JavaScript is disabled in your browser. Please enable JavaScript to view this website.
AB234901

Anti-TRP2/DCT antibody [EPR21986] - BSA and Azide free

  • BOND RX™ Validated
  • Recombinant
  • Advanced Validation
  • RabMAb
  • What is this?

Be the first to review this product! Submit a review

|

(2 Publications)

Rabbit Recombinant Monoclonal TRP2/DCT antibody. Carrier free. Suitable for IP, WB, IHC-P, mIHC and reacts with Mouse, Human samples. Cited in 2 publications.

View Alternative Names

TYRP2, DCT, L-dopachrome tautomerase, DT, L-dopachrome Delta-isomerase, Tyrosinase-related protein 2, TRP-2, TRP2

5 Images
Immunohistochemistry (Formalin/PFA-fixed paraffin-embedded sections) - Anti-TRP2/DCT antibody [EPR21986] - BSA and Azide free (AB234901)
  • IHC-P

Supplier Data

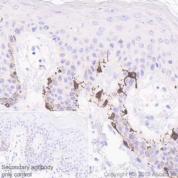
Immunohistochemistry (Formalin/PFA-fixed paraffin-embedded sections) - Anti-TRP2/DCT antibody [EPR21986] - BSA and Azide free (AB234901)

Immunohistochemical analysis of paraffin-embedded human skin tissue labeling TRP2/DCT with ab221144 at 1/2000 dilution, followed by Goat Anti-Rabbit IgG H&L (HRP) Ready to use. Cytoplasmic staining in melanocytes of human skin (PMID : 12535195). Counter stained with hematoxylin.

Secondary antibody only control : Used PBS instead of primary antibody, secondary antibody is Goat Anti-Rabbit IgG H&L (HRP) Ready to use.

This data was developed using the same antibody clone in a different buffer formulation containing PBS, BSA, glycerol, and sodium azide (ab221144).

Perform heat mediated antigen retrieval with Tris/EDTA buffer pH 9.0 before commencing with IHC staining protocol.

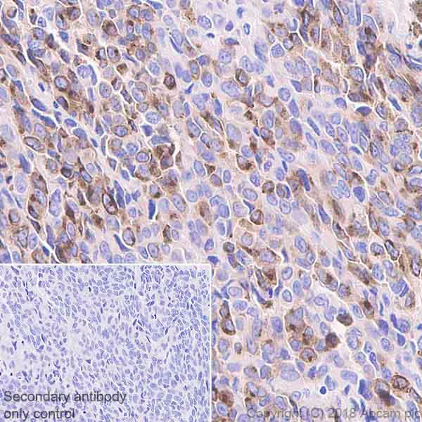
Immunohistochemistry (Formalin/PFA-fixed paraffin-embedded sections) - Anti-TRP2/DCT antibody [EPR21986] - BSA and Azide free (AB234901)
  • IHC-P

Supplier Data

Immunohistochemistry (Formalin/PFA-fixed paraffin-embedded sections) - Anti-TRP2/DCT antibody [EPR21986] - BSA and Azide free (AB234901)

Immunohistochemical analysis of paraffin-embedded human melanoma tissue labeling TRP2/DCT with ab221144 at 1/2000 dilution, followed by Goat Anti-Rabbit IgG H&L (HRP) Ready to use. Cytoplasmic staining in human melanoma (PMID : 24475287). Counter stained with hematoxylin.

Secondary antibody only control : Used PBS instead of primary antibody, secondary antibody is Goat Anti-Rabbit IgG H&L (HRP) Ready to use.

This data was developed using the same antibody clone in a different buffer formulation containing PBS, BSA, glycerol, and sodium azide (ab221144).

Perform heat mediated antigen retrieval with Tris/EDTA buffer pH 9.0 before commencing with IHC staining protocol.

Multiplex immunohistochemistry - Anti-TRP2/DCT antibody [EPR21986] - BSA and Azide free (AB234901)
  • mIHC

Supplier Data

Multiplex immunohistochemistry - Anti-TRP2/DCT antibody [EPR21986] - BSA and Azide free (AB234901)

This data was developed using the same antibody clone in a different buffer formulation containing PBS, BSA, glycerol, and sodium azide (ab221144). Panel A : merged staining of anti-Desmoglein 1/DSG1 (gray; Opal™690), anti-Langerin (green; Opal™520) and anti-TRP2/DCT (red; Opal™570) on human skin. Panel B : anti-TRP2/DCT stained on melanocytes. Panel C : anti-Langerin stained on Langerhans cells. Panel D : anti-Desmoglein 1/DSG1 stained on epidermis. The section was incubated in three rounds of staining : in the order of ab236259, ab283686, and ab221144 for 30 mins at room temperature. Each round was followed by a separate fluorescent tyramide signal amplification system. The immunostaining was performed on a Leica Biosystems BOND® RX instrument with an Opal™ 4-color kit. Image acquisition was performed with Leica SP8 confocal microscope.

Immunoprecipitation - Anti-TRP2/DCT antibody [EPR21986] - BSA and Azide free (AB234901)
  • IP

Supplier Data

Immunoprecipitation - Anti-TRP2/DCT antibody [EPR21986] - BSA and Azide free (AB234901)

TRP2/DCT was immunoprecipitated from 0.35 mg SK-MEL-2 (human skin malignant melanoma cell line) whole cell lysate with ab221144 at 1/30 dilution. Western blot was performed from the immunoprecipitate using ab221144 at 1/1000 dilution. VeriBlot for IP Detection Reagent (HRP) (ab131366), was used for detection at 1/5000 dilution.

Lane 1 : SK-MEL-2 whole cell lysate 10 μg (Input).

Lane 2 : ab221144 IP in SK-MEL-2 whole cell lysate.

Lane 3 : Rabbit monoclonal IgG (ab172730) instead of ab221144 in SK-MEL-2 whole cell lysate.

Blocking/Dilution buffer and concentration : 5% NFDM/TBST.

Exposure time : 5 seconds.

This data was developed using the same antibody clone in a different buffer formulation containing PBS, BSA, glycerol, and sodium azide (ab221144).

All lanes:

Immunoprecipitation - Anti-TRP2/DCT antibody [EPR21986] (<a href='/en-us/products/primary-antibodies/trp2-dct-antibody-epr21986-ab221144'>ab221144</a>)

Predicted band size: 59 kDa

false

Immunoprecipitation - Anti-TRP2/DCT antibody [EPR21986] - BSA and Azide free (AB234901)
  • IP

Supplier Data

Immunoprecipitation - Anti-TRP2/DCT antibody [EPR21986] - BSA and Azide free (AB234901)

TRP2/DCT was immunoprecipitated from 0.35 mg B16-F0 (mouse melanoma epithelial cell-like cell line) whole cell lysate with ab221144 at 1/30 dilution. Western blot was performed from the immunoprecipitate using ab221144 at 1/1000 dilution. VeriBlot for IP Detection Reagent (HRP) (ab131366), was used for detection at 1/5000 dilution.

Lane 1 : B16-F0 whole cell lysate 10 μg (Input).

Lane 2 : ab221144 IP in B16-F0 whole cell lysate.

Lane 3 : Rabbit monoclonal IgG (ab172730) instead of ab221144 in B16-F0 whole cell lysate.

Blocking/Dilution buffer and concentration : 5% NFDM/TBST.

Exposure time : 41 seconds.

~85KD band is the glycosylated form (PMID : 12719423)

This data was developed using the same antibody clone in a different buffer formulation containing PBS, BSA, glycerol, and sodium azide (ab221144).

All lanes:

Immunoprecipitation - Anti-TRP2/DCT antibody [EPR21986] (<a href='/en-us/products/primary-antibodies/trp2-dct-antibody-epr21986-ab221144'>ab221144</a>)

Predicted band size: 59 kDa

false

Key facts

Host species

Rabbit

Clonality

Monoclonal

Clone number

EPR21986

Isotype

IgG

Carrier free

Yes

Reacts with

Mouse, Human

Applications

IP, WB, mIHC, IHC-P

applications

Immunogen

The exact immunogen used to generate this antibody is proprietary information.

Reactivity data

{ "title": "Reactivity Data", "filters": { "stats": ["", "Species", "Dilution Info", "Notes"], "tabs": { "all-applications": {"fullname" : "All Applications", "shortname": "All Applications"}, "IP" : {"fullname" : "Immunoprecipitation", "shortname":"IP"}, "WB" : {"fullname" : "Western blot", "shortname":"WB"}, "IHCP" : {"fullname" : "Immunohistochemistry (Formalin/PFA-fixed paraffin-embedded sections)", "shortname":"IHC-P"}, "mIHC" : {"fullname" : "Multiplex immunohistochemistry", "shortname":"mIHC"} }, "product-promise": { "all": "all", "testedAndGuaranteed": "tested", "guaranteed": "expected", "predicted": "predicted", "notRecommended": "not-recommended" } }, "values": { "Human": { "IP-species-checked": "testedAndGuaranteed", "IP-species-dilution-info": "", "IP-species-notes": "<p></p>", "WB-species-checked": "testedAndGuaranteed", "WB-species-dilution-info": "", "WB-species-notes": "<p></p>", "IHCP-species-checked": "testedAndGuaranteed", "IHCP-species-dilution-info": "", "IHCP-species-notes": "<p>Mouse species is recommended based on WB and IP results, we do not guarantee IHC-P for mouse.</p>", "mIHC-species-checked": "testedAndGuaranteed", "mIHC-species-dilution-info": "", "mIHC-species-notes": "<p>Perform heat mediated antigen retrieval with Tris/EDTA buffer pH 9.0 before commencing with IHC staining protocol.</p>" }, "Mouse": { "IP-species-checked": "testedAndGuaranteed", "IP-species-dilution-info": "", "IP-species-notes": "<p></p>", "WB-species-checked": "guaranteed", "WB-species-dilution-info": "", "WB-species-notes": "<p></p>", "IHCP-species-checked": "guaranteed", "IHCP-species-dilution-info": "", "IHCP-species-notes": "", "mIHC-species-checked": "guaranteed", "mIHC-species-dilution-info": "", "mIHC-species-notes": "" } } }

Product details

ab234901 is the carrier-free version of ab221144.

Patented technology
Our RabMAb® technology is a patented hybridoma-based technology for making rabbit monoclonal antibodies. For details on our patents, please refer to RabMAb® patents.

What are the advantages of a recombinant monoclonal antibody?
This product is a recombinant monoclonal antibody, which offers several advantages including:

  • - High batch-to-batch consistency and reproducibility
  • - Improved sensitivity and specificity
  • - Long-term security of supply
  • - Animal-free batch production

For more information, read more on recombinant antibodies.

Conjugation ready
Our carrier-free antibodies are typically supplied in a PBS-only formulation, purified and free of BSA, sodium azide and glycerol. This conjugation-ready format is designed for use with fluorochromes, metal isotopes, oligonucleotides, and enzymes, which makes them ideal for antibody labelling, functional and cell-based assays, flow-based assays (e.g. mass cytometry) and Multiplex Imaging applications.

Use our conjugation kits for antibody conjugates that are ready-to-use in as little as 20 minutes with 1 minute hands-on-time and 100% antibody recovery: available for fluorescent dyes, HRP, biotin and gold.

Compatibility
This product is compatible with the Maxpar® Antibody Labeling Kit from Fluidigm, without the need for antibody preparation. Maxpar® is a trademark of Fluidigm Canada Inc.

Properties and storage information

Form
Liquid
Purification technique
Affinity purification Protein A
Storage buffer
pH: 7.2 - 7.4 Constituents: PBS
Shipped at conditions
Blue Ice
Appropriate short-term storage conditions
+4°C
Appropriate long-term storage conditions
+4°C
Storage information
Do Not Freeze

Supplementary information

This supplementary information is collated from multiple sources and compiled automatically.

TRP2 also known as DCT or dopachrome tautomerase is a protein involved in melanin synthesis and is part of the tyrosinase-related protein family. It has a molecular weight of approximately 60 kDa. TRP2/DCT is mainly expressed in melanocytes which are cells responsible for pigment production. The protein functions in the melanin biosynthetic pathway converting dopachrome into DHICA contributing to the eumelanin formation which impacts skin and hair color.
Biological function summary

TRP2/DCT participates in pigmentation and photoprotection processes. It functions in tandem with other enzymes like tyrosinase and TRP1 to form a multiprotein complex important for melanin synthesis. The coordination of these proteins ensures the effective production and regulation of melanin which absorbs ultraviolet radiation and reduces DNA damage in skin cells.

Pathways

TRP2/DCT plays a role in the melanin biosynthetic pathway and influences the Wnt signaling pathway. The melanin pathway involves enzymes such as tyrosinase which initiates the conversion of tyrosine to L-DOPA and eventually to melanin pigments. The Wnt signaling pathway critical for cellular processes like proliferation and differentiation interacts with melanogenesis through proteins like beta-catenin influencing TRP2/DCT expression and activity.

TRP2/DCT has significant associations with melanoma and vitiligo. In melanoma altered expression of TRP2/DCT can impact tumor cell proliferation and survival often interacting with proteins like MITF an important regulator of melanocyte development. In vitiligo changes in TRP2/DCT expression can disrupt melanin production leading to depigmented patches on the skin. Understanding these interactions and expressions aids in potential therapeutic approaches for these skin conditions.

Product protocols

For this product, it's our understanding that no specific protocols are required. You can visit:

Target data

Plays a role in melanin biosynthesis (PubMed : 33100333). Catalyzes the conversion of L-dopachrome into 5,6-dihydroxyindole-2-carboxylic acid (DHICA).
See full target information DCT

Publications (2)

Recent publications for all applications. Explore the full list and refine your search

Iranian journal of public health 51:2706-2716 PubMed36742227

2023

Peripheral Blood of Vitiligo Patients-Derived Exosomal MiR-21-5p Inhibits Melanocytes Melanogenesis via Targeting SATB1.

Applications

Unspecified application

Species

Unspecified reactive species

Change Zhang,Wu Guo,Sheng Wang,Yuzi Di,Dengting Wu

Frontiers in cell and developmental biology 9:688949 PubMed34746118

2021

NR2F1-AS1/miR-190a/PHLDB2 Induces the Epithelial-Mesenchymal Transformation Process in Gastric Cancer by Promoting Phosphorylation of AKT3.

Applications

Unspecified application

Species

Unspecified reactive species

Jinqi Lv,Simeng Zhang,Yang Liu,Ce Li,Tianshu Guo,Shuairan Zhang,Zenan Li,Zihan Jiao,Haina Sun,Ye Zhang,Ling Xu
View all publications

Product promise

We are committed to supporting your work with high-quality reagents, and we're here for you every step of the way. In the unlikely event that one of our products does not perform as expected, you're protected by our Product Promise.
For full details, please see our Terms & Conditions

Please note: All products are 'FOR RESEARCH USE ONLY. NOT FOR USE IN DIAGNOSTIC OR THERAPEUTIC PROCEDURES'.

For licensing inquiries, please contact partnerships@abcam.com