining in the B16-F0 cell line.

The nuclear counter stain is DAPI (blue). Tubulin is detected with Anti-alpha Tubulin antibody [DM1A] - Microtubule Marker (Alexa Fluor® 594) (ab195889) (red) at 1/200 dilution.

Secondary antibody only control : Used PBS instead of primary antibody, secondary antibody is Goat Anti-Rabbit IgG H&L (Alexa Fluor® 488) (ab150077) secondary antibody at 1/1000 dilution.

This data was developed using the same antibody clone in a different buffer formulation containing PBS, BSA, glycerol, and sodium azide (ab235447).

Flow Cytometry (Intracellular) - Anti-TRP1 antibody [EPR21960] - BSA and Azide free (AB238418)
  • Flow Cyt (Intra)

Supplier Data

Flow Cytometry (Intracellular) - Anti-TRP1 antibody [EPR21960] - BSA and Azide free (AB238418)

Intracellular flow cytometric analysis of 4% paraformaldehyde-fixed, 90% methanol permeabilized B16-F0 (mouse melanoma epithelial cell-like cell line) cells labeling TRP1 with ab235447 at 1/60 (red) compared with a Rabbit IgG, monoclonal [EPR25A] - Isotype Control (ab172730) (black) and an unlabeled control (cells incubated with secondary antibody only) (blue). Goat Anti-Rabbit IgG H&L (Alexa Fluor® 488) (ab150077) at 1/2000 dilution was used as the secondary antibody.

This data was developed using the same antibody clone in a different buffer formulation containing PBS, BSA, glycerol, and sodium azide (ab235447).

Key facts

Host species

Rabbit

Clonality

Monoclonal

Clone number

EPR21960

Isotype

IgG

Carrier free

Yes

Reacts with

Mouse, Rat, Human

Applications

WB, IHC-P, ICC/IF, Flow Cyt (Intra)

applications

Immunogen

The exact immunogen used to generate this antibody is proprietary information.

Specificity

We recommend WB for human and mouse; we predict it will also work in WB with rat lysates but were unable to test this.

Reactivity data

{ "title": "Reactivity Data", "filters": { "stats": ["", "Species", "Dilution Info", "Notes"], "tabs": { "all-applications": {"fullname" : "All Applications", "shortname": "All Applications"}, "WB" : {"fullname" : "Western blot", "shortname":"WB"}, "ICCIF" : {"fullname" : "Immunocytochemistry/ Immunofluorescence", "shortname":"ICC/IF"}, "FlowCytIntra" : {"fullname" : "Flow Cytometry (Intracellular)", "shortname":"Flow Cyt (Intra)"}, "IHCP" : {"fullname" : "Immunohistochemistry (Formalin/PFA-fixed paraffin-embedded sections)", "shortname":"IHC-P"} }, "product-promise": { "all": "all", "testedAndGuaranteed": "tested", "guaranteed": "expected", "predicted": "predicted", "notRecommended": "not-recommended" } }, "values": { "Human": { "WB-species-checked": "guaranteed", "WB-species-dilution-info": "", "WB-species-notes": "<p>We recommend WB for human and mouse; we predict it will also work in WB with rat lysates but were unable to test this.</p>", "ICCIF-species-checked": "predicted", "ICCIF-species-dilution-info": "", "ICCIF-species-notes": "", "FlowCytIntra-species-checked": "predicted", "FlowCytIntra-species-dilution-info": "", "FlowCytIntra-species-notes": "", "IHCP-species-checked": "predicted", "IHCP-species-dilution-info": "", "IHCP-species-notes": "" }, "Mouse": { "WB-species-checked": "guaranteed", "WB-species-dilution-info": "", "WB-species-notes": "<p>We recommend WB for human and mouse; we predict it will also work in WB with rat lysates but were unable to test this.</p>", "ICCIF-species-checked": "testedAndGuaranteed", "ICCIF-species-dilution-info": "", "ICCIF-species-notes": "<p></p>", "FlowCytIntra-species-checked": "testedAndGuaranteed", "FlowCytIntra-species-dilution-info": "", "FlowCytIntra-species-notes": "<p></p>", "IHCP-species-checked": "guaranteed", "IHCP-species-dilution-info": "", "IHCP-species-notes": "" }, "Rat": { "WB-species-checked": "guaranteed", "WB-species-dilution-info": "", "WB-species-notes": "<p>We recommend WB for human and mouse; we predict it will also work in WB with rat lysates but were unable to test this.</p>", "ICCIF-species-checked": "guaranteed", "ICCIF-species-dilution-info": "", "ICCIF-species-notes": "", "FlowCytIntra-species-checked": "guaranteed", "FlowCytIntra-species-dilution-info": "", "FlowCytIntra-species-notes": "", "IHCP-species-checked": "testedAndGuaranteed", "IHCP-species-dilution-info": "", "IHCP-species-notes": "<p></p>" } } }

Product details

ab238418 is the carrier-free version of ab235447.

Patented technology
Our RabMAb® technology is a patented hybridoma-based technology for making rabbit monoclonal antibodies. For details on our patents, please refer to RabMAb® patents.

What are the advantages of a recombinant monoclonal antibody?
This product is a recombinant monoclonal antibody, which offers several advantages including:

  • - High batch-to-batch consistency and reproducibility
  • - Improved sensitivity and specificity
  • - Long-term security of supply
  • - Animal-free batch production

For more information, read more on recombinant antibodies.

Conjugation ready
Our carrier-free antibodies are typically supplied in a PBS-only formulation, purified and free of BSA, sodium azide and glycerol. This conjugation-ready format is designed for use with fluorochromes, metal isotopes, oligonucleotides, and enzymes, which makes them ideal for antibody labelling, functional and cell-based assays, flow-based assays (e.g. mass cytometry) and Multiplex Imaging applications.

Use our conjugation kits for antibody conjugates that are ready-to-use in as little as 20 minutes with 1 minute hands-on-time and 100% antibody recovery: available for fluorescent dyes, HRP, biotin and gold.

Compatibility
This product is compatible with the Maxpar® Antibody Labeling Kit from Fluidigm, without the need for antibody preparation. Maxpar® is a trademark of Fluidigm Canada Inc.

Properties and storage information

Form
Liquid
Purification technique
Affinity purification Protein A
Storage buffer
pH: 7.2 - 7.4 Constituents: PBS
Shipped at conditions
Blue Ice
Appropriate short-term storage conditions
+4°C
Appropriate long-term storage conditions
+4°C
Storage information
Do Not Freeze

Supplementary information

This supplementary information is collated from multiple sources and compiled automatically.

TRP1 (Tyrosinase-related protein 1) also known as gp75 is a copper-binding protein involved in melanin biosynthesis. TRP1 has a molecular mass of approximately 75 kDa. It is expressed mainly in melanocytes and retinal pigment epithelium cells where it contributes to pigmentation processes. TRP1 functions as an oxidase enzyme catalyzing steps in the transformation of dopa to melanin a pigment responsible for coloration in skin hair and eyes.
Biological function summary

TRP1 participates in a protein complex known as the melanosome. In this complex it plays a role in the proper polymerization and stabilization of eumelanin one type of melanin. It influences the quality and quantity of melanin produced affecting pigmentation. TRP1’s interaction with other tyrosinase family members like tyrosinase and TRP2 is important in maintaining the complex's integrity and function with each member contributing uniquely to the melanogenesis process.

Pathways

TRP1 operates within the melanogenesis and WNT signaling pathways. In the melanogenesis pathway TRP1 works alongside tyrosinase for the production of melanin pigment. The WNT signaling pathway which is significant for cellular differentiation and proliferation connects TRP1 through regulatory networks that influence melanocyte development and pigmentation. Regulation of TRP1 and these proteins ensures proper melanin synthesis impacting pigmentation processes in the organism.

TRP1 has connections to conditions such as albinism and melanoma. In albinism mutations in TRP1 can lead to reduced melanin production causing pigmentation defects. TRP1's altered expression has been linked to melanoma a type of skin cancer highlighting its role in melanin regulation and tumor biology. The relationship between TRP1 and tyrosinase in diseases like melanoma highlights the significance of their interaction in both normal pigmentation and disease progression.

Product protocols

For this product, it's our understanding that no specific protocols are required. You can visit:

Target data

Plays a role in melanin biosynthesis (PubMed : 16704458, PubMed : 22556244, PubMed : 23504663). Catalyzes the oxidation of 5,6-dihydroxyindole-2-carboxylic acid (DHICA) into indole-5,6-quinone-2-carboxylic acid in the presence of bound Cu(2+) ions, but not in the presence of Zn(2+) (PubMed : 28661582). May regulate or influence the type of melanin synthesized (PubMed : 16704458, PubMed : 22556244). Also to a lower extent, capable of hydroxylating tyrosine and producing melanin (By similarity).
See full target information TYRP1

Publications (1)

Recent publications for all applications. Explore the full list and refine your search

PloS one 14:e0225511 PubMed31756206

2019

Expression profile of sonic hedgehog signaling-related molecules in basal cell carcinoma.

Applications

Unspecified application

Species

Unspecified reactive species

Hye Sung Kim,Young Sil Kim,Chul Lee,Myung Soo Shin,Jae Wang Kim,Bo Gun Jang
View all publications

Product promise

We are committed to supporting your work with high-quality reagents, and we're here for you every step of the way. In the unlikely event that one of our products does not perform as expected, you're protected by our Product Promise.
For full details, please see our Terms & Conditions

Please note: All products are 'FOR RESEARCH USE ONLY. NOT FOR USE IN DIAGNOSTIC OR THERAPEUTIC PROCEDURES'.

For licensing inquiries, please contact partnerships@abcam.com