JavaScript is disabled in your browser. Please enable JavaScript to view this website.
AB325960

Anti-TRPML1/MG-2 antibody [EPR28651-127] - BSA and Azide free

Be the first to review this product! Submit a review

|

(0 Publication)

Rabbit Recombinant Monoclonal TRPML1/MG-2 antibody. Carrier free. Suitable for WB, Dot, ICC/IF, IHC-P and reacts with Transfected cell line - Human, Human, Mouse samples.

View Alternative Names

ML4, TRPML1, MSTP080, MCOLN1, Mucolipin-1, ML1, MG-2, Mucolipidin, Transient receptor potential channel mucolipin 1

10 Images
Immunocytochemistry/ Immunofluorescence - Anti-TRPML1/MG-2 antibody [EPR28651-127] - BSA and Azide free (AB325960)
  • ICC/IF

Supplier Data

Immunocytochemistry/ Immunofluorescence - Anti-TRPML1/MG-2 antibody [EPR28651-127] - BSA and Azide free (AB325960)

This data was developed using ab323642, the same antibody clone in a different buffer formulation.

Immunofluorescent analysis of 100% methanol-fixed 0.1% TritonX-100 permeabilized PC-3 (human prostate adenocarcinoma epithelial cell) cells labelling TRPML1/MG-2 with ab323642 at 1/100 (5.07 ug/ml) dilution followed by ab150081 Goat Anti-Rabbit IgG H&L (Alexa Fluor® 488) preadsorbed antibody at 1/ab150081 1000 2ug/ml dilution (Green).

Confocal image showing lysosomal staining in PC-3 cell line (shown in green). The counterstain was observed in magenta. Nuclear DNA was labelled with DAPI (shown in blue). Image was taken with a confocal microscope (Leica-Microsystems TCS SP8).
Low expression : Ramos

ab25631 Anti-LAMP2 mouse monoclonal antibody - Lysosome Marker was used to counterstain tubulin at 1/ab25631 50 2ug/ml dilution (Magenta). The Nuclear counterstain was DAPI (Blue).

Secondary antibody only control : Secondary antibody is ab150081 Goat Anti-Rabbit IgG H&L (Alexa Fluor® 488) preadsorbed at 1/ab150081 1000 2ug/ml dilution.

-ve control 1 : ab323642 at 1/100 dilution followed by ab150120 Goat Anti-Mouse IgG H&L (Alexa Fluor® 594) antibody at 1/1000 dilution.-ve control 2 : ab25631 at 1/50 dilution followed by ab150081 Goat Anti-Rabbit IgG H&L (Alexa Fluor® 488) antibody at 1/1000 dilution.

Immunohistochemistry (Formalin/PFA-fixed paraffin-embedded sections) - Anti-TRPML1/MG-2 antibody [EPR28651-127] - BSA and Azide free (AB325960)
  • IHC-P

Supplier Data

Immunohistochemistry (Formalin/PFA-fixed paraffin-embedded sections) - Anti-TRPML1/MG-2 antibody [EPR28651-127] - BSA and Azide free (AB325960)

This data was developed using ab323642, the same antibody clone in a different buffer formulation.

Immunohistochemical analysis of paraffin-embedded Mouse liver tissue labeling TRPML1/MG-2 with ab323642 at 1/500 (1.014 ug/ml) dilution followed by a ready to use LeicaDS9800 (Bond™ Polymer Refine Detection).

Positive staining on mouse liver. The section was incubated with ab323642 for 30 mins at room temperature.
The immunostaining was performed on a Leica Biosystems BOND® RX instrument

Counterstained with Hematoxylin.

Secondary antibody only control : Secondary antibody is a ready to use LeicaDS9800 (Bond™ Polymer Refine Detection).

Heat mediated antigen retrieval was performed with Tris-EDTA buffer (pH 9.0 Epitope Retrieval Solution2) for 20 mins

Immunocytochemistry/ Immunofluorescence - Anti-TRPML1/MG-2 antibody [EPR28651-127] - BSA and Azide free (AB325960)
  • ICC/IF

Supplier Data

Immunocytochemistry/ Immunofluorescence - Anti-TRPML1/MG-2 antibody [EPR28651-127] - BSA and Azide free (AB325960)

This data was developed using ab323642, the same antibody clone in a different buffer formulation.

Immunofluorescent analysis of 100% methanol-fixed 0.1% TritonX-100 permeabilized Neuro-2a (mouse neuroblastoma neuroblast) cells labelling TRPML1/MG-2 with ab323642 at 1/100 (5.07 ug/ml) dilution followed by ab150081 Goat Anti-Rabbit IgG H&L (Alexa Fluor® 488) preadsorbed antibody at 1/ab150081 1000 2ug/ml dilution (Green).

Confocal image showing lysosomal staining in Neuro-2a cell line (shown in green). The counterstain was observed in magenta. Nuclear DNA was labelled with DAPI (shown in blue). Image was taken with a confocal microscope (Leica-Microsystems TCS SP8).
Low expression : F9

ab25631 Anti-LAMP2 mouse monoclonal antibody - Lysosome Marker was used to counterstain tubulin at 1/50 2ug/ml dilution (Magenta). The Nuclear counterstain was DAPI (Blue).

Secondary antibody only control : Secondary antibody is ab150081 Goat Anti-Rabbit IgG H&L (Alexa Fluor® 488) preadsorbed at 1/ab150081 1000 2ug/ml dilution.

-ve control 1 : ab323642 at 1/100 dilution followed by ab150120 Goat Anti-Mouse IgG H&L (Alexa Fluor® 594) antibody at 1/1000 dilution.-ve control 2 : ab25631 at 1/50 dilution followed by ab150081 Goat Anti-Rabbit IgG H&L (Alexa Fluor® 488) antibody at 1/1000 dilution.

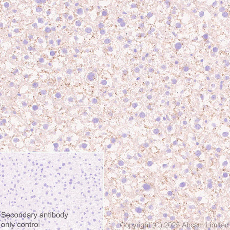
Immunohistochemistry (Formalin/PFA-fixed paraffin-embedded sections) - Anti-TRPML1/MG-2 antibody [EPR28651-127] - BSA and Azide free (AB325960)
  • IHC-P

Supplier Data

Immunohistochemistry (Formalin/PFA-fixed paraffin-embedded sections) - Anti-TRPML1/MG-2 antibody [EPR28651-127] - BSA and Azide free (AB325960)

This data was developed using ab323642, the same antibody clone in a different buffer formulation.

Immunohistochemical analysis of paraffin-embedded (A) Neuro-2a (mouse neuroblastoma neuroblast) cell pellet (B) F9 (mouse embryonal carcinoma epithelial cell) cell pellet tissue labeling TRPML1/MG-2 with ab323642 at 1/500 (1.014 ug/ml) dilution followed by a ready to use LeicaDS9800 (Bond™ Polymer Refine Detection).

Positive staining on (A) Neuro-2a cell pellet no staining on (B) F9 cell pellet. The section was incubated with ab323642 for 30 mins at room temperature.
The immunostaining was performed on a Leica Biosystems BOND® RX instrument

Counterstained with Hematoxylin.

Secondary antibody only control : Secondary antibody is a ready to use LeicaDS9800 (Bond™ Polymer Refine Detection).

Heat mediated antigen retrieval was performed with Tris-EDTA buffer (pH 9.0 Epitope Retrieval Solution2) for 20 mins

Immunohistochemistry (Formalin/PFA-fixed paraffin-embedded sections) - Anti-TRPML1/MG-2 antibody [EPR28651-127] - BSA and Azide free (AB325960)
  • IHC-P

Supplier Data

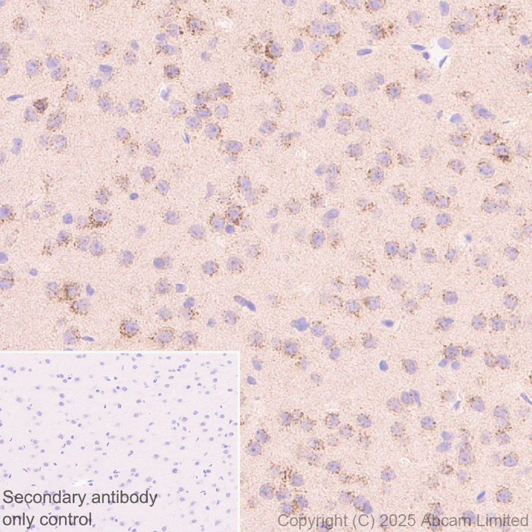
Immunohistochemistry (Formalin/PFA-fixed paraffin-embedded sections) - Anti-TRPML1/MG-2 antibody [EPR28651-127] - BSA and Azide free (AB325960)

This data was developed using ab323642, the same antibody clone in a different buffer formulation.

Immunohistochemical analysis of paraffin-embedded Mouse cerebrum tissue labeling TRPML1/MG-2 with ab323642 at 1/500 (1.014 ug/ml) dilution followed by a ready to use LeicaDS9800 (Bond™ Polymer Refine Detection).

Positive staining on mouse cerebrum. The section was incubated with ab323642 for 30 mins at room temperature.
The immunostaining was performed on a Leica Biosystems BOND® RX instrument

Counterstained with Hematoxylin.

Secondary antibody only control : Secondary antibody is a ready to use LeicaDS9800 (Bond™ Polymer Refine Detection).

Heat mediated antigen retrieval was performed with Tris-EDTA buffer (pH 9.0 Epitope Retrieval Solution2) for 20 mins

Western blot - Anti-TRPML1/MG-2 antibody [EPR28651-127] - BSA and Azide free (AB325960)
  • WB

Supplier Data

Western blot - Anti-TRPML1/MG-2 antibody [EPR28651-127] - BSA and Azide free (AB325960)

This data was developed using ab323642, the same antibody clone in a different buffer formulation.

Blocking and diluting buffer and concentration : 5% NFDM/TBST.

Negative control : Ramos.

BFA treatment can prevent cleavage (PMID : 16517607).

20-37(cleaved form) 60-75 (full length) 120-150(dimer form) 250-300 (oligermer). The expression profile/ molecular weight observed is consistent with what has been described in the literature (PMID : 16517607).

Samples are non-boiled as boiling may cause protein aggregation.

In Western blot Anti-GAPDH antibody [EPR16891] - Loading Control (ab181602) staining at 1/200000 dilution.

All lanes:

Western blot - Anti-TRPML1/MG-2 antibody [EPR28651-127] (<a href='/en-us/products/primary-antibodies/trpml1-mg-2-antibody-epr28651-127-ab323642'>ab323642</a>) at 1/1000 dilution

Lane 1:

Untreated PC-3 (human prostate adenocarcinoma epithelial cell) whole cell lysate at 50 µg

Lane 2:

PC-3 treated with 300ng/ml BFA for 24 hours whole cell lysate at 50 µg

Lane 3:

Ramos (human Burkitt's lymphoma B lymphocyte) whole cell lysate at 50 µg

Secondary

All lanes:

Western blot - Goat Anti-Rabbit IgG H&L (HRP) (<a href='/en-us/products/secondary-antibodies/goat-rabbit-igg-h-l-hrp-ab97051'>ab97051</a>) at 1/20000 dilution

Observed band size: 20-37 kDa,60-75 kDa,120-150 kDa,250-300 kDa,36 kDa

false

Exposure time: 180s

Western blot - Anti-TRPML1/MG-2 antibody [EPR28651-127] - BSA and Azide free (AB325960)
  • WB

Lab

Western blot - Anti-TRPML1/MG-2 antibody [EPR28651-127] - BSA and Azide free (AB325960)

This data was developed using [Standard ab323642], the same antibody clone in a different buffer formulation.

Blocking and diluting buffer and concentration : 5% NFDM/TBST.

In Western blot Anti-GAPDH antibody [EPR16891] - Loading Control (ab181602) staining at 1/200000 dilution.

The expression profile/ molecular weight observed is consistent with what has been described in the literature (PMID : 16517607).

Observed MW (kDa) : 20-37 (cleaved form) 60-75 (full length).

Samples are non-boiled as boiling may cause protein aggregation.

All lanes:

Western blot - Anti-TRPML1/MG-2 antibody [EPR28651-127] (<a href='/en-us/products/primary-antibodies/trpml1-mg-2-antibody-epr28651-127-ab323642'>ab323642</a>) at 1/1000 dilution

Lane 1:

PC-3 (human prostate adenocarcinoma epithelial cell) whole cell lysate at 40 µg

Lane 2:

PC-3 transfected with siRNA specifically targeting TRPML1/MG-2 whole cell lysate at 40 µg

Secondary

All lanes:

Western blot - Goat Anti-Rabbit IgG H&L (HRP) (<a href='/en-us/products/secondary-antibodies/goat-rabbit-igg-h-l-hrp-ab97051'>ab97051</a>) at 1/100000 dilution

Observed band size: 20-37 kDa,60-75 kDa

false

Exposure time: 180s

Dot Blot - Anti-TRPML1/MG-2 antibody [EPR28651-127] - BSA and Azide free (AB325960)
  • Dot

Supplier Data

Dot Blot - Anti-TRPML1/MG-2 antibody [EPR28651-127] - BSA and Azide free (AB325960)

This data was developed using ab323642, the same antibody clone in a different buffer formulation.

Dot blot analysis of TRPML1/MG-2 using ab323642 at 1000 (0.507 ug/ml) followed by a Goat Anti-Rabbit IgG (H+L) Peroxidase conjugated (ab97051) at 1 : 100000 dilution.

Lane1 : Human MCOLN1 peptide
Lane2 : Human TAF1C peptide

Exposure time : 180 seconds.

Blocking and diluting buffer and concentration : 5% NFDM/TBST.

This antibody does not cross-react with TAF1C.

All lanes:

Dot Blot - Anti-TRPML1/MG-2 antibody [EPR28651-127] (<a href='/en-us/products/primary-antibodies/trpml1-mg-2-antibody-epr28651-127-ab323642'>ab323642</a>) at 1/1000 dilution

Lane 1:

Human MCOLN1 peptide

Lane 2:

Human TAF1C peptide

Secondary

All lanes:

Dot Blot - Goat Anti-Rabbit IgG H&L (HRP) (<a href='/en-us/products/secondary-antibodies/goat-rabbit-igg-h-l-hrp-ab97051'>ab97051</a>) at 1/100000 dilution

false

Exposure time: 180s

Western blot - Anti-TRPML1/MG-2 antibody [EPR28651-127] - BSA and Azide free (AB325960)
  • WB

Supplier Data

Western blot - Anti-TRPML1/MG-2 antibody [EPR28651-127] - BSA and Azide free (AB325960)

This data was developed using ab323642, the same antibody clone in a different buffer formulation.

Blocking and diluting buffer and concentration : 5% NFDM/TBST.

Low expression : F9.

BFA treatment can prevent cleavage (PMID : 16517607).

The expression profile/ molecular weight observed is consistent with what has been described in the literature (PMID : 16517607).

Samples are non-boiled as boiling may cause protein aggregation.

In Western blot Anti-GAPDH antibody [EPR16891] - Loading Control (ab181602) staining at 1/200000 dilution.

All lanes:

Western blot - Anti-TRPML1/MG-2 antibody [EPR28651-127] (<a href='/en-us/products/primary-antibodies/trpml1-mg-2-antibody-epr28651-127-ab323642'>ab323642</a>) at 1/1000 dilution

Lane 1:

Untreated Neuro-2a (mouse neuroblastoma neuroblast) whole cell lysate at 80 µg

Lane 2:

Neuro-2a treated with 300ng/ml BFA for 24 hours whole cell lysate at 80 µg

Lane 3:

F9 (mouse embryonal carcinoma epithelial cell) whole cell lysate at 80 µg

Secondary

All lanes:

Western blot - Goat Anti-Rabbit IgG H&L (HRP) (<a href='/en-us/products/secondary-antibodies/goat-rabbit-igg-h-l-hrp-ab97051'>ab97051</a>) at 1/20000 dilution

Observed band size: 20-37 kDa,60-75 kDa,120-150 kDa,250-300 kDa,36 kDa

false

Exposure time: 180s

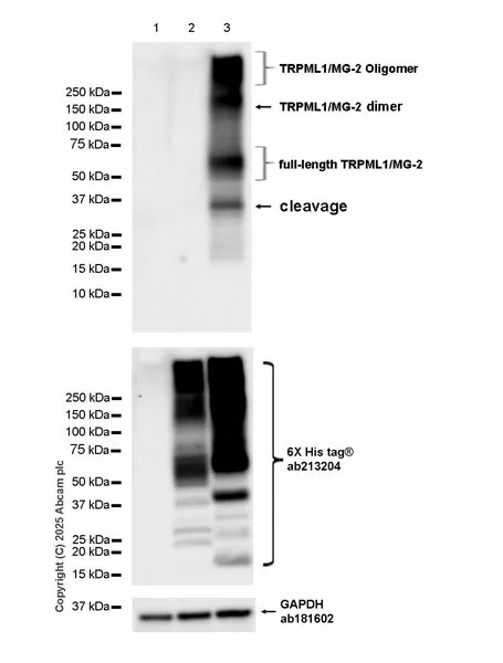
Western blot - Anti-TRPML1/MG-2 antibody [EPR28651-127] - BSA and Azide free (AB325960)
  • WB

Supplier Data

Western blot - Anti-TRPML1/MG-2 antibody [EPR28651-127] - BSA and Azide free (AB325960)

This data was developed using ab323642, the same antibody clone in a different buffer formulation.

Blocking and diluting buffer and concentration : 5% NFDM/TBST.

This antibody does not cross-react with human MCOLN3.

Samples are non-boiled as boiling may cause protein aggregation.

In Western blot Anti-6X His tag® antibody [EPR20547] - ChIP Grade (ab213204) staining at 1/5000 dilution.

Loading control : ab181602 Anti-GAPDH antibody [EPR16891] at 1/200000 dilution and ab213204 Anti-6X His tag® antibody [EPR20547] - ChIP Grade at 1/5000 dilution.

All lanes:

Western blot - Anti-TRPML1/MG-2 antibody [EPR28651-127] (<a href='/en-us/products/primary-antibodies/trpml1-mg-2-antibody-epr28651-127-ab323642'>ab323642</a>) at 1/1000 dilution

Lane 1:

293T cells transfected with an empty vector containing a His-tag, whole cell lysate at 20 µg

Lane 2:

293T cells transfected with a human MCOLN3 expression vector containing a His-tag, whole cell lysate at 20 µg

Lane 3:

293T cells transfected with a human MCOLN1 expression vector containing a His-tag, whole cell lysate at 20 µg

Secondary

All lanes:

Western blot - Goat Anti-Rabbit IgG H&L (HRP) (<a href='/en-us/products/secondary-antibodies/goat-rabbit-igg-h-l-hrp-ab97051'>ab97051</a>) at 1/100000 dilution

Observed band size: 20-37 kDa,60-75 kDa,120-150 kDa,250-300 kDa,36 kDa,20-300 kDa

false

Exposure time: 3s

Key facts

Host species

Rabbit

Clonality

Monoclonal

Clone number

EPR28651-127

Isotype

IgG

Carrier free

Yes

Reacts with

Human, Mouse

Applications

IHC-P, WB, Dot, ICC/IF

applications

Immunogen

The exact immunogen used to generate this antibody is proprietary information.

Specificity

Unsuitable for human IHC-P.

The antibody doesn't work in human and mouse tissue for WB.

Unsuitable in PFA fixed cells for ICC.

Reactivity data

{ "title": "Reactivity Data", "filters": { "stats": ["", "Species", "Dilution Info", "Notes"], "tabs": { "all-applications": {"fullname" : "All Applications", "shortname": "All Applications"}, "WB" : {"fullname" : "Western blot", "shortname":"WB"}, "Dot" : {"fullname" : "Dot Blot", "shortname":"Dot"}, "ICCIF" : {"fullname" : "Immunocytochemistry/ Immunofluorescence", "shortname":"ICC/IF"}, "IHCP" : {"fullname" : "Immunohistochemistry (Formalin/PFA-fixed paraffin-embedded sections)", "shortname":"IHC-P"}, "IHCFr" : {"fullname" : "Immunohistochemistry (Frozen sections)", "shortname":"IHC-Fr"} }, "product-promise": { "all": "all", "testedAndGuaranteed": "tested", "guaranteed": "expected", "predicted": "predicted", "notRecommended": "not-recommended" } }, "values": { "Human": { "WB-species-checked": "testedAndGuaranteed", "WB-species-dilution-info": "", "WB-species-notes": "<p></p>", "Dot-species-checked": "guaranteed", "Dot-species-dilution-info": "", "Dot-species-notes": "", "ICCIF-species-checked": "testedAndGuaranteed", "ICCIF-species-dilution-info": "", "ICCIF-species-notes": "<p></p>", "IHCP-species-checked": "notRecommended", "IHCP-species-dilution-info": "", "IHCP-species-notes": "<p></p>", "IHCFr-species-checked": "notRecommended", "IHCFr-species-dilution-info": "", "IHCFr-species-notes": "" }, "Mouse": { "WB-species-checked": "testedAndGuaranteed", "WB-species-dilution-info": "", "WB-species-notes": "<p></p>", "Dot-species-checked": "guaranteed", "Dot-species-dilution-info": "", "Dot-species-notes": "", "ICCIF-species-checked": "testedAndGuaranteed", "ICCIF-species-dilution-info": "", "ICCIF-species-notes": "<p></p>", "IHCP-species-checked": "testedAndGuaranteed", "IHCP-species-dilution-info": "", "IHCP-species-notes": "<p></p> Perform heat-mediated antigen retrieval with Tris/EDTA buffer pH 9.0 before commencing with IHC staining protocol.", "IHCFr-species-checked": "notRecommended", "IHCFr-species-dilution-info": "", "IHCFr-species-notes": "<p></p>" }, "Transfected cell line - Human": { "WB-species-checked": "testedAndGuaranteed", "WB-species-dilution-info": "", "WB-species-notes": "<p></p>", "Dot-species-checked": "testedAndGuaranteed", "Dot-species-dilution-info": "", "Dot-species-notes": "<p></p>", "ICCIF-species-checked": "notRecommended", "ICCIF-species-dilution-info": "", "ICCIF-species-notes": "", "IHCP-species-checked": "notRecommended", "IHCP-species-dilution-info": "", "IHCP-species-notes": "", "IHCFr-species-checked": "notRecommended", "IHCFr-species-dilution-info": "", "IHCFr-species-notes": "" } } }

Product details

ab325960 is the carrier-free version of ab323642

Patented technology
Our RabMAb® technology is a patented hybridoma-based technology for making rabbit monoclonal antibodies. For details on our patents, please refer to RabMAb® patents.

What are the advantages of a recombinant monoclonal antibody?
This product is a recombinant monoclonal antibody, which offers several advantages including:

  • - High batch-to-batch consistency and reproducibility
  • - Improved sensitivity and specificity
  • - Long-term security of supply
  • - Animal-free batch production

For more information, read more on recombinant antibodies.

Conjugation ready
Our carrier-free antibodies are typically supplied in a PBS-only formulation, purified and free of BSA, sodium azide and glycerol. This conjugation-ready format is designed for use with fluorochromes, metal isotopes, oligonucleotides, and enzymes, which makes them ideal for antibody labelling, functional and cell-based assays, flow-based assays (e.g. mass cytometry) and Multiplex Imaging applications.

Use our conjugation kits for antibody conjugates that are ready-to-use in as little as 20 minutes with 1 minute hands-on-time and 100% antibody recovery: available for fluorescent dyes, HRP, biotin and gold.

Compatibility
This product is compatible with the Maxpar® Antibody Labeling Kit from Fluidigm, without the need for antibody preparation. Maxpar® is a trademark of Fluidigm Canada Inc.

Properties and storage information

Form
Liquid
Purification technique
Affinity purification Protein A
Storage buffer
pH: 7.2 - 7.4 Constituents: PBS
Shipped at conditions
Blue Ice
Appropriate short-term storage conditions
+4°C
Appropriate long-term storage conditions
+4°C
Storage information
Do Not Freeze

Product protocols

For this product, it's our understanding that no specific protocols are required. You can visit:

Target data

Nonselective cation channel probably playing a role in the regulation of membrane trafficking events and of metal homeostasis (PubMed : 11013137, PubMed : 12459486, PubMed : 14749347, PubMed : 15336987, PubMed : 18794901, PubMed : 25720963, PubMed : 27623384, PubMed : 29019983). Acts as a Ca(2+)-permeable cation channel with inwardly rectifying activity (PubMed : 25720963, PubMed : 29019983). Proposed to play a major role in Ca(2+) release from late endosome and lysosome vesicles to the cytoplasm, which is important for many lysosome-dependent cellular events, including the fusion and trafficking of these organelles, exocytosis and autophagy (PubMed : 11013137, PubMed : 12459486, PubMed : 14749347, PubMed : 15336987, PubMed : 25720963, PubMed : 27623384, PubMed : 29019983). Required for efficient uptake of large particles in macrophages in which Ca(2+) release from the lysosomes triggers lysosomal exocytosis. May also play a role in phagosome-lysosome fusion (By similarity). Involved in lactosylceramide trafficking indicative for a role in the regulation of late endocytic membrane fusion/fission events (PubMed : 16978393). By mediating lysosomal Ca(2+) release is involved in regulation of mTORC1 signaling and in mTOR/TFEB-dependent lysosomal adaptation to environmental cues such as nutrient levels (PubMed : 25720963, PubMed : 25733853, PubMed : 27787197). Seems to act as lysosomal active oxygen species (ROS) sensor involved in ROS-induced TFEB activation and autophagy (PubMed : 27357649). Also functions as a Fe(2+) permeable channel in late endosomes and lysosomes (PubMed : 18794901). Also permeable to Mg(2+), Na(+). K(+) and Cs(+) (By similarity). Proposed to play a role in zinc homeostasis probably implicating its association with TMEM163 (PubMed : 25130899) In adaptive immunity, TRPML2 and TRPML1 may play redundant roles in the function of the specialized lysosomes of B cells (By similarity).. May contribute to cellular lipase activity within the late endosomal pathway or at the cell surface which may be involved in processes of membrane reshaping and vesiculation, especially the growth of tubular structures. However, it is not known, whether it conveys the enzymatic activity directly, or merely facilitates the activity of an associated phospholipase.
See full target information MCOLN1

Product promise

We are committed to supporting your work with high-quality reagents, and we're here for you every step of the way. In the unlikely event that one of our products does not perform as expected, you're protected by our Product Promise.
For full details, please see our Terms & Conditions

Please note: All products are 'FOR RESEARCH USE ONLY. NOT FOR USE IN DIAGNOSTIC OR THERAPEUTIC PROCEDURES'.

For licensing inquiries, please contact partnerships@abcam.com