JavaScript is disabled in your browser. Please enable JavaScript to view this website.
AB105845

Anti-TRPC6 antibody [3F2.H10.F2]

5

(2 Reviews)

|

(4 Publications)

Mouse Monoclonal TRPC6 antibody. Suitable for ELISA, WB, IHC-P and reacts with Human, Mouse samples. Cited in 4 publications.

View Alternative Names

TRP6, TRPC6, Short transient receptor potential channel 6, TrpC6, Transient receptor protein 6, TRP-6

2 Images
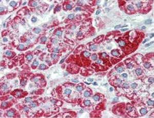
Immunohistochemistry (Formalin/PFA-fixed paraffin-embedded sections) - Anti-TRPC6 antibody [3F2.H10.F2] (AB105845)
  • IHC-P

Unknown

Immunohistochemistry (Formalin/PFA-fixed paraffin-embedded sections) - Anti-TRPC6 antibody [3F2.H10.F2] (AB105845)

ab105845 at 2.5 μg/ml staining TRPC6 in Human adrenal (cortex) tissue by Immunohistochemistry Formalin-fixed, Paraffin-embedded tissue.
The image shows strong staining with minimal background staining. The image shows the localization of antibody as the precipitated red signal, with a hematoxylin purple nuclear counterstain.

Western blot - Anti-TRPC6 antibody [3F2.H10.F2] (AB105845)
  • WB

Supplier Data

Western blot - Anti-TRPC6 antibody [3F2.H10.F2] (AB105845)

Western blot analysis of ab105845 with mouse kidney (10ug) at the dilution 1/1000.Secondary antibody (DyLight™ 649 donkey anti-mouse) was used at the dilution 1/20000

All lanes:

Western blot - Anti-TRPC6 antibody [3F2.H10.F2] (ab105845)

Predicted band size: 106 kDa

false

Key facts

Host species

Mouse

Clonality

Monoclonal

Clone number

3F2.H10.F2

Isotype

IgG1

Carrier free

No

Reacts with

Mouse, Human

Applications

IHC-P, WB, ELISA

applications

Immunogen

The exact immunogen used to generate this antibody is proprietary information.

Specificity

This antibody is specific for human TRPC6 protein. A BLAST analysis was used to suggest cross-reactivity with TRPC6 from chimpanzee based on 100% homology with the immunizing sequence. Cross-reactivity with TRPC6 from other sources has not been determined.

Reactivity data

{ "title": "Reactivity Data", "filters": { "stats": ["", "Species", "Dilution Info", "Notes"], "tabs": { "all-applications": {"fullname" : "All Applications", "shortname": "All Applications"}, "ELISA" : {"fullname" : "ELISA", "shortname":"ELISA"}, "WB" : {"fullname" : "Western blot", "shortname":"WB"}, "IHCP" : {"fullname" : "Immunohistochemistry (Formalin/PFA-fixed paraffin-embedded sections)", "shortname":"IHC-P"} }, "product-promise": { "all": "all", "testedAndGuaranteed": "tested", "guaranteed": "expected", "predicted": "predicted", "notRecommended": "not-recommended" } }, "values": { "Human": { "ELISA-species-checked": "guaranteed", "ELISA-species-dilution-info": "1/10000 - 1/50000", "ELISA-species-notes": "<p></p>", "WB-species-checked": "guaranteed", "WB-species-dilution-info": "", "WB-species-notes": "", "IHCP-species-checked": "testedAndGuaranteed", "IHCP-species-dilution-info": "2.5 µg/mL", "IHCP-species-notes": "<p></p>" }, "Mouse": { "ELISA-species-checked": "guaranteed", "ELISA-species-dilution-info": "1/10000 - 1/50000", "ELISA-species-notes": "<p></p>", "WB-species-checked": "testedAndGuaranteed", "WB-species-dilution-info": "1/500 - 1/2000", "WB-species-notes": "<p></p>", "IHCP-species-checked": "guaranteed", "IHCP-species-dilution-info": "", "IHCP-species-notes": "" }, "Chimpanzee": { "ELISA-species-checked": "predicted", "ELISA-species-dilution-info": "", "ELISA-species-notes": "", "WB-species-checked": "predicted", "WB-species-dilution-info": "", "WB-species-notes": "", "IHCP-species-checked": "predicted", "IHCP-species-dilution-info": "", "IHCP-species-notes": "" } } }

Properties and storage information

Form
Liquid
Purification technique
Affinity purification Protein A
Purification notes
Purified from concentrated tissue culture supernate by Protein A chromatography.
Storage buffer
pH: 7.2 Preservative: 0.01% Sodium azide Constituents: 0.88% Sodium chloride, 0.424% Potassium phosphate solution
Shipped at conditions
Blue Ice
Appropriate short-term storage duration
1-2 weeks
Appropriate short-term storage conditions
+4°C
Appropriate long-term storage conditions
-20°C
Aliquoting information
Upon delivery aliquot

Supplementary information

This supplementary information is collated from multiple sources and compiled automatically.

The TRPC6 also known as Transient Receptor Potential Cation Channel Subfamily C Member 6 functions as a non-selective cation channel permeable to calcium ions. It facilitates calcium entry into cells impacting cellular signaling and homeostasis. TRPC6 has a molecular mass of about 106 kDa. Expression of TRPC6 is broad but is notably significant in tissues such as brain heart lung and skeletal muscle where it influences diverse functions.
Biological function summary

TRPC6 is integral to various cellular processes especially those involving calcium-dependent signaling pathways. It is known to form heteromeric complexes with other TRPC subfamily members such as TRPC3 and TRPC7 which modulates its function. These interactions are important for the regulation of intracellular calcium levels impacting cellular excitability contraction and growth.

Pathways

TRPC6 is involved in the phospholipase C (PLC) pathway and subsequent inositol triphosphate (IP3) signaling. This signaling cascade is vital for the regulation of calcium release from intracellular stores. TRPC6 also has a notable role in the Ras homolog family member A (RhoA) signaling pathway which affects cytoskeletal dynamics and cell motility. Inside these pathways proteins like IP3 receptors and RhoA GTPases are closely related to TRPC6 function.

TRPC6 is associated with conditions like focal segmental glomerulosclerosis (FSGS) and pulmonary hypertension. Mutations in TRPC6 can lead to abnormal regulation of calcium homeostasis in kidney cells contributing to FSGS. Moreover TRPC6 overactivity in pulmonary vascular smooth muscle cells has been implicated in the pathology of pulmonary hypertension. In these conditions TRPC6's interaction with calcineurin and other calcium-dependent signaling proteins plays a critical role in disease progression.

Product protocols

For this product, it's our understanding that no specific protocols are required. You can visit:

Target data

Forms a receptor-activated non-selective calcium permeant cation channel (PubMed : 19936226, PubMed : 23291369, PubMed : 26892346, PubMed : 9930701). Probably is operated by a phosphatidylinositol second messenger system activated by receptor tyrosine kinases or G-protein coupled receptors. Activated by diacylglycerol (DAG) in a membrane-delimited fashion, independently of protein kinase C (PubMed : 26892346). Seems not to be activated by intracellular calcium store depletion.
See full target information TRPC6

Publications (4)

Recent publications for all applications. Explore the full list and refine your search

Nature 644:516-526 PubMed40681898

2025

Pathology-oriented multiplexing enables integrative disease mapping.

Applications

Unspecified application

Species

Unspecified reactive species

Malte Kuehl,Yusuke Okabayashi,Milagros N Wong,Lukas Gernhold,Gabriele Gut,Nico Kaiser,Maria Schwerk,Stefanie K Gräfe,Frank Y Ma,Jovan Tanevski,Philipp S L Schäfer,Sam Mezher,Jacobo Sarabia Del Castillo,Thiago Goldbeck-Strieder,Olga Zolotareva,Michael Hartung,Fernando M Delgado Chaves,Lukas Klinkert,Ann-Christin Gnirck,Marc Spehr,David Fleck,Mehdi Joodaki,Victor Parra,Mina Shaigan,Martin Diebold,Marco Prinz,Jennifer Kranz,Johan M Kux,Fabian Braun,Oliver Kretz,Hui Wu,Florian Grahammer,Sven Heins,Marina Zimmermann,Fabian Haas,Dominik Kylies,Nicola Wanner,Jan Czogalla,Bernhard Dumoulin,Nikolay Zolotarev,Maja Lindenmeyer,Pall Karlson,Jens R Nyengaard,Marcial Sebode,Sören Weidemann,Thorsten Wiech,Hermann-Josef Groene,Nicola M Tomas,Catherine Meyer-Schwesinger,Christoph Kuppe,Rafael Kramann,Alexandre Karras,Patrick Bruneval,Pierre-Louis Tharaux,Diego Pastene,Benito Yard,Jennifer A Schaub,Phillip J McCown,Laura Pyle,Ye Ji Choi,Takashi Yokoo,Jan Baumbach,Pablo J Sáez,Ivan Costa,Jan-Eric Turner,Jeffrey B Hodgin,Julio Saez-Rodriguez,Tobias B Huber,Petter Bjornstad,Matthias Kretzler,Olivia Lenoir,David J Nikolic-Paterson,Lucas Pelkmans,Stefan Bonn,Victor G Puelles

Renal failure 46:2431150 PubMed39566913

2024

TRPC6 knockdown-mediated ERK1/2 inactivation alleviates podocyte injury in minimal change disease via upregulating Lon peptidase 1.

Applications

Unspecified application

Species

Unspecified reactive species

Jianwei Ma,Liling Ren,Qin Su,Xiuyi Lv,Min Sun,Yunbo Wei,Lili Dai,Xueyan Bian

Experimental and therapeutic medicine 26:576 PubMed38023364

2023

Downregulation of TRPC6 regulates ERK1/2 to prevent sublytic C5b‑9 complement complex‑induced podocyte injury through activating autophagy.

Applications

Unspecified application

Species

Unspecified reactive species

Yuanyuan Li,Youfu Fang,Jing Liu

Antioxidants (Basel, Switzerland) 11: PubMed36358552

2022

OR2AT4, an Ectopic Olfactory Receptor, Suppresses Oxidative Stress-Induced Senescence in Human Keratinocytes.

Applications

Unspecified application

Species

Unspecified reactive species

Ji-Sun Kim,Ha Lim Lee,Ji Hyun Jeong,Ye Eun Yoon,In-Ryeong Lee,Ji Min Kim,Chunyan Wu,Sung-Joon Lee
View all publications

Product promise

We are committed to supporting your work with high-quality reagents, and we're here for you every step of the way. In the unlikely event that one of our products does not perform as expected, you're protected by our Product Promise.
For full details, please see our Terms & Conditions

Please note: All products are 'FOR RESEARCH USE ONLY. NOT FOR USE IN DIAGNOSTIC OR THERAPEUTIC PROCEDURES'.

For licensing inquiries, please contact partnerships@abcam.com