JavaScript is disabled in your browser. Please enable JavaScript to view this website.
AB212922

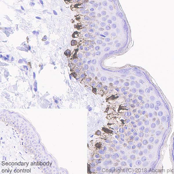
Anti-TRP1 antibody [TA99] - BSA and Azide free

Be the first to review this product! Submit a review

|

(0 Publication)

Mouse Monoclonal TRP1 antibody. Carrier free. Suitable for IHC-P and reacts with Human samples. Immunogen corresponding to Cell preparation containing TYRP1 protein.

View Alternative Names

CAS2, TYRP, TYRRP, TYRP1, DHICA oxidase, Catalase B, Glycoprotein 75, Melanoma antigen gp75, Tyrosinase-related protein 1, TRP, TRP-1, TRP1

Key facts

Host species

Mouse

Clonality

Monoclonal

Clone number

TA99

Isotype

IgG2a

Light chain type

kappa

Carrier free

Yes

Reacts with

Human

Applications

IHC-P

applications

Immunogen

Cell preparation containing TYRP1 protein. The exact immunogen used to generate this antibody is proprietary information.

P17643

Reactivity data

{ "title": "Reactivity Data", "filters": { "stats": ["", "Species", "Dilution Info", "Notes"], "tabs": { "all-applications": {"fullname" : "All Applications", "shortname": "All Applications"}, "IHCP" : {"fullname" : "Immunohistochemistry (Formalin/PFA-fixed paraffin-embedded sections)", "shortname":"IHC-P"} }, "product-promise": { "all": "all", "testedAndGuaranteed": "tested", "guaranteed": "expected", "predicted": "predicted", "notRecommended": "not-recommended" } }, "values": { "Human": { "IHCP-species-checked": "testedAndGuaranteed", "IHCP-species-dilution-info": "3-6 µg/mL", "IHCP-species-notes": "<p></p>" } } }

Properties and storage information

Form
Liquid
Purification technique
Affinity purification Protein A
Purification notes
ab212922 was purified from Bioreactor Concentrate by Protein A/G.
Storage buffer
pH: 7.2 - 7.4 Constituents: 100% PBS
Shipped at conditions
Blue Ice
Appropriate short-term storage duration
1-2 weeks
Appropriate short-term storage conditions
+4°C
Appropriate long-term storage conditions
-20°C
Aliquoting information
Upon delivery aliquot
Storage information
Avoid freeze / thaw cycle

Supplementary information

This supplementary information is collated from multiple sources and compiled automatically.

TRP1 (Tyrosinase-related protein 1) also known as gp75 is a copper-binding protein involved in melanin biosynthesis. TRP1 has a molecular mass of approximately 75 kDa. It is expressed mainly in melanocytes and retinal pigment epithelium cells where it contributes to pigmentation processes. TRP1 functions as an oxidase enzyme catalyzing steps in the transformation of dopa to melanin a pigment responsible for coloration in skin hair and eyes.
Biological function summary

TRP1 participates in a protein complex known as the melanosome. In this complex it plays a role in the proper polymerization and stabilization of eumelanin one type of melanin. It influences the quality and quantity of melanin produced affecting pigmentation. TRP1’s interaction with other tyrosinase family members like tyrosinase and TRP2 is important in maintaining the complex's integrity and function with each member contributing uniquely to the melanogenesis process.

Pathways

TRP1 operates within the melanogenesis and WNT signaling pathways. In the melanogenesis pathway TRP1 works alongside tyrosinase for the production of melanin pigment. The WNT signaling pathway which is significant for cellular differentiation and proliferation connects TRP1 through regulatory networks that influence melanocyte development and pigmentation. Regulation of TRP1 and these proteins ensures proper melanin synthesis impacting pigmentation processes in the organism.

TRP1 has connections to conditions such as albinism and melanoma. In albinism mutations in TRP1 can lead to reduced melanin production causing pigmentation defects. TRP1's altered expression has been linked to melanoma a type of skin cancer highlighting its role in melanin regulation and tumor biology. The relationship between TRP1 and tyrosinase in diseases like melanoma highlights the significance of their interaction in both normal pigmentation and disease progression.

Product protocols

For this product, it's our understanding that no specific protocols are required. You can visit:

Target data

Plays a role in melanin biosynthesis (PubMed : 16704458, PubMed : 22556244, PubMed : 23504663). Catalyzes the oxidation of 5,6-dihydroxyindole-2-carboxylic acid (DHICA) into indole-5,6-quinone-2-carboxylic acid in the presence of bound Cu(2+) ions, but not in the presence of Zn(2+) (PubMed : 28661582). May regulate or influence the type of melanin synthesized (PubMed : 16704458, PubMed : 22556244). Also to a lower extent, capable of hydroxylating tyrosine and producing melanin (By similarity).
See full target information TYRP1

Product promise

We are committed to supporting your work with high-quality reagents, and we're here for you every step of the way. In the unlikely event that one of our products does not perform as expected, you're protected by our Product Promise.
For full details, please see our Terms & Conditions

Please note: All products are 'FOR RESEARCH USE ONLY. NOT FOR USE IN DIAGNOSTIC OR THERAPEUTIC PROCEDURES'.

For licensing inquiries, please contact partnerships@abcam.com