JavaScript is disabled in your browser. Please enable JavaScript to view this website.
AB300142

Anti-TRPC3 antibody [EPR25056-56]

  • BOND RX™ Validated
  • 20ul selling size
  • RabMAb
  • Recombinant
  • What is this?

Be the first to review this product! Submit a review

|

(0 Publication)

Rabbit Recombinant Monoclonal TRPC3 antibody. Suitable for IHC-P, WB and reacts with Transfected cell line - Human, Mouse, Rat samples.

View Alternative Names

Trp3, Trrp3, Trpc3, Short transient receptor potential channel 3, TrpC3, Receptor-activated cation channel TRP3, Transient receptor protein 3, Trp-related protein 3, TRP-3, mTrp3

7 Images
Immunohistochemistry (Formalin/PFA-fixed paraffin-embedded sections) - Anti-TRPC3 antibody [EPR25056-56] (AB300142)
  • IHC-P

Lab

Immunohistochemistry (Formalin/PFA-fixed paraffin-embedded sections) - Anti-TRPC3 antibody [EPR25056-56] (AB300142)

Immunohistochemical analysis of paraffin-embedded (A) HEK-293T cells transfected with a TRPC3 expression vector containing a his tag and (B) HEK-293T cells transfected with empty vector containing a his tag. tissue labeling TRPC3 with ab300142 at 1/500 dilution, followed by a ready to use LeicaDS9800 (Bond Polymer Refine Detection).

Cytoplasmic staining on (A) HEK-293T transfected with a TRPC3 expression vector; nearly no staining on (B) HEK-293T transfected with empty vector.

The section was incubated with ab300142 for 30 mins at room temperature.

The immunostaining was performed on a Leica Biosystems BOND® RX instrument.

Counterstained with Hematoxylin.

Secondary antibody only control : Secondary antibody is a ready to use LeicaDS9800 (Bond Polymer Refine Detection).

Heat mediated antigen retrieval with Tris-EDTA buffer (pH 9.0, epitope retrieval solution2) for 20 mins.

Immunohistochemistry (Formalin/PFA-fixed paraffin-embedded sections) - Anti-TRPC3 antibody [EPR25056-56] (AB300142)
  • IHC-P

Lab

Immunohistochemistry (Formalin/PFA-fixed paraffin-embedded sections) - Anti-TRPC3 antibody [EPR25056-56] (AB300142)

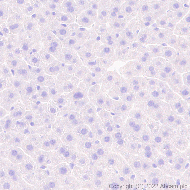
Immunohistochemical analysis of paraffin-embedded mouse liver tissue labeling TRPC3 with ab300142 at 1/100 dilution.

Negative control : no staining on mouse liver.

The section was incubated with ab300142 for 30 mins at room temperature.

The immunostaining was performed on a Leica Biosystems BOND® RX instrument.

Counterstained with Hematoxylin.

Heat mediated antigen retrieval with Tris-EDTA buffer (pH 9.0, epitope retrieval solution2) for 20 mins.

Immunohistochemistry (Formalin/PFA-fixed paraffin-embedded sections) - Anti-TRPC3 antibody [EPR25056-56] (AB300142)
  • IHC-P

Lab

Immunohistochemistry (Formalin/PFA-fixed paraffin-embedded sections) - Anti-TRPC3 antibody [EPR25056-56] (AB300142)

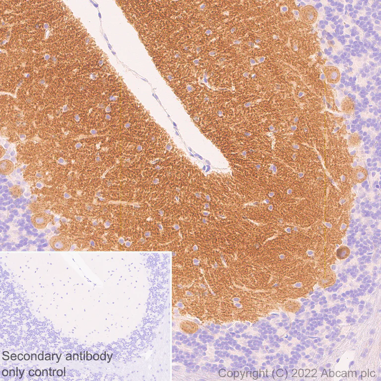
Immunohistochemical analysis of paraffin-embedded mouse cerebellum tissue labeling TRPC3 with ab300142 at 1/100 dilution.

Positive staining on mouse cerebellum.

The section was incubated with ab300142 for 30 mins at room temperature.

The immunostaining was performed on a Leica Biosystems BOND® RX instrument

Counterstained with Hematoxylin.

Heat mediated antigen retrieval with Tris-EDTA buffer (pH 9.0, epitope retrieval solution2) for 20 mins.

Immunohistochemistry (Formalin/PFA-fixed paraffin-embedded sections) - Anti-TRPC3 antibody [EPR25056-56] (AB300142)
  • IHC-P

Lab

Immunohistochemistry (Formalin/PFA-fixed paraffin-embedded sections) - Anti-TRPC3 antibody [EPR25056-56] (AB300142)

Immunohistochemical analysis of paraffin-embedded rat cerebellum tissue labeling TRPC3 with ab300142 at 1/100 dilution, followed by a ready to use LeicaDS9800 (Bond Polymer Refine Detection).

Positive staining on rat cerebellum.

The section was incubated with ab300142 for 30 mins at room temperature.

The immunostaining was performed on a Leica Biosystems BOND® RX instrument.

Counterstained with Hematoxylin.

Secondary antibody only control : Secondary antibody is a ready to use LeicaDS9800 (Bond Polymer Refine Detection).

Heat mediated antigen retrieval with Tris-EDTA buffer (pH 9.0, epitope retrieval solution2) for 20 mins.

Western blot - Anti-TRPC3 antibody [EPR25056-56] (AB300142)
  • WB

Lab

Western blot - Anti-TRPC3 antibody [EPR25056-56] (AB300142)

Blocking and diluting buffer and concentration : 5% NFDM/TBST.

In Western blot, Anti-GAPDH antibody [EPR16891] - Loading Control (ab181602) staining.

The molecular weight is consistent to literature (PMID : 15834157).

Low express tissue : lung (PMID : 21931279).

All lanes:

Western blot - Anti-TRPC3 antibody [EPR25056-56] (ab300142) at 1/1000 dilution

Lane 1:

Mouse cerebellum tissue lysate at 20 µg

Lane 2:

Mouse brain tissue lysate at 20 µg

Lane 3:

Mouse lung tissue lysate at 20 µg

Lane 4:

Rat cerebellum tissue lysate at 20 µg

Lane 5:

Rat brain tissue lysate at 20 µg

Lane 6:

Rat lung tissue lysate at 20 µg

Secondary

All lanes:

Western blot - Goat Anti-Rabbit IgG H&L (HRP) (<a href='/en-us/products/secondary-antibodies/goat-rabbit-igg-h-l-hrp-ab97051'>ab97051</a>) at 1/20000 dilution

Observed band size: 105 kDa

true

Exposure time: 3min

Western blot - Anti-TRPC3 antibody [EPR25056-56] (AB300142)
  • WB

Lab

Western blot - Anti-TRPC3 antibody [EPR25056-56] (AB300142)

Blocking and diluting buffer and concentration : 5% NFDM/TBST.

In Western blot, Anti-GAPDH antibody [EPR16891] - Loading Control (ab181602) staining.

All lanes:

Western blot - Anti-TRPC3 antibody [EPR25056-56] (ab300142) at 1/1000 dilution

Lane 1:

HEK-293 transfected with mouse TRPC3 (WT) expression vector containing a myc-His-tag®, whole cell lysate at 20 µg

Lane 2:

HEK-293 transfected with mouse TRPC7 (WT) expression vector containing a myc-His-tag®, whole cell lysate at 20 µg

Lane 3:

HEK-293 transfected with mouse TRPC6 (WT) expression vector containing a myc-His-tag®, whole cell lysate at 20 µg

Secondary

All lanes:

Western blot - Goat Anti-Rabbit IgG H&L (HRP) (<a href='/en-us/products/secondary-antibodies/goat-rabbit-igg-h-l-hrp-ab97051'>ab97051</a>) at 1/100000 dilution

Observed band size: 105 kDa

false

Exposure time: 6s

Immunohistochemistry (Formalin/PFA-fixed paraffin-embedded sections) - Anti-TRPC3 antibody [EPR25056-56] (AB300142)
  • IHC-P

Lab

Immunohistochemistry (Formalin/PFA-fixed paraffin-embedded sections) - Anti-TRPC3 antibody [EPR25056-56] (AB300142)

Immunohistochemical analysis of paraffin-embedded Panel A HEK-293T cells labeling TRPC3 with ab300142 at 1/500 dilution followed by a ready to use LeicaDS9800 (BOND™ Polymer Refine Detection). Cytoplasmic staining on (A) HEK-293T transfected with a TRPC3 expression vector; nearly no staining on (B) HEK-293T transfected with empty vector. The section was incubated with ab300142 for 30 mins at room temperature. The immunostaining was performed on a Leica Biosystems BOND® RX instrument. Counterstained with Hematoxylin. Secondary antibody only control : PBS was used instead of primary antibody followed by ready to use secondary antibody LeicaDS9800 (BOND™ Polymer Refine Detection). Heat mediated antigen retrieval with Tris-EDTA buffer (pH 9.0, epitope retrieval solution2) for 20 mins.

  • Carrier free

    Anti-TRPC3 antibody [EPR25056-56] (BSA and Azide free)

Key facts

Host species

Rabbit

Clonality

Monoclonal

Clone number

EPR25056-56

Isotype

IgG

Carrier free

No

Reacts with

Mouse, Rat

Applications

WB, IHC-P

applications

Immunogen

The exact immunogen used to generate this antibody is proprietary information.

Reactivity data

{ "title": "Reactivity Data", "filters": { "stats": ["", "Species", "Dilution Info", "Notes"], "tabs": { "all-applications": {"fullname" : "All Applications", "shortname": "All Applications"}, "IHCP" : {"fullname" : "Immunohistochemistry (Formalin/PFA-fixed paraffin-embedded sections)", "shortname":"IHC-P"}, "IHCFr" : {"fullname" : "Immunohistochemistry (Frozen sections)", "shortname":"IHC-Fr"}, "ICCIF" : {"fullname" : "Immunocytochemistry/ Immunofluorescence", "shortname":"ICC/IF"}, "FlowCytIntra" : {"fullname" : "Flow Cytometry (Intracellular)", "shortname":"Flow Cyt (Intra)"}, "IP" : {"fullname" : "Immunoprecipitation", "shortname":"IP"}, "WB" : {"fullname" : "Western blot", "shortname":"WB"} }, "product-promise": { "all": "all", "testedAndGuaranteed": "tested", "guaranteed": "expected", "predicted": "predicted", "notRecommended": "not-recommended" } }, "values": { "Human": { "IHCP-species-checked": "notRecommended", "IHCP-species-dilution-info": "1/100", "IHCP-species-notes": "<p></p>", "IHCFr-species-checked": "notRecommended", "IHCFr-species-dilution-info": "", "IHCFr-species-notes": "", "ICCIF-species-checked": "notRecommended", "ICCIF-species-dilution-info": "", "ICCIF-species-notes": "", "FlowCytIntra-species-checked": "notRecommended", "FlowCytIntra-species-dilution-info": "", "FlowCytIntra-species-notes": "", "IP-species-checked": "notRecommended", "IP-species-dilution-info": "", "IP-species-notes": "", "WB-species-checked": "notRecommended", "WB-species-dilution-info": "", "WB-species-notes": "" }, "Mouse": { "IHCP-species-checked": "testedAndGuaranteed", "IHCP-species-dilution-info": "1/100", "IHCP-species-notes": "<p></p>", "IHCFr-species-checked": "notRecommended", "IHCFr-species-dilution-info": "", "IHCFr-species-notes": "<p></p>", "ICCIF-species-checked": "notRecommended", "ICCIF-species-dilution-info": "", "ICCIF-species-notes": "", "FlowCytIntra-species-checked": "notRecommended", "FlowCytIntra-species-dilution-info": "", "FlowCytIntra-species-notes": "<p></p>", "IP-species-checked": "notRecommended", "IP-species-dilution-info": "", "IP-species-notes": "<p></p>", "WB-species-checked": "testedAndGuaranteed", "WB-species-dilution-info": "1/1000", "WB-species-notes": "<p></p>" }, "Rat": { "IHCP-species-checked": "testedAndGuaranteed", "IHCP-species-dilution-info": "1/100", "IHCP-species-notes": "<p></p>", "IHCFr-species-checked": "notRecommended", "IHCFr-species-dilution-info": "", "IHCFr-species-notes": "<p></p>", "ICCIF-species-checked": "notRecommended", "ICCIF-species-dilution-info": "", "ICCIF-species-notes": "<p></p>", "FlowCytIntra-species-checked": "notRecommended", "FlowCytIntra-species-dilution-info": "", "FlowCytIntra-species-notes": "<p></p>", "IP-species-checked": "notRecommended", "IP-species-dilution-info": "", "IP-species-notes": "<p></p>", "WB-species-checked": "testedAndGuaranteed", "WB-species-dilution-info": "1/1000", "WB-species-notes": "<p></p>" }, "Transfected cell line - Human": { "IHCP-species-checked": "testedAndGuaranteed", "IHCP-species-dilution-info": "1/500", "IHCP-species-notes": "<p></p>", "IHCFr-species-checked": "notRecommended", "IHCFr-species-dilution-info": "", "IHCFr-species-notes": "", "ICCIF-species-checked": "notRecommended", "ICCIF-species-dilution-info": "", "ICCIF-species-notes": "", "FlowCytIntra-species-checked": "notRecommended", "FlowCytIntra-species-dilution-info": "", "FlowCytIntra-species-notes": "", "IP-species-checked": "notRecommended", "IP-species-dilution-info": "", "IP-species-notes": "", "WB-species-checked": "notRecommended", "WB-species-dilution-info": "", "WB-species-notes": "" } } }

Product details

Patented technology
Our RabMAb® technology is a patented hybridoma-based technology for making rabbit monoclonal antibodies. For details on our patents, please refer to RabMAb® patents.

What are the advantages of a recombinant monoclonal antibody?
This product is a recombinant monoclonal antibody, which offers several advantages including:

  • - High batch-to-batch consistency and reproducibility
  • - Improved sensitivity and specificity
  • - Long-term security of supply
  • - Animal-free batch production

For more information, read more on recombinant antibodies.

Properties and storage information

Form
Liquid
Purification technique
Affinity purification Protein A
Storage buffer
pH: 7.2 - 7.4 Preservative: 0.01% Sodium azide Constituents: PBS, 40% Glycerol (glycerin, glycerine), 0.05% BSA
Shipped at conditions
Blue Ice
Appropriate short-term storage duration
1-2 weeks
Appropriate short-term storage conditions
+4°C
Appropriate long-term storage conditions
-20°C
Aliquoting information
Upon delivery aliquot
Storage information
Avoid freeze / thaw cycle

Supplementary information

This supplementary information is collated from multiple sources and compiled automatically.

The TRPC3 protein also known as transient receptor potential cation channel subfamily C member 3 is a fundamental component of the plasma membrane and participates in forming a non-selective cation channel. With a molecular mass of approximately 97 kDa TRPC3 channels are widely expressed in the brain heart and vascular smooth muscle. These channels mediate calcium and to a less degree sodium influx when activated facilitating various cellular responses. Additionally TRPC3 channels can interact with other proteins within the same family shaping the channel's functional properties.
Biological function summary

Transient receptor potential channels like TRPC3 play important roles in cellular calcium signaling with direct implications in neuronal cardiac and smooth muscle functions. TRPC3 proteins can assemble into heteromultimeric complexes with other TRPC family members often modulating their biophysical characteristics and responsiveness to stimuli. In neurons TRPC3 channels contribute to synaptic transmission and plasticity by influencing intracellular calcium levels. In smooth muscle cells TRPC3 activity influences contraction and relaxation processes affected by calcium flux regulation.

Pathways

Inositol triphosphate (IP3) and phospholipase C (PLC) pathways notably involve TRPC3 activity. TRPC3 cooperates with the IP3 receptor to mediate calcium release from the endoplasmic reticulum enhancing cellular calcium entry. This interaction ties TRPC3 functionally to the regulation of important physiological processes like cardiac hypertrophy and vascular tone. Additionally TRPC3's relationship with proteins such as calmodulin and STIM1 further illustrates its role in calcium signaling pathways.

Altered TRPC3 activity relates to conditions such as cardiac hypertrophy and neurodegenerative diseases. The protein's dysregulation can result in disrupted calcium homeostasis contributing to excessive cardiac cell growth and potential heart failure. In the nervous system TRPC3 has links to Huntington's disease where its abnormal function associates with neuronal survival and synaptic alterations. The interaction of TRPC3 with proteins such as huntingtin in these pathological contexts highlights its participation in disease development and progression.

Product protocols

For this product, it's our understanding that no specific protocols are required. You can visit:

Target data

Forms a receptor-activated non-selective calcium permeant cation channel. May be operated by a phosphatidylinositol second messenger system activated by receptor tyrosine kinases or G-protein coupled receptors.
See full target information Trpc3

Product promise

We are committed to supporting your work with high-quality reagents, and we're here for you every step of the way. In the unlikely event that one of our products does not perform as expected, you're protected by our Product Promise.
For full details, please see our Terms & Conditions

Please note: All products are 'FOR RESEARCH USE ONLY. NOT FOR USE IN DIAGNOSTIC OR THERAPEUTIC PROCEDURES'.

For licensing inquiries, please contact partnerships@abcam.com