JavaScript is disabled in your browser. Please enable JavaScript to view this website.
AB125197

Anti-TRPS1 antibody

4

(1 Review)

|

(3 Publications)

Rabbit Polyclonal TRPS1 antibody. Suitable for IP, WB, IHC-P and reacts with Human samples. Cited in 3 publications. Immunogen corresponding to Synthetic Peptide within Human Zinc finger transcription factor Trps1 aa 1000-1050.

View Alternative Names

Zinc finger transcription factor Trps1, Tricho-rhino-phalangeal syndrome type I protein, Zinc finger protein GC79, TRPS1

4 Images
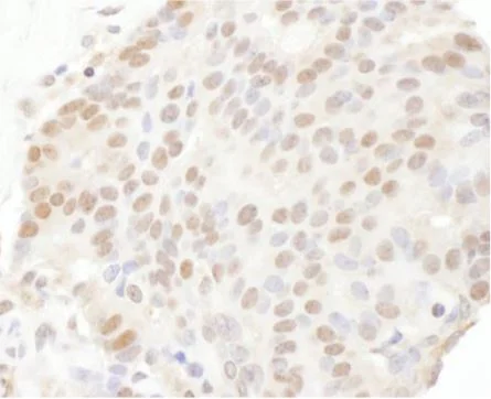
Immunohistochemistry (Formalin/PFA-fixed paraffin-embedded sections) - Anti-TRPS1 antibody (AB125197)
  • IHC-P

Supplier Data

Immunohistochemistry (Formalin/PFA-fixed paraffin-embedded sections) - Anti-TRPS1 antibody (AB125197)

Paraffin embedded human breast carcinoma tissue stained for TRPS1 using ab125197 at 1/1000 dilution in immunohistochemical analysis.

Immunoprecipitation - Anti-TRPS1 antibody (AB125197)
  • IP

Unknown

Immunoprecipitation - Anti-TRPS1 antibody (AB125197)

ab125197 at 1 μg/ml staining TRPS1 by WB, following immunoprecipitation of whole cell lysate from HeLa cells.
Lane 1; IP using ab125197 at 6 μg/mg lysate.
Lane 2; IP using control IgG.
1 mg of lysate was used for IP and 20% of IP was loaded. Detection utilised Chemiluminescence with a 30 second exposure.

All lanes:

Immunoprecipitation - Anti-TRPS1 antibody (ab125197)

Predicted band size: 142 kDa

false

Western blot - Anti-TRPS1 antibody (AB125197)
  • WB

AbReview40858****

Western blot - Anti-TRPS1 antibody (AB125197)

All lanes:

Western blot - Anti-TRPS1 antibody (ab125197) at 1/500 dilution

Lane 1:

Ha-Ras-transformed EpH4 cells - nuclear extracts at 25 µg

Lanes 2 - 3:

EpF-2 and EpF-1 (EpH4 subclones expressing high amounts of Zeb1 and Zeb2 mRNA) - nuclear extracts at 25 µg

Lane 4:

EpH4 (parental) - nuclear extracts at 25 µg

Lane 5:

EpF-2 - nuclear extracts at 25 µg

Lanes 6 - 7:

EpF-Z1.1 and EpF-Z1.2 (EpF-1 clones transfected with siRNA to knockdown Zeb1) - nuclear extracts at 25 µg

Lanes 8 - 9:

EpF-Z2.1 and EpF-Z2.2 (EpF-1 clones transfected with siRNA to knockdown Zeb2) - nuclear extracts at 25 µg

Secondary

All lanes:

HRP-conjugated donkey anti-rabbit IgG polyclonal at 1/10000 dilution

Predicted band size: 142 kDa

false

Exposure time: 20s

This image is courtesy of an anonymous Abreview

Western blot - Anti-TRPS1 antibody (AB125197)
  • WB

Unknown

Western blot - Anti-TRPS1 antibody (AB125197)

All lanes:

Western blot - Anti-TRPS1 antibody (ab125197) at 0.1 µg/mL

Lane 1:

HeLa whole cell lysate at 50 µg

Lane 2:

HeLa whole cell lysate at 15 µg

Lane 3:

293T whole cell lysate at 50 µg

Lane 4:

Jurkat whole cell lysate at 50 µg

Predicted band size: 142 kDa

true

Exposure time: 3min

Key facts

Host species

Rabbit

Clonality

Polyclonal

Isotype

IgG

Carrier free

No

Reacts with

Human

Applications

WB, IHC-P, IP

applications

Immunogen

Synthetic Peptide within Human Zinc finger transcription factor Trps1 aa 1000-1050. The exact immunogen used to generate this antibody is proprietary information.

Q9UHF7

Reactivity data

{ "title": "Reactivity Data", "filters": { "stats": ["", "Species", "Dilution Info", "Notes"], "tabs": { "all-applications": {"fullname" : "All Applications", "shortname": "All Applications"}, "IP" : {"fullname" : "Immunoprecipitation", "shortname":"IP"}, "WB" : {"fullname" : "Western blot", "shortname":"WB"}, "IHCP" : {"fullname" : "Immunohistochemistry (Formalin/PFA-fixed paraffin-embedded sections)", "shortname":"IHC-P"} }, "product-promise": { "all": "all", "testedAndGuaranteed": "tested", "guaranteed": "expected", "predicted": "predicted", "notRecommended": "not-recommended" } }, "values": { "Human": { "IP-species-checked": "testedAndGuaranteed", "IP-species-dilution-info": "2-10 µg/mg of lysate", "IP-species-notes": "<p></p>", "WB-species-checked": "testedAndGuaranteed", "WB-species-dilution-info": "1/2000 - 1/10000", "WB-species-notes": "<p></p>", "IHCP-species-checked": "testedAndGuaranteed", "IHCP-species-dilution-info": "1/500 - 1/2000", "IHCP-species-notes": "<p></p>" }, "Rat": { "IP-species-checked": "predicted", "IP-species-dilution-info": "", "IP-species-notes": "", "WB-species-checked": "predicted", "WB-species-dilution-info": "", "WB-species-notes": "", "IHCP-species-checked": "predicted", "IHCP-species-dilution-info": "", "IHCP-species-notes": "" }, "Chicken": { "IP-species-checked": "predicted", "IP-species-dilution-info": "", "IP-species-notes": "", "WB-species-checked": "predicted", "WB-species-dilution-info": "", "WB-species-notes": "", "IHCP-species-checked": "predicted", "IHCP-species-dilution-info": "", "IHCP-species-notes": "" }, "Chimpanzee": { "IP-species-checked": "predicted", "IP-species-dilution-info": "", "IP-species-notes": "", "WB-species-checked": "predicted", "WB-species-dilution-info": "", "WB-species-notes": "", "IHCP-species-checked": "predicted", "IHCP-species-dilution-info": "", "IHCP-species-notes": "" }, "Cow": { "IP-species-checked": "predicted", "IP-species-dilution-info": "", "IP-species-notes": "", "WB-species-checked": "predicted", "WB-species-dilution-info": "", "WB-species-notes": "", "IHCP-species-checked": "predicted", "IHCP-species-dilution-info": "", "IHCP-species-notes": "" }, "Dog": { "IP-species-checked": "predicted", "IP-species-dilution-info": "", "IP-species-notes": "", "WB-species-checked": "predicted", "WB-species-dilution-info": "", "WB-species-notes": "", "IHCP-species-checked": "predicted", "IHCP-species-dilution-info": "", "IHCP-species-notes": "" }, "Gorilla": { "IP-species-checked": "predicted", "IP-species-dilution-info": "", "IP-species-notes": "", "WB-species-checked": "predicted", "WB-species-dilution-info": "", "WB-species-notes": "", "IHCP-species-checked": "predicted", "IHCP-species-dilution-info": "", "IHCP-species-notes": "" }, "Guinea pig": { "IP-species-checked": "predicted", "IP-species-dilution-info": "", "IP-species-notes": "", "WB-species-checked": "predicted", "WB-species-dilution-info": "", "WB-species-notes": "", "IHCP-species-checked": "predicted", "IHCP-species-dilution-info": "", "IHCP-species-notes": "" }, "Horse": { "IP-species-checked": "predicted", "IP-species-dilution-info": "", "IP-species-notes": "", "WB-species-checked": "predicted", "WB-species-dilution-info": "", "WB-species-notes": "", "IHCP-species-checked": "predicted", "IHCP-species-dilution-info": "", "IHCP-species-notes": "" }, "Orangutan": { "IP-species-checked": "predicted", "IP-species-dilution-info": "", "IP-species-notes": "", "WB-species-checked": "predicted", "WB-species-dilution-info": "", "WB-species-notes": "", "IHCP-species-checked": "predicted", "IHCP-species-dilution-info": "", "IHCP-species-notes": "" }, "Pig": { "IP-species-checked": "predicted", "IP-species-dilution-info": "", "IP-species-notes": "", "WB-species-checked": "predicted", "WB-species-dilution-info": "", "WB-species-notes": "", "IHCP-species-checked": "predicted", "IHCP-species-dilution-info": "", "IHCP-species-notes": "" }, "Platypus": { "IP-species-checked": "predicted", "IP-species-dilution-info": "", "IP-species-notes": "", "WB-species-checked": "predicted", "WB-species-dilution-info": "", "WB-species-notes": "", "IHCP-species-checked": "predicted", "IHCP-species-dilution-info": "", "IHCP-species-notes": "" }, "Rabbit": { "IP-species-checked": "predicted", "IP-species-dilution-info": "", "IP-species-notes": "", "WB-species-checked": "predicted", "WB-species-dilution-info": "", "WB-species-notes": "", "IHCP-species-checked": "predicted", "IHCP-species-dilution-info": "", "IHCP-species-notes": "" }, "Rhesus monkey": { "IP-species-checked": "predicted", "IP-species-dilution-info": "", "IP-species-notes": "", "WB-species-checked": "predicted", "WB-species-dilution-info": "", "WB-species-notes": "", "IHCP-species-checked": "predicted", "IHCP-species-dilution-info": "", "IHCP-species-notes": "" }, "Turkey": { "IP-species-checked": "predicted", "IP-species-dilution-info": "", "IP-species-notes": "", "WB-species-checked": "predicted", "WB-species-dilution-info": "", "WB-species-notes": "", "IHCP-species-checked": "predicted", "IHCP-species-dilution-info": "", "IHCP-species-notes": "" } } }

Properties and storage information

Form
Liquid
Purification technique
Affinity purification Immunogen
Storage buffer
pH: 7 - 8 Preservative: 0.09% Sodium azide Constituents: 99% Tris citrate/phosphate
Shipped at conditions
Blue Ice
Appropriate short-term storage conditions
+4°C
Appropriate long-term storage conditions
+4°C
Aliquoting information
Upon delivery aliquot
Storage information
Avoid freeze / thaw cycle

Supplementary information

This supplementary information is collated from multiple sources and compiled automatically.

TRPS1 also known as Trichorhinophalangeal syndrome type I protein is a transcriptional regulator with a molecular weight of approximately 141 kDa. It is expressed in a variety of tissues including bone cartilage and hair follicles. Mechanically TRPS1 functions by binding to specific DNA sequences and regulating the transcription of target genes. This gene encodes a protein that contains GATA-type zinc finger domains which facilitate its role in DNA binding and transcription regulation.
Biological function summary

The TRPS1 protein plays a significant role in the development of bone and cartilage as well as the differentiation of hair follicles. It acts independently and does not commonly form a stable complex with other proteins. By influencing the expression of genes involved in these developmental processes TRPS1 contributes to various aspects of skeletal and hair follicle formation. The regulation by TRPS1 is important for the proper growth and maintenance of these tissues.

Pathways

The protein TRPS1 is notably involved in bone morphogenesis and development pathways. It interacts with signaling proteins like BMPs (Bone Morphogenetic Proteins) within the bone development pathway to regulate bone and cartilage growth. TRPS1 also communicates with signaling pathways that include proteins such as RUNX2 which are critical for bone formation and regulate the transcriptional activity that drives these processes.

Dysregulation or mutation of the TRPS1 gene is closely linked to Trichorhinophalangeal Syndrome a condition characterized by distinctive craniofacial and skeletal abnormalities. This association involves altered gene expression impacting bone and cartilage tied to TRPS1's regulation of signaling networks with proteins like BMPR1A. The TRPS1 gene is also linked to certain forms of cancer where its altered function may contribute to tumorigenesis through pathways shared with cancer-related proteins such as SMAD4 influencing cell proliferation and apoptosis.

Product protocols

For this product, it's our understanding that no specific protocols are required. You can visit:

Target data

Transcriptional repressor. Binds specifically to GATA sequences and represses expression of GATA-regulated genes at selected sites and stages in vertebrate development. Regulates chondrocyte proliferation and differentiation. Executes multiple functions in proliferating chondrocytes, expanding the region of distal chondrocytes, activating proliferation in columnar cells and supporting the differentiation of columnar into hypertrophic chondrocytes.
See full target information Zinc finger transcription factor Trps1

Publications (3)

Recent publications for all applications. Explore the full list and refine your search

Cell death discovery 9:185 PubMed37344459

2023

TRPS1 regulates the opposite effect of progesterone via RANKL in endometrial carcinoma and breast carcinoma.

Applications

Unspecified application

Species

Unspecified reactive species

Linlin Yang,Qiong Fan,Jing Wang,Xiaoming Yang,Jiangjing Yuan,Yuhong Li,Xiao Sun,Yudong Wang

Evidence-based complementary and alternative medicine : eCAM 2022:6019975 PubMed35399640

2022

Paclitaxel Resistance Modulated by the Interaction between TRPS1 and AF178030.2 in Triple-Negative Breast Cancer.

Applications

Unspecified application

Species

Unspecified reactive species

Tao Zhao,Tingrong Zhang,Yao Zhang,Bin Zhou,Xiangdong Lu

Development (Cambridge, England) 143:950-61 PubMed26893351

2016

The transcription factor SOX6 contributes to the developmental origins of obesity by promoting adipogenesis.

Applications

Unspecified application

Species

Unspecified reactive species

Shi Chi Leow,Jeremie Poschmann,Peh Gek Too,Juan Yin,Roy Joseph,Craig McFarlane,Shaillay Dogra,Asim Shabbir,Philip W Ingham,Shyam Prabhakar,Melvin K S Leow,Yung Seng Lee,Kai Lyn Ng,Yap Seng Chong,Peter D Gluckman,Walter Stünkel
View all publications

Product promise

We are committed to supporting your work with high-quality reagents, and we're here for you every step of the way. In the unlikely event that one of our products does not perform as expected, you're protected by our Product Promise.
For full details, please see our Terms & Conditions

Please note: All products are 'FOR RESEARCH USE ONLY. NOT FOR USE IN DIAGNOSTIC OR THERAPEUTIC PROCEDURES'.

For licensing inquiries, please contact partnerships@abcam.com