JavaScript is disabled in your browser. Please enable JavaScript to view this website.
AB96785

Anti-TRPM2 antibody

Be the first to review this product! Submit a review

|

(6 Publications)

Rabbit Polyclonal TRPM2 antibody. Suitable for WB, IHC-P and reacts with Human samples. Cited in 6 publications.

View Alternative Names

EREG1, KNP3, LTRPC2, TRPC7, TRPM2, Transient receptor potential cation channel subfamily M member 2, Estrogen-responsive element-associated gene 1 protein, Long transient receptor potential channel 2, Transient receptor potential channel 7, Transient receptor potential melastatin 2, LTrpC-2, LTrpC2, TrpC7

2 Images
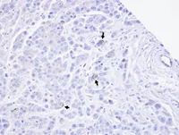
Immunohistochemistry (Formalin/PFA-fixed paraffin-embedded sections) - Anti-TRPM2 antibody (AB96785)
  • IHC-P

Unknown

Immunohistochemistry (Formalin/PFA-fixed paraffin-embedded sections) - Anti-TRPM2 antibody (AB96785)

ab96785 at 1/100 dilution staining TRPM2 in MDAMB468 xenograft by Immunohistochemistry, Paraffin-embedded tissue.

Western blot - Anti-TRPM2 antibody (AB96785)
  • WB

Supplier Data

Western blot - Anti-TRPM2 antibody (AB96785)

Samples were separated by 5% SDS-PAGE.

All lanes:

Western blot - Anti-TRPM2 antibody (ab96785) at 1/500 dilution

Lane 1:

HepG2 whole cell lysates at 30 µg

Lane 2:

HepG2 membrane lysates at 30 µg

Secondary

All lanes:

HRP-conjugated anti-rabbit IgG antibody

Predicted band size: 171 kDa

true

Key facts

Host species

Rabbit

Clonality

Polyclonal

Isotype

IgG

Carrier free

No

Reacts with

Human

Applications

IHC-P, WB

applications

Immunogen

The exact immunogen used to generate this antibody is proprietary information.

Reactivity data

{ "title": "Reactivity Data", "filters": { "stats": ["", "Species", "Dilution Info", "Notes"], "tabs": { "all-applications": {"fullname" : "All Applications", "shortname": "All Applications"}, "WB" : {"fullname" : "Western blot", "shortname":"WB"}, "IHCP" : {"fullname" : "Immunohistochemistry (Formalin/PFA-fixed paraffin-embedded sections)", "shortname":"IHC-P"} }, "product-promise": { "all": "all", "testedAndGuaranteed": "tested", "guaranteed": "expected", "predicted": "predicted", "notRecommended": "not-recommended" } }, "values": { "Human": { "WB-species-checked": "testedAndGuaranteed", "WB-species-dilution-info": "1/500 - 1/3000", "WB-species-notes": "<p></p>", "IHCP-species-checked": "testedAndGuaranteed", "IHCP-species-dilution-info": "1/100 - 1/1000", "IHCP-species-notes": "<p></p>" }, "Mouse": { "WB-species-checked": "predicted", "WB-species-dilution-info": "", "WB-species-notes": "", "IHCP-species-checked": "predicted", "IHCP-species-dilution-info": "", "IHCP-species-notes": "" }, "Rat": { "WB-species-checked": "predicted", "WB-species-dilution-info": "", "WB-species-notes": "", "IHCP-species-checked": "predicted", "IHCP-species-dilution-info": "", "IHCP-species-notes": "" } } }

Properties and storage information

Form
Liquid
Purification technique
Affinity purification Immunogen
Storage buffer
pH: 7 Preservative: 0.025% Proclin 300 Constituents: PBS, 20% Glycerol (glycerin, glycerine)
Shipped at conditions
Blue Ice
Appropriate short-term storage conditions
+4°C
Appropriate long-term storage conditions
-20°C
Aliquoting information
Upon delivery aliquot
Storage information
Avoid freeze / thaw cycle

Supplementary information

This supplementary information is collated from multiple sources and compiled automatically.

TRPM2 also known as Transient Receptor Potential Melastatin 2 is a calcium-permeable non-selective cation channel. Its molecular weight is approximately 171 kDa. TRPM2 is mainly expressed in the brain immune cells and pancreas. It responds to oxidative stress and other physiological stimuli facilitating calcium influx into the cell. This channel is involved in cellular signaling by mediating calcium entry triggered by hydrogen peroxide and ADP-ribose.
Biological function summary

This channel influences various cellular processes including apoptosis cytokine production and insulin secretion. As a part of a larger protein complex TRPM2 interacts with calmodulin and other related proteins to regulate calcium signaling. Its function in immune cells involves modulation of inflammation while in the pancreas it helps in regulating insulin release in response to glucose levels.

Pathways

TRPM2 plays a significant role in the reactive oxygen species (ROS) signaling pathway and the NF-κB pathway. It shares a connection with proteins like p38 MAPK and caspase proteins which are critical in mediating stress responses and apoptotic pathways. These interactions allow TRPM2 to act as a sensor and effector of cellular oxidative conditions triggering downstream signaling cascades.

Scientists associate TRPM2 with neurodegenerative disorders like Alzheimer's disease and conditions involving insulin resistance such as Type 2 diabetes. The channel's link to the Alzheimer's condition involves its interaction with amyloid-beta while in diabetes it relates to proteins such as insulin receptor substrate (IRS) proteins. Understanding these associations helps in exploring TRPM2 as a potential therapeutic target.

Product protocols

For this product, it's our understanding that no specific protocols are required. You can visit:

Target data

Isoform 1. Nonselective, voltage-independent cation channel that mediates Na(+) and Ca(2+) influx, leading to increased cytoplasmic Ca(2+) levels (PubMed : 11385575, PubMed : 11509734, PubMed : 11804595, PubMed : 12594222, PubMed : 15561722, PubMed : 16601673, PubMed : 19171771, PubMed : 20660597, PubMed : 25620041, PubMed : 27068538, PubMed : 27383051, PubMed : 28775320, PubMed : 29745897, PubMed : 30467180, PubMed : 31513012, PubMed : 34788616). Functions as a ligand-gated ion channel, gated by intracellular adenosine diphosphate ribose (ADP-ribose), Ca(2+), warm temperature, and oxidative stress (PubMed : 19171771, PubMed : 25620041, PubMed : 28775320, PubMed : 30467180). The precise physiological activators are under debate; the true, physiological activators may be ADP-ribose and ADP-ribose-2'-phosphate (PubMed : 20650899, PubMed : 25918360). Binding of ADP-ribose to the cytoplasmic Nudix domain causes a conformation change; the channel is primed but still requires Ca(2+) binding to trigger channel opening (PubMed : 19171771, PubMed : 25620041, PubMed : 28775320, PubMed : 29745897, PubMed : 30467180). Extracellular Ca(2+) passes through the channel and increases channel activity (PubMed : 19171771). Contributes to Ca(2+) release from intracellular stores in response to ADP-ribose (PubMed : 19454650). Plays a role in numerous processes that involve signaling via intracellular Ca(2+) levels (Probable). Besides, mediates the release of lysosomal Zn(2+) stores in response to reactive oxygen species, leading to increased cytosolic Zn(2+) levels (PubMed : 25562606, PubMed : 27068538). Plays a role in mediating behavorial and physiological responses to moderate heat and thereby contributes to body temperature homeostasis. Plays a role in insulin secretion, a process that requires increased cytoplasmic Ca(2+) levels (By similarity). Required for normal IFNG and cytokine secretion and normal innate immune immunity in response to bacterial infection. Required for normal phagocytosis and cytokine release by macrophages exposed to zymosan (in vitro) (PubMed : 22493272). Plays a role in dendritic cell differentiation and maturation, and in dendritic cell chemotaxis via its role in regulating cytoplasmic Ca(2+) levels (By similarity). Plays a role in the regulation of the reorganization of the actin cytoskeleton and filopodia formation in response to reactive oxygen species via its role in increasing cytoplasmic Ca(2+) and Zn(2+) levels (PubMed : 27068538). Confers susceptibility to cell death following oxidative stress (PubMed : 12594222, PubMed : 25562606).. Isoform 2. Lacks cation channel activity. Does not mediate cation transport in response to oxidative stress or ADP-ribose.. Isoform 3. Lacks cation channel activity and negatively regulates the channel activity of isoform 1. Negatively regulates susceptibility to cell death in reposponse to oxidative stress.
See full target information TRPM2

Publications (6)

Recent publications for all applications. Explore the full list and refine your search

Journal of hypertension 41:1389-1400 PubMed37272080

2023

Vasoprotective effects of NOX4 are mediated via polymerase and transient receptor potential melastatin 2 cation channels in endothelial cells.

Applications

Unspecified application

Species

Unspecified reactive species

Rheure Alves-Lopes,Silvia Lacchini,Karla B Neves,Adam Harvey,Augusto C Montezano,Rhian M Touyz

Cell death & disease 12:1153 PubMed34903714

2021

LncTRPM2-AS inhibits TRIM21-mediated TRPM2 ubiquitination and prevents autophagy-induced apoptosis of macrophages in asthma.

Applications

Unspecified application

Species

Unspecified reactive species

Xiaoping Li,Wenwen Wang,Yu Shao,Ji Zhou,Jiaqi Huang,Fei Xu,Xiu Gao,Mengyun Wu,Yongli Dong,Wenyan Wu,Jiamin Cai,Junyao Wang,Yunfei Ye,Zhengrong Chen,Chuangli Hao,Yi Yang,Jinping Zhang

Molecular medicine reports : PubMed33106885

2020

TRPM2 expression levels are associated with histological grading in patients with tongue squamous cell carcinoma.

Applications

Unspecified application

Species

Unspecified reactive species

Fudong Zhu,Xiaobo Cai,Xin Yang,Jianfeng He,Chengze Wang,Mingxiang Wang,Aili Simaiti,Wei Yang,Xinqiang Zhu,Peilin Yu

Particle and fibre toxicology 17:23 PubMed32513195

2020

Silica nanoparticles induce lung inflammation in mice via ROS/PARP/TRPM2 signaling-mediated lysosome impairment and autophagy dysfunction.

Applications

Unspecified application

Species

Unspecified reactive species

Mingxiang Wang,Jin Li,Shunni Dong,Xiaobo Cai,Aili Simaiti,Xin Yang,Xinqiang Zhu,Jianhong Luo,Lin-Hua Jiang,Binyang Du,Peilin Yu,Wei Yang

Frontiers in pharmacology 9:581 PubMed29915540

2018

Identification of a Novel EF-Loop in the N-terminus of TRPM2 Channel Involved in Calcium Sensitivity.

Applications

Unspecified application

Species

Unspecified reactive species

Yuhuan Luo,Xiafei Yu,Cheng Ma,Jianhong Luo,Wei Yang

PloS one 7:e49877 PubMed23185472

2012

Importance of a conserved sequence motif in transmembrane segment S3 for the gating of human TRPM8 and TRPM2.

Applications

WB

Species

Human

Mathis Winking,Daniel C Hoffmann,Cornelia Kühn,Ralf-Dieter Hilgers,Andreas Lückhoff,Frank J P Kühn
View all publications

Product promise

We are committed to supporting your work with high-quality reagents, and we're here for you every step of the way. In the unlikely event that one of our products does not perform as expected, you're protected by our Product Promise.
For full details, please see our Terms & Conditions

Please note: All products are 'FOR RESEARCH USE ONLY. NOT FOR USE IN DIAGNOSTIC OR THERAPEUTIC PROCEDURES'.

For licensing inquiries, please contact partnerships@abcam.com